DYNLT1 Recombinant Monoclonal Antibody

Code CSB-RA909458A0HU
Size US$210
Order now
Image
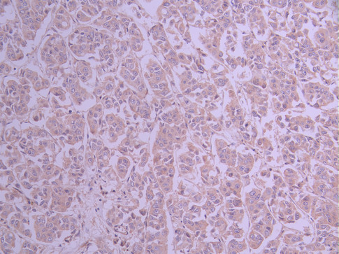
  • IHC image of CSB-RA909458A0HU diluted at 1:100 and staining in paraffin-embedded human breast cancer performed on a Leica BondTM system. After dewaxing and hydration, antigen retrieval was mediated by high pressure in a citrate buffer (pH 6.0). Section was blocked with 10% normal goat serum 30min at RT. Then primary antibody (1% BSA) was incubated at 4°C overnight. The primary is detected by a Goat anti-rabbit polymer IgG labeled by HRP and visualized using 0.05% DAB.
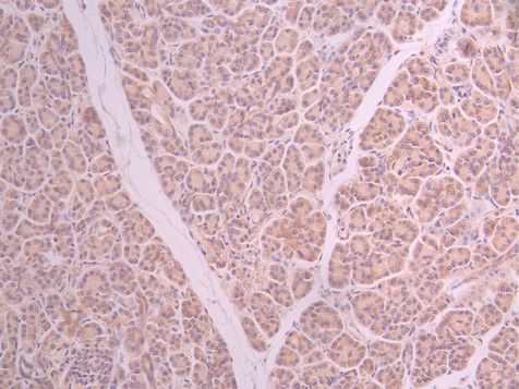
  • IHC image of CSB-RA909458A0HU diluted at 1:100 and staining in paraffin-embedded human pancreatic tissue performed on a Leica BondTM system. After dewaxing and hydration, antigen retrieval was mediated by high pressure in a citrate buffer (pH 6.0). Section was blocked with 10% normal goat serum 30min at RT. Then primary antibody (1% BSA) was incubated at 4°C overnight. The primary is detected by a Goat anti-rabbit polymer IgG labeled by HRP and visualized using 0.05% DAB.
  • Immunofluorescence staining of A431 cell with CSB-RA909458A0HU at 1:50, counter-stained with DAPI. The cells were fixed in 4% formaldehyde, permeabilized using 0.2% Triton X-100 and blocked in 10% normal Goat Serum. The cells were then incubated with the antibody overnight at 4°C. The secondary antibody was Alexa Fluor 488-congugated AffiniPure Goat Anti-Rabbit IgG(H+L).
  • Overlay Peak curve showing 786-O cells stained with CSB-RA909458A0HU (red line) at 1:100. The cells were fixed in 4% formaldehyde and permeated by 0.2% TritonX-100 for 10min. Then 10% normal goat serum to block non-specific protein-protein interactions followed by the antibody (1ug/1*106cells) for 45min at 4℃. The secondary antibody used was FITC-conjugated goat anti-rabbit IgG (H+L) at 1/200 dilution for 35min at 4℃.Control antibody (green line) was Rabbit IgG (1ug/1*106cells) used under the same conditions. Acquisition of >10,000 events was performed.
Have Questions? Leave a Message or Start an on-line Chat

Product Details

Uniprot No.
Target Names
DYNLT1
Alternative Names
Dynein light chain Tctex-type 1 (Protein CW-1) (T-complex testis-specific protein 1 homolog), DYNLT1, TCTEL1 TCTEX-1 TCTEX1
Species Reactivity
Human
Immunogen
A synthesized peptide from human DYNLT1 protein
Immunogen Species
Homo sapiens (Human)
Conjugate
Non-conjugated
Clonality
Monoclonal
Isotype
Rabbit IgG
Clone No.
10A10
Purification Method
Affinity-chromatography
Concentration
It differs from different batches. Please contact us to confirm it.
Buffer
Preservative: 0.03% Proclin 300
Constituents: 50% Glycerol, 0.01M PBS, PH 7.4
Form
Liquid
Tested Applications
ELISA, IHC, IF, FC
Recommended Dilution
Application Recommended Dilution
IHC 1:50-1:200
IF 1:50-1:200
FC 1:50-1:200
Troubleshooting and FAQs
Storage
Upon receipt, store at -20°C or -80°C. Avoid repeated freeze.
Lead Time
Basically, we can dispatch the products out in 1-3 working days after receiving your orders. Delivery time maybe differs from different purchasing way or location, please kindly consult your local distributors for specific delivery time.
Usage
For Research Use Only. Not for use in diagnostic or therapeutic procedures.

Customer Reviews and Q&A

 Customer Reviews

There are currently no reviews for this product.

Submit a Review here

Target Background

Function
Acts as one of several non-catalytic accessory components of the cytoplasmic dynein 1 complex that are thought to be involved in linking dynein to cargos and to adapter proteins that regulate dynein function. Cytoplasmic dynein 1 acts as a motor for the intracellular retrograde motility of vesicles and organelles along microtubules. Binds to transport cargos and is involved in apical cargo transport such as rhodopsin-bearing vesicles in polarized epithelia. May also be a accessory component of axonemal dynein.; Plays a role in neuronal morphogenesis; the function is independent of cytoplasmic dynein and seems to be coupled to regulation of the actin cytoskeleton by enhancing Rac1 activity. The function in neurogenesis may be regulated by association with a G-protein beta-gamma dimer. May function as a receptor-independent activator of heterotrimeric G-protein signaling; the activation appears to be independent of a nucleotide exchange. Plays a role in regulating neurogenesis; inhibits the genesis of neurons from precursor cells during cortical development presumably by antagonizing ARHGEF2. Involved in the regulation of mitotic spindle orientation. Unrelated to the role in retrograde microtubule-associated movement may play a role in the dimerization of cytoplasmic proteins/domains such as for ACVR2B. Binds to the cytoplasmic domain of ACVR2B and, in vitro, inhibits ACVR2B signaling.; (Microbial infection) Is involved in intracellular targeting of D-type retrovirus gag polyproteins to the cytoplasmic assembly site.
Gene References into Functions
  1. Desmosomal cadherin association with Tctex-1 and cortactin-Arp2/3 drives perijunctional actin polymerization to promote keratinocyte delamination. PMID: 29535305
  2. results support a model in which phospho(T94)Tctex-1-regulated actin polymerization and periciliary endocytosis play an active role in orchestrating the initial phase of ciliary resorption PMID: 28607034
  3. DYNLT1 interacts with nucleoporins and plays a role in the dysregulation of gene expression and induction of hematopoietic cell proliferation by the leukemogenic nucleoporin fusion, NUP98-HOXA9 PMID: 23840580
  4. activin receptor IIB as a novel DYNLT1 ligand and suggest that DYNLT1 functions as a molecular dimerization engine bringing together two receptor monomers in the cytoplasmic side of the membrane. PMID: 27502274
  5. Study reports a defect in the expression of DYNLT1 in the germ cells of infertile human males and implicates DYNLT1 in spermatogonial cell division and differentiation. PMID: 26432663
  6. The results implicate MTs/DYNLT1 as drivers of Vpr nuclear import and HIV infection, with important therapeutic implications. PMID: 26792716
  7. Data suggest that both microtubule-associated DYNLT (dynein light chain Tctex-type 1) and cytoplasmic DYNLT (dynein 1 intermediate chain 2 DYNC1LI2) are equally able to bind to small GTPases Rab3D (Rab3d GTPase) and RagA (Ras-related GTP binding A). PMID: 26227614
  8. Reveal a dynein independent role of Tctex-1 at the kinetochore to enhance the stability of kinetochore-microtubule attachment. PMID: 25928583
  9. DYNLT1 is enriched at focal concentrations of CT850 on the chlamydial inclusion membrane that are known to interact with dynein and microtubules. PMID: 25944661
  10. Data suggest that DYNLT1 phosphorylation at serine S82 is involved in microtubule and mitochondria regulation, and their interaction and cooperation contribute to the cellular hypoxic tolerance. PMID: 24170091
  11. there are two possible mechanisms triggered by MAP4: stabilization of MT networks; DYNLT1 modulation, which is connected with VDAC1, and inhibition of hypoxia-induced mitochondrial permeabilization PMID: 22164227
  12. Dynlt1 modulates orexin signaling by regulating OX1R PMID: 22028875
  13. A role for Tctex-1 (DYNLT1) in controlling primary cilium length PMID: 21700358
  14. A link between REIC/Dkk- 3 and Tctex-1 may therefore be of significance for understanding the molecular functions of the proteins in ER stress signaling and the intracellular dynein motor dynamics, respectively. PMID: 21835165
  15. These data show that Tctex-1 may play a role in late stages of viral replication through its interaction with the flavivirus membrane protein. PMID: 21767858
  16. Data show that Tctex-1 phosphorylated at Thr 94 is recruited to ciliary transition zones before S-phase entry and has a pivotal role in both ciliary disassembly and cell cycle progression. PMID: 21394082
  17. Targeted disruption of Tctex-1 by RNA interference significantly impairs bone resorption capacity and mislocalizes Rab3D vesicles in osteoclasts. PMID: 21262767
  18. Association with Tctex-1 and, hence, with the dynein motor complex may offer an explanation for how poliovirus hijacks the cellular transport machinery to retrogradely ascend along the axon to the neuronal cell body. PMID: 11751937
  19. We now report that Tctex-1, a light chain of the motor complex dynein, interacts with the cytoplasmic domain of BMPR-II and demonstrate that Tctex-1 is phosphorylated by BMPR-II, a function disrupted by PPH disease causing mutations within exon 12 PMID: 14583445
  20. Results suggest that the dynein complex disassembles to release cargo due to the specific phosphorylation of Tctex-1 at the S82 residue and that this process is critical for the apical delivery of membrane cargoes. PMID: 16956385
  21. Tctex-1, a light chain of the molecular motor dynein, is involved in the intracellular targeting of Mason-Pfizer monkey virus (M-PMV) polyproteins to the cytoplasmic assembly site PMID: 18647839

Show More

Hide All

Subcellular Location
Golgi apparatus. Cytoplasm. Cytoplasm, cytoskeleton, spindle.
Protein Families
Dynein light chain Tctex-type family
Tissue Specificity
Expressed in heart, placenta, skeletal muscle kidney, pancreas, spleen, prostate, testis, ovary, ileum and colon. Expressed in lung endothelial and smooth muscle cells (at protein level).
Database Links

HGNC: 11697

OMIM: 601554

KEGG: hsa:6993

STRING: 9606.ENSP00000356056

UniGene: Hs.445999

icon of phone
Call us
301-363-4651 (Available 9 a.m. to 5 p.m. CST from Monday to Friday)
icon of address
Address
7505 Fannin St., Ste 610, Room 7 (CUBIO Innovation Center), Houston, TX 77054, USA
icon of social media
Join us with

Subscribe newsletter

Leave a message

* To protect against spam, please pass the CAPTCHA test below.
CAPTCHA verification
© 2007-2025 CUSABIO TECHNOLOGY LLC All rights reserved. 鄂ICP备15011166号-1
×
Place an order now

I. Product details

*
*
*
*

II. Contact details

*
*

III. Ship To

*
*
*
*
*
*
*

IV. Bill To

*
*
*
*
*
*
*
*