MMACHC Antibody

Code CSB-PA896896ESR2HU
Size US$166
Order now
Image
  • Western blot
    All lanes: MMACHC antibody at 5.16µg/ml
    Lane 1: HepG2 whole cell lysate
    Lane 2: K562 whole cell lysate
    Lane 3: A549 whole cell lysate
    Lane 4: Hela whole cell lysate
    Lane 5: Raji whole cell lysate
    Secondary
    Goat polyclonal to rabbit IgG at 1/10000 dilution
    Predicted band size: 32 kDa
    Observed band size: 32 kDa

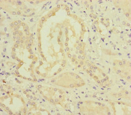
  • Immunohistochemistry of paraffin-embedded human kidney tissue using CSB-PA896896ESR2HU at dilution of 1:100

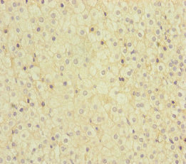
  • Immunohistochemistry of paraffin-embedded human adrenal gland tissue using CSB-PA896896ESR2HU at dilution of 1:100

Have Questions? Leave a Message or Start an on-line Chat

Product Details

Full Product Name
Rabbit anti-Homo sapiens (Human) MMACHC Polyclonal antibody
Uniprot No.
Target Names
MMACHC
Alternative Names
1810037K07Rik antibody; BOS_3654 antibody; cblC antibody; DKFZp564I122 antibody; FLJ25671 antibody; Methylmalonic aciduria (cobalamin deficiency) cblC type with homocystinuria antibody; Methylmalonic aciduria and homocystinuria type C protein antibody; Methylmalonic aciduria and homocystinuria type C protein homolog antibody; MGC134307 antibody; MMAC_HUMAN antibody; MMACHC antibody; OTTHUMP00000009243 antibody; RP11 291L19.3 antibody; RP23-177C18.3 antibody
Raised in
Rabbit
Species Reactivity
Human
Immunogen
Recombinant Human Methylmalonic aciduria and homocystinuria type C protein (63-282AA)
Immunogen Species
Homo sapiens (Human)
Conjugate
Non-conjugated
Clonality
Polyclonal
Isotype
IgG
Purification Method
Antigen Affinity Purified
Concentration
It differs from different batches. Please contact us to confirm it.
Buffer
PBS with 0.02% sodium azide, 50% glycerol, pH7.3.
Form
Liquid
Tested Applications
ELISA, WB, IHC
Recommended Dilution
Application Recommended Dilution
WB 1:1000-1:5000
IHC 1:20-1:200
Troubleshooting and FAQs
Storage
Upon receipt, store at -20°C or -80°C. Avoid repeated freeze.
Lead Time
Basically, we can dispatch the products out in 1-3 working days after receiving your orders. Delivery time maybe differs from different purchasing way or location, please kindly consult your local distributors for specific delivery time.
Usage
For Research Use Only. Not for use in diagnostic or therapeutic procedures.

Customer Reviews and Q&A

 Customer Reviews

There are currently no reviews for this product.

Submit a Review here

Target Background

Function
Cobalamin (vitamin B12) cytosolic chaperone that catalyzes the reductive decyanation of cyanocob(III)alamin (cyanocobalamin, CNCbl) to yield cob(II)alamin and cyanide, using FAD or FMN as cofactors and NADPH as cosubstrate. Cyanocobalamin constitutes the inactive form of vitamin B12 introduced from the diet, and is converted into the active cofactors methylcobalamin (MeCbl) involved in methionine biosynthesis, and 5'-deoxyadenosylcobalamin (AdoCbl) involved in the TCA cycle. Forms a complex with the lysosomal transporter ABCD4 and its chaperone LMBRD1, to transport cobalamin across the lysosomal membrane into the cytosol. The processing of cobalamin in the cytosol occurs in a multiprotein complex composed of at least MMACHC, MMADHC, MTRR (methionine synthase reductase) and MTR (methionine synthase) which may contribute to shuttle safely and efficiently cobalamin towards MTR in order to produce methionine. Also acts as a glutathione transferase by catalyzing the dealkylation of the alkylcob(III)alamins MeCbl and AdoCbl, using the thiolate of glutathione for nucleophilic displacement to generate cob(I)alamin and the corresponding glutathione thioether. The conversion of incoming MeCbl or AdoCbl into a common intermediate cob(I)alamin is necessary to meet the cellular needs for both cofactors. Cysteine and homocysteine cannot substitute for glutathione in this reaction.
Gene References into Functions
  1. The epimutation is present in three generations and results from PRDX1 mutations that force antisense transcription of MMACHC. PMID: 29302025
  2. Partial CblC-type inherited Methylmalonic acidemia (MMACHC heterozygous mutation exonl: c. 80A >G, c. 609G >A) can onset with severe metabolic Atypical hemolytic uremic syndrome. PMID: 29068997
  3. The crystal structure of ceCblC provides insights into how architectural differences at the alpha- and beta-faces of cobalamin promote the thiol oxidase activity of ceCblC but mute it in wild-type human CblC. PMID: 28442570
  4. Sequencing of the MMACHC gene is used for confirming the diagnosis of cblC disease. MMACHC mutations were found in all the nine patients. 7 different mutations were identified, including c.609G>A, c.455_457delCCC, c.394C>T, c.445_446insA, c.658_660delAAG, c.452A>G and IVS1+1G>A. The most frequent mutation was c.609G>A (6/9). Two patients had homozygous mutations (c.445_446insA/c.445_446insA and c.609G>A/c.609G>A). PMID: 26563984
  5. Case Report: c.567dupT,p.(Ile190Tyrfs*13) MMACHC heterozygous mutation underlying methylmalonic academia in infant. PMID: 27383490
  6. Five different known mutations in either MUT or MMACHC genes were identified in seven of the eight Chinese patients with methyl malonic acidemia. PMID: 25982642
  7. MMACHC mutation was found in children diagnosed with hemolytic uremic syndrome secondary to cobalamin C disorder. PMID: 26253414
  8. the MMACHC-MMADHC complex is a 1:1 heterodimer, where the interaction region overlaps with the MMACHC-Cbl binding site PMID: 26483544
  9. These results indicated that hypergonadotropic hypogonadism may be a novel clinical manifestation of cblC disease, but more reports on additional patients are needed to support this hypothesis. PMID: 26283149
  10. an adult patient with bull's eye macular lesions and no clinically relevant systemic symptoms was diagnosed with cblC by genetic screening and follow-up biochemical laboratory tests. PMID: 25687216
  11. A novel mutation p.G155R of the MMACHC gene is identified in prenatal diagnosis of combined methylmalonic aciduria and homocystinuria. PMID: 26149271
  12. Results propose a model whereby membrane-bound LMBD1 and ABCD4 facilitate the vectorial delivery of lysosomal vitamin B12 to cytoplasmic MMACHC. PMID: 25535791
  13. mutation analysis of the MMACHC gene in four patients revealed novel heterozygous mutations at nucleotide 276 (c.276G > A [p.Glu926Glu] and c.276G > T [p.Glu92Asp]), which is located at the end of exon 2. PMID: 24853097
  14. HCFC1 plays a role in craniofacial development, which is in part mediated through the regulation of MMACHC expression PMID: 25281006
  15. The gene responsible for cblC, named MMACHC, catalyzes the reductive decyanation of cyanocobalamin. PMID: 24577983
  16. data suggest that the interaction of methionine synthase with MMACHC may play a role in the regulation of the cellular processing of cobalamins that is required for cobalamin cofactor synthesis PMID: 23825108
  17. Subcellular location of MMACHC and MMADHC, two human proteins central to intracellular vitamin B(12) metabolism. PMID: 23270877
  18. The function of MMADHC is exerted through its structured C-terminal domain via interactions with MMACHC. PMID: 22832074
  19. a structural framework provides a framework for understanding catalytic function and disease mechanism for the multifunctional MMACHC complex. PMID: 22642810
  20. MMADHC was confirmed as a binding partner for MMACHC both in vitro (SPR) and in vivo (bacterial two-hybrid system). PMID: 21071249
  21. defects occurring in the MMACHC gene are the major cause of this disease in Chinese patients with combined methylmalonic aciduria and homocystinuria PMID: 20631720
  22. MMACHC-wt and MMACHC-R161Q are both very thermolabile proteins in their apo forms, with melting temperatures (T(m)) of 39.3+/-1.0 and 37.1+/-0.7 degrees C, respectively PMID: 20219402
  23. Mutations in MMACHC are associated with altered cellular oxidative stress and apoptosis processes in the presence or absence of vitamin B(12). PMID: 19760748
  24. MMACHC with the G147D mutation is unable to bind either cyanocobalamin or hydroxocobalamin, providing a straight forward explanation for the absence of response to either vitamin form. PMID: 19700356
  25. Diverse and clinically significant structural heart defects appear to be highly prevalent in cblC type methylmalonic aciduria and homocystinuria. PMID: 19767224
  26. Data show that the catalytic turnover numbers for the dealkylation of methylcobalamin and 5'-deoxyadenosylcobalamin by MMACHC are 11.7 +/- 0.2 and 0.174 +/- 0.006 h(-1) at 20 degrees C, respectively. PMID: 19801555
  27. One mutation, 271dupA, in MMACHC accounted for 40% of all disease alleles. PMID: 16311595
  28. Mutation analysis of the MMACHC gene showed that both patients were homozygous for 394C --> T which suggests a founder effect in Late onset cobalamin C disorder. PMID: 17431913
  29. c.271dupA (accounting for 55% of the MMACH alleles in our cohort) followed by c.394C>T (16%) and c.331C>T (9%) were the most frequent mutations. PMID: 18164228
  30. Most patients (eight of nine patients investigated) were compound heterozygotes for the 271dupA mutation and a missense mutation. PMID: 18245139
  31. MMACHC catalyzes a reductive decyanation reaction that removes the cyanide group in vitamin B(12) or cyanocobalamin PMID: 18779575
  32. A new mutation (146_154 del CCTTCCTGG) in the MMACHC gene was detected in a Chinese family with methylmalonic aciduria. PMID: 19199254
  33. Epigenetic inactivation of the MMACHC gene is responsible for methionine dependence in human melanoma cell line MeWo-LC1. PMID: 19200761
  34. MMACHC was sequenced from the DNA of 118 cblC individuals. Eleven novel mutations were identified.Genotype-phenotype correlations of common mutations were apparent. PMID: 19370762
  35. These studies suggest that the CblC protein is responsible for early processing of both CNCbl (decyanation) and alkylcobalamins (dealkylation) in mammalian cells. PMID: 19447654

Show More

Hide All

Involvement in disease
Methylmalonic aciduria and homocystinuria type cblC (MMAHCC)
Subcellular Location
Cytoplasm, cytosol.
Protein Families
MMACHC family
Tissue Specificity
Widely expressed. Expressed at higher level in fetal liver. Also expressed in spleen, lymph node, thymus and bone marrow. Weakly or not expressed in peripheral blood leukocytes.
Database Links

HGNC: 24525

OMIM: 277400

KEGG: hsa:25974

STRING: 9606.ENSP00000383840

UniGene: Hs.13024

icon of phone
Call us
301-363-4651 (Available 9 a.m. to 5 p.m. CST from Monday to Friday)
icon of address
Address
7505 Fannin St., Ste 610, Room 7 (CUBIO Innovation Center), Houston, TX 77054, USA
icon of social media
Join us with

Subscribe newsletter

Leave a message

* To protect against spam, please pass the CAPTCHA test below.
CAPTCHA verification
© 2007-2025 CUSABIO TECHNOLOGY LLC All rights reserved. 鄂ICP备15011166号-1
×
Place an order now

I. Product details

*
*
*
*

II. Contact details

*
*

III. Ship To

*
*
*
*
*
*
*

IV. Bill To

*
*
*
*
*
*
*
*