Alternative Names
                            
								ADE2 antibody; ADE2H1 antibody; AIR carboxylase antibody; AIRC antibody; DKFZp781N1372 antibody; MGC1343 antibody; MGC5024 antibody; Multifunctional protein ADE2 antibody; Multifunctional protein ADE2H1 antibody; Paics antibody; PAIS antibody; Phosphoribosylaminoimidazole carboxylase antibody; Phosphoribosylaminoimidazole carboxylase; phosphoribosylaminoimidazole succinocarboxamide synthetase antibody; PUR6_HUMAN antibody; SAICAR synthetase antibody
							 
                         
                                                                        
                                                                        
                            Species Reactivity
                            Human,Mouse,Rat
                         
                                                                        
                            Immunogen
                            Fusion protein of Human PAICS
                         
                                                                        
                            Immunogen Species
                            Homo sapiens (Human)
                         
                                                                        
                                                                                                
                                                                                                
                            Purification Method
                            Antigen affinity purification
                         
                                                
                            Concentration
                            It differs from different batches. Please contact us to confirm it.
                         
                                                
                            Buffer
                            -20°C, pH7.4 PBS, 0.05% NaN3, 40% Glycerol
                         
                                                                        
                                                                        												                        
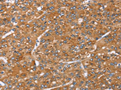
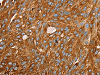
                            Tested Applications
                            ELISA,WB,IHC
                         
						                                                                                                                        
                            Recommended Dilution
                            
                                
                                    
                                        | Application | Recommended Dilution | 
                                                                                                                                                                                    
                                        | ELISA | 1:2000-1:10000 | 
                                                                                                                                                                                    
                                        | WB | 1:1000-1:5000 | 
                                                                                                                                                                                    
                                        | IHC | 1:50-1:200 | 
                                                                    
                             
                         
                        												                                                                        
                                                
                                                
                            Storage
                            Upon receipt, store at -20°C or -80°C. Avoid repeated freeze.
                         
                                                                        
                            Lead Time
                            Basically, we can dispatch the products out in 1-3 working days after receiving your orders. Delivery time maybe differs from different purchasing way or location, please kindly consult your local distributors for specific delivery time.
                         
						                        
                            Usage
                            For Research Use Only. Not for use in diagnostic or therapeutic procedures.