BCAM Recombinant Monoclonal Antibody

Code CSB-RA958435A0HU
Size US$210
Order now
Image
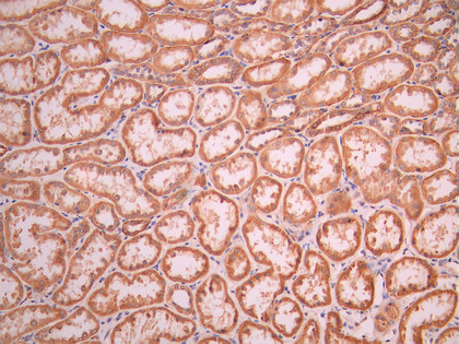
  • IHC image of CSB-RA958435A0HU diluted at 1:100 and staining in paraffin-embedded human kidney tissue performed on a Leica BondTM system. After dewaxing and hydration, antigen retrieval was mediated by high pressure in a citrate buffer (pH 6.0). Section was blocked with 10% normal goat serum 30min at RT. Then primary antibody (1% BSA) was incubated at 4°C overnight. The primary is detected by a Goat anti-rabbit polymer IgG labeled by HRP and visualized using 0.05% DAB.
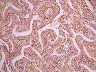
  • IHC image of CSB-RA958435A0HU diluted at 1:100 and staining in paraffin-embedded human prostate cancer performed on a Leica BondTM system. After dewaxing and hydration, antigen retrieval was mediated by high pressure in a citrate buffer (pH 6.0). Section was blocked with 10% normal goat serum 30min at RT. Then primary antibody (1% BSA) was incubated at 4°C overnight. The primary is detected by a Goat anti-rabbit polymer IgG labeled by HRP and visualized using 0.05% DAB.
Have Questions? Leave a Message or Start an on-line Chat

Product Details

Uniprot No.
Target Names
Alternative Names
Antigen identified by monoclonal antibody F8 antibody; AU antibody; Auberger B antigen antibody; B CAM cell surface glycoprotein antibody; B cell adhesion molecule antibody; B-CAM cell surface glycoprotein antibody; Basal cell adhesion molecule (Lu and Au blood groups) antibody; Basal cell adhesion molecule (Lutheran blood group) antibody; Basal cell adhesion molecule antibody; Basal cell adhesion molecule Lu and Au blood groups antibody; Basal cell adhesion molecule Lutheran blood group antibody; Bcam antibody; BCAM_HUMAN antibody; CD239 antibody; CD239 antigen antibody; F8/G253 antigen antibody; Glycoprotein 95kDa antibody; LU antibody; Lutheran antibody; Lutheran antigen antibody; Lutheran blood group (Auberger b antigen included) antibody; Lutheran blood group Auberger b antigen included antibody; Lutheran blood group glycoprotein antibody; MSK19 antibody
Species Reactivity
Human
Immunogen
A synthesized peptide from human BCAM protein
Immunogen Species
Homo sapiens (Human)
Conjugate
Non-conjugated
Clonality
Monoclonal
Isotype
Rabbit IgG
Clone No.
1G12
Purification Method
Affinity-chromatography
Concentration
It differs from different batches. Please contact us to confirm it.
Buffer
Rabbit IgG in 10mM phosphate buffered saline , pH 7.4, 150mM sodium chloride, 0.05% BSA, 0.02% sodium azide and 50% glycerol.
Form
Liquid
Tested Applications
ELISA, IHC
Recommended Dilution
Application Recommended Dilution
IHC 1:50-1:200
Troubleshooting and FAQs
Storage
Upon receipt, store at -20°C or -80°C. Avoid repeated freeze.
Lead Time
Basically, we can dispatch the products out in 1-3 working days after receiving your orders. Delivery time maybe differs from different purchasing way or location, please kindly consult your local distributors for specific delivery time.
Usage
For Research Use Only. Not for use in diagnostic or therapeutic procedures.

Customer Reviews and Q&A

 Customer Reviews

There are currently no reviews for this product.

Submit a Review here

Target Background

Function
Laminin alpha-5 receptor. May mediate intracellular signaling.
Gene References into Functions
  1. Lu expression by erythrocytes from patients with myeloproliferative neoplasms and splanchnic venous thrombosi is significantly increased compared to erythrocytes from healthy individuals PMID: 29756283
  2. This is the first report showing that Lu/BCAM, in the presence of its ligand laminin, is oncogenic in human urothelial cancers and may have potential as a novel therapeutic target. PMID: 28841878
  3. The serum levels of IL-8, MIP-1 alpha, MIP-1 beta, MMP-8, Resistin, FLRG, and BCAM were significantly higher in breast cancer patients, but LAP and TSH-beta levels were lower. PMID: 26898119
  4. four new alleles with coding sequence variants were identified in the LU gene PMID: 27043150
  5. Cytometry analysis evidenced a specific expression profile on reticulocytes of SCA infants, with notably an increased expression of the adhesion molecules Lu/BCAM, ICAM-4 and LFA-3, both in percentage of positive cells and in surface density. PMID: 26137540
  6. These studies revealed amino acids 720 to 1014 of CNF1 as the binding site for Lu/BCAM. PMID: 24453976
  7. High BCAM expression is associated with hepatocellular carcinoma. PMID: 25051049
  8. Adhesion of sickle reticulocytes to HC-treated endothelial cells was decreased despite the HC-derived increase of Lu/BCAM expression. PMID: 24616094
  9. tumor cell migration on LM-511 requires that Lu/B-CAM competitively modulates cell attachment through integrins. PMID: 24036115
  10. DARC and BCAM expression was associated with pathogenesis of thyroid carcinoma and correlated with clinical-pathological features. PMID: 23168236
  11. Glu425 in the Lu glycoprotein is required for expression of Lu7, and Ala425 is associated with the LU:-7 phenotype. This completes the molecular basis associated with all antigens known to be in the Lutheran blood group system. PMID: 23421542
  12. Increases in adhesion frequency provide significant evidence of the role of epinephrine in BCAM/Lu-laminin and ICAM-4-alpha(v)beta(3) bonding, and suggest mechanisms of vaso-occlusion during physical exertion in sickle cell trait. PMID: 22404936
  13. Aggregation of mononuclear and red blood cells through an {alpha}4{beta}1-Lu/basal cell adhesion molecule interaction in sickle cell disease PMID: 20562314
  14. BCAM glycoproteins are the unique erythroid receptors of laminin alpha5 chain, a major component of the extracellular matrix and are involved in several erythrocyte diseases. PMID: 20655789
  15. Results demonstrate that the alpha5 LG3 module is essential for the Lutheran blood group glycoprotein (Lu) binding to laminin alpha5. PMID: 12244066
  16. B-CAM/LU is the most critical receptor mediating adhesion to laminin under both static and flow conditions in sickle cell anemia. PMID: 14755370
  17. interactions of B-CAM and laminin may be involved in progression of epithelial skin tumors PMID: 15278364
  18. Lu mediates the adhesion of human endothelial cells to alpha5 laminins in collaboration with integrins beta(1) and alpha(v)beta(3). PMID: 16236823
  19. B-CAM spliceoform seems to be overexpressed by a variety of different malignant tumors and may be involved, along with other adhesion receptor proteins, in malignant transformation and tumor metastasis. (review) PMID: 16584446
  20. The Laminin 511/521-binding site on the Lutheran blood group glycoprotein is located at the flexible junction of Ig domains 2 and 3. PMID: 17638854
  21. study presents a combined modeling & small angle X-ray scattering approach that extends the structural analysis of Lu gp to all five extracellular domains & provides further insight to its interaction with laminins (Ln511 & Ln521) PMID: 18302987
  22. Lu/BCAM gps expressed on erythroid or on endothelial cells are involved in SS RBC-endothelium interactions & could play a role in abnormal adhesion of SS RBCs to vascular endothelium contributing to vaso-occlusive crises reported for sickle cell disease. PMID: 18514010
  23. the interaction of the Lu cytoplasmic tail with the cytoskeleton regulates its adhesive receptor function PMID: 18815288
  24. CD239 was expressed in a constitutive fashion in polycythaemia vera-derived bone marrow cells and thus a pro-thrombotic function does not seem to be mediated by increased CD239 expression alone. PMID: 18972067
  25. Lutheran blood group glycoprotein (Lu) is one of the proteins cleaved by MT1-MMP. PMID: 19667067

Show More

Hide All

Subcellular Location
Membrane; Single-pass type I membrane protein.
Tissue Specificity
Wide tissue distribution (highest in the pancreas and very low in brain). Closely associated with the basal layer of cells in epithelia and the endothelium of blood vessel walls.
Database Links

HGNC: 6722

OMIM: 111200

KEGG: hsa:4059

STRING: 9606.ENSP00000270233

UniGene: Hs.625725

icon of phone
Call us
301-363-4651 (Available 9 a.m. to 5 p.m. CST from Monday to Friday)
icon of address
Address
7505 Fannin St., Ste 610, Room 7 (CUBIO Innovation Center), Houston, TX 77054, USA
icon of social media
Join us with

Subscribe newsletter

Leave a message

* To protect against spam, please pass the CAPTCHA test below.
CAPTCHA verification
© 2007-2025 CUSABIO TECHNOLOGY LLC All rights reserved. 鄂ICP备15011166号-1
×
Place an order now

I. Product details

*
*
*
*

II. Contact details

*
*

III. Ship To

*
*
*
*
*
*
*

IV. Bill To

*
*
*
*
*
*
*
*