HIST1H1D (Ab-146) Antibody

Code CSB-PA010379PA146nphHU
Size US$175
Order now
Image
  • Western Blot
    Positive WB detected in: PC-3 whole cell lysate, Rat spleen tissue, Mouse spleen tissue
    All lanes: HIST1H1D antibody at 1.5µg/ml
    Secondary
    Goat polyclonal to rabbit IgG at 1/50000 dilution
    Predicted band size: 23 kDa
    Observed band size: 23 kDa

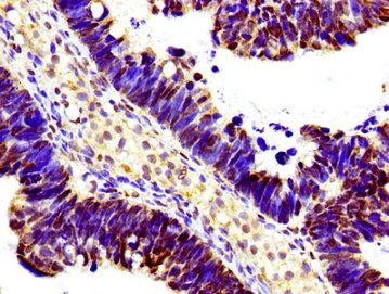
  • Immunohistochemistry of paraffin-embedded human ovarian cancer using CSB-PA010379PA146nphHU at dilution of 1:100

  • Immunofluorescent analysis of Hela cells using CSB-PA010379PA146nphHU at dilution of 1:100 and Alexa Fluor 488-congugated AffiniPure Goat Anti-Rabbit IgG(H+L)

Have Questions? Leave a Message or Start an on-line Chat

Product Details

Full Product Name
Rabbit anti-Homo sapiens (Human) HIST1H1D Polyclonal antibody
Uniprot No.
Target Names
HIST1H1D
Alternative Names
H1 histone family member 3 antibody; H1.3 antibody; H13_HUMAN antibody; H1F3 antibody; HIST1 H1D antibody; HIST1H1D antibody; Histone 1 H1d antibody; Histone cluster 1 H1d antibody; Histone H1.3 antibody; Histone H1c antibody; MGC138176 antibody
Raised in
Rabbit
Species Reactivity
Human, Mouse, Rat
Immunogen
Peptide sequence around site of Thr (146) derived from Human Histone H1.3
Immunogen Species
Homo sapiens (Human)
Conjugate
Non-conjugated
Clonality
Polyclonal
Isotype
IgG
Purification Method
Antigen Affinity Purified
Concentration
It differs from different batches. Please contact us to confirm it.
Buffer
Preservative: 0.03% Proclin 300
Constituents: 50% Glycerol, 0.01M PBS, pH 7.4
Form
Liquid
Tested Applications
ELISA, WB, IHC, IF
Recommended Dilution
Application Recommended Dilution
WB 1:200-1:2000
IHC 1:20-1:200
IF 1:50-1:200
Troubleshooting and FAQs
Storage
Upon receipt, store at -20°C or -80°C. Avoid repeated freeze.
Lead Time
Basically, we can dispatch the products out in 1-3 working days after receiving your orders. Delivery time maybe differs from different purchasing way or location, please kindly consult your local distributors for specific delivery time.
Usage
For Research Use Only. Not for use in diagnostic or therapeutic procedures.

Customer Reviews and Q&A

 Customer Reviews

There are currently no reviews for this product.

Submit a Review here

Target Background

Function
Histone H1 protein binds to linker DNA between nucleosomes forming the macromolecular structure known as the chromatin fiber. Histones H1 are necessary for the condensation of nucleosome chains into higher-order structured fibers. Acts also as a regulator of individual gene transcription through chromatin remodeling, nucleosome spacing and DNA methylation.
Gene References into Functions
  1. Results show that histone H1.3, was identified only in non-neoplastic MCF-10A breast cells but not in metastatic MDA-MB-231 breast cancer cells . PMID: 26209608
  2. Histone H1 organizes and maintains an extensive protein-protein interaction network in the nucleolus required for nucleolar structure and integrity. PMID: 25584861
  3. overexpression of histone cluster 1 is associated with recurrence in meningiomas. PMID: 20685720
Subcellular Location
Nucleus. Chromosome. Note=According to PubMed:15911621 more commonly found in euchromatin. According to PubMed:10997781 is associated with inactive chromatin.
Protein Families
Histone H1/H5 family
Database Links

HGNC: 4717

OMIM: 142210

KEGG: hsa:3007

STRING: 9606.ENSP00000244534

UniGene: Hs.136857

icon of phone
Call us
301-363-4651 (Available 9 a.m. to 5 p.m. CST from Monday to Friday)
icon of address
Address
7505 Fannin St., Ste 610, Room 7 (CUBIO Innovation Center), Houston, TX 77054, USA
icon of social media
Join us with

Subscribe newsletter

Leave a message

* To protect against spam, please pass the CAPTCHA test below.
CAPTCHA verification
© 2007-2025 CUSABIO TECHNOLOGY LLC All rights reserved. 鄂ICP备15011166号-1
×
Place an order now

I. Product details

*
*
*
*

II. Contact details

*
*

III. Ship To

*
*
*
*
*
*
*

IV. Bill To

*
*
*
*
*
*
*
*