Full Product Name
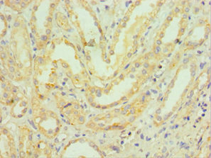
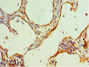
                            Rabbit anti-Homo sapiens (Human) HMGN4 Polyclonal antibody
                         
                                                                                                
                                                                        
                                                                        
                            Alternative Names
                            
								HMGN4 antibody; HMG17L3 antibody; NHC antibody; High mobility group nucleosome-binding domain-containing protein 4 antibody; Non-histone chromosomal protein HMG-17-like 3 antibody; Non-histone chromosomal protein antibody
							 
                         
                                                                        
                                                                        
                                                                        
                            Immunogen
                            Recombinant Human High mobility group nucleosome-binding domain-containing protein 4 protein (1-90AA)
                         
                                                                        
                            Immunogen Species
                            Homo sapiens (Human)
                         
                                                                        
                                                                        
                                                                        
                                                                                                
                            Purification Method
                            Antigen Affinity Purified
                         
                                                
                            Concentration
                            It differs from different batches. Please contact us to confirm it.
                         
                                                
                            Buffer
                            PBS with 0.02% sodium azide, 50% glycerol, pH7.3.
                         
                                                                        
                                                                        												                        
                            Tested Applications
                            ELISA, IHC
                         
						                                                                                                                        
                            Recommended Dilution
                            
                                
                                    
                                        | Application | Recommended Dilution | 
                                                                                                                                                                                    
                                        | IHC | 1:20-1:200 | 
                                                                    
                             
                         
                        												                                                                        
                                                
                                                
                            Storage
                            Upon receipt, store at -20°C or -80°C. Avoid repeated freeze.
                         
                                                                        
                            Lead Time
                            Basically, we can dispatch the products out in 1-3 working days after receiving your orders. Delivery time maybe differs from different purchasing way or location, please kindly consult your local distributors for specific delivery time.
                         
						                        
                            Usage
                            For Research Use Only. Not for use in diagnostic or therapeutic procedures.