PTBP3 Antibody

Code CSB-PA020060NA01HU
Size US$166
Order now
Image
  • Western Blot
    Positive WB detected in: K562 whole cell lysate, MCF-7 whole cell lysate
    All lanes: PTBP3 antibody at 1:2000
    Secondary
    Goat polyclonal to rabbit IgG at 1/50000 dilution
    Predicted band size: 60, 57, 61, 50 kDa
    Observed band size: 60 kDa
  • Western Blot
    Positive WB detected in: K562 whole cell lysate, MCF7 whole cell lysate, A549 whole cell lysate, A431 whole cell lysate, HepG2 whole cell lysate, JK whole cell lysate, Hela whole cell lysate,PC-3 whole cell lysate
    All lanes: PTBP3 antibody at 1:1000
    Secondary
    Goat polyclonal to rabbit IgG at 1/50000 dilution
    Predicted band size: 55,60kDa
    Observed band size: 55 kDa
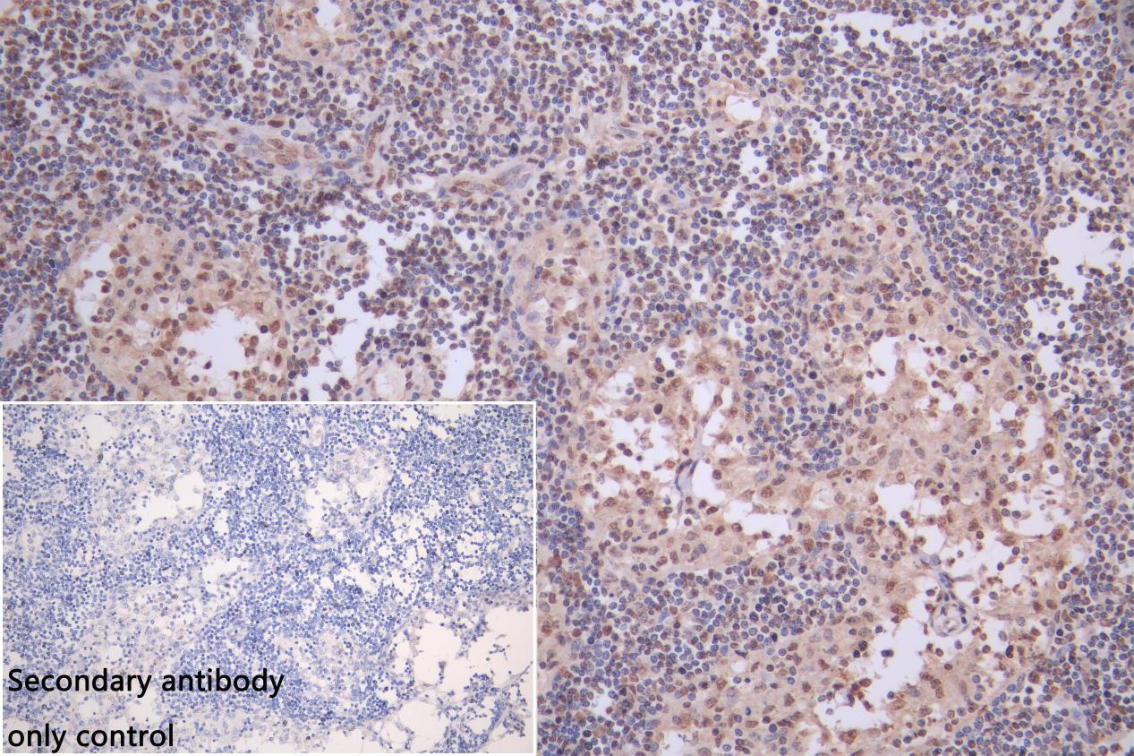
  • IHC image of CSB-PA020060NA01HU diluted at 1:200 and staining in paraffin-embedded human Lymphnode tissue performed on a Leica BondTM system. After dewaxing and hydration, antigen retrieval was mediated by high pressure in a citrate buffer (pH 6.0). Section was blocked with 10% normal goat serum 30min at RT. Then primary antibody (1% BSA) was incubated at 4°C overnight. The primary is detected by a Goat anti-rabbit polymer IgG labeled by HRP and visualized using 0.05% DAB. Secondary antibody only control: uses 1% BSA instead of primary antibody
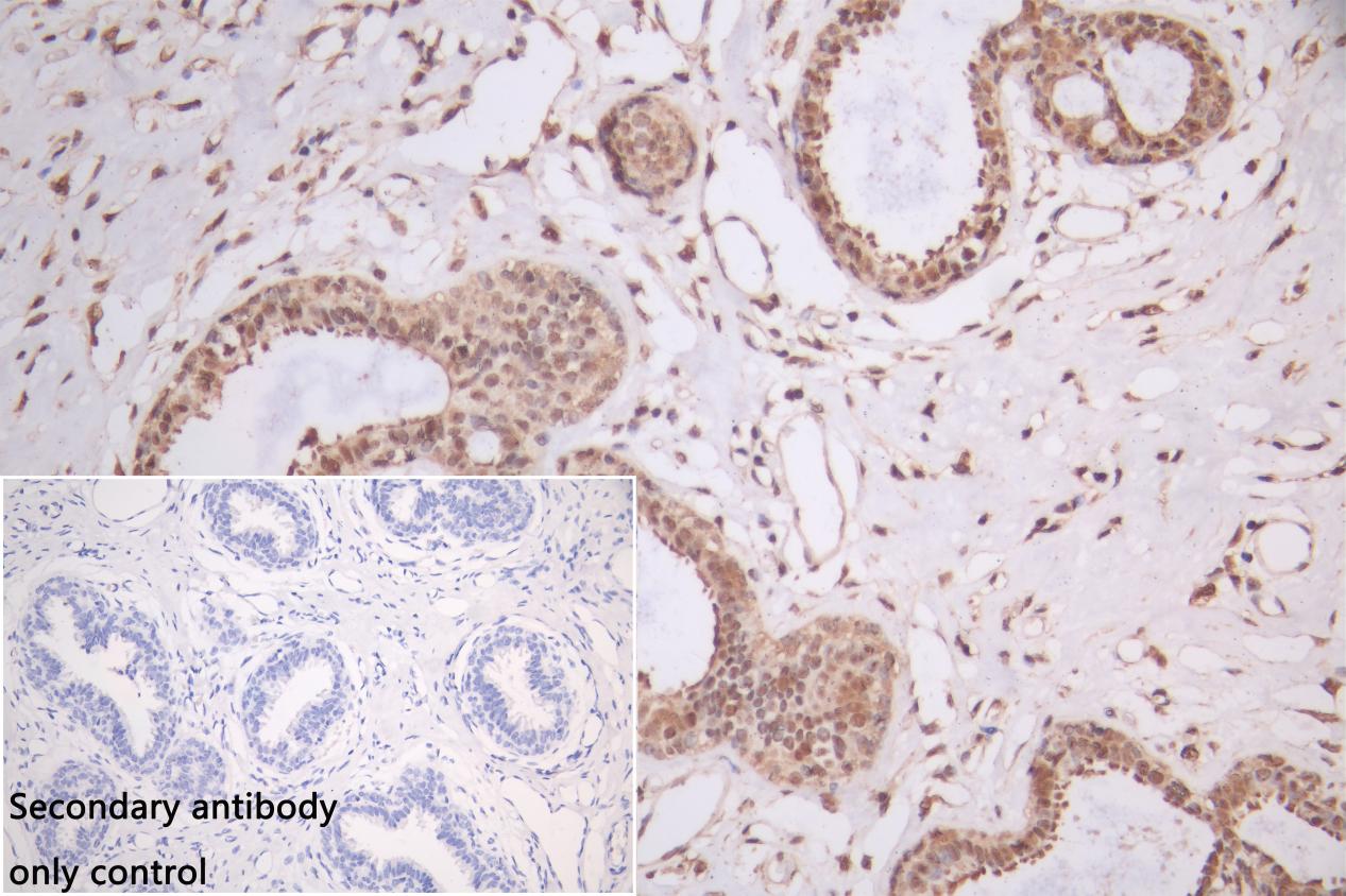
  • IHC image of CSB-PA020060NA01HU diluted at 1:200 and staining in paraffin-embedded human breast cancer performed on a Leica BondTM system. After dewaxing and hydration, antigen retrieval was mediated by high pressure in a citrate buffer (pH 6.0). Section was blocked with 10% normal goat serum 30min at RT. Then primary antibody (1% BSA) was incubated at 4°C overnight. The primary is detected by a Goat anti-rabbit polymer IgG labeled by HRP and visualized using 0.05% DAB. Secondary antibody only control: uses 1% BSA instead of primary antibody
  • Immunofluorescence staining of A549 cell with CSB-PA020060NA01HU at 1:30, counter-stained with DAPI. The cells were fixed in 4% formaldehyde and blocked in 10% normal Goat Serum. The cells were then incubated with the antibody overnight at 4C. The secondary antibody was Alexa Fluor 488-congugated AffiniPure Goat Anti-Rabbit IgG(H+L).
  • Immunofluorescence staining of A549 cell with 5% goat serum, counter-stained with DAPI. The cells were fixed in 4% formaldehyde and blocked in 10% normal Goat Serum. The cells were then incubated with the antibody overnight at 4C. The secondary antibody was Alexa Fluor 488-congugated AffiniPure Goat Anti-Rabbit IgG(H+L).
  • Immunofluorescence staining of NIH/3T3 cell with CSB-PA020060NA01HU at 1:30, counter-stained with DAPI. The cells were fixed in 4% formaldehyde and blocked in 10% normal Goat Serum. The cells were then incubated with the antibody overnight at 4C. The secondary antibody was Alexa Fluor 488-congugated AffiniPure Goat Anti-Rabbit IgG(H+L).
  • Immunofluorescence staining of NIH/3T3 cell with 5% goat serum, counter-stained with DAPI. The cells were fixed in 4% formaldehyde and blocked in 10% normal Goat Serum. The cells were then incubated with the antibody overnight at 4C. The secondary antibody was Alexa Fluor 488-congugated AffiniPure Goat Anti-Rabbit IgG(H+L).
Have Questions? Leave a Message or Start an on-line Chat

Product Details

Full Product Name
Rabbit anti-Homo sapiens (Human) PTBP3 Polyclonal antibody
Uniprot No.
Target Names
Alternative Names
DKFZp781I1117 antibody; Fission yeast differentiation regulator antibody; OTTHUMP00000021931 antibody; OTTHUMP00000021932 antibody; Polypyrimidine tract binding protein 3 antibody; regulator of differentiation 1 antibody; Regulator of differentiation (in S. pombe) 1 antibody; Regulator of differentiation 1 antibody; ROD 1 antibody; Rod1 antibody; ROD1 regulator of differentiation 1 antibody; ROD1_HUMAN antibody
Raised in
Rabbit
Species Reactivity
Human,Mouse
Immunogen
Fusion protein of human PTBP3
Immunogen Species
Homo sapiens (Human)
Conjugate
Non-conjugated

The PTBP3 Antibody (Product code: CSB-PA020060NA01HU) is Non-conjugated. For PTBP3 Antibody with conjugates, please check the following table.

Available Conjugates
Conjugate Product Code Product Name Application
HRP CSB-PA020060NB01HU PTBP3 Antibody, HRP conjugated ELISA
FITC CSB-PA020060NC01HU PTBP3 Antibody, FITC conjugated
Biotin CSB-PA020060ND01HU PTBP3 Antibody, Biotin conjugated ELISA
Clonality
Polyclonal
Isotype
IgG
Purification Method
Antigen Affinity Purified
Concentration
It differs from different batches. Please contact us to confirm it.
Buffer
pH7.4 PBS, 0.05% NaN3, 40% Glycerol
Form
Liquid
Tested Applications
ELISA, WB, IHC,IF
Recommended Dilution
Application Recommended Dilution
WB 1:1000-1:5000
IHC 1:20-1:200
IF 1:20-1:100.
Troubleshooting and FAQs
Storage
Upon receipt, store at -20°C or -80°C. Avoid repeated freeze.
Lead Time
Basically, we can dispatch the products out in 1-3 working days after receiving your orders. Delivery time maybe differs from different purchasing way or location, please kindly consult your local distributors for specific delivery time.
Usage
For Research Use Only. Not for use in diagnostic or therapeutic procedures.

Customer Reviews and Q&A

 Customer Reviews

There are currently no reviews for this product.

Submit a Review here

Target Background

Function
RNA-binding protein that mediates pre-mRNA alternative splicing regulation. Plays a role in the regulation of cell proliferation, differentiation and migration. Positive regulator of EPO-dependent erythropoiesis. Participates in cell differentiation regulation by repressing tissue-specific exons. Promotes FAS exon 6 skipping. Binds RNA, preferentially to both poly(G) and poly(U).
Gene References into Functions
  1. Low PTBP1 expression is associated with Prostate Cancer Growth. PMID: 29187400
  2. High PTBP3 expression is associated with Epithelial-Mesenchymal Transition in Breast Cancer. PMID: 29187406
  3. RTqPCR revealed that the expression level of miR210 and ROD1 in the antimiR210 group was significantly reduced when compared with the NC and BL groups (P<0.05). MiR210 was overexpressed in the serum of prostate cancer patients and transfection with an miR210 inhibitor was able to effectively inhibit the proliferation of prostate cancer cells and promote apoptosis. PMID: 29901117
  4. Increased PTBP3 expression is associated with 5- fluorouracil resistance in gastric cancer. PMID: 28222070
  5. We propose that miR-210 regulates cell proliferation and apoptosis in glioblastoma multiforme cells by targeting ROD1 PMID: 26443314
  6. Data show that polypyrimidine tract-binding proteins nPTB and ROD1 interact with mitochondrial tRNA(Thr) in the cytoplasm outside of mitochondria. PMID: 26657638
  7. PTBP3 may promote proliferation and inhibit the differentiation of human gastric cancer MKN45 cells PMID: 25119103
  8. ROD1 is a bona fide seedless target of miR-210. PMID: 23024754
  9. ROD1 and UPF1 associate with a significant number of common transcripts. PMID: 22575643
  10. Regulator of differentiation 1 (ROD1) binds to the amphipathic C-terminal peptide of thrombospondin-4 and is involved in its mitogenic activity. PMID: 19441079

Show More

Hide All

Tissue Specificity
Expressed in several hematopoietic cell lines examined.
Database Links

HGNC: 10253

OMIM: 607527

KEGG: hsa:9991

STRING: 9606.ENSP00000334499

UniGene: Hs.269988

icon of phone
Call us
301-363-4651 (Available 9 a.m. to 5 p.m. CST from Monday to Friday)
icon of address
Address
7505 Fannin St., Ste 610, Room 7 (CUBIO Innovation Center), Houston, TX 77054, USA
icon of social media
Join us with

Subscribe newsletter

Leave a message

* To protect against spam, please pass the CAPTCHA test below.
CAPTCHA verification
© 2007-2025 CUSABIO TECHNOLOGY LLC All rights reserved. 鄂ICP备15011166号-1
×
Place an order now

I. Product details

*
*
*
*

II. Contact details

*
*

III. Ship To

*
*
*
*
*
*
*

IV. Bill To

*
*
*
*
*
*
*
*