PIWIL3 Antibody

Code CSB-PA065706
Size US$166
Order now
Image
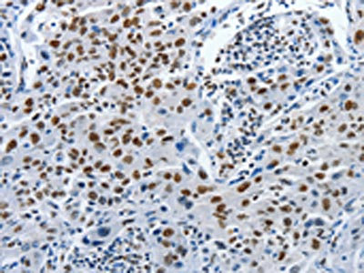
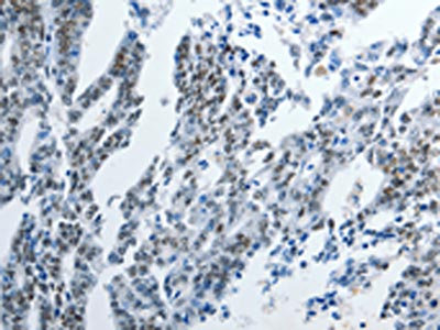
  • The image on the left is immunohistochemistry of paraffin-embedded Human lung cancer tissue using CSB-PA065706(PIWIL3 Antibody) at dilution 1/20, on the right is treated with synthetic peptide. (Original magnification: ×200)
  • The image on the left is immunohistochemistry of paraffin-embedded Human gastric cancer tissue using CSB-PA065706(PIWIL3 Antibody) at dilution 1/20, on the right is treated with synthetic peptide. (Original magnification: ×200)
Have Questions? Leave a Message or Start an on-line Chat

Product Details

Uniprot No.
Target Names
PIWIL3
Alternative Names
HIWI3 antibody; Piwi like 3 antibody; Piwi-like protein 3 antibody; piwi-like RNA-mediated gene silencing 3 antibody; PIWIL3 antibody; PIWL3_HUMAN antibody
Raised in
Rabbit
Species Reactivity
Human
Immunogen
Synthetic peptide of Human PIWIL3
Immunogen Species
Homo sapiens (Human)
Conjugate
Non-conjugated
Isotype
IgG
Purification Method
Antigen affinity purification
Concentration
It differs from different batches. Please contact us to confirm it.
Buffer
-20°C, pH7.4 PBS, 0.05% NaN3, 40% Glycerol
Form
Liquid
Tested Applications
ELISA,IHC
Recommended Dilution
Application Recommended Dilution
ELISA 1:1000-1:2000
IHC 1:15-1:50
Troubleshooting and FAQs
Storage
Upon receipt, store at -20°C or -80°C. Avoid repeated freeze.
Lead Time
Basically, we can dispatch the products out in 1-3 working days after receiving your orders. Delivery time maybe differs from different purchasing way or location, please kindly consult your local distributors for specific delivery time.
Usage
For Research Use Only. Not for use in diagnostic or therapeutic procedures.

Customer Reviews and Q&A

 Customer Reviews

There are currently no reviews for this product.

Submit a Review here

Target Background

Function
May play a role during spermatogenesis by repressing transposable elements and preventing their mobilization, which is essential for the germline integrity. Acts via the piRNA metabolic process, which mediates the repression of transposable elements during meiosis by forming complexes composed of piRNAs and Piwi proteins and govern the methylation and subsequent repression of transposons. Directly binds piRNAs, a class of 24 to 30 nucleotide RNAs that are generated by a Dicer-independent mechanism and are primarily derived from transposons and other repeated sequence elements. Besides their function in transposable elements repression, piRNAs are probably involved in other processes during meiosis such as translation regulation.
Gene References into Functions
  1. overexpression of Piwil3 promotes the proliferation, migration and invasion of GC cells partially through JAK2/STAT3 signal pathway. PMID: 28869440
  2. Our data indicate that PIWIL3 protein expression is elevated in more aggressive primary malignant melanoma(MM )and metastatic disease. As also observed in other malignancies, PIWIL3 seems to play a role in MM progression. PMID: 27858163
  3. individuals with HIWI3 non-synonymous rs11703684 variant genotypes exhibited a significantly reduced oligozoospermia risk PMID: 20940137
  4. Observational study of gene-disease association. (HuGE Navigator) PMID: 20940137
  5. PIWIL3 proteins were expressed in the cytoplasma of human astrocytic glioma and meningioma. PMID: 18616918

Show More

Hide All

Subcellular Location
Cytoplasm.
Protein Families
Argonaute family, Piwi subfamily
Tissue Specificity
Expressed in testis.
Database Links

HGNC: 18443

OMIM: 610314

KEGG: hsa:440822

STRING: 9606.ENSP00000330031

UniGene: Hs.448343

icon of phone
Call us
301-363-4651 (Available 9 a.m. to 5 p.m. CST from Monday to Friday)
icon of address
Address
7505 Fannin St., Ste 610, Room 7 (CUBIO Innovation Center), Houston, TX 77054, USA
icon of social media
Join us with

Subscribe newsletter

Leave a message

* To protect against spam, please pass the CAPTCHA test below.
CAPTCHA verification
© 2007-2026 CUSABIO TECHNOLOGY LLC All rights reserved. 鄂ICP备15011166号-1
Place an order now

I. Product details

*
*
*
*

II. Contact details

*
*

III. Ship To

*
*
*
*
*
*
*

IV. Bill To

*
*
*
*
*
*
*
*