HOXD10 Antibody

Code CSB-PA010682ESR2HU
Size US$166
Order now
Image
  • Western blot
    All lanes: HOXD10 antibody at 3.21μg/ml
    Lane 1: Mouse liver tissue
    Lane 2: Mouse gonadal tissue
    Secondary
    Goat polyclonal to rabbit IgG at 1/10000 dilution
    Predicted band size: 38 kDa
    Observed band size: 38 kDa

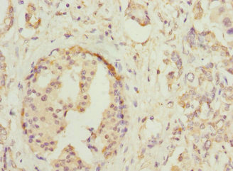
  • Immunohistochemistry of paraffin-embedded human bladder cancer using CSB-PA010682ESR2HU at dilution of 1:100

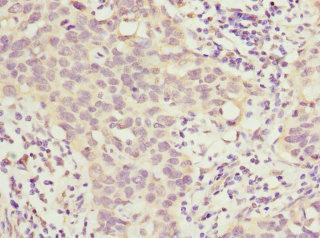
  • Immunohistochemistry of paraffin-embedded human pancreatic cancer using CSB-PA010682ESR2HU at dilution of 1:100

Have Questions? Leave a Message or Start an on-line Chat

Product Details

Full Product Name
Rabbit anti-Homo sapiens (Human) HOXD10 Polyclonal antibody
Uniprot No.
Target Names
HOXD10
Alternative Names
AI385591 antibody; AI874987 antibody; Homeo box 4D antibody; Homeo box D10 antibody; Homeobox D10 antibody; Homeobox protein Hox-4D antibody; Homeobox protein Hox-4E antibody; Homeobox protein Hox-D10 antibody; Hox 4.4 antibody; Hox 4.5 antibody; Hox 4D antibody; Hox 4E antibody; Hox 5.3 antibody; HOX4D antibody; HOX4E antibody; HOXD10 antibody; HXD10 antibody; HXD10_HUMAN antibody; OTTMUSP00000017845 antibody; RP23-313J15.9 antibody
Raised in
Rabbit
Species Reactivity
Human, Mouse
Immunogen
Recombinant Human Homeobox protein Hox-D10 protein (1-240AA)
Immunogen Species
Homo sapiens (Human)
Conjugate
Non-conjugated
Clonality
Polyclonal
Isotype
IgG
Purification Method
Antigen Affinity Purified
Concentration
It differs from different batches. Please contact us to confirm it.
Buffer
PBS with 0.02% sodium azide, 50% glycerol, pH7.3.
Form
Liquid
Tested Applications
ELISA, WB, IHC
Recommended Dilution
Application Recommended Dilution
WB 1:1000-1:5000
IHC 1:20-1:200
Troubleshooting and FAQs
Storage
Upon receipt, store at -20°C or -80°C. Avoid repeated freeze.
Lead Time
Basically, we can dispatch the products out in 1-3 working days after receiving your orders. Delivery time maybe differs from different purchasing way or location, please kindly consult your local distributors for specific delivery time.
Usage
For Research Use Only. Not for use in diagnostic or therapeutic procedures.

Customer Reviews and Q&A

 Customer Reviews

There are currently no reviews for this product.

Submit a Review here

Target Background

Function
Sequence-specific transcription factor which is part of a developmental regulatory system that provides cells with specific positional identities on the anterior-posterior axis.
Gene References into Functions
  1. Results show that HOXD10 promoter is hypermethylated in papillary thyroid cancer (PTC) tissues and its mRNA expression decreased. Moreover, the hypermethylation of HOXD10 was associated with invasion of the primary tumor. Further data provide evidence that the epigenetic suppression of the HOXD10 gene may play a role in the tumorigenesis of PTC. PMID: 29115628
  2. Results show that HOXD10 is frequently methylated in human hepatocellular carcinoma (HCC), and the expression of HOXD10 is regulated by promoter region methylation. HOXD10 suppresses HCC cell growth both in vitro and in vivo. HOXD10 suppresses human HCC by inhibiting ERK signaling. PMID: 29075359
  3. our data suggest that the loss of HoxD10 function is common and may thus result in a progressive phenotype in PCa. HoxD10 may function as a biomarker that differentiates patients with BCR disease from the ones that are not after radical prostatectomy, implicating its potential as a therapeutic target. PMID: 28231752
  4. Knock down of the dickkopf WNT signaling pathway inhibitor 2 (DKK2) resulted in a significant suppression of HOXD10, HOXD11 and HOXD13 while over-expression of DKK2 and stimulation with factors of the WNT signaling pathway. PMID: 27363011
  5. By treating LECs with VEGF-C156S and analyzing subsequent changes in gene expression, we identified several 'immediate early' transcription factors that showed a rapid transient upregulation VEGFR-3 stimulation. these results reveal an important and unanticipated role of HOXD10 in the regulation of VEGFR-3 signaling in lymphatic endothelial cells, and in the control of lymphangiogenesis and permeability. PMID: 27199372
  6. Knockdown of HOXD10 in renal cells also resulted in increased resistance to colistin cytotoxicity. PMID: 28335481
  7. High expression of HOXD10 is associated with laryngeal squamous cell carcinoma. PMID: 27658780
  8. Low HOXD10 promotes migration and invasion in gastric cancer. PMID: 26311318
  9. These results suggested that HOXD10 may be a putative suppressor gene and can act as a prognostic marker and potentially a novel therapeutic target for cholangiocellular carcinoma. PMID: 26260613
  10. miR-23a was upregulated in glioma. This overexpression promoted glioma cell invasion, probably by modulating MMP-14 via directly inhibiting the expression of HOXD10. PMID: 24305689
  11. POU2F1 activity regulates HOXD10 and HOXD11 gene expression in head and neck squamous cell carcinoma, promoting a proliferative and invasive phenotype. PMID: 25301728
  12. Downregulation of the HOXD10 gene expression was associated with breast cancer. PMID: 25081374
  13. KLF4 and HOXD10 were identified as direct targets of miR-10b in bladder cancer cells PMID: 24573354
  14. It is a member of the HOX gene family. HOX genes are the main regulatory genes that directly influence organogenesis and maintain the function of differentiated tissues PMID: 24219032
  15. MicroRNA-10b promotes nucleus pulposus cell proliferation through RhoC-Akt pathway by targeting HOXD10 in intervetebral disc degeneration. PMID: 24376640
  16. HOXD10 expression varies by stage of disease and produces differential effects in head and neck squamous cell carcinoma. PMID: 25010866
  17. TBX1 can alter TGF-beta/BMP, an important signaling pathway, through interacting with HOXD10. Above findings may shed light on the mechanism of TBX1 mutations leading to renal malformations found in patients carrying a 22q11 deletion. PMID: 22842189
  18. downregulation of HOXD10 expression by miR-10b overexpression may induce an increase of pro-metastatic gene products, such as MMP14 and RHOC, and contribute to the acquisition of metastatic phenotypes in epithelial ovarian cancer cells PMID: 23670532
  19. HoxD10 potentially functions as a tumor suppressor that is inactivated through promoter hypermethylation in gastric cancer. PMID: 22160393
  20. Suggest that miR-10b can stimulate the upregulation of RhoC and AKT phosphorylation through targeting HOXD10, thus promoting cell invasion in gastric tumors. PMID: 22293682
  21. miR-10b induced glioma cell invasion by modulating tumor invasion factors MMP-14 and uPAR expression via the direct target HOXD10 PMID: 21419107
  22. results indicate a role for HoxD10 in maintaining a nonangiogenic state in the endothelium PMID: 12466126
  23. Missense Mutation in HOXD10 is associated with congenital vertical talus and Charcot-Marie-Tooth disease PMID: 15146389
  24. An autosomal-dominant-inherited mutation in a HOXD10 gene with complete penetrance is found in all members of a pedigree with congenital vertical talus. PMID: 15368082
  25. No evidence was found of linkage near the HOXD gene cluster on chromosome 2q, suggesting genes other than HOXD10 are responsible for idiopathic clubfoot. PMID: 17417092
  26. Pak1 is a target of miR-7 and that HoxD10 plays a regulatory role in modifying the expression of miR-7. PMID: 18922890

Show More

Hide All

Involvement in disease
Vertical talus, congenital (CVT)
Subcellular Location
Nucleus.
Protein Families
Abd-B homeobox family
Tissue Specificity
Strongly expressed in the adult male and female urogenital tracts.
Database Links

HGNC: 5133

OMIM: 142984

KEGG: hsa:3236

STRING: 9606.ENSP00000249501

UniGene: Hs.123070

icon of phone
Call us
301-363-4651 (Available 9 a.m. to 5 p.m. CST from Monday to Friday)
icon of address
Address
7505 Fannin St., Ste 610, Room 7 (CUBIO Innovation Center), Houston, TX 77054, USA
icon of social media
Join us with

Subscribe newsletter

Leave a message

* To protect against spam, please pass the CAPTCHA test below.
CAPTCHA verification
© 2007-2025 CUSABIO TECHNOLOGY LLC All rights reserved. 鄂ICP备15011166号-1
×
Place an order now

I. Product details

*
*
*
*

II. Contact details

*
*

III. Ship To

*
*
*
*
*
*
*

IV. Bill To

*
*
*
*
*
*
*
*