WDR35 Antibody

Code CSB-PA879071LA01HU
Size US$166
Order now
Image
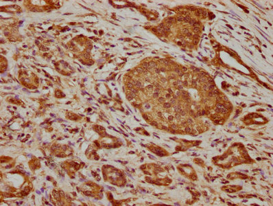
  • IHC image of CSB-PA879071LA01HU diluted at 1:200 and staining in paraffin-embedded human pancreatic cancer performed on a Leica BondTM system. After dewaxing and hydration, antigen retrieval was mediated by high pressure in a citrate buffer (pH 6.0). Section was blocked with 10% normal goat serum 30min at RT. Then primary antibody (1% BSA) was incubated at 4°C overnight. The primary is detected by a biotinylated secondary antibody and visualized using an HRP conjugated SP system.
Promotion Free Antibody trial simple
Have Questions? Leave a Message or Start an on-line Chat

Product Details

Full Product Name
Rabbit anti-Homo sapiens (Human) WDR35 Polyclonal antibody
Uniprot No.
Target Names
WDR35
Alternative Names
Intraflagellar transport protein 121 homolog antibody; KIAA1336 antibody; MGC33196 antibody; Naofen antibody; WD repeat domain 35 antibody; WD repeat-containing protein 35 antibody; WDR35 antibody; WDR35_HUMAN antibody
Raised in
Rabbit
Species Reactivity
Human
Immunogen
Recombinant Human WD repeat-containing protein 35 protein (954-1181AA)
Immunogen Species
Homo sapiens (Human)
Conjugate
Non-conjugated

The WDR35 Antibody (Product code: CSB-PA879071LA01HU) is Non-conjugated. For WDR35 Antibody with conjugates, please check the following table.

Available Conjugates
Conjugate Product Code Product Name Application
HRP CSB-PA879071LB01HU WDR35 Antibody, HRP conjugated ELISA
FITC CSB-PA879071LC01HU WDR35 Antibody, FITC conjugated
Biotin CSB-PA879071LD01HU WDR35 Antibody, Biotin conjugated ELISA
Clonality
Polyclonal
Isotype
IgG
Purification Method
>95%, Protein G purified
Concentration
It differs from different batches. Please contact us to confirm it.
Buffer
Preservative: 0.03% Proclin 300
Constituents: 50% Glycerol, 0.01M PBS, pH 7.4
Form
Liquid
Tested Applications
ELISA, IHC
Recommended Dilution
Application Recommended Dilution
IHC 1:200-1:500
Troubleshooting and FAQs
Storage
Upon receipt, store at -20°C or -80°C. Avoid repeated freeze.
Lead Time
Basically, we can dispatch the products out in 1-3 working days after receiving your orders. Delivery time maybe differs from different purchasing way or location, please kindly consult your local distributors for specific delivery time.
Usage
For Research Use Only. Not for use in diagnostic or therapeutic procedures.

Customer Reviews and Q&A

 Customer Reviews

There are currently no reviews for this product.

Submit a Review here

Target Background

Function
As a component of the IFT complex A (IFT-A), a complex required for retrograde ciliary transport and entry into cilia of G protein-coupled receptors (GPCRs), it is involved in ciliogenesis and ciliary protein trafficking. May promote CASP3 activation and TNF-stimulated apoptosis.
Gene References into Functions
  1. Homozygous missense mutation in WDR35 gene is associated with multiple congenital anomalies, including brain malformations and skeletal dysplasia suggestive of cranioectodermal dysplasia ciliopathy. PMID: 29174089
  2. The observations of the Sensenbrenner syndrome patient in this study provide additional clinical data and expand the molecular spectrum of Sensenbrenner syndrome. Moreover, the two variants identified in the proband provide further evidence for the WDR35 mutations as the most common cause of this rare syndrome. PMID: 29134781
  3. A differential diagnosis of Sensenbrenner Syndrome was made after a novel homozygous missense mutation in WDR35 was identified in a patient with initial diagnosis of Jeune syndrome. PMID: 28870638
  4. Wdr35 regulates cilium assembly by selectively regulating transport of distinct cargoes. PMID: 27806291
  5. Psychomotor development was apparently normal. Molecular analysis in one of the affected individuals identified compound heterozygosity for a nonsense (c.1922T>G, p.(Leu641*)) and missense (c.2522A>T, p.(Asp841Val)) variants in WDR35. We PMID: 28332779
  6. Splicing variants in WDR35, and possibly in other IFT-A components, underlie a number of Ellis-van Creveld syndrome cases by disrupting targeting of both the EvC complex and Smoothened to cilia. PMID: 25908617
  7. report on the detection of novel WDR35 mutations in two unrelated cranioectodermal dysplasia patients PMID: 22486404
  8. A pathogenic WDR35 mutation was identified in a family with a complex clinical presentation that includes significant overlap of the phenotypes described in Sensenbrenner syndrome and the unclassified short-rib polydactyly syndromes. PMID: 22987818
  9. Through structural modeling, we show that WDR35 has strong homology to the COPI coatamers involved in vesicular trafficking and that short-rib polydactyly mutations affect key structural elements in WDR35. PMID: 21473986
  10. WDR35 is homologous to TULP4 (from the Tubby superfamily) and has previously been characterized as an intraflagellar transport component, confirming that Sensenbrenner syndrome is a ciliary disorder. PMID: 20817137
  11. These results indicated that naofen may function as a novel modulator activating caspase-3, and promoting TNF-alpha-stimulated apoptosis. PMID: 20193664

Show More

Hide All

Involvement in disease
Cranioectodermal dysplasia 2 (CED2); Short-rib thoracic dysplasia 7 with or without polydactyly (SRTD7)
Subcellular Location
Cytoplasm, cytoskeleton, microtubule organizing center, centrosome. Cytoplasm, cytoskeleton, cilium axoneme. Cytoplasm, cytoskeleton, cilium basal body.
Database Links

HGNC: 29250

OMIM: 613602

KEGG: hsa:57539

STRING: 9606.ENSP00000314444

UniGene: Hs.205427

icon of phone
Call us
301-363-4651 (Available 9 a.m. to 5 p.m. CST from Monday to Friday)
icon of address
Address
7505 Fannin St., Ste 610, Room 7 (CUBIO Innovation Center), Houston, TX 77054, USA
icon of social media
Join us with

Subscribe newsletter

Leave a message

* To protect against spam, please pass the CAPTCHA test below.
CAPTCHA verification
© 2007-2025 CUSABIO TECHNOLOGY LLC All rights reserved. 鄂ICP备15011166号-1
×
Place an order now

I. Product details

*
*
*
*

II. Contact details

*
*

III. Ship To

*
*
*
*
*
*
*

IV. Bill To

*
*
*
*
*
*
*
*