TBC1D25 Antibody

Code CSB-PA662139LA01HU
Size US$166
Order now
Image
  • IHC image of CSB-PA662139LA01HU diluted at 1:400 and staining in paraffin-embedded human adrenal gland tissue performed on a Leica BondTM system. After dewaxing and hydration, antigen retrieval was mediated by high pressure in a citrate buffer (pH 6.0). Section was blocked with 10% normal goat serum 30min at RT. Then primary antibody (1% BSA) was incubated at 4°C overnight. The primary is detected by a biotinylated secondary antibody and visualized using an HRP conjugated SP system.

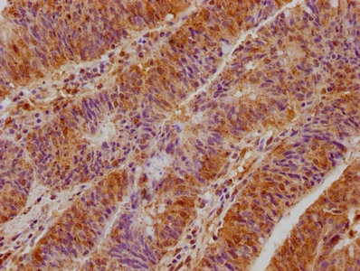
  • IHC image of CSB-PA662139LA01HU diluted at 1:400 and staining in paraffin-embedded human colon cancer performed on a Leica BondTM system. After dewaxing and hydration, antigen retrieval was mediated by high pressure in a citrate buffer (pH 6.0). Section was blocked with 10% normal goat serum 30min at RT. Then primary antibody (1% BSA) was incubated at 4°C overnight. The primary is detected by a biotinylated secondary antibody and visualized using an HRP conjugated SP system.

Promotion Free Antibody trial simple
Have Questions? Leave a Message or Start an on-line Chat

Product Details

Full Product Name
Rabbit anti-Homo sapiens (Human) TBC1D25 Polyclonal antibody
Uniprot No.
Target Names
TBC1D25
Alternative Names
MG81 antibody; MGC126866 antibody; MGC126868 antibody; MGC149731 antibody; MGC149732 antibody; OATL1 antibody; ORNITHINE AMINOTRANSFERASE LIKE 1 antibody; TBC1 domain family member 25 antibody; TBC1D25 antibody; TBC25_HUMAN antibody
Raised in
Rabbit
Species Reactivity
Human
Immunogen
Recombinant Human TBC1 domain family member 25 protein (1-219AA)
Immunogen Species
Homo sapiens (Human)
Conjugate
Non-conjugated

The TBC1D25 Antibody (Product code: CSB-PA662139LA01HU) is Non-conjugated. For TBC1D25 Antibody with conjugates, please check the following table.

Available Conjugates
Conjugate Product Code Product Name Application
HRP CSB-PA662139LB01HU TBC1D25 Antibody, HRP conjugated ELISA
FITC CSB-PA662139LC01HU TBC1D25 Antibody, FITC conjugated
Biotin CSB-PA662139LD01HU TBC1D25 Antibody, Biotin conjugated ELISA
Clonality
Polyclonal
Isotype
IgG
Purification Method
>95%, Protein G purified
Concentration
It differs from different batches. Please contact us to confirm it.
Buffer
Preservative: 0.03% Proclin 300
Constituents: 50% Glycerol, 0.01M PBS, pH 7.4
Form
Liquid
Tested Applications
ELISA, IHC
Recommended Dilution
Application Recommended Dilution
IHC 1:200-1:500
Troubleshooting and FAQs
Storage
Upon receipt, store at -20°C or -80°C. Avoid repeated freeze.
Lead Time
Basically, we can dispatch the products out in 1-3 working days after receiving your orders. Delivery time maybe differs from different purchasing way or location, please kindly consult your local distributors for specific delivery time.
Usage
For Research Use Only. Not for use in diagnostic or therapeutic procedures.

Customer Reviews and Q&A

 Customer Reviews

There are currently no reviews for this product.

Submit a Review here

Target Background

Function
Acts as a GTPase-activating protein specific for RAB33B. Involved in the regulation of autophagosome maturation, the process in which autophagosomes fuse with endosomes and lysosomes.
Gene References into Functions
  1. Our study showed that adenovirus-mediated antisense ODC and expression inhibits tumor cell growth through blocking the polyamine synthesis pathway. PMID: 17558447
  2. Studies indicate that each of the 4 genes was associated with at least one main outcome: anxiety (SAT1, SMS), mood disorders (SAT1, SMOX), and suicide attempts (SAT1, OATL1). PMID: 21152090
Subcellular Location
Cytoplasm. Cytoplasmic vesicle, autophagosome. Note=It is dispersed in the cytoplasm under nutrient-rich conditions. Localizes at autophagosomes under cell starving conditions.
Database Links

HGNC: 8092

OMIM: 311240

KEGG: hsa:4943

STRING: 9606.ENSP00000365962

UniGene: Hs.694353

icon of phone
Call us
301-363-4651 (Available 9 a.m. to 5 p.m. CST from Monday to Friday)
icon of address
Address
7505 Fannin St., Ste 610, Room 7 (CUBIO Innovation Center), Houston, TX 77054, USA
icon of social media
Join us with

Subscribe newsletter

Leave a message

* To protect against spam, please pass the CAPTCHA test below.
CAPTCHA verification
© 2007-2025 CUSABIO TECHNOLOGY LLC All rights reserved. 鄂ICP备15011166号-1
×
Place an order now

I. Product details

*
*
*
*

II. Contact details

*
*

III. Ship To

*
*
*
*
*
*
*

IV. Bill To

*
*
*
*
*
*
*
*