MARVELD1 Antibody

Code CSB-PA106910
Size US$166
Order now
Image
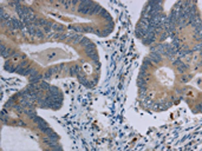
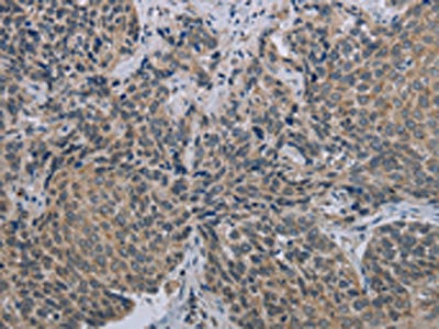
  • The image on the left is immunohistochemistry of paraffin-embedded Human cervical cancer tissue using CSB-PA106910(MARVELD1 Antibody) at dilution 1/40, on the right is treated with synthetic peptide. (Original magnification: ×200)
  • The image on the left is immunohistochemistry of paraffin-embedded Human colon cancer tissue using CSB-PA106910(MARVELD1 Antibody) at dilution 1/40, on the right is treated with synthetic peptide. (Original magnification: ×200)
  • Gel: 10%SDS-PAGE, Lysate: 40 μg, Lane: Mouse heart tissue, Primary antibody: CSB-PA106910(MARVELD1 Antibody) at dilution 1/300, Secondary antibody: Goat anti rabbit IgG at 1/8000 dilution, Exposure time: 10 minutes
Have Questions? Leave a Message or Start an on-line Chat

Product Details

Uniprot No.
Target Names
MARVELD1
Alternative Names
MARVELD1; MRVLDC1; MARVEL domain-containing protein 1
Raised in
Rabbit
Species Reactivity
Human,Mouse
Immunogen
Synthetic peptide of Human MARVELD1
Immunogen Species
Homo sapiens (Human)
Conjugate
Non-conjugated
Isotype
IgG
Purification Method
Antigen affinity purification
Concentration
It differs from different batches. Please contact us to confirm it.
Buffer
-20°C, pH7.4 PBS, 0.05% NaN3, 40% Glycerol
Form
Liquid
Tested Applications
ELISA,WB,IHC
Recommended Dilution
Application Recommended Dilution
ELISA 1:1000-1:2000
WB 1:200-1:1000
IHC 1:50-1:200
Troubleshooting and FAQs
Storage
Upon receipt, store at -20°C or -80°C. Avoid repeated freeze.
Lead Time
Basically, we can dispatch the products out in 1-3 working days after receiving your orders. Delivery time maybe differs from different purchasing way or location, please kindly consult your local distributors for specific delivery time.
Usage
For Research Use Only. Not for use in diagnostic or therapeutic procedures.

Customer Reviews and Q&A

 Customer Reviews

There are currently no reviews for this product.

Submit a Review here

Target Background

Function
Microtubule-associated protein that exhibits cell cycle-dependent localization and can inhibit cell proliferation and migration.
Gene References into Functions
  1. MARVELD1 substantially inhibits nonsense-mediated RNA decay by decreasing the pioneer round of translation but not steady-state translation, and is an important component of the molecular machinery containing UPF1 and Y14. MARVELD1 promotes the dissociation of SMG1 from UPF1, resulting in the repression of serine phosphorylation of UPF1, and subsequently blocks the recruitment of SMG5. PMID: 23826386
  2. Study demonstrates that MARVELD1-mediated balance of integrin beta1 and beta4 regulates cell surface ultrastructure and epithelial-mesenchymal transition phenotype of non-small cell lung cancer (NSCLC). PMID: 26509557
  3. MARVELD1 silencing is an appealing diagnostic biomarker for lung cancer. PMID: 25520033
  4. Importin-beta1 mediates the non-classical nucleocytoplasmic transport of MARVELD1. PMID: 26107903
  5. MARVELD1 plays a role in pre-mRNA processing of integrin beta1. PMID: 24055813
  6. Our findings suggest that MARVELD1 is a tumor suppressor by negatively regulating proliferation, tumor growth and chemosensitivity of HCC cells via increasing p53 and p16 in vitro and in vivo. PMID: 22320884
  7. MARVELD1 protein is located in nucleus instead of cell membrane in several different tumors, in males and in females. PMID: 19364627

Show More

Hide All

Subcellular Location
Cell membrane; Multi-pass membrane protein. Cytoplasm, cytoskeleton. Nucleus.
Tissue Specificity
Widely expressed in normal tissues. Down-regulated in multiple primary tumors.
Database Links

HGNC: 28674

KEGG: hsa:83742

STRING: 9606.ENSP00000441365

UniGene: Hs.744073

icon of phone
Call us
301-363-4651 (Available 9 a.m. to 5 p.m. CST from Monday to Friday)
icon of address
Address
7505 Fannin St., Ste 610, Room 7 (CUBIO Innovation Center), Houston, TX 77054, USA
icon of social media
Join us with

Subscribe newsletter

Leave a message

* To protect against spam, please pass the CAPTCHA test below.
CAPTCHA verification
© 2007-2026 CUSABIO TECHNOLOGY LLC All rights reserved. 鄂ICP备15011166号-1
Place an order now

I. Product details

*
*
*
*

II. Contact details

*
*

III. Ship To

*
*
*
*
*
*
*

IV. Bill To

*
*
*
*
*
*
*
*