Alternative Names
                            
								3 hydroxy 3 methylglutaryl Coenzyme A synthase 1 (soluble) antibody; 3-hydroxy-3-methylglutaryl coenzyme A synthase antibody; cytoplasmic antibody; EC 2.3.3.10 antibody; HMCS1_HUMAN antibody; HMG CoA synthase antibody; HMG-CoA synthase antibody; HMGCS antibody; HMGCS1 antibody; Hydroxymethylglutaryl CoA synthase, cytoplasmic antibody; Hydroxymethylglutaryl-CoA synthase antibody; MGC90332 antibody
							 
                         
                                                                        
                                                                        
                                                                        
                            Immunogen
                            Synthetic peptide of Human HMGCS1
                         
                                                                        
                            Immunogen Species
                            Homo sapiens (Human)
                         
                                                                        
                                                                                                
                                                                                                
                            Purification Method
                            Antigen affinity purification
                         
                                                
                            Concentration
                            It differs from different batches. Please contact us to confirm it.
                         
                                                
                            Buffer
                            -20°C, pH7.4 PBS, 0.05% NaN3, 40% Glycerol
                         
                                                                        
                                                                        												                        
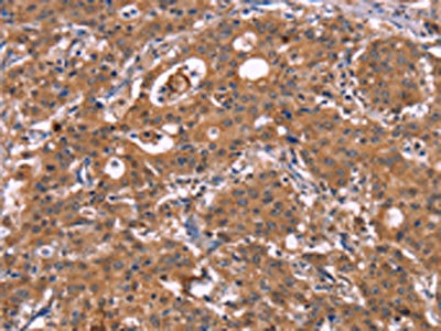
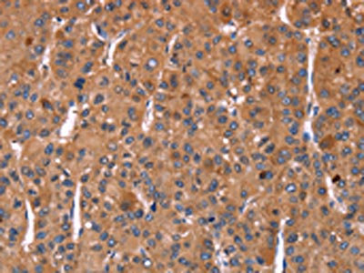
                            Tested Applications
                            ELISA,IHC
                         
						                                                                                                                        
                            Recommended Dilution
                            
                                
                                    
                                        | Application | Recommended Dilution | 
                                                                                                                                                                                    
                                        | ELISA | 1:2000-1:5000 | 
                                                                                                                                                                                    
                                        | IHC | 1:50-1:200 | 
                                                                    
                             
                         
                        												                                                                        
                                                
                                                
                            Storage
                            Upon receipt, store at -20°C or -80°C. Avoid repeated freeze.
                         
                                                                        
                            Lead Time
                            Basically, we can dispatch the products out in 1-3 working days after receiving your orders. Delivery time maybe differs from different purchasing way or location, please kindly consult your local distributors for specific delivery time.
                         
						                        
                            Usage
                            For Research Use Only. Not for use in diagnostic or therapeutic procedures.