EEF2 Recombinant Monoclonal Antibody

Code CSB-RA174057A0HU
Size US$210
Order now
Image
  • Flow cytometric analysis of Eukaryotic translation elongation factor 2 expression in HepG2 cells using Eukaryotic translation elongation factor 2 antibody. Green, isotype control; red, Eukaryotic translation elongation factor 2.
  • Immunocytochemical staining of HepG2 cells with Eukaryotic translation elongation factor 2 antibody. Nuclei were stained blue with DAPI; Eukaryotic translation elongation factor 2 was stained magenta with Alexa Fluor® 647. Images were taken using Leica stellaris 5. Protein abundance based on laser Intensity and smart gain: Medium. Scale bar, 20 μm.
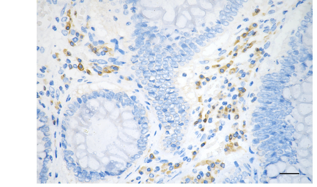
  • Immunohistochemistry was performed on paraffin-embedded human sigmoid colon carcinoma using eukaryotic translation elongation factor 2 antibody. Antigen retrieval was done in sodium citrate buffer (pH 6.0). DAB was used for detection, with hematoxylin counterstaining. Images were acquired using a Nikon Ci-L Plus microscope (40× objective). Scale bar: 25 μm.
  • Western blotting analysis using eukaryotic translation elongation factor 2 antibody. Total cell lysates (20 μg) from various cell lines were loaded and separated by SDS-PAGE. The blot was incubated with eukaryotic translation elongation factor 2 antibody and HRP-conjugated goat anti-rabbit secondary antibody respectively.
Have Questions? Leave a Message or Start an on-line Chat

Product Details

Uniprot No.
Target Names
Alternative Names
EEF2; Eukaryotic Translation Elongation Factor 2; EEF-2; EF2; Polypeptidyl-TRNA Translocase; Elongation Factor 2; EF-2; Epididymis Secretory Sperm Binding Protein; EC 3.6.5.-; SCA26
Species Reactivity
Human, Mouse, Rat
Immunogen
Recombinant Human EEF2 protein
Immunogen Species
Homo sapiens (Human)
Conjugate
Non-conjugated
Clonality
Monoclonal
Isotype
Rabbit IgG
Clone No.
9C11
Purification Method
Affinity-chromatography
Concentration
It differs from different batches. Please contact us to confirm it.
Buffer
Rabbit IgG in PBS (pH 7.4) containing 50% glycerol, and 0.02% sodium azide.
Form
Liquid
Tested Applications
ELISA, WB, FC, ICC, IHC
Recommended Dilution
Application Recommended Dilution
WB 1:1000-1:5000
FC 1:200-1:2000
ICC 1:100-1:1000
IHC 1:100-1:200
Troubleshooting and FAQs
Storage
Upon receipt, store at -20°C or -80°C. Avoid repeated freeze.
Lead Time
Basically, we can dispatch the products out in 1-3 working days after receiving your orders. Delivery time maybe differs from different purchasing way or location, please kindly consult your local distributors for specific delivery time.
Usage
For Research Use Only. Not for use in diagnostic or therapeutic procedures.

Customer Reviews and Q&A

 Customer Reviews

There are currently no reviews for this product.

Submit a Review here

Target Background

Function
Catalyzes the GTP-dependent ribosomal translocation step during translation elongation. During this step, the ribosome changes from the pre-translocational (PRE) to the post-translocational (POST) state as the newly formed A-site-bound peptidyl-tRNA and P-site-bound deacylated tRNA move to the P and E sites, respectively. Catalyzes the coordinated movement of the two tRNA molecules, the mRNA and conformational changes in the ribosome.
Gene References into Functions
  1. our study indicates that expression of eEF2 protein is a potential biomarker for evaluating prostate cancer PMID: 28913610
  2. eEF2 may be activated in a positive feedback cycle through inactivation of eEF2K via the PI3K/Akt/mTOR pathway. PMID: 30060827
  3. the direct interaction of AKT2 and EF2 was found to be dynamically regulated in embryonic rat cardiomyocytes PMID: 23823123
  4. These results suggest that binding of eEF2 to the ribosome alters its conformation, resulting in a weakened affinity of eIF5A and impairment of this interplay compromises cell growth due to translation elongation defects. PMID: 27115996
  5. nuclear localization of active eEF-2 depends upon its interaction with p53, as cells lacking p53 contain less active eEF-2 in the nuclear compartment PMID: 23542375
  6. High serum eukaryotic elongation factor 2 level is associated with non-small cell lung cancer. PMID: 24377563
  7. Results indicated that the eEF2 gene is overexpressed in the majority of several types of cancers and plays an oncogenic role in cancer cell growth. PMID: 24589652
  8. The expression levels of three putative HA-regulated proteins (TALDO, ANXA1 and EF2) in control, H2O2-, HA- and HA/H2O2-treated OA chondrocytes were verified by Western blotting and the results indeed support the notion that HA acts in anti-oxidation PMID: 24480285
  9. Thiopental inhibits global protein synthesis by repression of eukaryotic elongation factor 2 and protects from hypoxic neuronal cell death. PMID: 24167567
  10. A single amino acid substitution in eukaryotic elongation factor 2 co-segregates with the disease phenotype of spinocerebellar ataxia 26. PMID: 23001565
  11. EEF2 phosphorylation by cyclin A-cyclin-dependent kinase 2 (CDK2) on a novel site, serine 595 (S595), directly regulates T56 phosphorylation by eEF2K. PMID: 23184662
  12. Burn induces prolonged activation of eEF2K and eEF2 in pediatric patients. PMID: 22269896
  13. PHD2 modulated eEF2 activity and protein translation under acute hypoxia. PMID: 22308030
  14. NH125 induces eEF2 phosphorylation (peEF2) through multiple pathways in cancer cells PMID: 22020937
  15. Training in the fasted state, compared with identical training with ample carbohydrate intake, facilitates post-exercise dephosphorylation of eEF2. PMID: 21132439
  16. results suggest that eEF2 is an anti-apoptotic marker in lung adenocarcinoma PMID: 21554491
  17. eEF-2 is activated by both lithium and GSK-3, whereas, lithium treatment and inhibition of GSK-3 have opposing effects on eEF-2. PMID: 20708687
  18. melanoma antigen expressed in G361, a representative melanoma cell line/ reacted with autoantibodies in patient sera PMID: 20181627
  19. inhibition of protein synthesis under high pressure occurs independent of the phosphorylation of eEF-2 PMID: 15534876
  20. Levels of p-eEF2K were significantly increased, and total eEF2 significantly decreased in Alzheimer disease PMID: 16098202
  21. Data show that overproduction of elongation factor 2 blocks HIV-1 viral protein R-induced cell death both in fission yeast and human cells. PMID: 16520893
  22. Hypoxia inhibits protein synthesis through a 4EBP1 and EEF2 pathway controlled by mTOR and unbcoupled in breast cancer cells. PMID: 16648488
  23. Skeletal muscle eEF2 and 4EBP1 phosphorylation during endurance exercise is dependent on intensity and muscle fiber type. PMID: 19036825
  24. Overexpressed eEF2 in gastrointestinal cancers promoted G2/M progression and enhanced their cell growth in vitro and in vivo. PMID: 19360331

Show More

Hide All

Involvement in disease
Spinocerebellar ataxia 26 (SCA26)
Subcellular Location
Cytoplasm. Nucleus.
Protein Families
TRAFAC class translation factor GTPase superfamily, Classic translation factor GTPase family, EF-G/EF-2 subfamily
Database Links

HGNC: 3214

OMIM: 130610

KEGG: hsa:1938

STRING: 9606.ENSP00000307940

UniGene: Hs.515070

icon of phone
Call us
301-363-4651 (Available 9 a.m. to 5 p.m. CST from Monday to Friday)
icon of address
Address
7505 Fannin St., Ste 610, Room 7 (CUBIO Innovation Center), Houston, TX 77054, USA
icon of social media
Join us with

Subscribe newsletter

Leave a message

* To protect against spam, please pass the CAPTCHA test below.
CAPTCHA verification
© 2007-2025 CUSABIO TECHNOLOGY LLC All rights reserved. 鄂ICP备15011166号-1
×
Place an order now

I. Product details

*
*
*
*

II. Contact details

*
*

III. Ship To

*
*
*
*
*
*
*

IV. Bill To

*
*
*
*
*
*
*
*