ABCF1 Recombinant Monoclonal Antibody

Code CSB-RA216952A0HU
Size US$210
Order now
Image
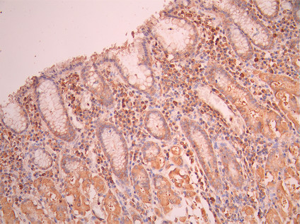
  • IHC image of CSB-RA216952A0HU diluted at 1:100 and staining in paraffin-embedded human stomach tissue performed on a Leica BondTM system. After dewaxing and hydration, antigen retrieval was mediated by high pressure in a citrate buffer (pH 6.0). Section was blocked with 10% normal goat serum 30min at RT. Then primary antibody (1% BSA) was incubated at 4°C overnight. The primary is detected by a Goat anti-rabbit polymer IgG labeled by HRP and visualized using 0.05% DAB.
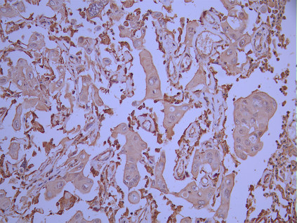
  • IHC image of CSB-RA216952A0HU diluted at 1:100 and staining in paraffin-embedded human cervical cancer performed on a Leica BondTM system. After dewaxing and hydration, antigen retrieval was mediated by high pressure in a citrate buffer (pH 6.0). Section was blocked with 10% normal goat serum 30min at RT. Then primary antibody (1% BSA) was incubated at 4°C overnight. The primary is detected by a Goat anti-rabbit polymer IgG labeled by HRP and visualized using 0.05% DAB.
  • Immunofluorescence staining of HeLa cell with CSB-RA216952A0HU at 1:50 , counter-stained with DAPI. The cells were fixed in 4% formaldehyde, permeabilized using 0.2% Triton X-100 and blocked in 10% normal Goat Serum. The cells were then incubated with the antibody overnight at 4°C. The secondary antibody was Alexa Fluor 488-congugated AffiniPure Goat Anti-Rabbit IgG(H+L).
  • Overlay Peak curve showing Hela cells stained with CSB-RA216952A0HU (red line) at 1:100. The cells were fixed in 4% formaldehyde and permeated by 0.2% TritonX-100 for 10min. Then 10% normal goat serum to block non-specific protein-protein interactions followed by the antibody (1ug/1*106cells) for 45min at 4℃. The secondary antibody used was FITC-conjugated goat anti-rabbit IgG (H+L) at 1/200 dilution for 35min at 4℃.Control antibody (green line) was Rabbit IgG (1ug/1*106cells) used under the same conditions. Acquisition of >10, 000 events was performed.
Have Questions? Leave a Message or Start an on-line Chat

Product Details

Uniprot No.
Target Names
ABCF1
Alternative Names
ABC27 antibody; ABC50 antibody; ABCF1 antibody; ABCF1_HUMAN antibody; ATP binding cassette 50 (TNF alpha stimulated) antibody; ATP binding cassette 50 antibody; ATP binding cassette sub family F member 1 antibody; ATP binding cassette; sub family F (GCN20); member 1 antibody; ATP-binding cassette 50 antibody; ATP-binding cassette sub-family F member 1 antibody; AU041969 antibody; D17Wsu166e antibody; EST123147 antibody; GCN20 antibody; TNF alpha stimulated ABC protein antibody; TNF-alpha-stimulated ABC protein antibody; TNFalpha inducible ATP binding protein antibody; wu:fb79c06 antibody; wu:fc39a05 antibody; wu:fj94a08 antibody; zgc:85667 antibody
Species Reactivity
Human
Immunogen
A synthesized peptide from human ABCF1 protein
Immunogen Species
Homo sapiens (Human)
Conjugate
Non-conjugated
Clonality
Monoclonal
Isotype
Rabbit IgG
Clone No.
8G6
Purification Method
Affinity-chromatography
Concentration
It differs from different batches. Please contact us to confirm it.
Buffer
Rabbit IgG in 10mM phosphate buffered saline , pH 7.4, 150mM sodium chloride, 0.05% BSA, 0.02% sodium azide and 50% glycerol.
Form
Liquid
Tested Applications
ELISA, IHC, IF, FC
Recommended Dilution
Application Recommended Dilution
IHC 1:50-1:200
IF 1:50-1:200
FC 1:50-1:200
Troubleshooting and FAQs
Storage
Upon receipt, store at -20°C or -80°C. Avoid repeated freeze.
Lead Time
Basically, we can dispatch the products out in 1-3 working days after receiving your orders. Delivery time maybe differs from different purchasing way or location, please kindly consult your local distributors for specific delivery time.
Usage
For Research Use Only. Not for use in diagnostic or therapeutic procedures.

Customer Reviews and Q&A

 Customer Reviews

There are currently no reviews for this product.

Submit a Review here

Target Background

Function
Isoform 2 is required for efficient Cap- and IRES-mediated mRNA translation initiation. Isoform 2 is not involved in the ribosome biogenesis.
Gene References into Functions
  1. The high copy number variant in the ABCF1 gene was the strongest risk factor for gout. PMID: 28405828
  2. ABCF1 extrinsically regulates retinal pigment epithelial cell phagocytosis of shed photoreceptor outer segments. PMID: 25904329
  3. Elevated microRNA-23a Expression Enhances the Chemoresistance of Colorectal Cancer Cells with Microsatellite Instability to 5-Fluorouracil by Directly Targeting ABCF1 PMID: 25929864
  4. expression of ABC50 mutants, which cannot hydrolyse ATP, decreases general translation and relaxes the discrimination against the use of non-AUG codons at translation start sites. PMID: 25597744
  5. A rare copy number variation of the ABCF1 gene was detected among dengue patients from Malaysia. PMID: 24634119
  6. The results suggested that SNPs at PRR3 and ABCF1 genes and the haplotype composed by SNPs at GNL1 and PRR3 between the HLA-A and HLA-C genes tended to predict Graves ophthalmology in a gender-dependent manner in patients with Graves disease in Taiwan. PMID: 24908204
  7. ABCF1 showed a significant increase in expression after escitalopram treatment. PMID: 23719290
  8. ABCF1 is a critical protein that associates with viral double-stranded DNA. PMID: 23263557
  9. The two critical HLA regions for susceptibility to autoimmune pancreatitis are limited to the HLA-DRB1*0405-DQB1*0401 in the class II and the ABCF1in the class I regions. PMID: 17119950
  10. ABC50 N-terminal region interacts with eukaryotic initiation factor eIF2 and is a target for regulatory phosphorylation by CK2 PMID: 17894550
  11. ABC50 plays a key role in translation initiation and has functions that are distinct from those of other non-membrane ABC proteins. PMID: 19570978

Show More

Hide All

Subcellular Location
[Isoform 2]: Cytoplasm. Nucleus, nucleoplasm. Nucleus envelope.
Protein Families
ABC transporter superfamily, ABCF family, EF3 subfamily
Tissue Specificity
Ubiquitous.
Database Links

HGNC: 70

OMIM: 603429

KEGG: hsa:23

STRING: 9606.ENSP00000313603

UniGene: Hs.655285

icon of phone
Call us
301-363-4651 (Available 9 a.m. to 5 p.m. CST from Monday to Friday)
icon of address
Address
7505 Fannin St., Ste 610, Room 7 (CUBIO Innovation Center), Houston, TX 77054, USA
icon of social media
Join us with

Subscribe newsletter

Leave a message

* To protect against spam, please pass the CAPTCHA test below.
CAPTCHA verification
© 2007-2025 CUSABIO TECHNOLOGY LLC All rights reserved. 鄂ICP备15011166号-1
×
Place an order now

I. Product details

*
*
*
*

II. Contact details

*
*

III. Ship To

*
*
*
*
*
*
*

IV. Bill To

*
*
*
*
*
*
*
*