HINT2 Antibody

Code CSB-PA916909
Size US$166
Order now
Image
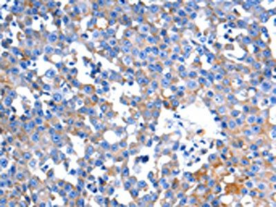
  • The image on the left is immunohistochemistry of paraffin-embedded Human breast cancer tissue using CSB-PA916909(HINT2 Antibody) at dilution 1/60, on the right is treated with synthetic peptide. (Original magnification: ×200)
  • The image on the left is immunohistochemistry of paraffin-embedded Human colon cancer tissue using CSB-PA916909(HINT2 Antibody) at dilution 1/60, on the right is treated with synthetic peptide. (Original magnification: ×200)
Have Questions? Leave a Message or Start an on-line Chat

Product Details

Uniprot No.
Target Names
HINT2
Alternative Names
1190005L05Rik antibody; HINT-2 antibody; HINT-3 antibody; HINT2 antibody; HINT2_HUMAN antibody; histidine triad nucleotide binding protein 2 antibody; Histidine triad nucleotide-binding protein 2 antibody; HIT-17 antibody; HIT-17kDa antibody; mitochondrial antibody; PKCI-1-related HIT protein antibody; Protein kinase C inhibitor 2 antibody
Raised in
Rabbit
Species Reactivity
Human
Immunogen
Synthetic peptide of Human HINT2
Immunogen Species
Homo sapiens (Human)
Conjugate
Non-conjugated
Isotype
IgG
Purification Method
Antigen affinity purification
Concentration
It differs from different batches. Please contact us to confirm it.
Buffer
-20°C, pH7.4 PBS, 0.05% NaN3, 40% Glycerol
Form
Liquid
Tested Applications
ELISA,IHC
Recommended Dilution
Application Recommended Dilution
ELISA 1:1000-1:5000
IHC 1:25-1:100
Troubleshooting and FAQs
Storage
Upon receipt, store at -20°C or -80°C. Avoid repeated freeze.
Lead Time
Basically, we can dispatch the products out in 1-3 working days after receiving your orders. Delivery time maybe differs from different purchasing way or location, please kindly consult your local distributors for specific delivery time.
Usage
For Research Use Only. Not for use in diagnostic or therapeutic procedures.

Customer Reviews and Q&A

 Customer Reviews

There are currently no reviews for this product.

Submit a Review here

Target Background

Function
Exhibits adenosine 5'-monophosphoramidase activity, hydrolyzing purine nucleotide phosphoramidates with a single phosphate group such as adenosine 5'monophosphoramidate (AMP-NH2) to yield AMP and NH2. Hydrolyzes adenosine 5'-O-p-nitrophenylphosphoramidate (AMP-pNA). Hydrolyzes fluorogenic purine nucleoside tryptamine phosphoramidates in vitro. May be involved in steroid biosynthesis. May play a role in apoptosis.
Gene References into Functions
  1. Authors deduced that HINT2 triggers apoptosis in pancreatic cancer cells by regulating mitochondrial Ca(2+) influx through the mitochondrial calcium uniporter (MCU). Authors found that HINT2 can sensitize BxPC-3 and L3.6pl cells to gemcitabine-induced apoptosis and that gemcitabine up-regulates HINT2 expression. PMID: 28947137
  2. HINT2 downregulation depended on hypoxia inducible factor (HIF)-2alpha-mediated transcriptional activation of zinc finger E-box-binding homeobox 1 (ZEB1). These results suggest that HINT2 downregulation promotes HIF-2alpha expression, which induces EMT and enhances CRC cell migration and invasion. PMID: 28088787
  3. Low HINT2 expression is associated with low response to therapy in endometrial cancer. PMID: 23682076
  4. X-ray crystal structure of human HINT2 with and without bound AMP. PMID: 23659632
  5. Hint2 is required for an optimal steroidogenic response, possibly because of a particular signalling function exerted within the mitochondria. PMID: 18653718

Show More

Hide All

Subcellular Location
Mitochondrion.
Protein Families
HINT family
Tissue Specificity
High expression in liver and pancreas. Expression is significantly down-regulated in hepatocellular carcinoma (HCC) patients.
Database Links

HGNC: 18344

OMIM: 609997

KEGG: hsa:84681

STRING: 9606.ENSP00000259667

UniGene: Hs.70573

icon of phone
Call us
301-363-4651 (Available 9 a.m. to 5 p.m. CST from Monday to Friday)
icon of address
Address
7505 Fannin St., Ste 610, Room 7 (CUBIO Innovation Center), Houston, TX 77054, USA
icon of social media
Join us with

Subscribe newsletter

Leave a message

* To protect against spam, please pass the CAPTCHA test below.
CAPTCHA verification
© 2007-2025 CUSABIO TECHNOLOGY LLC All rights reserved. 鄂ICP备15011166号-1
×
Place an order now

I. Product details

*
*
*
*

II. Contact details

*
*

III. Ship To

*
*
*
*
*
*
*

IV. Bill To

*
*
*
*
*
*
*
*