MORF4L1 Antibody

Code CSB-PA146109
Size US$166
Order now
Image
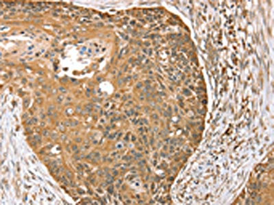
  • The image on the left is immunohistochemistry of paraffin-embedded Human liver cancer tissue using CSB-PA146109(MORF4L1 Antibody) at dilution 1/35, on the right is treated with synthetic peptide. (Original magnification: ×200)
  • The image on the left is immunohistochemistry of paraffin-embedded Human esophagus cancer tissue using CSB-PA146109(MORF4L1 Antibody) at dilution 1/35, on the right is treated with synthetic peptide. (Original magnification: ×200)
  • Gel: 12%SDS-PAGE, Lysate: 40 μg, Lane 1-2: Hepg2 cells, k562 cells, Primary antibody: CSB-PA146109(MORF4L1 Antibody) at dilution 1/400, Secondary antibody: Goat anti rabbit IgG at 1/8000 dilution, Exposure time: 1 minute
Have Questions? Leave a Message or Start an on-line Chat

Product Details

Uniprot No.
Target Names
MORF4L1
Alternative Names
CG6363 antibody; Eaf3 antibody; Esa1p associated factor 3 homolog antibody; FWP006 antibody; HsT17725 antibody; MEAF3 antibody; MO4L1_HUMAN antibody; MORF related gene on chromosome 15 antibody; MORF-related gene 15 protein antibody; Morf4l1 antibody; MORFRG15 antibody; Mortality factor 4 like 1 antibody; Mortality factor 4 like protein 1 antibody; Mortality factor 4-like protein 1 antibody; MRG15 antibody; Protein MSL3-1 antibody; S863-6 antibody; Transcription factor-like protein MRG15 antibody
Raised in
Rabbit
Species Reactivity
Human,Mouse,Rat
Immunogen
Synthetic peptide of Human MORF4L1
Immunogen Species
Homo sapiens (Human)
Conjugate
Non-conjugated
Isotype
IgG
Purification Method
Antigen affinity purification
Concentration
It differs from different batches. Please contact us to confirm it.
Buffer
-20°C, pH7.4 PBS, 0.05% NaN3, 40% Glycerol
Form
Liquid
Tested Applications
ELISA,WB,IHC
Recommended Dilution
Application Recommended Dilution
ELISA 1:2000-1:5000
WB 1:500-1:2000
IHC 1:25-1:100
Troubleshooting and FAQs
Storage
Upon receipt, store at -20°C or -80°C. Avoid repeated freeze.
Lead Time
Basically, we can dispatch the products out in 1-3 working days after receiving your orders. Delivery time maybe differs from different purchasing way or location, please kindly consult your local distributors for specific delivery time.
Usage
For Research Use Only. Not for use in diagnostic or therapeutic procedures.

Customer Reviews and Q&A

 Customer Reviews

There are currently no reviews for this product.

Submit a Review here

Target Background

Function
Component of the NuA4 histone acetyltransferase (HAT) complex which is involved in transcriptional activation of select genes principally by acetylation of nucleosomal histones H4 and H2A. This modification may both alter nucleosome - DNA interactions and promote interaction of the modified histones with other proteins which positively regulate transcription. This complex may be required for the activation of transcriptional programs associated with oncogene and proto-oncogene mediated growth induction, tumor suppressor mediated growth arrest and replicative senescence, apoptosis, and DNA repair. The NuA4 complex ATPase and helicase activities seem to be, at least in part, contributed by the association of RUVBL1 and RUVBL2 with EP400. NuA4 may also play a direct role in DNA repair when directly recruited to sites of DNA damage. Also component of the mSin3A complex which acts to repress transcription by deacetylation of nucleosomal histones. Required for homologous recombination repair (HRR) and resistance to mitomycin C (MMC). Involved in the localization of PALB2, BRCA2 and RAD51, but not BRCA1, to DNA-damage foci.
Gene References into Functions
  1. PALB2 associates with active genes through its major binding partner, MRG15, which recognizes histone H3 trimethylated at lysine 36 (H3K36me3) by the SETD2 methyltransferase PMID: 28673974
  2. Both MRG15 CD and Pf1 PHD1 bind to their targets with >100 muM affinity. PMID: 22728643
  3. While the present study expands on the role of MRG15 in the control of genomic stability, weak associations can not be ruled out for potential low-penetrance variants at MORF4L1 and breast cancer risk among BRCA2 mutation carriers PMID: 21466675
  4. it seems unlikely that any constitutional changes in MRG15 confer an increased risk for breast cancer. PMID: 20844547
  5. gene deficiency reduces DNA repair and increase sensitivity to DNA-crosslinking agents PMID: 20332121
  6. a novel chromodomain protein that is present in two distinct multiprotein complexes involved in transcriptional activation PMID: 12397079
  7. Site-directed mutagenesis studies of a prototypic MRG domain from human MRG15 based on the X-ray structure and bioinformatics identify key residues involved in the binding of PAM14 and MRGBP. PMID: 16407074
  8. identify MRG15 residues that form a shallow hydrophobic pocket to interact with the N-terminal 50 residues of PAM14 through primarily hydrophobic interactions PMID: 17008723
  9. The MRG15 chromo domain may function as an adaptor module which can bind to a modified histone H3 in a mode different from that of the HP1/Pc chromo domains. PMID: 17135209
  10. MORF4 has a role in cellular aging, and MRG15 associates with both histone deacetylases and histone acetyl transferase complexes [review] PMID: 17460191
  11. RBP2 associates with MRG15 complex to maintain reduced H3K4 methylation at transcribed regions, which may ensure the transcriptional elongation state PMID: 17573780
  12. MRG15 is a novel PALB2-interacting factor involved in homologous recombination PMID: 19553677

Show More

Hide All

Subcellular Location
Nucleus.
Database Links

HGNC: 16989

OMIM: 607303

KEGG: hsa:10933

STRING: 9606.ENSP00000331310

UniGene: Hs.374503

icon of phone
Call us
301-363-4651 (Available 9 a.m. to 5 p.m. CST from Monday to Friday)
icon of address
Address
7505 Fannin St., Ste 610, Room 7 (CUBIO Innovation Center), Houston, TX 77054, USA
icon of social media
Join us with

Subscribe newsletter

Leave a message

* To protect against spam, please pass the CAPTCHA test below.
CAPTCHA verification
© 2007-2025 CUSABIO TECHNOLOGY LLC All rights reserved. 鄂ICP备15011166号-1
×
Place an order now

I. Product details

*
*
*
*

II. Contact details

*
*

III. Ship To

*
*
*
*
*
*
*

IV. Bill To

*
*
*
*
*
*
*
*