HSD17B2 Antibody

Code CSB-PA960706
Size US$166
Order now
Image
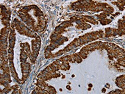
  • The image on the left is immunohistochemistry of paraffin-embedded Human esophagus cancer tissue using CSB-PA960706(HSD17B2 Antibody) at dilution 1/50, on the right is treated with fusion protein. (Original magnification: ×200)
  • The image on the left is immunohistochemistry of paraffin-embedded Human brain tissue using CSB-PA960706(HSD17B2 Antibody) at dilution 1/50, on the right is treated with fusion protein. (Original magnification: ×200)
  • Gel: 8%SDS-PAGE, Lysate: 40 μg, Lane: Human fetal liver tissue, Primary antibody: CSB-PA960706(HSD17B2 Antibody) at dilution 1/300, Secondary antibody: Goat anti rabbit IgG at 1/8000 dilution, Exposure time: 1 minute
Have Questions? Leave a Message or Start an on-line Chat

Product Details

Uniprot No.
Target Names
HSD17B2
Alternative Names
HSD17B2; EDH17B2; SDR9C2; 17-beta-hydroxysteroid dehydrogenase type 2; 17-beta-HSD 2; 20 alpha-hydroxysteroid dehydrogenase; 20-alpha-HSD; E2DH; Estradiol 17-beta-dehydrogenase 2; Microsomal 17-beta-hydroxysteroid dehydrogenase; Short chain dehydrogenase/reductase family 9C member 2; Testosterone 17-beta-dehydrogenase
Raised in
Rabbit
Species Reactivity
Human
Immunogen
Fusion protein of Human HSD17B2
Immunogen Species
Homo sapiens (Human)
Conjugate
Non-conjugated
Isotype
IgG
Purification Method
Antigen affinity purification
Concentration
It differs from different batches. Please contact us to confirm it.
Buffer
-20°C, pH7.4 PBS, 0.05% NaN3, 40% Glycerol
Form
Liquid
Tested Applications
ELISA,WB,IHC
Recommended Dilution
Application Recommended Dilution
ELISA 1:2000-1:5000
WB 1:500-1:2000
IHC 1:50-1:200
Troubleshooting and FAQs
Storage
Upon receipt, store at -20°C or -80°C. Avoid repeated freeze.
Lead Time
Basically, we can dispatch the products out in 1-3 working days after receiving your orders. Delivery time maybe differs from different purchasing way or location, please kindly consult your local distributors for specific delivery time.
Usage
For Research Use Only. Not for use in diagnostic or therapeutic procedures.

Customer Reviews and Q&A

 Customer Reviews

There are currently no reviews for this product.

Submit a Review here

Target Background

Function
Capable of catalyzing the interconversion of testosterone and androstenedione, as well as estradiol and estrone. Also has 20-alpha-HSD activity. Uses NADH while EDH17B3 uses NADPH.
Gene References into Functions
  1. ATRA treatment decreased the mRNA expression of 17-beta-dehydrogenase 2 (HSD17B2) which converts estradiol into estrone in a dose-dependent manner PMID: 26228249
  2. Our findings suggested that CYP19A1 and HSD17B2 polymorphisms might be associated with circulating sex hormone levels in Japanese postmenopausal women, independent of current BMI. PMID: 26323233
  3. Data indicate that conversion of testosterone to 4-dione detected in abdominal adipose tissue is caused by 17b-HSD type 2 which is localized in the vasculature of the adipose compartment. PMID: 26123590
  4. This study demonstrated that HSD17B2 transcript and protein levels are linked to some clinicopathological features in gastric cancer. PMID: 25776474
  5. In both arm and subumbilical skin biopsy of patients with idiopathic hirsutism, there was an up-regulation of HSD17B2 mRNA expression. PMID: 26194504
  6. Single nucleotide polymorphism in HSD17B2 gene is associated with hepatocellular carcinoma. PMID: 24563232
  7. This study identified specific germline variations in estradiol metabolism-related pathways, namely CYP1B1, SULT2B1, and HSD17B2, as novel prognostic markers that are cumulatively associated with increased risk of prostate cancer progression PMID: 24682418
  8. SNP variants in the 17beta-HSD2 and 17beta-HSD7 genes and 17beta-HSD7 copy number is associated with increased estradiol levels in breast cancer tissues. PMID: 24560990
  9. overexpression of 17beta-HSD2 in sebocytes significantly increased the androstenedione production and markedly decreased the amounts of testosterone and dihydrotestosterone PMID: 24938708
  10. no significant difference in the genotype and allele frequencies of rs8191246 between uterine leiomyoma cases and controls PMID: 22546946
  11. Single-nucleotide polymorphisms in HSD17B2, HSD17B3 and HSD17B1 are associated with plasma testosterone level and prostate cancer aggressiveness. PMID: 21900597
  12. Data indicate that 17betaHSD2 expression is higher in HUAEC than in HUVEC; activity is higher in umbilical arteries near the placenta. These data are consistent with higher sex steroid inactivation in the arterial system of the foeto-placental unit. PMID: 21877158
  13. Data show that steroidogenic enzymes (AKR1C3, HSD17B2, UGT2B15 and UGT2B17) and stem/progenitor cell markers CK5 and ABCG2 were upregulated in castration resistant prostate cancer. PMID: 21365123
  14. Purification, reconstitution, and steady-state kinetics of the trans-membrane 17 beta-hydroxysteroid dehydrogenase 2. PMID: 11940569
  15. Androgen inactivation in human lung fibroblasts: variations in levels of 17 beta-hydroxysteroid dehydrogenase type 2 PMID: 12161528
  16. the lower expression of type 2 17 beta-HSD mRNA in scalp hairs of untreated hirsute patients suggests androgen metabolism disturbances with predominance of more potent androgens PMID: 12957669
  17. 17HSD type 2 mRNA expression in gastric mucosa of children compared to adults may be associated with increased need for protection against the mucosal load of foreign substances. The downregulation may have relevance in the pathogenesis of gastric cancer. PMID: 14666693
  18. Aromatase mRNA was higher in epithelial than in stromal cells in eutopic and ectopic endometrium in endometriosis. 17betaHSD2 in epithelial cells was increased during secretory phases compared with late proliferative phase. PMID: 16595205
  19. HSD17B2 expression in endometrial epithelial cells, and, therefore, estrogen inactivation, is regulated by SP1 and SP3, which are downstream targets of progesterone-dependent paracrine signals originating from endometrial stromal cells. PMID: 16807381
  20. importance of 17HSD type 2 in breast cancer- cell lines & non-tumour breast cells; high or low expression of 17HSD type 2 affected oestradiol concentration significantly; response was dependent on endogenous expression of 17HSD type 1 PMID: 16954436
  21. Previously unknown polymorphism was found in exon four of HSD17B2. Polymorphism does not contribute to a higher risk of developing breast cancer. PMID: 17260097
  22. The expression of 17beta-hydroxysteroid dehydrogenase type 2 (17beta-HSD2) in eutopic and ectopic endometrial tissues of women with endometriosis is reported. PMID: 17505937
  23. role for HSD17B2 in the action of retinoids, in addition to its oxidative HSD17B activity on sex steroids PMID: 17510238
  24. Data reported that a similar level of 17beta-hydroxysteroid dehydrogenase type 2 mRNA was found in Polycystic Ovary Syndrome and the control tissues. PMID: 17953976
  25. Overexpression in African-American breast cancer may contribute to the increased proportion of estrogen receptor-negative breast cancers and worse clinical outcome among African-American patients. PMID: 17993718
  26. The bone development in transgenic male mice ubiquitously expressing human HSD17B2, was studied. PMID: 18348690
  27. HSD17B2 germline mutations potentially involved in breast cancer predisposition. PMID: 18372405
  28. 17beta-HSD type 2 was expressed in 20% of breast cancer specimens. decrease in 17beta-HSD type 2 expressions in breast cancer may play a role in the development &/or progression of cancer by modifying the intratumoral levels of estrogens & androgens. PMID: 18996480
  29. preference of 17betaHSD2 for E2 oxidation strongly resists alteration by genetic & metabolic means. Findings suggest additional structural features, beyond lack of a specific Arg residue, disfavor NADPH binding & thus support E2 oxidation by 17betaHSD2 PMID: 19556422
  30. BRCA1 and HSD17B2 genes may increase the risk of developing breast cancer via enhanced estradiol activity. PMID: 19729830
  31. HSD17B2 modulates estrogen-independent and estrogen-dependent action in transgenic female mice. PMID: 19797119
  32. HSD17B2 mRNA is expressed in human skin, at higher levels in men than in women. Expression levels vary with skin sites. HSD17B2 levels are not altered by topical 17-beta-estradiol treatment. PMID: 18794456

Show More

Hide All

Subcellular Location
Membrane; Single-pass type II membrane protein.
Protein Families
Short-chain dehydrogenases/reductases (SDR) family
Tissue Specificity
Expressed in placenta.
Database Links

HGNC: 5211

OMIM: 109685

KEGG: hsa:3294

STRING: 9606.ENSP00000199936

UniGene: Hs.162795

icon of phone
Call us
301-363-4651 (Available 9 a.m. to 5 p.m. CST from Monday to Friday)
icon of address
Address
7505 Fannin St., Ste 610, Room 7 (CUBIO Innovation Center), Houston, TX 77054, USA
icon of social media
Join us with

Subscribe newsletter

Leave a message

* To protect against spam, please pass the CAPTCHA test below.
CAPTCHA verification
© 2007-2025 CUSABIO TECHNOLOGY LLC All rights reserved. 鄂ICP备15011166号-1
×
Place an order now

I. Product details

*
*
*
*

II. Contact details

*
*

III. Ship To

*
*
*
*
*
*
*

IV. Bill To

*
*
*
*
*
*
*
*