CD55 Recombinant Monoclonal Antibody

Code CSB-RA169114A0HU
Size US$210
Order now
Image
  • Immunocytochemical staining of HepG2 cells with CD55 antibody. Nuclei were stained blue with DAPI; CD55 was stained magenta with Alexa Fluor® 647. Images were taken using Leica stellaris 5. Protein abundance based on laser Intensity and smart gain: Medium. Scale bar: 20 μm.
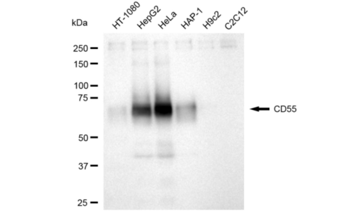
  • Western blotting analysis using CD55 antibody. Total cell lysates (30 μg) from various cell lines were loaded and separated by SDS-PAGE. The blot was incubated with CD55 antibody and HRP-conjugated goat anti-rabbit secondary antibody respectively.
Have Questions? Leave a Message or Start an on-line Chat

Product Details

Uniprot No.
Target Names
Alternative Names
CD55; CD55 Molecule (Cromer Blood Group); CR; CROM; DAF; TC; CD55 Molecule, Decay Accelerating Factor For Complement (Cromer Blood Group); Complement Decay-Accelerating Factor; CD55 Antigen; Decay Accelerating Factor For Complement (CD55, Cromer Blood Group System); Cromer Blood Group Antigen; Rh Blood Group D Antigen; CHAPLE
Species Reactivity
Human
Immunogen
Recombinant Human CD55 protein
Immunogen Species
Homo sapiens (Human)
Conjugate
Non-conjugated
Clonality
Monoclonal
Isotype
Rabbit IgG
Clone No.
19H8
Purification Method
Affinity-chromatography
Concentration
It differs from different batches. Please contact us to confirm it.
Buffer
Rabbit IgG in PBS (pH 7.4) containing 50% glycerol, and 0.02% sodium azide.
Form
Liquid
Tested Applications
ELISA, WB, ICC
Recommended Dilution
Application Recommended Dilution
WB 1:1000-1:5000
ICC 1:100-1:1000
Troubleshooting and FAQs
Storage
Upon receipt, store at -20°C or -80°C. Avoid repeated freeze.
Lead Time
Basically, we can dispatch the products out in 1-3 working days after receiving your orders. Delivery time maybe differs from different purchasing way or location, please kindly consult your local distributors for specific delivery time.
Usage
For Research Use Only. Not for use in diagnostic or therapeutic procedures.

Customer Reviews and Q&A

 Customer Reviews

There are currently no reviews for this product.

Submit a Review here

Target Background

Function
This protein recognizes C4b and C3b fragments that condense with cell-surface hydroxyl or amino groups when nascent C4b and C3b are locally generated during C4 and c3 activation. Interaction of daf with cell-associated C4b and C3b polypeptides interferes with their ability to catalyze the conversion of C2 and factor B to enzymatically active C2a and Bb and thereby prevents the formation of C4b2a and C3bBb, the amplification convertases of the complement cascade. Inhibits complement activation by destabilizing and preventing the formation of C3 and C5 convertases, which prevents complement damage.; (Microbial infection) Acts as a receptor for Coxsackievirus A21, coxsackieviruses B1, B3 and B5.; (Microbial infection) Acts as a receptor for Human enterovirus 70 and D68 (Probable).; (Microbial infection) Acts as a receptor for Human echoviruses 6, 7, 11, 12, 20 and 21.
Gene References into Functions
  1. DAF is a potential molecule involving in endometrial cellular proliferation and motility PMID: 30001983
  2. The work identified two new host factors that may act as receptors for P. falciparum during invasion: CD44 and CD55. (Review) PMID: 29249333
  3. the first comprehensive analysis of variation in the CD55 gene in the context of Severe malaria. PMID: 28104671
  4. CD55 rs2564978 polymorphism may contribute to an increased risk of non-small cell lung carcinoma in Chinese population. PMID: 28008159
  5. HPLC/MS analyses of diabetic RBC glucose-modified DAF localized the sites of AGE modifications to K(125) adjacent to K(126), K(127) at the junction of CCPs2-3 and spatially near R(96), and R(100), all identified as being critical for DAF's function. Non-enzymatic DAF glycation de-regulated activation of systemic complement and T-cell activation. PMID: 28886871
  6. CD55 TT genotype was linked to H7N9/H1N1pdm09 influenza severity in a large Chinese cohort. PMID: 28510725
  7. our data show that hepatitis C virus (HCV) infection induces sCD55 expression in HCV-infected cell culture-conditioned medium and inhibits C3 convertase activity PMID: 27357152
  8. CD55 deficiency with hyperactivation of complement, angiopathic thrombosis, and protein-losing enteropathy (the CHAPLE syndrome) is caused by abnormal complement activation due to biallelic loss-of-function mutations in CD55. PMID: 28657829
  9. There is an altered pattern of CD55 and CD59 expression on RBCs of SCD Patients; however, it does not seem to play a causal role in the pathophysiology of anemia, and is unlikely to be influenced by the level of erythropoietin or other inflammatory mediators. PMID: 27667587
  10. This study indicated that the CD97 and CD55 proteins might be reliable biomarkers to predict the metastasis status and prognosis of intrahepatic cholangiocarcinoma patients. PMID: 28345461
  11. Expression of PBMC-DAF declined in patients both at mRNA and surface level and correlated negatively with the disease activity. Expression of IFN-gamma also declined in patients but correlated positively with DAF and negatively with disease activity PMID: 26906204
  12. Over expression of CD55 in brushing samples taken from Barrett's esophagus PMID: 26202380
  13. present study suggested that the expressions of CD97 antigen and decay accelerating factor DAF were both upregulated in human cervical squamous cell carcinoma PMID: 26107567
  14. conclude that CD55 expression is affected by glycemic status in human islets and plays a critical role in maintaining the conserved structure of rafts in pancreatic islets, which is similar to that of the related complement inhibitor CD59 PMID: 25797618
  15. CD55 is an essential host factor for P. falciparum invasion. CD55-null erythrocytes were refractory to invasion by all isolates of P. falciparum because parasites failed to attach properly to the erythrocyte surface. PMID: 25954012
  16. Data suggest that CD55 (but not CD59) on red blood cells is down-regulated in subjects with beta-thalassemia major as compared to control subjects; CD55 expression is intermediate on patients with beta-thalassemia intermedia. PMID: 25026028
  17. Expression of human decay-accelerating factor on intestinal epithelium of transgenic mice does not facilitate coxsackievirus B3 infection by the enteral route. PMID: 25653430
  18. Expression of membrane complement regulators, CD46, CD55 and CD59, in mesothelial cells of patients on peritoneal dialysis therapy. PMID: 25725314
  19. Taken together, these results support the current model of coxsackievirus B3-DAF interaction and point to a specific role for viral VP1 T271 and DAF S104 at the virus-DAF interface. PMID: 25392210
  20. DAF rs10746463 polymorphism effects on the risk of developing gastric cancer in Chinese population. PMID: 25457880
  21. The presence of CD55- and/or CD59-deficient erythrocytic populations in patients with rheumatic diseases reflects an immune-mediated bone-marrow derived phenomenon. PMID: 24463881
  22. The expression levels of CD46, CD55, and CD59 were significantly higher in colon cancer tissues compared with the normal adjacent colon tissues. PMID: 24978917
  23. Anti-epidermal growth factor receptor (EGFR)-IgG3 antibody weakly promotes assembly of classical C3 convertase that is further suppressed in the presence of CD55, forcing human IgG3 to act mainly through the alternative pathway amplification route. PMID: 24973443
  24. the use of alpha-gal as antigen to induce tumor cell killing may be a potential therapeutic strategy in colon cancer and that CD55 plays a primary role in conferring resistance to lysis PMID: 24763553
  25. Hemolytic uremic syndrome evolved independently from CD55 and CD59 expression on peripheral blood cells in enteroaggregative E.coli O104:H4 infected patients. PMID: 24086391
  26. Authors showed that the PI3K/Akt pathway negatively regulated the expression of DAF on the epithelial cell surface and thus inhibited the adhesion of Dr(+) E. coli to epithelial cells. PMID: 24599886
  27. CD55 acts as a potent costimulator and activator of human naive CD4(+) cells, resulting in the differentiation of a discrete Tr1 population that inhibits T cell function in an IL-10-dependent manner and maintains the Tr1 phenotype upon restimulation. PMID: 24198281
  28. hCG plays a role in embryo-endometrium communication and affects the expression of C3 and DAF in endometrial compartments during the implantation window. PMID: 23427180
  29. The pattern of expression of the CD55(int7+) isoforms in normal and cancer tissues, were determined. PMID: 23692281
  30. hepatitis C virus (HCV) infection of hepatocytes or HCV core protein expression in transfected hepatocytes upregulated CD55 expression at the mRNA and protein levels PMID: 23658447
  31. Crry deletion from DAF-deficient mouse platelets cause abnormal platelet turnover, leading to compensatory increase in thrombopoiesis. PMID: 23390291
  32. vitamin D3 signaling may promote an anti-inflammatory response through an NF-kappaB-dependent increase in CD55 expression. PMID: 23152895
  33. HCV incorporates selectively CD59, but not CD46 or CD55, in its envelope to gain resistance to CML in serum of infected individuals PMID: 23049856
  34. Data indicate that nitric oxide downregulates decay accelerating factor (DAF) expression by inhibiting its promoter activity possibly through a decreased binding of Sp1 in association of HuR. PMID: 23176121
  35. CD55 polymorphisms are not genetic markers of aspirininduced bronchospasm, including FEV1, in the population studied. PMID: 22961402
  36. we present a concise historic prospective and a summary of accumulated knowledge on steroid hormones, DAF expression, and therapeutic implication of steroid hormone treatment--{review} PMID: 23402020
  37. The aim of this study was to determine the transcript and protein levels of complement decay-accelerating factor (DAF) and membrane cofactor protein (MCP) in the placentas of women with acquired and inherited thrombophilia. PMID: 23042280
  38. Using biochemical and cell biological approaches in a uterine epithelial cell model (Ishikawa cells), DAF accumulates in caveolae upon exposure to nitrogen oxide. PMID: 22574734
  39. Data show that in preeclamptic women, diffuse placental C4d was associated with a significantly lower gestational age at delivery, and the mRNA expression of the complement regulatory proteins CD55 and CD59 was significantly upregulated. PMID: 23006730
  40. DiMNF can repress the cytokine-mediated induction of CD55 mRNA and protein. PMID: 22553215
  41. mumps virus (MuV) and vesicular stomatitis virus (VSV) assemble to include CD46 and CD55, two host cell regulators which inhibit propagation of complement pathways through distinct mechanisms. PMID: 22761385
  42. In conclusion, CD55 polymorphisms are associated with severe 2009 pandemic H1N1 influenza A virus infection. PMID: 22693232
  43. CD97 and CD55 showed high expression at the invasive front of gallbladder carcinoma. CD97 and CD55 expression was associated with high histologic grade, advanced pathologic T stage, clinical stage and positive venous/lymphatic invasion. PMID: 22547928
  44. It was shown that a single amino acid substitution in the capsid protein VP2 of Echovirus 11 could control the expression of the DAF-dependent phenotype. PMID: 22445689
  45. Data suggest that HBXIP upregulates CD46, CD55 and CD59 through p-ERK1/2/NF-kappaB signaling to protect breast cancer from complement-dependent cytotoxicity. PMID: 22293503
  46. CD55 levels decrease on red blood cell of all ages during new onset malarial anaemia. PMID: 22206234
  47. The lipopolysaccharide of Treponema denticola and Tannerella forsythia were the most potent for increasing the gene expression of CD55 and CD59, and to a lesser extent CD46, after a 48-h stimulation. PMID: 21545652
  48. Studies indicate that decreased expression of CD55+ and CD59+ on lymphocyte were found in 11 SLE patients accompanied by lymphocytopenia compared with controls. PMID: 21802665
  49. Women with a diagnosis of preterm labor have increased decay-accelerating factor (DAF) expression on peripheral white blood cells. Failure to elevate DAF expression may be associated with a risk of early premature delivery. PMID: 21380985
  50. results provide evidence that hDAF plays a central role in the early events of Escherichia coli Afa/Dr DAEC pathogenesis, including bacterial adherence and the establishment of cellular responses PMID: 21518786

Show More

Hide All

Involvement in disease
Complement hyperactivation, angiopathic thrombosis, and protein-losing enteropathy (CHAPLE)
Subcellular Location
[Isoform 1]: Cell membrane; Single-pass type I membrane protein.; [Isoform 2]: Cell membrane; Lipid-anchor, GPI-anchor.; [Isoform 3]: Secreted.; [Isoform 4]: Secreted.; [Isoform 5]: Secreted.; [Isoform 6]: Cell membrane; Lipid-anchor, GPI-anchor.; [Isoform 7]: Cell membrane; Lipid-anchor, GPI-anchor.
Protein Families
Receptors of complement activation (RCA) family
Tissue Specificity
Expressed on the plasma membranes of all cell types that are in intimate contact with plasma complement proteins. It is also found on the surfaces of epithelial cells lining extracellular compartments, and variants of the molecule are present in body flui
Database Links

HGNC: 2665

OMIM: 125240

KEGG: hsa:1604

STRING: 9606.ENSP00000316333

UniGene: Hs.126517

icon of phone
Call us
301-363-4651 (Available 9 a.m. to 5 p.m. CST from Monday to Friday)
icon of address
Address
7505 Fannin St., Ste 610, Room 7 (CUBIO Innovation Center), Houston, TX 77054, USA
icon of social media
Join us with

Subscribe newsletter

Leave a message

* To protect against spam, please pass the CAPTCHA test below.
CAPTCHA verification
© 2007-2025 CUSABIO TECHNOLOGY LLC All rights reserved. 鄂ICP备15011166号-1
×
Place an order now

I. Product details

*
*
*
*

II. Contact details

*
*

III. Ship To

*
*
*
*
*
*
*

IV. Bill To

*
*
*
*
*
*
*
*