AKAP8 Recombinant Monoclonal Antibody

Code CSB-RA295023A0HU
Size US$210
Order now
Image
  • Flow cytometric analysis of A-kinase anchoring protein 8 expression in C2C12 cells using A-kinase anchoring protein 8 antibody. Green, isotype control; red, A-kinase anchoring protein 8.
  • Immunocytochemical staining of C2C12 cells with A-kinase anchoring protein 8 antibody. Nuclei were stained blue with DAPI; A-kinase anchoring protein 8 was stained magenta with Alexa Fluor® 647. Images were taken using Leica stellaris 5. Protein abundance based on laser Intensity and smart gain: High. Scale bar, 20 μm.
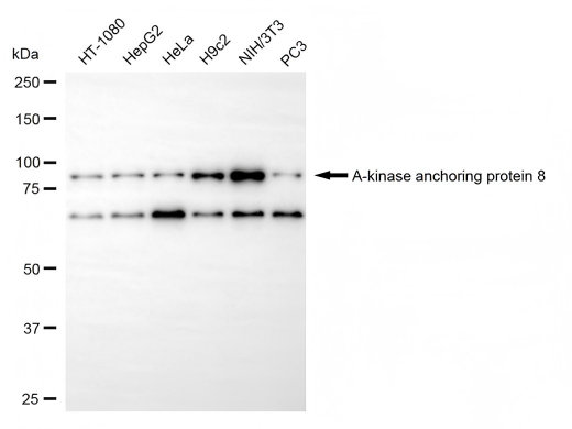
  • Western blotting analysis using A-kinase anchoring protein 8 antibody. Total cell lysates (20 μg) from various cell lines were loaded and separated by SDS-PAGE. The blot was incubated with A-kinase anchoring protein 8 antibody and HRP-conjugated goat anti-rabbit secondary antibody respectively.
Have Questions? Leave a Message or Start an on-line Chat

Product Details

Uniprot No.
Target Names
Alternative Names
AKAP8; A-Kinase Anchoring Protein 8; AKAP95; A Kinase (PRKA) Anchor Protein 8; A-Kinase Anchor Protein, 95kDa; A-Kinase Anchor Protein 8; AKAP 95; AKAP-8; A-Kinase Anchor Protein 95 KDa; DKFZp586B1222; DKFZP586B1222; AKAP-95
Species Reactivity
Human, Mouse, Rat
Immunogen
Recombinant Human AKAP8 protein
Immunogen Species
Homo sapiens (Human)
Conjugate
Non-conjugated
Clonality
Monoclonal
Isotype
Rabbit IgG
Clone No.
10D10
Purification Method
Affinity-chromatography
Concentration
It differs from different batches. Please contact us to confirm it.
Buffer
Rabbit IgG in PBS (pH 7.4) containing 50% glycerol, and 0.02% sodium azide.
Form
Liquid
Tested Applications
ELISA, WB, FC, ICC
Recommended Dilution
Application Recommended Dilution
WB 1:1000-1:5000
FC 1:200-1:2000
ICC 1:100-1:1000
Troubleshooting and FAQs
Storage
Upon receipt, store at -20°C or -80°C. Avoid repeated freeze.
Lead Time
Basically, we can dispatch the products out in 1-3 working days after receiving your orders. Delivery time maybe differs from different purchasing way or location, please kindly consult your local distributors for specific delivery time.
Usage
For Research Use Only. Not for use in diagnostic or therapeutic procedures.

Customer Reviews and Q&A

 Customer Reviews

There are currently no reviews for this product.

Submit a Review here

Target Background

Function
Anchoring protein that mediates the subcellular compartmentation of cAMP-dependent protein kinase (PKA type II). Acts as an anchor for a PKA-signaling complex onto mitotic chromosomes, which is required for maintenance of chromosomes in a condensed form throughout mitosis. Recruits condensin complex subunit NCAPD2 to chromosomes required for chromatin condensation; the function appears to be independent from PKA-anchoring. May help to deliver cyclin D/E to CDK4 to facilitate cell cycle progression. Required for cell cycle G2/M transition and histone deacetylation during mitosis. In mitotic cells recruits HDAC3 to the vicinity of chromatin leading to deacetylation and subsequent phosphorylation at 'Ser-10' of histone H3; in this function may act redundantly with AKAP8L. Involved in nuclear retention of RPS6KA1 upon ERK activation thus inducing cell proliferation. May be involved in regulation of DNA replication by acting as scaffold for MCM2. Enhances HMT activity of the KMT2 family MLL4/WBP7 complex and is involved in transcriptional regulation. In a teratocarcinoma cell line is involved in retinoic acid-mediated induction of developmental genes implicating H3 'Lys-4' methylation. May be involved in recruitment of active CASP3 to the nucleus in apoptotic cells. May act as a carrier protein of GJA1 for its transport to the nucleus. May play a repressive role in the regulation of rDNA transcription. Preferentially binds GC-rich DNA in vitro. In cells, associates with ribosomal RNA (rRNA) chromatin, preferentially with rRNA promoter and transcribed regions. Involved in modulation of Toll-like receptor signaling. Required for the cAMP-dependent suppression of TNF-alpha in early stages of LPS-induced macrophage activation; the function probably implicates targeting of PKA to NFKB1.
Gene References into Functions
  1. These results establish AKAP95 as a mostly positive regulator of pre-mRNA splicing and a possible integrator of transcription and splicing regulation. PMID: 27824034
  2. Results suggest that ALK generated by alternative transcription Initiation induces chromatin structural changes and heterochromatinization through phosphorylation of AKAP8 in the nucleus. PMID: 29093346
  3. Using a BioID proximity-based proteomic screen, we identify the nuclear pore complex protein TPR as a novel AKAP95 binding partner. We show interaction between AKAP95 and TPR in mitosis, and an AKAP95-dependent enrichment of TPR in the spindle microtubule area in metaphase, then later in the spindle midzone area. PMID: 28379780
  4. Report expression of connexin 43 in ovarian cancer cells in G1/S phase. PMID: 26823747
  5. The data indicate that AKAP95 is a novel nucleolus-associated protein with a regulatory role on rRNA production. PMID: 26683827
  6. Gene dosage at 19p13.12, and AKAP8 and/or AKAP8L in particular, play an important role in modulation of head size and may contribute to autism risk. PMID: 26076356
  7. These results suggest that AKAP8 is involved in the regulation of chromatin structural changes through nuclear tyrosine phosphorylation. PMID: 25770215
  8. Ectopic AKAP95 stimulates expression of a chromosomal reporter gene in synergy with MLL1 or MLL2, whereas AKAP95 depletion impairs retinoic acid-mediated gene induction in embryonic stem cells PMID: 23995757
  9. AMY-1 interacts with S-AKAP84 and this protein in the cytoplasm and the nucleus, respectively, and inhibits cAMP-dependent protein kinase activity by preventing binding of its catalytic subunit to A-kinase-anchoring protein (AKAP) complex. PMID: 12414807
  10. role of AKAP95 in DNA replication by providing a scaffold for MCM2 PMID: 12740381
  11. AKAP95 is a potential carrier protein for active caspase 3 from the cytoplasm into the nuclei in apoptotic cells. PMID: 16227597

Show More

Hide All

Subcellular Location
Nucleus. Nucleus matrix. Nucleus, nucleolus. Cytoplasm.
Protein Families
AKAP95 family
Tissue Specificity
Highly expressed in heart, liver, skeletal muscle, kidney and pancreas. Expressed in mature dendritic cells.
Database Links

HGNC: 378

OMIM: 604692

KEGG: hsa:10270

STRING: 9606.ENSP00000269701

UniGene: Hs.594496

icon of phone
Call us
301-363-4651 (Available 9 a.m. to 5 p.m. CST from Monday to Friday)
icon of address
Address
7505 Fannin St., Ste 610, Room 7 (CUBIO Innovation Center), Houston, TX 77054, USA
icon of social media
Join us with

Subscribe newsletter

Leave a message

* To protect against spam, please pass the CAPTCHA test below.
CAPTCHA verification
© 2007-2025 CUSABIO TECHNOLOGY LLC All rights reserved. 鄂ICP备15011166号-1
×
Place an order now

I. Product details

*
*
*
*

II. Contact details

*
*

III. Ship To

*
*
*
*
*
*
*

IV. Bill To

*
*
*
*
*
*
*
*