PAK4 Antibody

Code CSB-PA05437A0Rb
Size US$166
Order now
Image
  • Western Blot
    Positive WB detected in: Rat lung tissue
    All lanes: PAK4 antibody at 3.2µg/ml
    Secondary
    Goat polyclonal to rabbit IgG at 1/50000 dilution
    Predicted band size: 65, 48, 49, 55 kDa
    Observed band size: 65 kDa

  • IHC image of CSB-PA05437A0Rb diluted at 1:800 and staining in paraffin-embedded human colon cancer performed on a Leica BondTM system. After dewaxing and hydration, antigen retrieval was mediated by high pressure in a citrate buffer (pH 6.0). Section was blocked with 10% normal goat serum 30min at RT. Then primary antibody (1% BSA) was incubated at 4°C overnight. The primary is detected by a biotinylated secondary antibody and visualized using an HRP conjugated SP system.

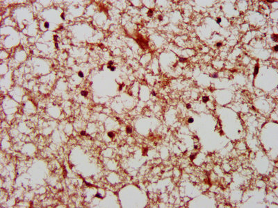
  • IHC image of CSB-PA05437A0Rb diluted at 1:800 and staining in paraffin-embedded human brain tissue performed on a Leica BondTM system. After dewaxing and hydration, antigen retrieval was mediated by high pressure in a citrate buffer (pH 6.0). Section was blocked with 10% normal goat serum 30min at RT. Then primary antibody (1% BSA) was incubated at 4°C overnight. The primary is detected by a biotinylated secondary antibody and visualized using an HRP conjugated SP system.

  • Immunofluorescence staining of Hela cells with CSB-PA05437A0Rb at 1:266, counter-stained with DAPI. The cells were fixed in 4% formaldehyde, permeabilized using 0.2% Triton X-100 and blocked in 10% normal Goat Serum. The cells were then incubated with the antibody overnight at 4°C. The secondary antibody was Alexa Fluor 488-congugated AffiniPure Goat Anti-Rabbit IgG(H+L).

Promotion Free Antibody trial simple
Have Questions? Leave a Message or Start an on-line Chat

Product Details

Full Product Name
Rabbit anti-Homo sapiens (Human) PAK4 Polyclonal antibody
Uniprot No.
Target Names
Alternative Names
KIAA1142 antibody; p21 activated kinase 4 antibody; p21 Cdc42/Rac1-actiated kinase 4 antibody; P21 protein (Cdc42/Rac) activated kinase 4 antibody; p21(CDKN1A) activated kinase 4 antibody; p21-activated kinase 4 antibody; PAK 4 antibody; PAK-4 antibody; Pak4 antibody; PAK4_HUMAN antibody; Protein kinase related to S.cerevisiae STE20 effector for Cdc42Hs antibody; Serine threonine kinase PAK 4 antibody; Serine/threonine protein kinase PAK 4 antibody; Serine/threonine protein kinase PAK4 antibody; Serine/threonine-protein kinase PAK 4 antibody
Raised in
Rabbit
Species Reactivity
Human, Rat
Immunogen
Recombinant Human Serine/threonine-protein kinase PAK 4 protein (1-426AA)
Immunogen Species
Homo sapiens (Human)
Conjugate
Non-conjugated

The PAK4 Antibody (Product code: CSB-PA05437A0Rb) is Non-conjugated. For PAK4 Antibody with conjugates, please check the following table.

Available Conjugates
Conjugate Product Code Product Name Application
HRP CSB-PA05437B0Rb PAK4 Antibody, HRP conjugated ELISA
FITC CSB-PA05437C0Rb PAK4 Antibody, FITC conjugated
Biotin CSB-PA05437D0Rb PAK4 Antibody, Biotin conjugated ELISA
Clonality
Polyclonal
Isotype
IgG
Purification Method
>95%, Protein G purified
Concentration
It differs from different batches. Please contact us to confirm it.
Buffer
Preservative: 0.03% Proclin 300
Constituents: 50% Glycerol, 0.01M PBS, PH 7.4
Form
Liquid
Tested Applications
ELISA, WB, IHC, IF
Recommended Dilution
Application Recommended Dilution
WB 1:500-1:5000
IHC 1:500-1:1000
IF 1:200-1:500
Troubleshooting and FAQs
Storage
Upon receipt, store at -20°C or -80°C. Avoid repeated freeze.
Lead Time
Basically, we can dispatch the products out in 1-3 working days after receiving your orders. Delivery time maybe differs from different purchasing way or location, please kindly consult your local distributors for specific delivery time.
Usage
For Research Use Only. Not for use in diagnostic or therapeutic procedures.

Customer Reviews and Q&A

 Customer Reviews

There are currently no reviews for this product.

Submit a Review here

Target Background

Function
Serine/threonine protein kinase that plays a role in a variety of different signaling pathways including cytoskeleton regulation, cell migration, growth, proliferation or cell survival. Activation by various effectors including growth factor receptors or active CDC42 and RAC1 results in a conformational change and a subsequent autophosphorylation on several serine and/or threonine residues. Phosphorylates and inactivates the protein phosphatase SSH1, leading to increased inhibitory phosphorylation of the actin binding/depolymerizing factor cofilin. Decreased cofilin activity may lead to stabilization of actin filaments. Phosphorylates LIMK1, a kinase that also inhibits the activity of cofilin. Phosphorylates integrin beta5/ITGB5 and thus regulates cell motility. Phosphorylates ARHGEF2 and activates the downstream target RHOA that plays a role in the regulation of assembly of focal adhesions and actin stress fibers. Stimulates cell survival by phosphorylating the BCL2 antagonist of cell death BAD. Alternatively, inhibits apoptosis by preventing caspase-8 binding to death domain receptors in a kinase independent manner. Plays a role in cell-cycle progression by controlling levels of the cell-cycle regulatory protein CDKN1A and by phosphorylating RAN.
Gene References into Functions
  1. These results implicate a novel role for PAK4 within the PI3K pathway via interaction with p85alpha. Thus, PAK4 could be an essential player in PDAC progression representing an interesting therapeutic opportunity. PMID: 28205613
  2. This review will discuss the emerging data highlighting the prominence of PAK4 in Pancreatic distal adenocarcinoma(PDAC) and its potential role for transforming patient management. PMID: 29508632
  3. this series of compounds has the potential for further development as PAK4 inhibitors for anticancer activity PMID: 29443911
  4. X-ray crystallography reveals that in addition to the canonical PAK4 CDC42/RAC interactive binding (CRIB) domain binding to CDC42 there are unexpected contacts involving the PAK4 kinase C-lobe, CDC42, and the PAK4 polybasic region. PMID: 29295922
  5. High PAK4 expression is associated with glioma. PMID: 28677773
  6. These results indicate that miR485 acts as a tumour suppressor in Glioblastoma (GBM) by, at least partially, directly targeting PAK4 and regulating the AKT and ERK signalling pathways. Thus, miR485 may be a potential target for the treatment of patients with GBM. PMID: 29048626
  7. Study reports the overexpression of PAK4 in neuroblastoma cells and, that PF-3758309, a potent PAK4 inhibitor, inhibits cell proliferation and survival in neuroblastoma cells via inhibition of the MEK/ERK pathway. These results suggest a role of PAK4 in neuroblastoma development. PMID: 29048629
  8. Methylation at cg14010619 may modify PAK4 activity, which has been implicated in cisplatin resistance in malignant cell lines PMID: 28444219
  9. PAK4 downregulated the level of p21 and enhanced the activity of Akt as well. And we conclude that PAK4 acts as a regulator of cell cycle progression of vascular smooth muscle cells by mediating Akt signaling and controlling p21 levels, which further modulate intimal hyperplasia and vascular smooth muscle cells proliferation PMID: 28706947
  10. Findings revealed a novel function of PAK4 in thyroid stimulating hormone-induced papillary thyroid cancer progression. PMID: 28178642
  11. The present study demonstrates that miR-145 plays an important role in inhibiting cell migration by directly targeting PAK4, and identifies miR-145-PAK4-LIMK1-cofilin as a novel regulatory pathway that contributed to colorectal cancer metastasis. PMID: 28440035
  12. These findings revealed a novel glucose metabolism-related mechanism of PAK4 in promoting colon cancer cell growth, suggesting that PAK4 and/or G6PD blockage might be a potential therapeutic strategy for colon cancer. PMID: 28542136
  13. PAK4 (but not PAK1) mediates invadopodia maturation during melanoma invasion likely via inhibition of PDZ-RhoGEF. PMID: 27765920
  14. these results indicate that PAK4 confers CDDP resistance via the activation of MEK/ERK and PI3K/Akt pathways. PAK4 and PI3K/Akt pathways can reciprocally activate each other. PMID: 27919028
  15. PAK4 activity was markedly decreased in postmortem brain tissue from Parkinson's disease (PD) patients and in rodent models of PD. Expression of constitutively active PAK4(S445N/S474E) (caPAK4) protected DA neurons in both the 6-hydroxydopamine and alpha-synuclein rat models of PD and preserved motor function. PMID: 27903866
  16. Our results indicate that PAK4 plays an important role in the potentiation of insulin secretion by fatty acids downstream of GPR40. PMID: 27700527
  17. PAK4 downregulation decreased PPARgamma-mediated Nox1 expression and suppressed EMT in IR-treated glioma cells. PMID: 28534509
  18. miR-1271/Zic2/PAK4 axis plays an important role in hepatocellular carcinoma progression. PMID: 28577975
  19. findings suggest that PAK4-activated PI3K/AKT signaling is both kinase-dependent and -independent, which contributes to breast cancer progression PMID: 28407679
  20. Functional role and therapeutic targeting of PAK4 in multiple myeloma has been presented. PMID: 28096095
  21. PAK4 overexpression in hepatocellular carcinoma (HCC) promotes metastatic invasion by regulating p53 phosphorylation. PMID: 27496712
  22. Study demonstrated that PAK4 interacted with eEF1A1 to promote migration and invasion of gastric cancer cells, thereby providing new insights into the function of PAK4 and eEF1A1 in the progression of gastric cancer. PMID: 28393218
  23. The results support a novel connection between HIF-1a and Pak4 in hypoxic cancer cells, and provide insights into mechanisms whereby tumors respond to and thrive under oxygen-deficient conditions. PMID: 28288786
  24. Data suggest that signaling via ANP/ANPR (atrial natriuretic factor/ANP receptor) in vascular endothelial cells activates PAK4 (p21-activated kinase 4) and CCM2 (cerebral cavernous malformation 2 protein), resulting in phosphorylation of MLC (myosin light chain), cytoskeletal reorganization, and cell spreading; kinase homology domain of ANPRA (guanylyl cyclase-A) activates downstream targets of ANP/ANPR signaling. PMID: 28432261
  25. High expression of PAK4 is associated with breast cancer. PMID: 27297086
  26. In gastric cancer, High PAK4 expression was significantly correlated with clinicopathological variables related to tumour progression, including depth of invasion, metastatic lymph nodes, pathological stage, distant metastasis or recurrent disease. High PAK4 expression was significantly associated with poorer disease-specific survival and relapse-free survival. PMID: 26614788
  27. PAK4 methylation by SETD6 promotes the activation of the Wnt/beta-catenin pathway. PMID: 26841865
  28. Study has confirms prognostic role of PAK4 level in cervical cancer patients and recognizes the regulatory role in cervical cancer progression. PAK4 also confers the chemoresistance of cervical cancer cells in a PI3K/Akt-dependent way. PMID: 26411419
  29. PAK4 catalytic domain binds cellular ATP and the Inka1 inhibitor. The crystal lattice consists only of PAK4-PAK4 contacts, which form a hexagonal array with channels of 80 A in diameter that run the length of the crystal. PMID: 26607847
  30. PAK4 localizes to cell-cell junctions and contributes to estblishing cell polarity.PAK4 phosphorylate beta-catenin Serine-675.PAK4 binding to cell-cell junctions is dependent on Cdc42. PMID: 26068882
  31. Nuclear Pak4 is involved in the pathogenesis of endometrial cancer especially in postmenopausal women. PMID: 26218748
  32. data show decreased nuclear accumulation and transcriptional activity of STAT3 in PAK4-silenced pancreatic cancer cells PMID: 26546043
  33. this report reveals that high level of p-Pak4 correlates with poor prognosis in gastric cancer (GC), thereby suggesting that p-Pak4 might be a potential prognostic marker for GC. PMID: 26124003
  34. PAK4 and RhoU cooperate to drive adhesion turnover and promote cell migration. PMID: 26598620
  35. PAK4 mediated LIMK1 phosphorylation regulates the migration and invasion in NSCLC. Therefore, PAK4 might be a significant prognostic marker and potential therapeutic molecular target in NSCLC. PMID: 25975262
  36. CXCL12/CXCR4 signaling has a role in docetaxel-induced microtubule stabilization via p21-activated kinase 4-dependent activation of LIMK1 PMID: 25359780
  37. microRNA-433 (miRNA-433 directly targets PAK4 through the miRNA-433 binding sequence at the 3'-UTR of PAK4 mRNA. PMID: 25410752
  38. PAK1 and PAK4 expression were associated with colorectal cancer metastasis and infiltration PMID: 25791829
  39. PAK4 promotes alpha-MSH/UVB-induced melanogenesis via the CREB and Wnt/beta-catenin signaling pathways and suggest that PAK4 may be a potential therapeutic target in pigmentation disorders. PMID: 25560280
  40. Suggest that PAK4 is a regulator of NF-kappaB pathway in pancreatic cancer cells, controlling cell proliferation and survival. PMID: 25238288
  41. PAK4 phosphorylates Par6B at Ser143 blocking its interaction with Cdc42. PMID: 25662318
  42. Increased Pak4 expression can lead to development of adenomyosis by enhancing the invasiveness of endometrial cells through regulation of MMP-2 and -9 activities. PMID: 25637478
  43. PAK4 is known to act as a transporter for beta-catenin nuclear translocation. PMID: 24829151
  44. p21-activated kinase 4 inhibitor PF-3758309 shows anti-metastatic effect. PMID: 24366569
  45. PAK4-SCG10 signaling occurs in gastric cancer cell invasion. PMID: 23893240
  46. The results document an oncogenic role of PAK4 in repression of Smad2/3 transactivation that involved in tumorigenesis, and suggest PAK4 as a potential therapeutic target for gastric cancer. PMID: 23934187
  47. Both indole and indazole of KY-04031 are responsible for PAK4 hinge interaction. PMID: 24704155
  48. Mutation of this residue was sufficient to switch the phosphorylation site preference for multiple kinases, including the serine-specific kinase PAK4 and the threonine-specific kinase MST4. PMID: 24374310
  49. Genotype TT for rs9676717 in PAK4 gene and no drinking may be predictive of the interferon-a treatment success. PMID: 23652058
  50. we confirmed that the mechanisms of the Pak4-induced cell cycle arrest invovlve the activation of the ATM/Chk1/2/p53 pathway. PMID: 23229348

Show More

Hide All

Subcellular Location
Cytoplasm.
Protein Families
Protein kinase superfamily, STE Ser/Thr protein kinase family, STE20 subfamily
Tissue Specificity
Highest expression in prostate, testis and colon.
Database Links

HGNC: 16059

OMIM: 605451

KEGG: hsa:10298

STRING: 9606.ENSP00000351049

UniGene: Hs.20447

icon of phone
Call us
301-363-4651 (Available 9 a.m. to 5 p.m. CST from Monday to Friday)
icon of address
Address
7505 Fannin St., Ste 610, Room 7 (CUBIO Innovation Center), Houston, TX 77054, USA
icon of social media
Join us with

Subscribe newsletter

Leave a message

* To protect against spam, please pass the CAPTCHA test below.
CAPTCHA verification
© 2007-2025 CUSABIO TECHNOLOGY LLC All rights reserved. 鄂ICP备15011166号-1
×
Place an order now

I. Product details

*
*
*
*

II. Contact details

*
*

III. Ship To

*
*
*
*
*
*
*

IV. Bill To

*
*
*
*
*
*
*
*