EFHC1 Antibody

Code CSB-PA708490ESR1HU
Size US$166
Order now
Image
  • Western blot
    All lanes: EFHC1 antibody at 9.9 μg/ml
    Lane 1: Mouse large intestine tissue
    Lane 2: Mouse stomach tissue
    Lane 3: Mouse brain tissue
    Lane 4: Mouse kidney tissue
    Lane 5: Mouse gonadal tissue
    Lane 6: Hela whole cell lysate
    Lane 7: 293T whole cell lysate
    Secondary
    Goat polyclonal to rabbit IgG at 1/10000 dilution
    Predicted band size: 74, 32, 73 kDa
    Observed band size: 74 kDa

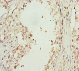
  • Immunohistochemistry of paraffin-embedded human testis tissue using CSB-PA708490ESR1HU at dilution of 1:100

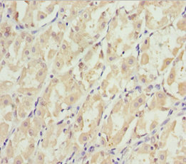
  • Immunohistochemistry of paraffin-embedded human gastric cancer using CSB-PA708490ESR1HU at dilution of 1:100

Have Questions? Leave a Message or Start an on-line Chat

Product Details

Full Product Name
Rabbit anti-Homo sapiens (Human) EFHC1 Polyclonal antibody
Uniprot No.
Target Names
EFHC1
Alternative Names
EF hand domain (C terminal) containing 1 antibody; EF hand domain containing protein 1 antibody; EF-hand domain-containing protein 1 antibody; Efhc1 antibody; EFHC1_HUMAN antibody; EJA1 antibody; EJM1 antibody; FLJ10466 antibody; FLJ37290 antibody; JAE antibody; Myoclonin 1 antibody; Myoclonin-1 antibody
Raised in
Rabbit
Species Reactivity
Human, Mouse
Immunogen
Recombinant Human EF-hand domain-containing protein 1 protein (391-640AA)
Immunogen Species
Homo sapiens (Human)
Conjugate
Non-conjugated
Clonality
Polyclonal
Isotype
IgG
Purification Method
Antigen Affinity Purified
Concentration
It differs from different batches. Please contact us to confirm it.
Buffer
PBS with 0.02% sodium azide, 50% glycerol, pH7.3.
Form
Liquid
Tested Applications
ELISA, WB, IHC
Recommended Dilution
Application Recommended Dilution
WB 1:1000-1:5000
IHC 1:20-1:200
Troubleshooting and FAQs
Storage
Upon receipt, store at -20°C or -80°C. Avoid repeated freeze.
Lead Time
Basically, we can dispatch the products out in 1-3 working days after receiving your orders. Delivery time maybe differs from different purchasing way or location, please kindly consult your local distributors for specific delivery time.
Usage
For Research Use Only. Not for use in diagnostic or therapeutic procedures.

Customer Reviews and Q&A

 Customer Reviews

There are currently no reviews for this product.

Submit a Review here

Target Background

Function
Microtubule-associated protein which regulates cell division and neuronal migration during cortical development. Necessary for mitotic spindle organization. Necessary for radial and tangential cell migration during brain development, possibly acting as a regulator of cell morphology and process formation during migration. May enhance calcium influx through CACNA1E and stimulate programmed cell death.
Gene References into Functions
  1. EFHC1 mutations cause microtubule-associated defects in juvenile myoclonic epilepsy PMID: 28370826
  2. NHGRI gene-level evidence and variant-level evidence establish EFHC1 as the first non-ion channel microtubule-associated protein whose mutations disturb R-type VDCC and TRPM2 calcium currents in overgrown synapses and dendrites within abnormally migrated dislocated neurons, thus explaining CTC convulsions and "microdysgenesis" neuropathology of juvenile myoclonic epilepsy PMID: 27467453
  3. some EFHC1 mutations may be pathogenic only when introduced into specific genetic backgrounds to juvenile myoclonic epilepsy PMID: 25489633
  4. Myoclonin1/EFHC1 mutation was suggested releated to juvenile myoclonic epilepsy. PMID: 23756480
  5. These results show how Myoclonin1/EFHC1 mutations disrupt brain development and potentially produce structural brain abnormalities on which epileptogenesis is established. PMID: 22926142
  6. we conclude that mutations in the Myoclonin1/EFHC1 gene are an important cause of juvenile myoclonic epilepsy in Mexican patients. PMID: 22727576
  7. homozygous Phe229Leu mutation associated with primary intractable epilepsy in infancy PMID: 22690745
  8. The juvenile myoclonic epilepsy-related protein EFHC1 interacts with the redox-sensitive TRPM2 channel linked to cell death. PMID: 22226147
  9. Mutation analyses identified five missense mutations in EFHC1 that cosegregated with epilepsy or EEG polyspike wave in affected members of six unrelated families with JME and did not occur in 382 control individuals PMID: 15258581
  10. The combination of these polymorphisms could not be found in any control individuals, suggesting that they might be involved in genetic predisposition to migraine in this family. PMID: 16378686
  11. Deletion analyses revealed that the N-terminal region of EFHC1 is crucial for the association with the mitotic spindle and the midbody. Our results suggest that EFHC1 could play an important role during cell division. PMID: 16824517
  12. We found no evidence that EFHC1 is a major genetic risk factor for JME susceptibility in Dutch patients. PMID: 17054699
  13. Mutations in the EFHC1 gene may underlie different types of epilepsy syndromes. PMID: 17159113
  14. report presents one novel and one previously described mutation in the EFHC1 gene in Italian families, reinforcing the role of this gene in juvenile myoclonic epilepsy PMID: 17634063
  15. In this case of juvenile myoclonic epilepsy, A molecular genetic analysis led to the identification of a polymorphism (A-->G) in position 10 in the intron 3 (rs949626) of the EFHC1 gene. PMID: 17972043
  16. Nine percent of consecutive juvenile myoclonic epilepsy cases from Mexico and Honduras clinics and 3% of clinic patients from Japan carry mutations in Myoclonin1/EFCH1 PMID: 18505993
  17. Under reducing condition Ca(2+) or Mg(2+) ions bind to EFHC1C in a 1/1 molar ratio, while under oxidizing condition this ratio is reduced, showing that EFHC1C dimerization blocks Ca(2+) and Mg(2+) binding PMID: 18593566
  18. The results of this study show that four coding SNPs, rs3804506, rs3804505, rs1266787, and rs17851770, of EFHC1 may not be susceptibility alleles for juvenile myoclonic epilepsy. PMID: 18823326

Show More

Hide All

Involvement in disease
Juvenile myoclonic epilepsy 1 (EJM1); Juvenile absence epilepsy 1 (JAE1)
Subcellular Location
Cytoplasm, cytoskeleton, microtubule organizing center, centrosome. Cytoplasm, cytoskeleton, spindle. Cytoplasm, cytoskeleton, spindle pole.
Tissue Specificity
Widely expressed. Not detected in lymphocytes.
Database Links

HGNC: 16406

OMIM: 254770

KEGG: hsa:114327

STRING: 9606.ENSP00000360107

UniGene: Hs.403171

icon of phone
Call us
301-363-4651 (Available 9 a.m. to 5 p.m. CST from Monday to Friday)
icon of address
Address
7505 Fannin St., Ste 610, Room 7 (CUBIO Innovation Center), Houston, TX 77054, USA
icon of social media
Join us with

Subscribe newsletter

Leave a message

* To protect against spam, please pass the CAPTCHA test below.
CAPTCHA verification
© 2007-2026 CUSABIO TECHNOLOGY LLC All rights reserved. 鄂ICP备15011166号-1
Place an order now

I. Product details

*
*
*
*

II. Contact details

*
*

III. Ship To

*
*
*
*
*
*
*

IV. Bill To

*
*
*
*
*
*
*
*