NOX5 Antibody

Code CSB-PA138304ESR2HU
Size US$166
Order now
Image
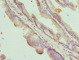
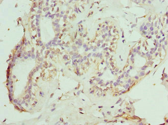
  • Immunohistochemistry of paraffin-embedded human prostate cancer using CSB-PA138304ESR2HU at dilution of 1:100

  • Immunohistochemistry of paraffin-embedded human breast cancer using CSB-PA138304ESR2HU at dilution of 1:100

  • Immunofluorescent analysis of MCF-7 cells using CSB-PA138304ESR2HU at dilution of 1:100 and Alexa Fluor 488-congugated AffiniPure Goat Anti-Rabbit IgG(H+L)

Have Questions? Leave a Message or Start an on-line Chat

Product Details

Full Product Name
Rabbit anti-Homo sapiens (Human) NOX5 Polyclonal antibody
Uniprot No.
Target Names
NOX5
Alternative Names
NOX5; NADPH oxidase 5
Raised in
Rabbit
Species Reactivity
Human
Immunogen
Recombinant Human NADPH oxidase 5 protein (661-765AA)
Immunogen Species
Homo sapiens (Human)
Conjugate
Non-conjugated
Clonality
Polyclonal
Isotype
IgG
Purification Method
Antigen Affinity Purified
Concentration
It differs from different batches. Please contact us to confirm it.
Buffer
PBS with 0.02% sodium azide, 50% glycerol, pH7.3.
Form
Liquid
Tested Applications
ELISA, IHC, IF
Recommended Dilution
Application Recommended Dilution
IHC 1:20-1:200
IF 1:50-1:200
Troubleshooting and FAQs
Storage
Upon receipt, store at -20°C or -80°C. Avoid repeated freeze.
Lead Time
Basically, we can dispatch the products out in 1-3 working days after receiving your orders. Delivery time maybe differs from different purchasing way or location, please kindly consult your local distributors for specific delivery time.
Usage
For Research Use Only. Not for use in diagnostic or therapeutic procedures.

Customer Reviews and Q&A

 Customer Reviews

There are currently no reviews for this product.

Submit a Review here

Target Background

Function
Calcium-dependent NADPH oxidase that generates superoxide. Also functions as a calcium-dependent proton channel and may regulate redox-dependent processes in lymphocytes and spermatozoa. May play a role in cell growth and apoptosis. Isoform v2 and isoform v5 are involved in endothelial generation of reactive oxygen species (ROS), proliferation and angiogenesis and contribute to endothelial response to thrombin.
Gene References into Functions
  1. The key antioxidant enzymes and transcription factor Nrf2 are up-regulated, and the NOX5 expression is reduced during development of drug resistance of tumor cells to cisplatin. PMID: 30225719
  2. Neoplastic cells appeared unable to downregulate NOX5 mRNA expression under leptin. Leptin emerged as a potential activator of ROS production in human epithelial mammary cells, where the ROS production was apparently linked to NOX5 activation. This novel finding could shed light on the potential role of obesity-associated hyperleptinemia in mammary cells via the activation of NOX enzymes PMID: 29048637
  3. The authors conclude that taurodeoxycholic acid-induced DNA damage may depend on the activation of TGR5, CREB and NOX5-S. It is possible that in Barrett's patients bile acids may activate NOX5-S and increase reactive oxygen species (ROS) production via activation of TGR5 and CREB. NOX5-S-derived ROS may cause DNA damage, thereby contributing to the progression from Barrett's esophagus to esophageal adenocarcinoma. PMID: 27511066
  4. western blot analysis of platelets from X-linked chronic granulomatous disease patients showed Nox5 expression with a quantity comparable to that of normal platelets PMID: 26963053
  5. Data suggest that NOX5 expression in melanoma cells could contribute to cell proliferation due, in part, to the generation of high local concentrations of extracellular ROS that modulate multiple pathways that regulate HIF-1alpha and networks that signal through Akt/GSK3beta/p27(Kip1) . PMID: 28762556
  6. We demonstrated that rapid deletion of p22phox is possible and that the activity of Nox1 and Nox4 but not Nox5 exclusively depends on p22phox. PMID: 27614387
  7. NOX5-p22phox complex drives monocytic differentiation into dendritic cells, and thus could be critical for immunity and inflammation. PMID: 28830888
  8. Data strongly suggest that oxidation of calcium-binding domain of NOX5 could be implicated in its inactivation, serving as a possible defense mechanism against oxidative stress. PMID: 27391469
  9. NOX5 activation played a pathophysiological role in vascular disease. [review] PMID: 28473473
  10. NOX5-L depletion consistently suppressed breast cancer cell proliferation, invasion, and migration in vitro. NOX5-L expression is regulated by STAT5A in breast cancer cells. PMID: 28034671
  11. REVIEW: recent knowledge of the genetic and enzymatic regulation of NOX5 and the importance of NOX5 in human physiology and pathophysiology. PMID: 26510438
  12. Rho Kinase ROCK2 Mediates Acid-Induced NADPH Oxidase NOX5-S Expression in Human Esophageal Adenocarcinoma Cells PMID: 26901778
  13. Nox5-derived ROS and subsequent depletion of PKCzeta and JNK inactivation play a critical role in modulating intracellular signaling cascades involved in the proliferation and survival of PCa cells. PMID: 25559363
  14. High glucose generated an increase in NADPH oxidase activity and expression in human vascular smooth muscle cells. Sequence analysis of human Nox1, Nox4, and Nox5 gene promoters PMID: 25722086
  15. These results provide new insight into the redox-dependent mechanism of HTLV-1 transformation and raises an intriguing possibility that Nox5alpha serves as a potential molecular target to treat HTLV-1-related leukemia. PMID: 26109726
  16. NOX5-derived reactive oxygen species contribute to apoptosis blockage in ALK-positive anaplastic large-cell lymphoma cell lines. PMID: 25797883
  17. Tissue microarray analysis revealed, for the first time, substantial Nox5 overexpression in several human cancers PMID: 23851018
  18. Initial findings suggest that glomerular and tubular expression of Nox5 is induced during diabetes and hypertension, respectively. Furthermore, identification of SNPs in distinct human populations suggests a role for either good or ill for this enzyme. PMID: 25415612
  19. Induction of Nox5 expression in IFNgamma- and oxidized LDL-exposed Mac and the presence of Nox5 in Mac-rich atheroma are indicative of the implication of Nox5 in atherogenesis. PMID: 25871798
  20. Results show that NOX5 is expressed in human renal proximal tubule cells and to greater extent than the other NOX isoforms in hypertensive than normotensive subjects. PMID: 24688893
  21. we show here for the first time that two members of the ROS-generating NADPH oxidase family (NOXs), NOX4 and NOX5, are involved in radiation-induced DNA damage. PMID: 25706776
  22. The study reveals that PKC-alpha is the primary isoform mediating the activation of Nox5. PMID: 24505490
  23. podocyte Nox5 has an important role in impaired renal function and hypertension. PMID: 24262797
  24. this study demonstrates the presence of NOX5 in acrosomal, equatorial, post-acrosomal regions, the body and the tail of ejaculated human teratozoospermia. PMID: 23030296
  25. Overexpression of NOX5-S significantly increased the luciferase activity. PMID: 23439561
  26. results suggest that endogenously produced NO can directly S-nitrosylate and inhibit the activity of Nox5 PMID: 22387196
  27. we demonstrate NOX5 expression in human intramyocardial blood vessels and cardiomyocytes, with significant increases in the affected myocardium after acute myocardial infarction. PMID: 22503554
  28. Nox5-alpha and -beta splice variants are the major isoforms that are expressed blood vessels and the only variants capable of ROS production. PMID: 22427510
  29. Inhibition of NOX5 activity reduces spermatozoa motility. PMID: 22291013
  30. There has been a rapid increase in our understanding of the NOX5 gene, the structural and biochemical aspects of the NOX5 enzyme, the role NOX5 plays in health and disease, and the development of novel NOX inhibitors. [Review] PMID: 22182486
  31. Reduced matrigel invasion was mediated by reduced ROS levels coinciding with decreased expression of NADPH oxidase 2, 3, 4 and 5 involved in ROS production. PMID: 21901141
  32. Rac1 may be important in activation of NOX5-S in Barrett's esphageal adenocarcinoma cells. PMID: 21525435
  33. The current work is the first to demonstrate that MAPK signaling can directly influence the phosphorylation state of transmembrane NOX5 enzyme, contributing to NOX5's activation in response to phorbol 12-myristate acetate and at resting calcium levels. PMID: 21297032
  34. Nox5 forms a catalytically active oligomer in the membrane that is mediated by its dehydrogenase domain PMID: 21319793
  35. The effect of pH on the expression of p16 and NOX5-S on Barrett's esophagus cells and their progression to esophageal adenocarcinoma are reported. PMID: 20576920
  36. Shingosylphosphorylcholine down-regulates FLG gene transcription through NOX5-based NADPH oxidase and COX-2 in human keratinocytes. PMID: 20230798
  37. Endothelial cells possess functionally active Nox5 that is regulated at the transcriptional/translational levels by Ang II and ET-1 through calcium/calmodulin-sensitive processes. PMID: 20339118
  38. Data show that bile acid reflux present in patients with BE may increase reactive oxygen species production and cell proliferation via activation of PI-PLCgamma2, ERK2 MAP kinase, and NADPH oxidase NOX5-S, thereby contributing to the development of EA. PMID: 20086178
  39. Reactive oxygen species producing activity of NOX5 in sperm and NADPH-oxidase of white blood cells; role of protein kinase C in NOX5 activation PMID: 12121572
  40. we propose that the GTP-bound active form of Rac is required for sustained enzyme activity and that membrane-localized GAPs have a role in the deactivation of NADPH oxidase PMID: 12186557
  41. the regulatory N terminus and the catalytic C terminus of NOX5 interact in a Ca(2+)-dependent way; enzyme activation occurs through an intra-molecular interaction PMID: 14982937
  42. Appreciable bacterial phospholipid degradation occurs only in the presence of catalytically active group IIA-phospholipase A2 and a functional respiratory burst NADPH oxidase in neutrophils. PMID: 16177112
  43. Hairy cells(but not circulating normal B cells or some other lymphoid cell types) express NOX5; the inactivation of SHP-1 by NOX5-generated ROS contributes to the maintenance of the constitutive activation of HCs. PMID: 16339585
  44. Knockdown of NOX5 also significantly decreased retinoblastoma protein phosphorylation and increased cell apoptosis and caspase-9 expression. PMID: 16707484
  45. NO-mediated down-regulation by shear stress preferentially affects the gp91(phox)/p47(phox)-containing NAD(P)H oxidase complex. PMID: 16873416
  46. Chronic granulomatous disease (CGD) is a rare primary immunodeficiency caused by mutations of one of the subunits of phagocyte reduced nicotinamide adenine dinucleotide phosphate (NADPH) oxidase leading to decreased of neutrophil oxidative burst. PMID: 17089090
  47. NADPH oxidase is involved in the superoxide release by RA synovial cells, constitutively and after cytokine up-regulation. PMID: 17122966
  48. phosphorylation of Nox5 at key residues facilitates enzyme activation at lower levels of intracellular calcium and may provide an avenue for enzyme activation in response to a greater variety of extracellular stimuli PMID: 17164239
  49. NAD(P)H oxidase polymorphism (C242T) associates with recurrent coronary events in postinfarction patients PMID: 17214994
  50. calmodulin binds to the NOX5 C terminus consensus calmodulin-binding domain in a Ca(2+)-dependent manner, changes its conformation and increases the Ca(2+) sensitivity of the N terminus-regulated enzymatic activity. PMID: 17346712

Show More

Hide All

Subcellular Location
Membrane; Multi-pass membrane protein.; [Isoform v2]: Endoplasmic reticulum.; [Isoform v5]: Endoplasmic reticulum.
Tissue Specificity
Mainly expressed in pachytene spermatocytes of testis and in lymphocyte-rich areas of spleen and lymph nodes. Isoform v1 is expressed in spleen. Isoform v2 is expressed in testis. Also detected in ovary, placenta, pancreas, cardiac fibroblasts. Expressed
Database Links

HGNC: 14874

OMIM: 606572

KEGG: hsa:79400

STRING: 9606.ENSP00000373518

UniGene: Hs.657932

icon of phone
Call us
301-363-4651 (Available 9 a.m. to 5 p.m. CST from Monday to Friday)
icon of address
Address
7505 Fannin St., Ste 610, Room 7 (CUBIO Innovation Center), Houston, TX 77054, USA
icon of social media
Join us with

Subscribe newsletter

Leave a message

* To protect against spam, please pass the CAPTCHA test below.
CAPTCHA verification
© 2007-2025 CUSABIO TECHNOLOGY LLC All rights reserved. 鄂ICP备15011166号-1
×
Place an order now

I. Product details

*
*
*
*

II. Contact details

*
*

III. Ship To

*
*
*
*
*
*
*

IV. Bill To

*
*
*
*
*
*
*
*