HMGN5 Antibody

Code CSB-PA921993
Size US$166
Order now
Image
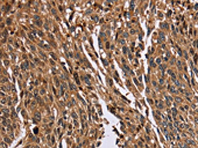
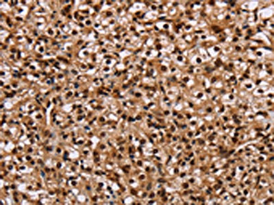
  • The image on the left is immunohistochemistry of paraffin-embedded Human prostate cancer tissue using CSB-PA921993(HMGN5 Antibody) at dilution 1/20, on the right is treated with fusion protein. (Original magnification: ×200)
  • The image on the left is immunohistochemistry of paraffin-embedded Human lung cancer tissue using CSB-PA921993(HMGN5 Antibody) at dilution 1/20, on the right is treated with fusion protein. (Original magnification: ×200)
  • Gel: 8%SDS-PAGE, Lysate: 40 μg, Lane: 231 cells, Primary antibody: CSB-PA921993(HMGN5 Antibody) at dilution 1/100, Secondary antibody: Goat anti rabbit IgG at 1/8000 dilution, Exposure time: 5 minutes
Have Questions? Leave a Message or Start an on-line Chat

Product Details

Uniprot No.
Target Names
HMGN5
Alternative Names
High mobility group nucleosome binding domain 5 antibody; High mobility group nucleosome-binding domain-containing protein 5 antibody; Hmgn5 antibody; HMGN5_HUMAN antibody; NBP 45 antibody; NSBP 1 antibody; NSBP1 antibody; Nucleosomal binding protein 1 antibody; Nucleosome binding protein 1 antibody; Nucleosome-binding protein 1 antibody
Raised in
Rabbit
Species Reactivity
Human
Immunogen
Fusion protein of Human HMGN5
Immunogen Species
Homo sapiens (Human)
Conjugate
Non-conjugated
Isotype
IgG
Purification Method
Antigen affinity purification
Concentration
It differs from different batches. Please contact us to confirm it.
Buffer
-20°C, pH7.4 PBS, 0.05% NaN3, 40% Glycerol
Form
Liquid
Tested Applications
ELISA,WB,IHC
Recommended Dilution
Application Recommended Dilution
ELISA 1:1000-1:2000
WB 1:200-1:1000
IHC 1:50-1:200
Troubleshooting and FAQs
Storage
Upon receipt, store at -20°C or -80°C. Avoid repeated freeze.
Lead Time
Basically, we can dispatch the products out in 1-3 working days after receiving your orders. Delivery time maybe differs from different purchasing way or location, please kindly consult your local distributors for specific delivery time.
Usage
For Research Use Only. Not for use in diagnostic or therapeutic procedures.

Customer Reviews and Q&A

 Customer Reviews

There are currently no reviews for this product.

Submit a Review here

Target Background

Function
Preferentially binds to euchromatin and modulates cellular transcription by counteracting linker histone-mediated chromatin compaction.
Gene References into Functions
  1. Findings suggest that a miR-140-5p/HMGN5/autophagy regulatory loop plays a critical role in chemoresistance in osteosarcoma. In conclusion, our data elucidated that miR-140-5p promoted autophagy mediated by HMGN5 and sensitized osteosarcoma cells to chemotherapy. PMID: 28341864
  2. High HMGN5 expression is associated with osteosarcoma invasion. PMID: 28627703
  3. We observed decreased miR-409-3p expression in glioma, and overexpression of miR-409-3p repressed glioma cell invasion and proliferation by targeting HMGN5, an oncogene associated with glioma PMID: 28109076
  4. HMGN5 regulated the expression of multidrug resistance 1, cyclin B1, and Bcl-2. PMID: 28914995
  5. NSBP1 was highly expressed in NSCLC cells. NSBP1 siRNA knockdown suppressed NSCLC cell proliferation and invasion. miR326 has a putative binding site in the NSBP1 3'UTR. NSBP1 overexpression abolished miR326 inhibition of cyclin B1 and MMP9 expression. PMID: 26548724
  6. HMGN5 overexpression is correlated with advanced pathological grade and poorer prognosis in meningiomas PMID: 26315299
  7. Decreased miR-340 expression may contribute to the development and progression of prostate cancer through a mechanism that involves HMGN5. PMID: 26394192
  8. Our data first time identified miR-186 as the upstream regulator of NSBP1 PMID: 26290438
  9. High HMGN5 expression is associated with urothelial bladder cancer. PMID: 25796505
  10. HMGN5 is an oncogene and plays an important role in prostate cancer tumorigenesis and progression. the level of HMGN5 may be used as a biomarker to predict the patients that would benefit from gemcitabine treatment. PMID: 25572120
  11. HMGN5 plays an oncogenic role in human breast cancer by inhibiting cell proliferation and invasion, and activating apoptosis, which could be exploited as a target for therapy in human breast cancer. PMID: 25315189
  12. HMGN5 knockdown sensitizes prostate cancer cells to ionizing radiation PMID: 25307178
  13. HMGN5 plays oncogenic role in osteosarcoma by promoting cell proliferation and invasion, and could be exploited as a target for therapy in osteosarcoma. PMID: 24687550
  14. HMGN5 is a critical factor in the development of chemoresistance through regulating autophagy, and it offers a novel target for improving osteosarcoma therapy. PMID: 24664583
  15. Data indicate that cells lacking either high mobility group protein N5 (HMGN5) and lamina-associated polypeptide 2alpha (LAP2alpha) showed that loss of either protein affects the genome-wide distribution of the remaining partner. PMID: 23673662
  16. HMGN5 silencing to significantly inhibit A549 and H1299 cell proliferation. PMID: 22994738
  17. HMGN5 may be a potential molecular target with therapeutic relevance for the treatment of prostate cancer. PMID: 22504871
  18. NSBP1 plays oncogenic role in clear cell renal cell carcinoma (ccRCC) by promoting cell proliferation and invasion. PMID: 22420896
  19. The data of study suggested that HMGN5 may play a critical role in the development of gliomas. PMID: 21373965
  20. these results suggest that NSBP1 promotes the viability of bladder cancer cells through increased cell proliferation PMID: 21695596
  21. HMGN5 has a highly disordered structure, binds dynamically to nucleosome core particles, modulates the binding of H1 to chromatin, reduces the compaction of the chromatin fiber, and affects transcription. PMID: 21518955
  22. A positive correlation was observed between NSBP1 expression and cell proliferation and apoptosis in DU145 cells. PMID: 20531280
  23. The structure of the HMGN5 gene and the known properties of the HMGN5 protein, are described. PMID: 20123071

Show More

Hide All

Subcellular Location
Nucleus.
Protein Families
HMGN family
Tissue Specificity
Ubiquitously expressed.
Database Links

HGNC: 8013

OMIM: 300385

KEGG: hsa:79366

STRING: 9606.ENSP00000350848

UniGene: Hs.282204

icon of phone
Call us
301-363-4651 (Available 9 a.m. to 5 p.m. CST from Monday to Friday)
icon of address
Address
7505 Fannin St., Ste 610, Room 7 (CUBIO Innovation Center), Houston, TX 77054, USA
icon of social media
Join us with

Subscribe newsletter

Leave a message

* To protect against spam, please pass the CAPTCHA test below.
CAPTCHA verification
© 2007-2025 CUSABIO TECHNOLOGY LLC All rights reserved. 鄂ICP备15011166号-1
×
Place an order now

I. Product details

*
*
*
*

II. Contact details

*
*

III. Ship To

*
*
*
*
*
*
*

IV. Bill To

*
*
*
*
*
*
*
*