CLPS Antibody

Code CSB-PA591518
Size US$166
Order now
Image
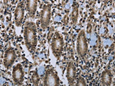
  • The image on the left is immunohistochemistry of paraffin-embedded Human esophagus cancer tissue using CSB-PA591518(CLPS Antibody) at dilution 1/40, on the right is treated with fusion protein. (Original magnification: ×200)
  • The image on the left is immunohistochemistry of paraffin-embedded Human gastric cancer tissue using CSB-PA591518(CLPS Antibody) at dilution 1/40, on the right is treated with fusion protein. (Original magnification: ×200)
Have Questions? Leave a Message or Start an on-line Chat

Product Details

Uniprot No.
Target Names
CLPS
Alternative Names
clpS antibody; COL_HUMAN antibody; Colipase antibody; Colipase pancreatic antibody; Pancreatic colipase preproprotein antibody
Raised in
Rabbit
Species Reactivity
Human
Immunogen
Fusion protein of Human CLPS
Immunogen Species
Homo sapiens (Human)
Conjugate
Non-conjugated
Isotype
IgG
Purification Method
Antigen affinity purification
Concentration
It differs from different batches. Please contact us to confirm it.
Buffer
-20°C, pH7.4 PBS, 0.05% NaN3, 40% Glycerol
Form
Liquid
Tested Applications
ELISA,IHC
Recommended Dilution
Application Recommended Dilution
ELISA 1:2000-1:5000
IHC 1:50-1:200
Troubleshooting and FAQs
Storage
Upon receipt, store at -20°C or -80°C. Avoid repeated freeze.
Lead Time
Basically, we can dispatch the products out in 1-3 working days after receiving your orders. Delivery time maybe differs from different purchasing way or location, please kindly consult your local distributors for specific delivery time.
Usage
For Research Use Only. Not for use in diagnostic or therapeutic procedures.

Customer Reviews and Q&A

 Customer Reviews

There are currently no reviews for this product.

Submit a Review here

Target Background

Function
Colipase is a cofactor of pancreatic lipase. It allows the lipase to anchor itself to the lipid-water interface. Without colipase the enzyme is washed off by bile salts, which have an inhibitory effect on the lipase.; Enterostatin has a biological activity as a satiety signal.
Gene References into Functions
  1. Low CLPS expression is associated with pancreatic cancer. PMID: 23918603
  2. humans with the Arg92Cys substitution will secrete less functional colipase PMID: 23204298
  3. found no evidence for an association of pancreatic colipase(CLPS) single nucleotide polymorphisms rs2766597, rs41270082, rs3748050, and rs3748051 with obesity or percentage of dietary fat intake PMID: 20054203
  4. evidence in two German Caucasian study populations that the variant of the rare colipase Arg109Cys polymorphism might contribute to increased susceptibility of type 2 diabetes PMID: 16189801
  5. Our findings demonstrate that the Arg92Cys polymorphism decreases the function of Cys92 colipase. This change may contribute to the development of type 2 diabetes. PMID: 17715423
  6. CLPS genetic variability associates with insulin secretory function in non-diabetic humans and may represent a novel candidate gene for development of type 2 diabetes PMID: 18726866

Show More

Hide All

Subcellular Location
Secreted.
Protein Families
Colipase family
Tissue Specificity
Expressed by the pancreas.
Database Links

HGNC: 2085

OMIM: 120105

KEGG: hsa:1208

STRING: 9606.ENSP00000259938

UniGene: Hs.1340

icon of phone
Call us
301-363-4651 (Available 9 a.m. to 5 p.m. CST from Monday to Friday)
icon of address
Address
7505 Fannin St., Ste 610, Room 7 (CUBIO Innovation Center), Houston, TX 77054, USA
icon of social media
Join us with

Subscribe newsletter

Leave a message

* To protect against spam, please pass the CAPTCHA test below.
CAPTCHA verification
© 2007-2025 CUSABIO TECHNOLOGY LLC All rights reserved. 鄂ICP备15011166号-1
×
Place an order now

I. Product details

*
*
*
*

II. Contact details

*
*

III. Ship To

*
*
*
*
*
*
*

IV. Bill To

*
*
*
*
*
*
*
*