HYAL3 Antibody

Code CSB-PA010920ESR2HU
Size US$166
Order now
Image
  • Western blot
    All lanes: HYAL3 antibody at 4μg/ml + Mouse liver tissue
    Secondary
    Goat polyclonal to rabbit IgG at 1/10000 dilution
    Predicted band size: 47, 44, 19, 16 kDa
    Observed band size: 47 kDa

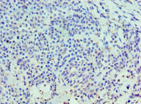
  • Immunohistochemistry of paraffin-embedded human breast cancer using CSB-PA010920ESR2HU at dilution of 1:100

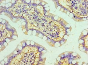
  • Immunohistochemistry of paraffin-embedded human small intestine tissue using CSB-PA010920ESR2HU at dilution of 1:100

Have Questions? Leave a Message or Start an on-line Chat

Product Details

Full Product Name
Rabbit anti-Homo sapiens (Human) HYAL3 Polyclonal antibody
Uniprot No.
Target Names
HYAL3
Alternative Names
Hyal-3 antibody; HYAL3 antibody; HYAL3_HUMAN antibody; Hyaluronidase 3 antibody; Hyaluronidase-3 antibody; Hyaluronoglucosaminidase 3 antibody; Hyaluronoglucosaminidase-3 antibody; LUCA-3 antibody; LUCA14 antibody; LUCA3 antibody; Lung carcinoma protein 3 antibody; Minna14 antibody
Raised in
Rabbit
Species Reactivity
Human, Mouse
Immunogen
Recombinant Human Hyaluronidase-3 protein (198-417AA)
Immunogen Species
Homo sapiens (Human)
Conjugate
Non-conjugated
Clonality
Polyclonal
Isotype
IgG
Purification Method
Antigen Affinity Purified
Concentration
It differs from different batches. Please contact us to confirm it.
Buffer
PBS with 0.02% sodium azide, 50% glycerol, pH7.3.
Form
Liquid
Tested Applications
ELISA, WB, IHC
Recommended Dilution
Application Recommended Dilution
WB 1:200-1:1000
IHC 1:20-1:200
Troubleshooting and FAQs
Storage
Upon receipt, store at -20°C or -80°C. Avoid repeated freeze.
Lead Time
Basically, we can dispatch the products out in 1-3 working days after receiving your orders. Delivery time maybe differs from different purchasing way or location, please kindly consult your local distributors for specific delivery time.
Usage
For Research Use Only. Not for use in diagnostic or therapeutic procedures.

Customer Reviews and Q&A

 Customer Reviews

There are currently no reviews for this product.

Submit a Review here

Target Background

Function
Facilitates sperm penetration into the layer of cumulus cells surrounding the egg by digesting hyaluronic acid. Involved in induction of the acrosome reaction in the sperm. Involved in follicular atresia, the breakdown of immature ovarian follicles that are not selected to ovulate. Induces ovarian granulosa cell apoptosis, possibly via apoptotic signaling pathway involving CASP8 and CASP3 activation, and poly(ADP-ribose) polymerase (PARP) cleavage. Has no hyaluronidase activity in embryonic fibroblasts in vitro. Has no hyaluronidase activity in granulosa cells in vitro.
Gene References into Functions
  1. the relative expression of hyalurosome (CD44, HAS3, HB-EGF) genes was found to be reduced in patients prior to topical treatment and to be notably increased following treatment. PMID: 25138066
  2. mutations of the HYAL3 gene are rare in Chinese lung squamous cell carcinoma patients and might contribute to lymph node metastasis PMID: 23549009
  3. polymorphisms in HYAL3 are potentially involved in glaucomatous neurodegeneration. PMID: 22960332
  4. Nodular basal cell carcinoma is associated with increased levels of hyaluronic acid concomitant with upregulation of gene expression of HAS3, HYAL3 and RHAMM, when compared with normal adjacent skin. PMID: 20849445
  5. Overexpression of HYAL3 is associated with colorectal cancer. PMID: 20849597
  6. Hyal3 null sperm showed delayed cumulus penetration and reduced acrosomal exocytosis. PMID: 20586096
  7. Characterization of the murine hyaluronidase gene region reveals complex organization and cotranscription of Hyal1 with downstream genes, Fus2 and Hyal3. PMID: 11929860
  8. Alternative mRNA splicing controls cellular expression of enzymatically active hyaluronidase. PMID: 12084718
  9. Down-regulation of HYAL3 is associated with small cell lung cancer and glioma PMID: 12684632

Show More

Hide All

Subcellular Location
Secreted. Cell membrane. Cytoplasmic vesicle, secretory vesicle, acrosome. Endoplasmic reticulum. Early endosome.
Protein Families
Glycosyl hydrolase 56 family
Tissue Specificity
Expressed in sperm. Highly expressed in epidermis of the skin, where it is expressed intracellularily in the deep horny layer (at protein level). Bone marrow, testis and kidney.
Database Links

HGNC: 5322

OMIM: 604038

KEGG: hsa:8372

STRING: 9606.ENSP00000337425

UniGene: Hs.129910

icon of phone
Call us
301-363-4651 (Available 9 a.m. to 5 p.m. CST from Monday to Friday)
icon of address
Address
7505 Fannin St., Ste 610, Room 7 (CUBIO Innovation Center), Houston, TX 77054, USA
icon of social media
Join us with

Subscribe newsletter

Leave a message

* To protect against spam, please pass the CAPTCHA test below.
CAPTCHA verification
© 2007-2025 CUSABIO TECHNOLOGY LLC All rights reserved. 鄂ICP备15011166号-1
×
Place an order now

I. Product details

*
*
*
*

II. Contact details

*
*

III. Ship To

*
*
*
*
*
*
*

IV. Bill To

*
*
*
*
*
*
*
*