AP2M1 Recombinant Monoclonal Antibody

Code CSB-RA937318A0HU
Size US$210
Order now
Image
  • Immunocytochemical staining of C2C12 cells with AP2M1 antibody. Nuclei were stained blue with DAPI; AP2M1 was stained magenta with Alexa Fluor® 647. Images were taken using Leica stellaris 5. Protein abundance based on laser Intensity and smart gain: Low. Scale bar, 20 μm.
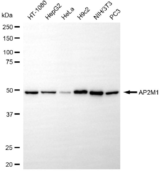
  • Western blotting analysis using AP2M1 antibody. Total cell lysates (30 μg) from various cell lines were loaded and separated by SDS-PAGE. The blot was incubated with AP2M1 antibody and HRP-conjugated goat anti-rabbit secondary antibody respectively.
Have Questions? Leave a Message or Start an on-line Chat

Product Details

Uniprot No.
Target Names
Alternative Names
AP2M1; Adaptor Related Protein Complex 2 Subunit Mu 1; CLAPM1; AP50; Clathrin-Associated/Assembly/Adaptor Protein, Medium 1; Clathrin Assembly Protein Complex 2 Mu Medium Chain; Clathrin Assembly Protein Complex 2 Medium Chain; Adaptor Related Protein Complex 2 Mu 1 Subunit; Adaptor-Related Protein Complex 2 Subunit Mu; Plasma Membrane Adaptor AP-2 50 KDa Protein; Plasma Membrane Adaptor AP-2 50kDA Protein; Clathrin Adaptor Complex AP2, Mu Subunit; Adaptor Protein Complex AP-2 Subunit Mu; Clathrin Coat-Associated Protein AP50; Clathrin Coat Assembly Protein AP50; Clathrin Coat Adaptor Protein AP50; AP-2 Complex Subunit Mu; HA2 50 KDA Subunit; AP-2 Mu 2 Chain; Adaptin-Mu2; Mu2; HA2 50 KDa Subunit; AP-2 Mu Chain; KIAA0109; MRD60; MU2
Species Reactivity
Human, Mouse, Rat
Immunogen
Recombinant Human AP2M1 protein
Immunogen Species
Homo sapiens (Human)
Conjugate
Non-conjugated
Clonality
Monoclonal
Isotype
Rabbit IgG
Clone No.
20H2
Purification Method
Affinity-chromatography
Concentration
It differs from different batches. Please contact us to confirm it.
Buffer
Rabbit IgG in PBS (pH 7.4) containing 50% glycerol, and 0.02% sodium azide.
Form
Liquid
Tested Applications
ELISA, WB, ICC
Recommended Dilution
Application Recommended Dilution
WB 1:1000-1:5000
ICC 1:100-1:1000
Troubleshooting and FAQs
Storage
Upon receipt, store at -20°C or -80°C. Avoid repeated freeze.
Lead Time
Basically, we can dispatch the products out in 1-3 working days after receiving your orders. Delivery time maybe differs from different purchasing way or location, please kindly consult your local distributors for specific delivery time.
Usage
For Research Use Only. Not for use in diagnostic or therapeutic procedures.

Customer Reviews and Q&A

 Customer Reviews

There are currently no reviews for this product.

Submit a Review here

Target Background

Function
Component of the adaptor protein complex 2 (AP-2). Adaptor protein complexes function in protein transport via transport vesicles in different membrane traffic pathways. Adaptor protein complexes are vesicle coat components and appear to be involved in cargo selection and vesicle formation. AP-2 is involved in clathrin-dependent endocytosis in which cargo proteins are incorporated into vesicles surrounded by clathrin (clathrin-coated vesicles, CCVs) which are destined for fusion with the early endosome. The clathrin lattice serves as a mechanical scaffold but is itself unable to bind directly to membrane components. Clathrin-associated adaptor protein (AP) complexes which can bind directly to both the clathrin lattice and to the lipid and protein components of membranes are considered to be the major clathrin adaptors contributing the CCV formation. AP-2 also serves as a cargo receptor to selectively sort the membrane proteins involved in receptor-mediated endocytosis. AP-2 seems to play a role in the recycling of synaptic vesicle membranes from the presynaptic surface. AP-2 recognizes Y-X-X-[FILMV] (Y-X-X-Phi) and [ED]-X-X-X-L-[LI] endocytosis signal motifs within the cytosolic tails of transmembrane cargo molecules. AP-2 may also play a role in maintaining normal post-endocytic trafficking through the ARF6-regulated, non-clathrin pathway. During long-term potentiation in hippocampal neurons, AP-2 is responsible for the endocytosis of ADAM10. The AP-2 mu subunit binds to transmembrane cargo proteins; it recognizes the Y-X-X-Phi motifs. The surface region interacting with to the Y-X-X-Phi motif is inaccessible in cytosolic AP-2, but becomes accessible through a conformational change following phosphorylation of AP-2 mu subunit at Thr-156 in membrane-associated AP-2. The membrane-specific phosphorylation event appears to involve assembled clathrin which activates the AP-2 mu kinase AAK1. Plays a role in endocytosis of frizzled family members upon Wnt signaling.
Gene References into Functions
  1. AP2 has evolved as a key regulatory node to coordinate clarhtin-coated pit formation and cargo sorting and ensure high spatial and temporal regulation of cathrin-mediated endocytosis. PMID: 28003333
  2. This study identified and confirmed adaptor protein 2 changes within the postsynaptic density in schizophrenia. PMID: 25048004
  3. BMCC1 is an AP-2 associated endosomal protein in prostate cancer cells. PMID: 24040105
  4. We identify dynamin and the EAP-binding alpha-adaptin appendage domain of the AP2 adaptor as switches in a regulated, multistep maturation process and provide direct evidence for a molecular checkpoint in clathrin mediated endocytosis. PMID: 23891661
  5. a conserved heretofore unrecognized YXXPhi motif (Phi is a bulky hydrophobic residue) within the core protein. This motif is homologous to sorting signals within host cargo proteins known to mediate binding of AP2M1 PMID: 22916011
  6. Arkadia complexes with clathrin adaptor AP2 mu2 subunit and regulates EGF signalling. PMID: 20965945
  7. These results suggest that AP-2 is essential for endocytic clathrin coated-pit and coated-vesicle formation. PMID: 20485680
  8. multiple interactions between PIPKI gamma-p90 and AP-2 lead to spatiotemporally controlled PI(4,5)P(2) synthesis during clathrin-mediated synaptic vesicle endocytosis. PMID: 19903820
  9. V1H can function as an adaptor for interactions between Nef and AP-2. PMID: 12032142
  10. direct association of the adaptor complex 2 with a G protein-coupled receptor has not been reported so far and might represent a common mechanism underlying clathrin-mediated receptor endocytosis PMID: 12644451
  11. Results indicate that AP-2 is not essential for clathrin-coated vesicle formation at the plasma membrane, but that it is one of several endocytic adaptors required for the uptake of certain cargo proteins. PMID: 12952941
  12. AP-2 is completely dependent on both (D/E)xxxL(L/I) motifs and 20 YxxO motifs signals to mediate TCR internalization; AP2M1 interacts with tyrosine in CD3delta and CD3gamma PMID: 15778375
  13. AP-2 and clathrin participate in MHC-II molecule trafficking to antigen-processing compartments. PMID: 15911768
  14. We show that in addition to promoting LPA(1) signaling, membrane cholesterol is essential for the association of LPA(1) with beta-arrestin, which leads to signal attenuation and clathrin-dependent endocytosis of LPA(1). PMID: 16263766
  15. The essential GYxxtheta motif in the HIV-2 Env tail recruits AP-2 in order to direct Env to a cellular pathway or location that is necessary for its ability to enhance virus release. PMID: 16501101
  16. there is a positive feedback loop consisting of endocytic cargo proteins, AP-2mu, and PIPK type I which may provide a specific pool of PI(4,5)P(2) dedicated to clathrin/AP-2-dependent receptor internalization PMID: 16880396
  17. An atypical basic motif within the cytoplasmic tails of AMPA-type glutamate receptors directly associates with mu2-adaptin by a mechanism similar to the recognition of the presynaptic vesicle protein synaptotagmin 1 by AP-2. PMID: 17289840
  18. Results show that three genes, namely FXR1, CLAPM1 and EIF4G, are most frequently overexpressed in the center of the amplified domain in squamous cell carcinomas. PMID: 17290396
  19. These results thus identify a novel type of AP-2 interaction determinant, support the notion that AP-2 is the key clathrin adaptor for the downregulation of CD4 by Nef, and reveal a previously unrecognized diversity among dileucine sorting signals. PMID: 18032517
  20. These findings demonstrate differences in internalization between the alpha1a- and alpha1b-AR and provide evidence that the lack of significant endocytosis of the alpha1a-AR is linked to its poor interaction with beta-arrestins as well as with AP50. PMID: 18523139
  21. The dyslexia-associated protein KIAA0319 interacts with adaptor protein 2 and follows the classical clathrin-mediated endocytosis pathway. PMID: 19419997

Show More

Hide All

Subcellular Location
Cell membrane. Membrane, coated pit; Peripheral membrane protein; Cytoplasmic side.
Protein Families
Adaptor complexes medium subunit family
Tissue Specificity
Expressed in the brain (at protein level).
Database Links

HGNC: 564

OMIM: 601024

KEGG: hsa:1173

STRING: 9606.ENSP00000292807

UniGene: Hs.518460

icon of phone
Call us
301-363-4651 (Available 9 a.m. to 5 p.m. CST from Monday to Friday)
icon of address
Address
7505 Fannin St., Ste 610, Room 7 (CUBIO Innovation Center), Houston, TX 77054, USA
icon of social media
Join us with

Subscribe newsletter

Leave a message

* To protect against spam, please pass the CAPTCHA test below.
CAPTCHA verification
© 2007-2025 CUSABIO TECHNOLOGY LLC All rights reserved. 鄂ICP备15011166号-1
×
Place an order now

I. Product details

*
*
*
*

II. Contact details

*
*

III. Ship To

*
*
*
*
*
*
*

IV. Bill To

*
*
*
*
*
*
*
*