DCX Recombinant Monoclonal Antibody

Code CSB-RA006576MA1HU
Size US$210
Order now
Image
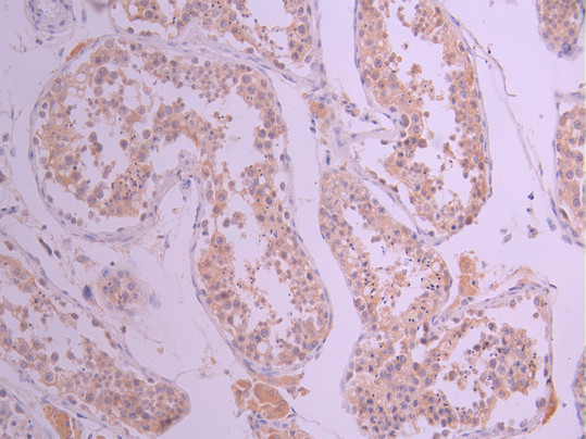
  • IHC image of CSB-RA006576MA1HU diluted at 1:50 and staining in paraffin-embedded human testis tissue performed on a Leica BondTM system. After dewaxing and hydration, antigen retrieval was mediated by high pressure in a citrate buffer (pH 6.0). Section was blocked with 10% normal goat serum 30min at RT. Then primary antibody (1% BSA) was incubated at 4°C overnight. The primary is detected by a Anti-Human lgG, Fcy Fragment Specific labeled by HRP and visualized using 0.05% DAB.
  • IHC image of CSB-RA006576MA1HU diluted at 1:50 and staining in paraffin-embedded human brain tissue performed on a Leica BondTM system. After dewaxing and hydration, antigen retrieval was mediated by high pressure in a citrate buffer (pH 6.0). Section was blocked with 10% normal goat serum 30min at RT. Then primary antibody (1% BSA) was incubated at 4°C overnight. The primary is detected by a Anti-Human lgG, Fcy Fragment Specific labeled by HRP and visualized using 0.05% DAB.
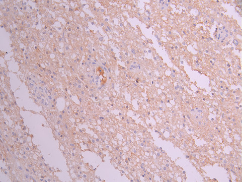
  • IHC image of CSB-RA006576MA1HU diluted at 1:50 and staining in paraffin-embedded human glioma cancer performed on a Leica BondTM system. After dewaxing and hydration, antigen retrieval was mediated by high pressure in a citrate buffer (pH 6.0). Section was blocked with 10% normal goat serum 30min at RT. Then primary antibody (1% BSA) was incubated at 4°C overnight. The primary is detected by a Anti-Human lgG, Fcy Fragment Specific labeled by HRP and visualized using 0.05% DAB.
Have Questions? Leave a Message or Start an on-line Chat

Product Details

Uniprot No.
Target Names
DCX
Alternative Names
DBCN antibody; Dbct antibody; DC antibody; DCX antibody; DCX_HUMAN antibody; Doublecortex antibody; Doublin antibody; FLJ51296 antibody; Lis X antibody; Lis-X antibody; Lissencephalin X antibody; Lissencephalin-X antibody; Lissencephaly X linked antibody; Lissencephaly X linked doublecortin antibody; LISX antibody; Neuronal migration protein doublecortin antibody; OTTHUMP00000023859 antibody; OTTHUMP00000023860 antibody; OTTHUMP00000216315 antibody; OTTHUMP00000216316 antibody; SCLH antibody; XLIS antibody
Species Reactivity
Human
Immunogen
Recombinant Human DCX protein
Immunogen Species
Homo sapiens (Human)
Conjugate
Non-conjugated
Clonality
Monoclonal
Isotype
hIgG1
Clone No.
5E12
Purification Method
Affinity-chromatography
Concentration
It differs from different batches. Please contact us to confirm it.
Buffer
Preservative: 0.03% Proclin 300
Constituents: 50% Glycerol, 0.01M PBS, PH 7.4
Form
Liquid
Tested Applications
ELISA, IHC
Recommended Dilution
Application Recommended Dilution
IHC 1:50-1:200
Troubleshooting and FAQs
Storage
Upon receipt, store at -20°C or -80°C. Avoid repeated freeze.
Lead Time
Basically, we can dispatch the products out in 1-3 working days after receiving your orders. Delivery time maybe differs from different purchasing way or location, please kindly consult your local distributors for specific delivery time.
Usage
For Research Use Only. Not for use in diagnostic or therapeutic procedures.

Customer Reviews and Q&A

 Customer Reviews

There are currently no reviews for this product.

Submit a Review here

Target Background

Function
Microtubule-associated protein required for initial steps of neuronal dispersion and cortex lamination during cerebral cortex development. May act by competing with the putative neuronal protein kinase DCLK1 in binding to a target protein. May in that way participate in a signaling pathway that is crucial for neuronal interaction before and during migration, possibly as part of a calcium ion-dependent signal transduction pathway. May be part with PAFAH1B1/LIS-1 of overlapping, but distinct, signaling pathways that promote neuronal migration.
Gene References into Functions
  1. Age-associated expression of the proliferation and immature neuron markers MKI67 and DCX, respectively, was unrelated, suggesting that neurogenesis-associated processes are independently altered at these points in the development from stem cell to neuron. PMID: 28766905
  2. specifically recognizes compacted GDP-like microtubule lattice PMID: 27238282
  3. this suggests that the microtubule-interacting doublecortin domain observed in cryo-electron micrographs is the C-terminal domain rather than the N-terminal one. PMID: 27226599
  4. From this family, we conclude that a DCX mutation causes a pleiotropic phenotype in the female even if X chromosome inactivation pattern is not skewed, and the novel missense mutation in DCX produced relatively mild dysfunction of the doublecortin protein. PMID: 25868952
  5. We identified a novel DCX mutation c.785A > G, p.Asp262Gly in a family with X-linked lissencephaly and subcortical band heterotopia PMID: 27292316
  6. In high-risk metastatic Neuroblastoma, TH and DCX mRNA quantification could be used for the assessment of response to treatment and for early detection of progressive disease or relapses. PMID: 26498952
  7. Results point to a critical role of doublecortin in the formation of the neuromuscular junctions. PMID: 25817838
  8. It was conclude that microtubule ends have two distinct features that proteins can recognize independently, namely a structural feature related to curvature and nucleotide state. PMID: 25283777
  9. DCX-positive cells occur in a wide range of hypothalamic nuclei in humans, mice and sheep. PMID: 24288185
  10. human DCX protein was expressed in human adipose stem cells, collagen II was decreased while aggrecan, matrilin 2, and GDF5 were increased during the 14-day pellet culture. PMID: 24758934
  11. We propose that DCDC2 is a tumor suppressor gene of HCC. PMID: 24034596
  12. in utero doublecortin knockdown, but not knockout, shows a neocortical neuronal migration phenotype. PMID: 24945770
  13. Immunoblots revealed that depressed subjects displayed increased expression of doublecortin. PMID: 23260340
  14. coexpression of DCX and SPARC collaboratively diminished radioresistance of glioma cells. PMID: 23846421
  15. DCX is dispensable for the development of new neurons in adult mice PMID: 23667508
  16. one deleterious mutation in the DCX gene was identified in a 5-year-old girl with lissencephaly spectrum PMID: 23583063
  17. This finding points to the possible implication of mosaic deletions in the DCX gene in unexplained forms of subcortical band heterotopia (SBH) and may allow for detection of SBH prenatally. PMID: 22833188
  18. DCX binds to polymerization intermediates at growing microtubule ends, in support of a mechanism for stabilizing 13-protofilament microtubules. PMID: 22727374
  19. Data report a negative correlation between DCX mRNA expression and white matter neuron density in schizophrenia, in contrast to a positive correlation in human development where DCX mRNA and white matter neuron density are higher earlier in life. PMID: 21966452
  20. Up-regulation of doublecortin is associated with brain damage in children with acute lymphoblastic leukemia PMID: 21846577
  21. DCX synthesis induces apoptosis in brain tumor stem cells (BTSC) through a novel JNK1/neurabin II/DCX/PP1/caspase-3 pathway. PMID: 21477071
  22. study describes male siblings with Lennox-Gastaut syndrome and pachygyria with a novel missense mutation in the DCX gene PMID: 20726879
  23. The DCX binding on the microtubules surface indirectly stabilizes conserved tubulin-tubulin lateral contacts in the microtubules lumen, operating independently of the nucleotide bound to tubulin. PMID: 20974813
  24. variants in doublecortin- and calmodulin kinase like 1, a gene up-regulated by BDNF, have roles in memory and general cognitive abilities PMID: 19844571
  25. Evidence for a role for miR-128 in neuroblastoma progression and aggressiveness through reelin and DCX expression is reported. PMID: 19713529
  26. During development of the cerebral cortex DCX is expressed in both pyramidal and non-pyramidal migrating cells, as well as in Cajal-Retzius cells. PMID: 12427674
  27. Missense DCX mutations may manifest as non-syndromic mental retardation with cryptogenic epilepsy in female subjects and subcortical band heterotopia (SBH) in boys. PMID: 12838518
  28. Different clinical and morphological phenotypes in monozygotic twins with identical DCX mutation. PMID: 14999500
  29. both mutant and wild type DCX are able to bind and bundle microtubules; however, mutants possess a decreased ability to perturb the mitotic machinery, to cause abnormal spindle orientation, and to impair mitotic progression PMID: 15045646
  30. DCX maps at Xq22.3 and is caused by a homozygous mutation. It acts during corticogenesis on radial migratory pathways. PMID: 15057976
  31. We analysed the human DCX regulatory sequence and confined it to a 3.5-kb fragment upstream of the ATG start codon. This fragment is sufficient and specific to drive expression of reporter genes in embryonic and adult neuronal precursors PMID: 15663475
  32. doublecortin (DCX) gene as a new molecular marker of neuroblastoma cells PMID: 15714065
  33. Collectively, the immunohistochemistry, Western blots and Northern blots conclusively demonstrate expression of DCX by human brain tumors. PMID: 16195916
  34. Doublecortin can be regarded as specific neuronal marker only in normal developing brain, but lacks specificity in glioneuronal and glial tumours and other non-neuronal human tissues where it is expressed in a wide variety of tumours and tissues. PMID: 16520969
  35. X-ray structure of a mutant of N-DCX, in which the C-terminal fragment (residues 139-147) unexpectedly shows an altered, "open" conformation PMID: 16835924
  36. Our data in the mouse, identifying roles for Dcx in hippocampal and corpus callosal development, might suggest intrinsic roles for human DCX in the development of these structures. PMID: 17111359
  37. Doublecortin (DCX) is one of the three genes found from Affymetrix gene chip analysis related to glioma patient survival. PMID: 17178868
  38. MLPA uncovers large genomic deletions of the DCX gene in a subset of patients with SBH in whom no mutations are found after gene sequencing. Deletions of DCX are an underascertained cause of SBH. PMID: 17283321
  39. Results demonstrate that DCX can be used as a marker to distinguish articular chondrocytes from other chondrocytes and to evaluate the quality of tissue engineered or regenerated cartilage in terms of their "articular" or "non-articular" nature. PMID: 17897623
  40. Doublecortin is applicable for the detection of individual infiltrating glioma cells when combined with other markers. PMID: 18415660
  41. X-linked lissencephaly patients with mutations in the C-DC domain tended to have a less severe lissencephaly (grade 4-5 in 58.3%) compared with those in the N-DC domain (grade 4-5 in 36.3%. PMID: 18685874
  42. intragenic deletions and duplications of the DCX gene account for a significant number of patients with isolated lissencephaly sequence and subcortical band heterotopia, where no molecular defect had previously been identified. PMID: 19050731
  43. Doublecortin (DCX) upregulation, correlates with better neurologic outcome in children following traumatic head injury. PMID: 19221293

Show More

Hide All

Involvement in disease
Lissencephaly, X-linked 1 (LISX1); Subcortical band heterotopia X-linked (SBHX)
Subcellular Location
Cytoplasm. Cell projection, neuron projection.
Tissue Specificity
Highly expressed in neuronal cells of fetal brain (in the majority of cells of the cortical plate, intermediate zone and ventricular zone), but not expressed in other fetal tissues. In the adult, highly expressed in the brain frontal lobe, but very low ex
Database Links

HGNC: 2714

OMIM: 300067

KEGG: hsa:1641

STRING: 9606.ENSP00000337697

UniGene: Hs.34780

icon of phone
Call us
301-363-4651 (Available 9 a.m. to 5 p.m. CST from Monday to Friday)
icon of address
Address
7505 Fannin St., Ste 610, Room 7 (CUBIO Innovation Center), Houston, TX 77054, USA
icon of social media
Join us with

Subscribe newsletter

Leave a message

* To protect against spam, please pass the CAPTCHA test below.
CAPTCHA verification
© 2007-2025 CUSABIO TECHNOLOGY LLC All rights reserved. 鄂ICP备15011166号-1
×
Place an order now

I. Product details

*
*
*
*

II. Contact details

*
*

III. Ship To

*
*
*
*
*
*
*

IV. Bill To

*
*
*
*
*
*
*
*