CENPV Antibody

Code CSB-PA791503
Size US$166
Order now
Image
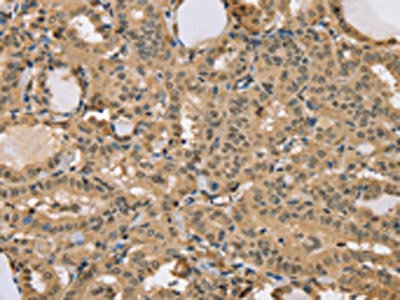
  • The image on the left is immunohistochemistry of paraffin-embedded Human thyroid cancer tissue using CSB-PA791503(CENPV Antibody) at dilution 1/40, on the right is treated with synthetic peptide. (Original magnification: ×200)
  • The image on the left is immunohistochemistry of paraffin-embedded Human esophagus cancer tissue using CSB-PA791503(CENPV Antibody) at dilution 1/40, on the right is treated with synthetic peptide. (Original magnification: ×200)
  • Gel: 10%SDS-PAGE, Lysate: 40 μg, Lane 1-4: Raji cells, Jurkat cells, 293T cells, hela cells, Primary antibody: CSB-PA791503(CENPV Antibody) at dilution 1/200, Secondary antibody: Goat anti rabbit IgG at 1/8000 dilution, Exposure time: 1 second
Have Questions? Leave a Message or Start an on-line Chat

Product Details

Uniprot No.
Target Names
CENPV
Alternative Names
3110013H01Rik antibody; CENP V antibody; CENP-V antibody; Cenpv antibody; CENPV_HUMAN antibody; Centromere protein V antibody; Nuclear protein p30 antibody; p30 antibody; Proline rich 6 antibody; Proline rich protein 6 antibody; Proline-rich protein 6 antibody; PRR6 antibody
Raised in
Rabbit
Species Reactivity
Human,Mouse
Immunogen
Synthetic peptide of Human CENPV
Immunogen Species
Homo sapiens (Human)
Conjugate
Non-conjugated
Isotype
IgG
Purification Method
Antigen affinity purification
Concentration
It differs from different batches. Please contact us to confirm it.
Buffer
-20°C, pH7.4 PBS, 0.05% NaN3, 40% Glycerol
Form
Liquid
Tested Applications
ELISA,WB,IHC
Recommended Dilution
Application Recommended Dilution
ELISA 1:2000-1:5000
WB 1:500-1:2000
IHC 1:50-1:200
Troubleshooting and FAQs
Storage
Upon receipt, store at -20°C or -80°C. Avoid repeated freeze.
Lead Time
Basically, we can dispatch the products out in 1-3 working days after receiving your orders. Delivery time maybe differs from different purchasing way or location, please kindly consult your local distributors for specific delivery time.
Usage
For Research Use Only. Not for use in diagnostic or therapeutic procedures.

Customer Reviews and Q&A

 Customer Reviews

There are currently no reviews for this product.

Submit a Review here

Target Background

Function
Required for distribution of pericentromeric heterochromatin in interphase nuclei and for centromere formation and organization, chromosome alignment and cytokinesis.
Gene References into Functions
  1. Results suggest that CENP-V (nuclear protein p30) is required for centromere organization, chromosome alignment and cytokinesis in human cells PMID: 18772885
Subcellular Location
Chromosome, centromere, kinetochore. Nucleus. Cytoplasm, cytoskeleton, spindle. Note=Enriched at the nuclear periphery and around the nucleolus (PubMed:12196509). In mitotic cells, localizes to kinetochores from prometaphase to metaphase (PubMed:18772885). At anaphase onset, transfers to the spindle midzone and then to the mid-body in telophase and cytokinesis (PubMed:18772885).
Protein Families
Gfa family
Database Links

HGNC: 29920

OMIM: 608139

KEGG: hsa:201161

STRING: 9606.ENSP00000299736

UniGene: Hs.433422

icon of phone
Call us
301-363-4651 (Available 9 a.m. to 5 p.m. CST from Monday to Friday)
icon of address
Address
7505 Fannin St., Ste 610, Room 7 (CUBIO Innovation Center), Houston, TX 77054, USA
icon of social media
Join us with

Subscribe newsletter

Leave a message

* To protect against spam, please pass the CAPTCHA test below.
CAPTCHA verification
© 2007-2026 CUSABIO TECHNOLOGY LLC All rights reserved. 鄂ICP备15011166号-1
Place an order now

I. Product details

*
*
*
*

II. Contact details

*
*

III. Ship To

*
*
*
*
*
*
*

IV. Bill To

*
*
*
*
*
*
*
*