KCNG3 Antibody

Code CSB-PA913431
Size US$166
Order now
Image
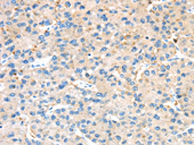
  • The image on the left is immunohistochemistry of paraffin-embedded Human liver cancer tissue using CSB-PA913431(KCNG3 Antibody) at dilution 1/25, on the right is treated with synthetic peptide. (Original magnification: ×200)
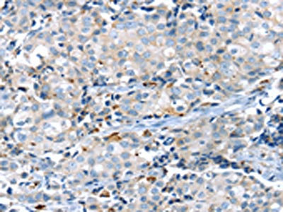
  • The image on the left is immunohistochemistry of paraffin-embedded Human breast cancer tissue using CSB-PA913431(KCNG3 Antibody) at dilution 1/25, on the right is treated with synthetic peptide. (Original magnification: ×200)
  • Gel: 8%SDS-PAGE,Lysate: 40 μg,,Primary antibody: CSB-PA913431(KCNG3 Antibody) at dilution 1/200 dilution,Secondary antibody: Goat anti rabbit IgG at 1/8000 dilution,Exposure time: 30 seconds
Have Questions? Leave a Message or Start an on-line Chat

Product Details

Uniprot No.
Target Names
KCNG3
Alternative Names
KCNG3; Potassium voltage-gated channel subfamily G member 3; Voltage-gated potassium channel subunit Kv10.1; Voltage-gated potassium channel subunit Kv6.3
Raised in
Rabbit
Species Reactivity
Human,Mouse,Rat
Immunogen
Synthetic peptide of Human KCNG3
Immunogen Species
Homo sapiens (Human)
Conjugate
Non-conjugated
Isotype
IgG
Purification Method
Antigen affinity purification
Concentration
It differs from different batches. Please contact us to confirm it.
Buffer
-20°C, pH7.4 PBS, 0.05% NaN3, 40% Glycerol
Form
Liquid
Tested Applications
ELISA,WB,IHC
Recommended Dilution
Application Recommended Dilution
ELISA 1:1000-1:2000
WB 1:200-1:1000
IHC 1:10-1:50
Troubleshooting and FAQs
Storage
Upon receipt, store at -20°C or -80°C. Avoid repeated freeze.
Lead Time
Basically, we can dispatch the products out in 1-3 working days after receiving your orders. Delivery time maybe differs from different purchasing way or location, please kindly consult your local distributors for specific delivery time.
Usage
For Research Use Only. Not for use in diagnostic or therapeutic procedures.

Customer Reviews and Q&A

 Customer Reviews

There are currently no reviews for this product.

Submit a Review here

Target Background

Function
Potassium channel subunit that does not form functional channels by itself. Can form functional heterotetrameric channels with KCNB1; this promotes a reduction in the rate of activation and inactivation of the delayed rectifier voltage-gated potassium channel KCNB1.
Gene References into Functions
  1. the correlation between dismal prognosis and Kv10.1 expression to patients with brain metastases or glioblastoma multiforme and, moreover, they strongly suggest a role of tricyclic antidepressants for personalized therapy of brain malignancies. PMID: 26530050
  2. [review] an overview of the current status of data linking K(V)10.1 to cancer, and techniques that could exploit K(V)10.1's properties for the management of cancer PMID: 22204340
  3. These results indicate that Kv6.3 is a novel member of the voltage-gated K(+) channel which functions as a modulatory subunit of the Kv2.1 channel. PMID: 11852086
Subcellular Location
Cell membrane; Multi-pass membrane protein. Cytoplasm.
Protein Families
Potassium channel family, G (TC 1.A.1.2) subfamily, Kv6.3/KCNG3 sub-subfamily
Tissue Specificity
Expressed in the brain, liver, testis, small intestine, colon, thymus and adrenal gland.
Database Links

HGNC: 18306

OMIM: 606767

KEGG: hsa:170850

STRING: 9606.ENSP00000304127

UniGene: Hs.352633

icon of phone
Call us
301-363-4651 (Available 9 a.m. to 5 p.m. CST from Monday to Friday)
icon of address
Address
7505 Fannin St., Ste 610, Room 7 (CUBIO Innovation Center), Houston, TX 77054, USA
icon of social media
Join us with

Subscribe newsletter

Leave a message

* To protect against spam, please pass the CAPTCHA test below.
CAPTCHA verification
© 2007-2026 CUSABIO TECHNOLOGY LLC All rights reserved. 鄂ICP备15011166号-1
Place an order now

I. Product details

*
*
*
*

II. Contact details

*
*

III. Ship To

*
*
*
*
*
*
*

IV. Bill To

*
*
*
*
*
*
*
*