FAIM Antibody

Code CSB-PA243625
Size US$166
Order now
Image
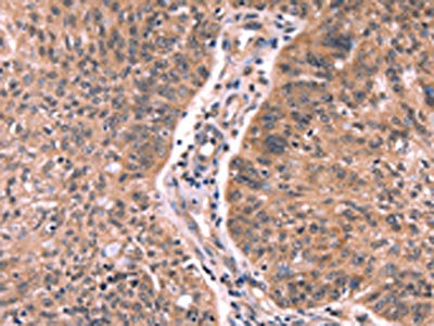
  • The image on the left is immunohistochemistry of paraffin-embedded Human colon cancer tissue using CSB-PA243625(FAIM Antibody) at dilution 1/25, on the right is treated with synthetic peptide. (Original magnification: ×200)
  • The image on the left is immunohistochemistry of paraffin-embedded Human ovarian cancer tissue using CSB-PA243625(FAIM Antibody) at dilution 1/25, on the right is treated with synthetic peptide. (Original magnification: ×200)
Have Questions? Leave a Message or Start an on-line Chat

Product Details

Uniprot No.
Target Names
FAIM
Alternative Names
FAIM 1 antibody; Faim antibody; FAIM1 antibody; FAIM1_HUMAN antibody; Fas apoptotic inhibitory molecule 1 antibody; Fas apoptotic inhibitory molecule antibody
Raised in
Rabbit
Species Reactivity
Human,Mouse,Rat
Immunogen
Synthetic peptide of Human FAIM
Immunogen Species
Homo sapiens (Human)
Conjugate
Non-conjugated
Isotype
IgG
Purification Method
Antigen affinity purification
Concentration
It differs from different batches. Please contact us to confirm it.
Buffer
-20°C, pH7.4 PBS, 0.05% NaN3, 40% Glycerol
Form
Liquid
Tested Applications
ELISA,IHC
Recommended Dilution
Application Recommended Dilution
ELISA 1:1000-1:2000
IHC 1:25-1:100
Troubleshooting and FAQs
Storage
Upon receipt, store at -20°C or -80°C. Avoid repeated freeze.
Lead Time
Basically, we can dispatch the products out in 1-3 working days after receiving your orders. Delivery time maybe differs from different purchasing way or location, please kindly consult your local distributors for specific delivery time.
Usage
For Research Use Only. Not for use in diagnostic or therapeutic procedures.

Customer Reviews and Q&A

 Customer Reviews

There are currently no reviews for this product.

Submit a Review here

Target Background

Function
Plays a role as an inducible effector molecule that mediates Fas resistance produced by surface Ig engagement in B cells.
Gene References into Functions
  1. the anti-apoptotic effect of SRT1720 was mitigated by FAIM knockdown with a small interfering RNA-targeted FAIM. These results indicated that pretreatment with SRT1720 improves survival of aged hMSCs, and enhances their therapeutic efficacy for rat myocardial infarction (MI). PMID: 28383554
  2. subcellular fractionation experiments revealed that, in contrast to FAIM-S and FAIM-L, FAIM-S_2a and FAIM-L_2a are able to localize to the nucleus, where they may have additional functions. In summary, here we report on two novel FAIM isoforms that may have relevant roles in the physiology and pathology of the nervous system PMID: 28981531
  3. Data indicate that FAIM is a novel regulator of insulin signalling and plays an essential role in energy homoeostasis. PMID: 26866272
  4. FAIM modulates IGF-1-induced Akt activation and IRF4 expression and has a role in multiple myeloma cell survival PMID: 23138182
  5. FAIM (1-90) was crystallized and diffracted to a resolution of 2.5 A; the crystal belonged to space group P3(1), with unit-cell parameters a=b=58.02, c=71.11 A, alpha=beta=90, gamma=120 degrees. PMID: 20693673
  6. Human keratinocytes were transfected with either Flip, Faim, or Lifeguard (LFG). Our results suggest that heterotopic expression of antiapoptotic proteins can induce the resistance of keratinocytes to a major mechanism of rejection. PMID: 17912957
  7. Expression of the long form of Fas apoptotic inhibitory molecule (FAIML) results in the protection of neurons from the cytotoxic actions of death ligands. PMID: 17942717
  8. FAIM acts to specifically enhance CD40 signaling for NF-kappaB activation, IRF-4 expression, and BCL-6 down-regulation in vitro, but has no effect on its own PMID: 19592656

Show More

Hide All

Subcellular Location
Cytoplasm.
Protein Families
FAIM1 family
Database Links

HGNC: 18703

OMIM: 617535

KEGG: hsa:55179

STRING: 9606.ENSP00000342805

UniGene: Hs.173438

icon of phone
Call us
301-363-4651 (Available 9 a.m. to 5 p.m. CST from Monday to Friday)
icon of address
Address
7505 Fannin St., Ste 610, Room 7 (CUBIO Innovation Center), Houston, TX 77054, USA
icon of social media
Join us with

Subscribe newsletter

Leave a message

* To protect against spam, please pass the CAPTCHA test below.
CAPTCHA verification
© 2007-2025 CUSABIO TECHNOLOGY LLC All rights reserved. 鄂ICP备15011166号-1
×
Place an order now

I. Product details

*
*
*
*

II. Contact details

*
*

III. Ship To

*
*
*
*
*
*
*

IV. Bill To

*
*
*
*
*
*
*
*