DEK Recombinant Monoclonal Antibody

Code CSB-RA796958A0HU
Size US$210
Order now
Image
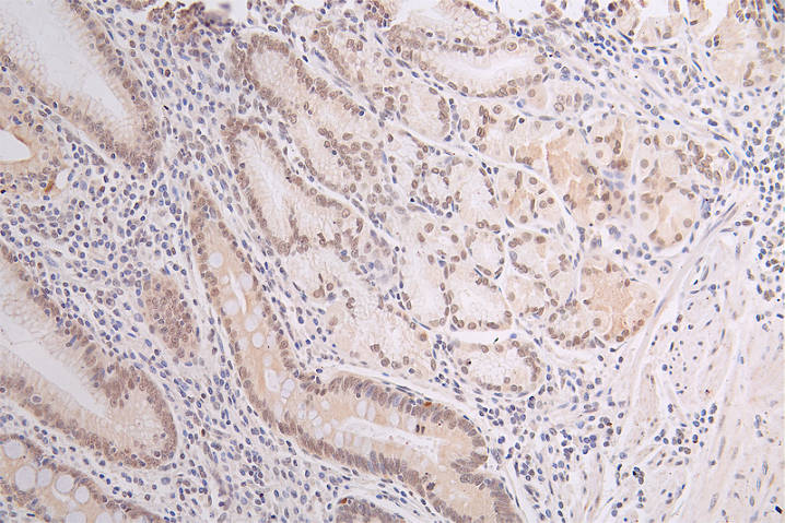
  • IHC image of CSB-RA796958A0HU diluted at 1:50 and staining in paraffin-embedded human gastric cancer performed on a Leica BondTM system. After dewaxing and hydration, antigen retrieval was mediated by high pressure in a citrate buffer (pH 6.0). Section was blocked with 10% normal goat serum 30min at RT. Then primary antibody (1% BSA) was incubated at 4°C overnight. The primary is detected by a Goat anti-rabbit polymer IgG labeled by HRP and visualized using 0.67% DAB.
  • IHC image of CSB-RA796958A0HU diluted at 1:50 and staining in paraffin-embedded human breast cancer performed on a Leica BondTM system. After dewaxing and hydration, antigen retrieval was mediated by high pressure in a citrate buffer (pH 6.0). Section was blocked with 10% normal goat serum 30min at RT. Then primary antibody (1% BSA) was incubated at 4°C overnight. The primary is detected by a Goat anti-rabbit polymer IgG labeled by HRP and visualized using 0.67% DAB.
  • Immunofluorescence staining of Hela with CSB-RA796958A0HU at 1:20, counter-stained with DAPI. The cells were fixed in 4% formaldehyde and blocked in 10% normal Goat Serum. The cells were then incubated with the antibody overnight at 4°C. The secondary antibody was Alexa Fluor 524-congugated AffiniPure Goat Anti-Rabbit IgG(H+L).
  • Overlay Peak curve showing Hela cells stained with CSB-RA796958A0HU (red line) at 1:50. The cells were fixed in 4% formaldehyde and permeated by 0.2% TritonX-100. Then 10% normal goat serum to block non-specific protein-protein interactions followed by the antibody (1µg/1*106cells) for 45min at 4℃. The secondary antibody used was FITC-conjugated Goat Anti-rabbit IgG(H+L) at 1:200 dilution for 35min at 4℃.Control antibody (green line) was rabbit IgG (1µg/1*106cells) used under the same conditions. Acquisition of >10,000 events was performed.
Have Questions? Leave a Message or Start an on-line Chat

Product Details

Uniprot No.
Target Names
DEK
Alternative Names
Protein DEK, DEK
Species Reactivity
Human
Immunogen
A synthesized peptide derived from Human DEK
Immunogen Species
Homo sapiens (Human)
Conjugate
Non-conjugated
Clonality
Monoclonal
Isotype
Rabbit IgG
Clone No.
20D2
Purification Method
Affinity-chromatography
Concentration
It differs from different batches. Please contact us to confirm it.
Buffer
Rabbit IgG in 10mM phosphate buffered saline , pH 7.4, 150mM sodium chloride, 0.05% BSA, 0.02% sodium azide and 50% glycerol.
Form
Liquid
Tested Applications
ELISA, IHC, IF, FC
Recommended Dilution
Application Recommended Dilution
IHC 1:50-1:200
IF 1:50-1:200
FC 1:50-1:200
Troubleshooting and FAQs
Storage
Upon receipt, store at -20°C or -80°C. Avoid repeated freeze.
Lead Time
Basically, we can dispatch the products out in 1-3 working days after receiving your orders. Delivery time maybe differs from different purchasing way or location, please kindly consult your local distributors for specific delivery time.
Description

To produce a recombinant monoclonal antibody against DEK, CUSABIO initiated the process by immunizing a rabbit with a synthesized peptide corresponding to human DEK. Following immunization, B cells were isolated from the rabbit, and RNA was extracted from these cells. The extracted RNA was reverse-transcribed into cDNA, which was utilized as a template for extending DEK antibody genes using degenerate primers. These extended DEK antibody genes were then integrated into a plasmid vector and introduced into host cells for expression. The DEK recombinant monoclonal antibody was purified from the cell culture supernatant through affinity chromatography and evaluated for its utility in ELISA, IHC, IF, and FC applications, with specificity demonstrated for human DEK protein.

DEK is a nuclear protein that has been implicated in both normal cellular functions and disease-related processes. It is known to play various roles in the cell nucleus and is associated with several cellular processes, including chromatin organization, DNA binding, transcription regulation, cell cycle regulation, and immune response.

Usage
For Research Use Only. Not for use in diagnostic or therapeutic procedures.

Customer Reviews and Q&A

 Customer Reviews

There are currently no reviews for this product.

Submit a Review here

Target Background

Function
Involved in chromatin organization.
Gene References into Functions
  1. These findings define DEK as an important and multifunctional mediator of homologous recombination. PMID: 28317934
  2. DEK is detected in spontaneously forming neutrophil extracellular traps (NETs) from juvenile idiopathic arthritis patient synovial neutrophils, and DEK-targeted aptamers reduce NETs formation. PMID: 28165452
  3. High DEK proto-oncogene protein (DEK) expression associated with complete response to neoadjuvant chemoradiotherapy. PMID: 29409457
  4. High DEK expression is associated with cervical cancer tumorigenesis and metastasis. PMID: 28627610
  5. The results of the present study demonstrated that EMT of colorectal carcinoma cells was partially mediated by DEK, which likely affected the invasive ability of colorectal carcinoma cells. In addition, cell proliferation and apoptosis were susceptible to DEK silencing. PMID: 29115492
  6. RNA-sequencing proved to be a valuable tool for the detection of a fusion of genes DEK and NUP214 in a leukemia that showed cryptic cytogenetic rearrangement of chromosome band 9q34. PMID: 29109093
  7. DEK overexpression enhanced carcinogenesis, including field cancerization, in OSCC by stimulating the G1 /S phase transition and promoting DNA replication. PMID: 28834425
  8. DEK and LCMR1 were demonstrated to cooperate in the inhibition of apoptosis in lung cancer cells. PMID: 28765911
  9. High DEK expression is associated with breast cancer angiogenesis . PMID: 26988756
  10. our study indicates that DEK expression is required for tumorigenesis and metastasis of hepatocellular carcinoma PMID: 27057626
  11. High DEK expression is associated with melanoma progression. PMID: 27893188
  12. DEK correlates with IL6 expression in HPV16+/p16+ oropharyngeal squamous cell carcinomas (OPSCC). PMID: 28423581
  13. data support a scenario whereby overexpression of the human DEK oncogene reprograms keratinocyte metabolism to fulfill energy and macromolecule demands required to enable and sustain cancer cell growth PMID: 28558019
  14. Decreased DEK expression in plasma cells suggests a potential role of this gene in plasma cell development and lack of detectable DEK protein by IHC could be used as a biomarker for normal and malignant plasma cells PMID: 28558048
  15. Our data indicated DEK plays multiple roles to facilitate tumor growth and maintenance. It can be used as a potential target for astrocytic tumor diagnosis and gene therapy. PMID: 28670979
  16. High DEK expression is associated with pancreatic ductal adenocarcinoma. PMID: 27959420
  17. AP-2a is an important transcription factor of DEK expression, which is correlated with the methylation level of the DEK core promoter in hepatocellular carcinoma . PMID: 27499261
  18. miR-592 targets DEK transcript and suppresses hepatocellular carcinoma cell growth PMID: 26722432
  19. Results find that DEK binds to transcription start sites with a dual role in activation and repression of highly and ubiquitously expressed genes. PMID: 25216995
  20. The study identified the DEK oncoprotein as a critical factor that interacts with an essential upstream enhancer element of the EKLF promoter and exerts a positive effect on EKLF levels. PMID: 26303528
  21. DEK promotes the growth of colorectal cancer and apoptosis PMID: 25340858
  22. Data show that oncoprotein DEK facilitates cellular proliferation under conditions of DNA replication stress by promoting replication fork progression. PMID: 25347734
  23. The results show that several leukemia-associated fusion genes cause an increase in DEK protein expression. PMID: 25524609
  24. DEK expression during normal hematopoiesis did reveal a relationship with specific cell types implicating a distinct function during myeloid differentiation PMID: 25128083
  25. These data suggest DEK overexpression as a crucial event for the emergence of an aggressive phenotype in colorectal cancer. PMID: 25515240
  26. Studies demonstrate that DEK overexpression, due in part to Ron receptor activation, drives breast cancer progression through the induction of Wnt/beta-catenin signaling. PMID: 24954505
  27. DEK plays an important role in the progression of small cell lung cancer PMID: 25197373
  28. Results highlight a novel function of DEK as a guardian of chromatin by restricting widespread histone access, and in particular by modulating differential H3.3 loading in specific chromatin areas. PMID: 25049225
  29. t(6;9)/DEK-NUP214 represents a unique subtype of acute myeloid leukemia with a high risk of relapse. PMID: 24441146
  30. data demonstrate that DEK stimulates HNSCC cellular growth and identify DeltaNp63 as a novel DEK effector PMID: 24608431
  31. DEK is an hTERT repressor shared by various leukemia subtypes that may be involved in the deregulation of numerous genes associated with leukemogenesis PMID: 24563617
  32. High level of DEK protein expression predicts the poor prognosis of patients with gastric cancer PMID: 24650035
  33. the expression of the fusion gene DEK-NUP214 leads to increased cellular proliferation. We show that this is dependent on upregulation of the signal transduction protein mTOR with subsequent effects on protein synthesis and glucose metabolism. PMID: 24073922
  34. DEK plays an important role in the progression of colorectal cancers and it is an independent poor prognostic factor of colorectal cancers PMID: 23902796
  35. DEK depletion inhibited cellular migration in lung cancer cell lines possibly through inactivation of the RhoA/ROCK/MLC signal transduction pathway PMID: 23571382
  36. Full-length DEK secreted by one cell can be taken up by another cell, move to the nucleus, and function in heterochromatin biology and DNA repair, thereby potentially uniting the intracellular and extracellular activities of DEK. PMID: 23569252
  37. increased expression of DEK in chronic lymphocytic leukemia correlates with immunoglobulin heavy chain variable gene mutational status, CD38-positive and del(17p13), and DEK can therefore be considered as potential prognostic factor. PMID: 23052131
  38. DEK promotes the pathogenesis of estrogen receptor positive breast cancer. PMID: 23071688
  39. DEK may be involved in the pathogenesis of Merkel cell carcinoma and therefore may provide therapeutic implications for Merkel cell carcinomas. PMID: 22765016
  40. DEK has potent effects on HSCs, HPCs, and hematopoiesis, information of biological and potential clinical interest. PMID: 21943234
  41. C/EBPalpha and DEK coordinately activate myeloid gene expression. PMID: 22474248
  42. DEK knockdown results in a significant growth repression of CaSki cells by inducing cell apoptosis and senescence via upregulation of p65. PMID: 22390170
  43. DEK overexpression appears to be associated with breast cancer progression PMID: 22360505
  44. DEK is important for DNA double-strand break repair. PMID: 21653549
  45. DEK protein is expressed in bladder tumor tissue and voided urine of bladder cancer patients. PMID: 21663673
  46. DEK overexpression may be a frequent event in invasive melanomas, and further augmentation of DEK expression may be associated with the acquisition of ominous features such as deep dermal invasion and metastasis. PMID: 21316078
  47. data indicate that DEK expression stimulates the growth, stem cell character and motility of breast cancer cells, and that DEK-dependent cellular invasion occurs at least in part via beta-catenin activation PMID: 21317931
  48. identify the oncoprotein DEK, an abundant nuclear protein with a previously enigmatic in vivo function, as a Suppressor of Variegation [Su(var)] that is crucial to global heterochromatin integrity PMID: 21460035
  49. DEK can contribute directly to joint inflammation in juvenile idiopathic arthritis by generating ICs through high-affinity interaction between DEK and DEK autoantibodies. PMID: 21280010
  50. DEK overexpression, partly through an increase in its gene dose, mediates the activity of global transcriptional regulators and is associated with tumor initiation activity and poor prognosis in high grade neuroendocrine carcinoma of the lung. PMID: 20543864

Show More

Hide All

Involvement in disease
A chromosomal aberration involving DEK is found in a subset of acute myeloid leukemia (AML); also known as acute non-lymphocytic leukemia (PubMed:1549122). Translocation t(6;9)(p23;q34) with NUP214/CAN (PubMed:1549122). It results in the formation of a DEK-NUP214 fusion gene (PubMed:1549122).
Subcellular Location
Nucleus. Note=Enriched in regions where chromatin is decondensed or sparse in the interphase nuclei.
Tissue Specificity
Ubiquitous. Expressed at relatively high levels.
Database Links

HGNC: 2768

OMIM: 125264

KEGG: hsa:7913

STRING: 9606.ENSP00000380414

UniGene: Hs.484813

CUSABIO guaranteed quality
icon of phone
Call us
301-363-4651 (Available 9 a.m. to 5 p.m. CST from Monday to Friday)
icon of address
Address
7505 Fannin St., Ste 610, Room 7 (CUBIO Innovation Center), Houston, TX 77054, USA
icon of social media
Join us with

Subscribe newsletter

Leave a message

* To protect against spam, please pass the CAPTCHA test below.
CAPTCHA verification
© 2007-2025 CUSABIO TECHNOLOGY LLC All rights reserved. 鄂ICP备15011166号-1
×
Place an order now

I. Product details

*
*
*
*

II. Contact details

*
*

III. Ship To

*
*
*
*
*
*
*

IV. Bill To

*
*
*
*
*
*
*
*