APPL1 Recombinant Monoclonal Antibody

Code CSB-RA238916A0HU
Size US$210
Order now
Image
  • Western Blot
    , Positive WB detected in: Hela whole cell lysate(30µg), Jurkat whole cell lysate(30µg), SH-SY5Y whole cell lysate(30µg), colo205 whole cell lysate(30µg), A431 whole cell lysate(30µg), THP-1 whole cell lysate(30µg)
    All lanes: Dip13 alpha antibody at 1:1000
    Secondary
    Goat polyclonal to rabbit IgG at 1/40000 dilution
    Predicted band size: 80 kDa
    Observed band size: 85 kDa
    Exposure time:10s
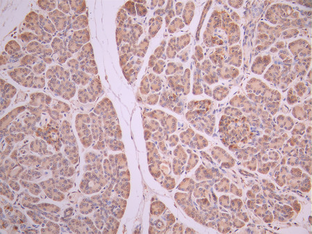
  • IHC image of CSB-RA238916A0HU diluted at 1:100 and staining in paraffin-embedded human pancreatic tissue performed on a Leica BondTM system. After dewaxing and hydration, antigen retrieval was mediated by high pressure in a citrate buffer (pH 6.0). Section was blocked with 10% normal goat serum 30min at RT. Then primary antibody (1% BSA) was incubated at 4°C overnight. The primary is detected by a Goat anti-rabbit polymer IgG labeled by HRP and visualized using 0.05% DAB.
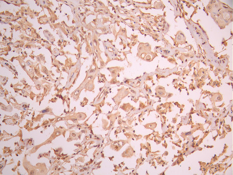
  • IHC image of CSB-RA238916A0HU diluted at 1:100 and staining in paraffin-embedded human cervical cancer performed on a Leica BondTM system. After dewaxing and hydration, antigen retrieval was mediated by high pressure in a citrate buffer (pH 6.0). Section was blocked with 10% normal goat serum 30min at RT. Then primary antibody (1% BSA) was incubated at 4°C overnight. The primary is detected by a Goat anti-rabbit polymer IgG labeled by HRP and visualized using 0.05% DAB.
  • Immunofluorescence staining of Hela cell with CSB-RA238916A0HU at 1:50 , counter-stained with DAPI. The cells were fixed in 4% formaldehyde, permeabilized using 0.2% Triton X-100 and blocked in 10% normal Goat Serum. The cells were then incubated with the antibody overnight at 4°C. The secondary antibody was Alexa Fluor 488-congugated AffiniPure Goat Anti-Rabbit IgG(H+L).
  • Overlay Peak curve showing A431 cells stained with CSB-RA238916A0HU (red line) at 1:100. The cells were fixed in 4% formaldehyde and permeated by 0.2% TritonX-100 for 10min. Then 10% normal goat serum to block non-specific protein-protein interactions followed by the antibody (1ug/1*106cells) for 45min at 4℃. The secondary antibody used was FITC-conjugated goat anti-rabbit IgG (H+L) at 1/200 dilution for 35min at 4℃.Control antibody (green line) was Rabbit IgG (1ug/1*106cells) used under the same conditions. Acquisition of >10, 000 events was performed.
Have Questions? Leave a Message or Start an on-line Chat

Product Details

Uniprot No.
Target Names
APPL1
Alternative Names
Adapter protein containing PH domain antibody; Adaptor Protein Containing pH Domain antibody; Adaptor protein containing pH domain PTB domain and leucine zipper motif 1 antibody; Adaptor protein containing pH domain PTB domain and leucine zipper motif antibody; Adaptor protein phosphotyrosine interacting with PH domain and leucine zipper 1 antibody; AKT2 INTERACTOR antibody; APPL 1 antibody; Appl1 antibody; DCC interacting protein 13 alpha antibody; DCC-interacting protein 13-alpha antibody; DIP 13 alpha antibody; DIP13 alpha antibody; Dip13-alpha antibody; DIP13alpha antibody; DP13A_HUMAN antibody; KIAA1428 antibody; PTB domain and leucine zipper motif 1 antibody; PTB Domain and Leucine Zipper Motif antibody; Signaling adaptor protein DIP13alpha antibody
Species Reactivity
Human
Immunogen
A synthesized peptide from human APPL1 protein
Immunogen Species
Homo sapiens (Human)
Conjugate
Non-conjugated
Clonality
Monoclonal
Isotype
Rabbit IgG
Clone No.
24F7
Purification Method
Affinity-chromatography
Concentration
It differs from different batches. Please contact us to confirm it.
Buffer
Rabbit IgG in 10mM phosphate buffered saline , pH 7.4, 150mM sodium chloride, 0.05% BSA, 0.02% sodium azide and 50% glycerol.
Form
Liquid
Tested Applications
ELISA, WB, IHC, IF, FC
Recommended Dilution
Application Recommended Dilution
WB 1:500-1:5000
IHC 1:50-1:200
IF 1:50-1:200
FC 1:50-1:200
Troubleshooting and FAQs
Storage
Upon receipt, store at -20°C or -80°C. Avoid repeated freeze.
Lead Time
Basically, we can dispatch the products out in 1-3 working days after receiving your orders. Delivery time maybe differs from different purchasing way or location, please kindly consult your local distributors for specific delivery time.
Usage
For Research Use Only. Not for use in diagnostic or therapeutic procedures.

Customer Reviews and Q&A

 Customer Reviews

There are currently no reviews for this product.

Submit a Review here

Target Background

Function
Multifunctional adapter protein that binds to various membrane receptors, nuclear factors and signaling proteins to regulate many processes, such as cell proliferation, immune response, endosomal trafficking and cell metabolism. Regulates signaling pathway leading to cell proliferation through interaction with RAB5A and subunits of the NuRD/MeCP1 complex. Functions as a positive regulator of innate immune response via activation of AKT1 signaling pathway by forming a complex with APPL1 and PIK3R1. Inhibits Fc-gamma receptor-mediated phagocytosis through PI3K/Akt signaling in macrophages. Regulates TLR4 signaling in activated macrophages. Involved in trafficking of the TGFBR1 from the endosomes to the nucleus via microtubules in a TRAF6-dependent manner. Plays a role in cell metabolism by regulating adiponecting and insulin signaling pathways. Required for fibroblast migration through HGF cell signaling. Positive regulator of beta-catenin/TCF-dependent transcription through direct interaction with RUVBL2/reptin resulting in the relief of RUVBL2-mediated repression of beta-catenin/TCF target genes by modulating the interactions within the beta-catenin-reptin-HDAC complex.
Gene References into Functions
  1. Present study demonstrated that expression of APPL1 protein and mRNA was upregulated in gastric carcinoma (GC) tissues and cell lines. The expression of APPL1 in GC was statistically associated with metastasis stage. Overexpression of APPL1 promotes invasion and metastasis of gastric cancer cells and the underlying molecular mechanism may facilitate EMT via Akt2 phosphorylation. PMID: 28902365
  2. APPL1 positively mediated leptin signaling. PMID: 27820851
  3. Decreased expression of APPL1 is associated with polycystic ovary syndrome. PMID: 27075719
  4. Results indicate that persistent rab5 overactivation through beta-cleaved carboxy-terminal fragment of APP-APPL1 interactions constitutes a novel APP-dependent pathogenic pathway in Alzheimer's disease PMID: 26194181
  5. Data show that signal transducing adaptor proteins APPL1 and APPL2 are required for TGFbeta-induced nuclear translocation of TGFbeta type I receptor (TbetaRI)-ICD and for cancer cell invasiveness of prostate and breast cancer cell lines. PMID: 26583432
  6. Low expression of APPL1 is associated with metastasis in prostate cancer. PMID: 26473288
  7. APPL1 endosomes represent a distinct population of Rab5-positive sorting endosomes. PMID: 26459602
  8. article provides evidence that GG genotype and G carrier (CG+GG) genotypes of the rs4640525 polymorphism in the APPL1 gene may be suitable susceptibility biomarkers for NAFLD PMID: 26731990
  9. Two loss-of-function mutations in APPL1, identified by means of whole-exome sequencing, found in two large families with a high prevalence of Familial Diabetes Mellitus. PMID: 26073777
  10. A role for APPL1 in TLR3/4-dependent TBK1 and IKKepsilon activation in macrophages. PMID: 25780039
  11. ATM is the central modulator of APPL-mediated effects on radiosensitivity and DNA repair. PMID: 24763056
  12. APPL1 sensitizes insulin signaling by acting at a site downstream of the IR. Study uncovers a mechanism regulating insulin signaling and crosstalk between the insulin and adiponectin pathways. PMID: 24813896
  13. APPL1 is a positive regulator of Dvl2-dependent transcriptional activity of AP-1. PMID: 25622892
  14. It concludes that APPL1(PH) binding to BAR domain and Reptin is mutually exclusive which regulates the nucleocytoplasmic shuttling of Reptin. PMID: 23891720
  15. The activated EGF receptor enters distinct sub-populations of SNX15- and APPL1-labelled peripheral endocytic vesicles. PMID: 23986476
  16. C-APPL1/A-APPL2 allele combination is associated with non-alcoholic fatty liver disease occurrence, with a more severe hepatic steatosis grade and with a reduced adiponectin cytoprotective effect on liver. PMID: 23977033
  17. TRAF6-mediated ubiquitination of APPL1 is a vital step for the hepatic actions of insulin through modulation of membrane trafficking and activity of Akt. PMID: 23909487
  18. Rab5a and APPL1 are overexpressed in breast cancer, and are positively correlated with the HER-2 expression. PMID: 23291133
  19. neurons with APPL1-positive granules were restricted to the CA1 area and subiculum, areas associated with hippocampal vulnerability, suggesting a possible link between the perisomatic accumulation of APPL1 and Alzheimer's disease. PMID: 23246927
  20. APPL1 regulates basal NF-kappaB activity by modulating the stability of NIK, which affects the activation of p65. PMID: 22685329
  21. analysis of APPL1 and APPL2 proteins and their interaction with Rab PMID: 23055524
  22. APPL1 is a novel target in endoplasmic reticulum (ER) stress-induced insulin resistance and PKCalpha is the kinase mediating ER stress-induced phosphorylation of APPL1 at Ser(430). PMID: 22685300
  23. results demonstrate an important new function for APPL1 in regulating cell migration and adhesion turnover through a mechanism that depends on Src and Akt PMID: 22379109
  24. Genetic variation(s) in APPL1/2 may be associated with CAD risk in T2DM in Chinese population. PMID: 22340213
  25. Treating C2C12 myotubes with adiponectin promoted APPL1 interaction with protein phosphatase 2A (PP2A) and protein kinase Czeta (PKCzeta), leading to the activation of PP2A and subsequent dephosphorylation and inactivation of PKCzeta. PMID: 21835890
  26. These findings suggest that APPL1 is required for EGFR signaling by regulation of EGFR stabilities through inhibition of Rab5. PMID: 22037462
  27. Data suggest that although annexin A2 is not an exclusive marker of APPL1/2 endosomes, it has an important function in membrane recruitment of APPL proteins, acting in parallel to Rab5. PMID: 21645192
  28. APPL1 plays a key role in coordinating the vasodilator and vasoconstrictor effects of insulin by modulating Akt-dependent NO production and ERK1/2-mediated ET-1 secretion in the endothelium. PMID: 21926268
  29. APPL1 abundance is significantly higher in type 2 diabetic muscle; Improvements in hyperglycaemia and hypoadiponectinaemia are associated with reduced skeletal muscle APPL1, and increased plasma adiponectin levels and muscle AMPK phosphorylation. PMID: 21562756
  30. Results show that APPL1 is recruited to aggresomes induced by proteasomal stress, and suggest that proteasome inhibitors in clinical use affect the localization, ubiquitination and solubility of APPL1. PMID: 21320486
  31. The adapter protein APPL1 links FSH receptor to inositol 1,4,5-trisphosphate production and is implicated in intracellular Ca(2+) mobilization. PMID: 21285318
  32. Data indicate APPL1 functions as a scaffolding protein to facilitate adiponectin-stimulated p38 MAPK activation in myotubes. PMID: 20978232
  33. [REVIEW] Emerging roles for AppL1. APPL1 has been shown to interact with a variety of membrane receptors. Recent subcellular localizations of APPL1 place it in dynamic and varied venues in the cell: the cell membrane, the nucleus and the early endosomes PMID: 20600589
  34. Studies indicate that APPL1 has been recently identified as an AdipoR1 and AdipoR2 binding protein. PMID: 20875820
  35. significant fluorescence resonance energy transfer between APPL minimal BAR domain FRET pairs PMID: 20814572
  36. The promyogenic function of Cdo involves a coordinated activation of p38MAPK and Akt via association with scaffold proteins, JLP and Bnip-2 for p38MAPK and APPL1 for Akt. PMID: 20484574
  37. Rab5a promoted proliferation of ovarian cancer cells, which may be associated with the APPL1-related epidermal growth factor signaling pathway. PMID: 20412119
  38. Used mass spectrometry (MS) to identify 13 phosphorylated residues within APPL1. PMID: 20095645
  39. identification of a pathway directly linking the small GTPase Rab5, a key regulator of endocytosis, to signal transduction and mitogenesis via APPL1 and APPL2, two Rab5 effectors PMID: 15016378
  40. APPL1 is a potential interactor with FSHR PMID: 15070827
  41. APPL1 interacts with adiponectin receptors in mammalian cells and the interaction is stimulated by adiponectin. PMID: 16622416
  42. APPL1 acts as a common downstream effector of Adiponectin receptors R1 and -R2, mediating adiponectin-evoked endothelial nitric oxide production and endothelium-dependent vasodilation. PMID: 17287464
  43. The ability of APPL1 to interact with multiple signaling molecules and phospholipids supports an important role for this adaptor in cell signaling. PMID: 17502098
  44. The crystal structures of human APPL1 N-terminal BAR-PH domain motif, is reported. PMID: 17581628
  45. These data suggest that APPL1 plays an important role in insulin-stimulated Glut4 translocation in muscle and adipose tissues and that its N-terminal portion may be critical for APPL1 function. PMID: 17848569
  46. The findings suggest a role for APPL1 and APPL2 protein as dynamic scaffolds that modulate RAB5-associated signaling endosomal membranes by their ability to undergo domain-mediated oligomerization, membrane targeting and phosphoinositide binding. PMID: 18034774
  47. Thus, binding to APPL1 helps localize OCRL at specific cellular sites, and disruption of this interaction may play a role in disease. PMID: 18307981
  48. Adiponectin blocks interleukin-18-mediated endothelial cell death via APPL1-dependent AMP-activated protein kinase (AMPK) activation and IKK/NF-kappaB/PTEN suppression. PMID: 18632660
  49. APPL proteins exert their stimulatory effects on beta-catenin/TCF-dependent transcription by decreasing the activity of a Reptin-containing repressive complex PMID: 19433865
  50. Adiponectin activates AMP-activated protein kinase in muscle cells via APPL1/LKB1-dependent and phospholipase C/Ca2+/Ca2+/calmodulin-dependent protein kinase kinase-dependent pathways PMID: 19520843

Show More

Hide All

Involvement in disease
Maturity-onset diabetes of the young 14 (MODY14)
Subcellular Location
Early endosome membrane; Peripheral membrane protein. Nucleus. Cytoplasm. Endosome. Cell projection, ruffle. Cytoplasmic vesicle, phagosome.
Tissue Specificity
High levels in heart, ovary, pancreas and skeletal muscle.
Database Links

HGNC: 24035

OMIM: 604299

KEGG: hsa:26060

STRING: 9606.ENSP00000288266

UniGene: Hs.476415

icon of phone
Call us
301-363-4651 (Available 9 a.m. to 5 p.m. CST from Monday to Friday)
icon of address
Address
7505 Fannin St., Ste 610, Room 7 (CUBIO Innovation Center), Houston, TX 77054, USA
icon of social media
Join us with

Subscribe newsletter

Leave a message

* To protect against spam, please pass the CAPTCHA test below.
CAPTCHA verification
© 2007-2025 CUSABIO TECHNOLOGY LLC All rights reserved. 鄂ICP备15011166号-1
×
Place an order now

I. Product details

*
*
*
*

II. Contact details

*
*

III. Ship To

*
*
*
*
*
*
*

IV. Bill To

*
*
*
*
*
*
*
*