COX4I1 Antibody

Code CSB-PA246804
Size US$166
Order now
Image
  • The image on the left is immunohistochemistry of paraffin-embedded Human tonsil tissue using CSB-PA246804(COX4I1 Antibody) at dilution 1/20, on the right is treated with synthetic peptide. (Original magnification: ×200)
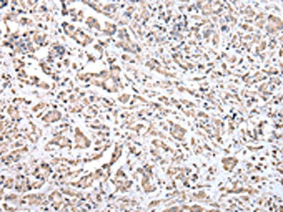
  • The image on the left is immunohistochemistry of paraffin-embedded Human prostate cancer tissue using CSB-PA246804(COX4I1 Antibody) at dilution 1/20, on the right is treated with synthetic peptide. (Original magnification: ×200)
Have Questions? Leave a Message or Start an on-line Chat

Product Details

Uniprot No.
Target Names
Alternative Names
AL024441 antibody; COX 4 antibody; COX IV 1 antibody; COX IV antibody; COX IV-1 antibody; Cox4 antibody; COX41_HUMAN antibody; Cox4a antibody; COX4B antibody; COX4I1 antibody; COX4I2 antibody; COX4L2 antibody; COXIV antibody; Cytochrome c oxidase polypeptide IV antibody; Cytochrome c oxidase subunit 4 isoform 1 mitochondrial antibody; Cytochrome c oxidase subunit 4 isoform 1, mitochondrial antibody; Cytochrome C Oxidase subunit IV antibody; Cytochrome c oxidase subunit IV isoform 1 antibody; Cytochrome c oxidase subunit IV isoform 2 (lung) antibody; Cytochrome c oxydase subunit 4 antibody; dJ857M17.2 antibody; MGC105470 antibody; MGC72016 antibody
Raised in
Rabbit
Species Reactivity
Human
Immunogen
Synthetic peptide of Human COX4I1
Immunogen Species
Homo sapiens (Human)
Conjugate
Non-conjugated
Isotype
IgG
Purification Method
Antigen affinity purification
Concentration
It differs from different batches. Please contact us to confirm it.
Buffer
-20°C, pH7.4 PBS, 0.05% NaN3, 40% Glycerol
Form
Liquid
Tested Applications
ELISA,IHC
Recommended Dilution
Application Recommended Dilution
ELISA 1:2000-1:5000
IHC 1:20-1:100
Troubleshooting and FAQs
Storage
Upon receipt, store at -20°C or -80°C. Avoid repeated freeze.
Lead Time
Basically, we can dispatch the products out in 1-3 working days after receiving your orders. Delivery time maybe differs from different purchasing way or location, please kindly consult your local distributors for specific delivery time.
Usage
For Research Use Only. Not for use in diagnostic or therapeutic procedures.

Customer Reviews and Q&A

 Customer Reviews

There are currently no reviews for this product.

Submit a Review here

Target Background

Function
Component of the cytochrome c oxidase, the last enzyme in the mitochondrial electron transport chain which drives oxidative phosphorylation. The respiratory chain contains 3 multisubunit complexes succinate dehydrogenase (complex II, CII), ubiquinol-cytochrome c oxidoreductase (cytochrome b-c1 complex, complex III, CIII) and cytochrome c oxidase (complex IV, CIV), that cooperate to transfer electrons derived from NADH and succinate to molecular oxygen, creating an electrochemical gradient over the inner membrane that drives transmembrane transport and the ATP synthase. Cytochrome c oxidase is the component of the respiratory chain that catalyzes the reduction of oxygen to water. Electrons originating from reduced cytochrome c in the intermembrane space (IMS) are transferred via the dinuclear copper A center (CU(A)) of subunit 2 and heme A of subunbit 1 to the active site in subunit 1, a binuclear center (BNC) formed by heme A3 and copper B (CU(B)). The BNC reduces molecular oxygen to 2 water molecules using 4 electrons from cytochrome c in the IMS and 4 protons from the mitochondrial matrix.
Gene References into Functions
  1. In case of myocardial insufficiency and dilated cardiomyopathy, decreased expression of COX 4 results in an impaired CytOx activity. Higher enzymatic activity but equal oxygen consumption contribute to the pathophysiology of the myocardial insufficiency and appears as an indicator of oxidative stress. This kind of dysregulation should be in the focus for the development of diagnostic and therapy procedures PMID: 30223867
  2. COX4I1 variant K101N was identified in a patient with short stature, poor weight gain and increased chromosomal breaks, simulating Fanconi anemia. PMID: 28766551
  3. This cohort study showed that the COX411 gene was down regulation between patients with idiopathic Parkinson disease and controls PMID: 28916538
  4. We provide evidence that COX4-1 controls BMI1 expression via a redox mechanism PMID: 25726526
  5. COXIV mRNA (1.6 fold; P<0.01) and COXIV protein expression (1.5 fold; P<0.05) were increased by training but COXIV protein expression was decreased (20%; P<0.01) by acute exercise pre- and post-training. PMID: 23285255
  6. COX activity (electron transport complex IV) is reduced by 29% in maternal history of Alzheimer's disease compared to normal controls, and by 30% compared to paternal history of Alzheimer's disease. PMID: 21841246
  7. Studies suggest a model that links cell signaling with the phosphorylation state of Cytochrome c (Cytc) and cytochrome c oxidase (COX). PMID: 21771582
  8. Studies suggest that the main function of nuclear encoded subunits of cytochrome c oxidase appears to be "only" to control the activity of the mitochondrial subunits. PMID: 21802404
  9. Studies indicate that the mechanism for proton pumping in cytochrome c oxidase is based on an electrostatic analysis of a kinetic experiment for the O to E transition. PMID: 21978537
  10. Studies indicate that nitric oxide (NO) inhibition of cytochrome c oxidase (CcOX) is rapid and reversible and may occur in competition with oxygen. PMID: 21939634
  11. Studies indicate that the cytochrome oxidase enzyme-substrate (ES) Michaelis complex of cell respiration, the dioxygen adduct of heme a(3), which he termed Compound A. PMID: 22079200
  12. Novel insights into the assembly and function of human nuclear-encoded cytochrome c oxidase subunits 4 PMID: 20307258
  13. Data found that subunits Cox6a, Cox6b and Cox7a assembled into pre-existing complex IV, while Cox4-1 and Cox6c subunits assembled into subcomplexes that may represent rate-limiting intermediates. PMID: 19843159
  14. study points to a role for surfeit 1(SURF1) in promoting the association of cytochrome c oxidase II with the cytochrome c oxidase I.cytochrome c oxidase subunit 4.cytochrome c oxidase subunit 5A subassembly PMID: 14607829
  15. Under conditions of reduced oxygen availability, hypoxia-inducible factor 1 reciprocally regulates COX4 subunit expression by activating transcription of the genes encoding COX4-2 and LON, a mitochondrial protease that is required for COX4-1 degradation. PMID: 17418790

Show More

Hide All

Subcellular Location
Mitochondrion inner membrane; Single-pass membrane protein.
Protein Families
Cytochrome c oxidase IV family
Tissue Specificity
Ubiquitous.
Database Links

HGNC: 2265

OMIM: 123864

KEGG: hsa:1327

STRING: 9606.ENSP00000253452

UniGene: Hs.433419

icon of phone
Call us
301-363-4651 (Available 9 a.m. to 5 p.m. CST from Monday to Friday)
icon of address
Address
7505 Fannin St., Ste 610, Room 7 (CUBIO Innovation Center), Houston, TX 77054, USA
icon of social media
Join us with

Subscribe newsletter

Leave a message

* To protect against spam, please pass the CAPTCHA test below.
CAPTCHA verification
© 2007-2025 CUSABIO TECHNOLOGY LLC All rights reserved. 鄂ICP备15011166号-1
×
Place an order now

I. Product details

*
*
*
*

II. Contact details

*
*

III. Ship To

*
*
*
*
*
*
*

IV. Bill To

*
*
*
*
*
*
*
*