TFCP2 Antibody

Code CSB-PA621517DSR2HU
Size US$166
Order now
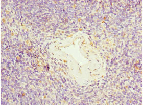
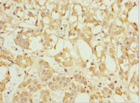
Image
  • Immunohistochemistry of paraffin-embedded human adrenal gland tissue using CSB-PA621517DSR2HU at dilution of 1:100

  • Immunohistochemistry of paraffin-embedded human thymus tissue using CSB-PA621517DSR2HU at dilution of 1:100

Have Questions? Leave a Message or Start an on-line Chat

Product Details

Full Product Name
Rabbit anti-Homo sapiens (Human) TFCP2 Polyclonal antibody
Uniprot No.
Target Names
TFCP2
Alternative Names
Alpha globin transcription factor CP2 antibody; Alpha-globin transcription factor CP2 antibody; CP2 antibody; Late SV40 factor antibody; LBP 1C antibody; LBP1C antibody; LSF antibody; LSF1D antibody; SAA3 enhancer factor antibody; SEF antibody; TFCP2 antibody; TFCP2_HUMAN antibody; TFCP2C antibody; Transcription factor CP2 antibody; Transcription factor LSF antibody
Raised in
Rabbit
Species Reactivity
Human
Immunogen
Recombinant Human Alpha-globin transcription factor CP2 protein (1-280AA)
Immunogen Species
Homo sapiens (Human)
Conjugate
Non-conjugated
Clonality
Polyclonal
Isotype
IgG
Purification Method
Antigen Affinity Purified
Concentration
It differs from different batches. Please contact us to confirm it.
Buffer
PBS with 0.02% sodium azide, 50% glycerol, pH7.3.
Form
Liquid
Tested Applications
ELISA, IHC
Recommended Dilution
Application Recommended Dilution
IHC 1:20-1:200
Troubleshooting and FAQs
Storage
Upon receipt, store at -20°C or -80°C. Avoid repeated freeze.
Lead Time
Basically, we can dispatch the products out in 1-3 working days after receiving your orders. Delivery time maybe differs from different purchasing way or location, please kindly consult your local distributors for specific delivery time.
Usage
For Research Use Only. Not for use in diagnostic or therapeutic procedures.

Customer Reviews and Q&A

 Customer Reviews

There are currently no reviews for this product.

Submit a Review here

Target Background

Function
Binds a variety of cellular and viral promoters including fibrinogen, alpha-globin, SV40 and HIV-1 promoters. Activation of the alpha-globin promoter in erythroid cells is via synergistic interaction with UBP1. Functions as part of the SSP (stage selector protein) complex. Facilitates the interaction of the gamma-globin genes with enhancer elements contained in the locus control region in fetal erythroid cells. Interacts by binding to the stage selector element (SSE) in the proximal gamma-globin promoter.
Gene References into Functions
  1. TFCP2 signaling is regulated by circular RNA hsa_circ_0023404 in the cervical cancer. PMID: 29738762
  2. TFCP2 acts as a transcription co-factor that stimulates YAP transcription by facilitating YAP binding with YAP binding motif (YBF)-containing transcription factors. PMID: 29091762
  3. High expression of CP2c was significantly correlated with patient age, and higher histological grade, stage, and small and large vessel invasion in HCC tissues. PMID: 28412749
  4. FQI1 mediates alteration of the tumor epigenome by DNMT1-LSF complex disruption, leading to aberrant DNA methylation and gene expression. PMID: 27845898
  5. The results suggest potential roles of LSF (TFCP2 ) as a growth regulator through control of the transcription of p21CIP1 in melanocytes and melanoma cells as well as a biomarker for nevus. PMID: 26506241
  6. Complement proteins C7 and CFH control the stemness of liver cancer cells via LSF-1 pathway. PMID: 26723877
  7. LSF is an important mediator in colorectal carcinoma tumorigenesis and progression, and LSF expression is an important index for and prognostic prediction. PMID: 25337247
  8. Antiproliferative small-molecule inhibitors of transcription factor LSF reveal oncogene addiction to LSF in hepatocellular carcinoma PMID: 22396589
  9. Inhibition of MMP-9 significantly abrogated LSF-induced angiogenesis as well as in vivo tumorigenesis, thus reinforcing the role of MMP-9 in facilitating LSF function. PMID: 22167195
  10. Data suggest that LSF is a key mediator of the Notch1 signaling pathway, suggesting that it might be a novel therapeutic target for the treatment of hepatocellular carcinoma. PMID: 21876634
  11. Study show that CRTR-1 is generally an activator of transcription and that it modulates the activity of other family members, CP2, NF2d9 and altNF2d9, in a cell specific manner. PMID: 20661472
  12. The expression of osteopontin (OPN), a gene regulating every step in tumor progression and metastasis, was robustly up-regulated by LSF. PMID: 20404171
  13. The human PcG protein dinG interacts with CP2, a mammalian member of the grainyhead-like family of transcription factors, in vitro and in vivo. The functional consequence of this interaction is repression of CP2-dependent transcription PMID: 11865070
  14. Mutation of a transcription factor, TFCP2L3, causes progressive autosomal dominant hearing loss, DFNA28 PMID: 12393799
  15. Case control study indicates LSF polymorphism may have a moderate protective effect against the risk of Alzheimer's disease. PMID: 12555245
  16. CP2 is a major factor in the regulation of globin expression in human and mouse erythroid cells, and CP2 binding to the globin gene promoter is essential for the enhanced transcription of globin genes in erythroid differentiation. PMID: 12661759
  17. LBP-1c/CP2/LSF may have a role in Alzheimer's disease PMID: 16272261
  18. The functional interaction of CP2 with GATA1 in the regulation of erythroid promoters was studied. PMID: 16648487
  19. CP2/LBP-1c/LSF as a factor that likely mediates enhanced transcription of GARS-AIRS-GART in Down syndrome-related Alzheimer disease. PMID: 17902044
  20. a novel mechanism by which RNF2 and PHB2 modulate the CP2-mediated transcriptional pathway. PMID: 18629613
  21. The protein structure prediction of CP2 family in order to elucidate the molecular mechanism of the CP2-directed regulation of gene expression. PMID: 18787404
  22. Activates Exon 1 Enhancer of Pax6 along with Sp1 PMID: 11574690
  23. Positively regulates Serum Amyloid A3 (SAA3). Identified as SAA3 Enhancer Factor (SEF). PMID: 10455131

Show More

Hide All

Subcellular Location
Nucleus.
Protein Families
Grh/CP2 family, CP2 subfamily
Tissue Specificity
Ubiquitous. Expressed in brain, ovary, kidney, thymus, spleen, liver, adrenal, heart and lung (at protein level).
Database Links

HGNC: 11748

OMIM: 189889

KEGG: hsa:7024

STRING: 9606.ENSP00000257915

UniGene: Hs.48849

icon of phone
Call us
301-363-4651 (Available 9 a.m. to 5 p.m. CST from Monday to Friday)
icon of address
Address
7505 Fannin St., Ste 610, Room 7 (CUBIO Innovation Center), Houston, TX 77054, USA
icon of social media
Join us with

Subscribe newsletter

Leave a message

* To protect against spam, please pass the CAPTCHA test below.
CAPTCHA verification
© 2007-2025 CUSABIO TECHNOLOGY LLC All rights reserved. 鄂ICP备15011166号-1
×
Place an order now

I. Product details

*
*
*
*

II. Contact details

*
*

III. Ship To

*
*
*
*
*
*
*

IV. Bill To

*
*
*
*
*
*
*
*