EIF3B Recombinant Monoclonal Antibody

Code CSB-RA249552A0HU
Size US$210
Order now
Image
  • Western Blot
    , Positive WB detected in:K562 whole cell lysate(30µg), COLO-205 whole cell lysate(30µg), A431 whole cell lysate(30µg), HEK293 whole cell lysate(30µg)
    All lanes: eIF3B antibody at 1:1000
    Secondary
    Goat polyclonal to rabbit IgG at 1/40000 dilution
    Predicted band size: 92 kDa
    Observed band size: 116 kDa
    Exposure time:1min
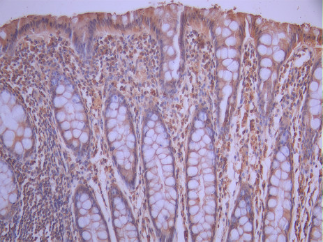
  • IHC image of CSB-RA249552A0HU diluted at 1:100 and staining in paraffin-embedded human small intestine tissue performed on a Leica BondTM system. After dewaxing and hydration, antigen retrieval was mediated by high pressure in a citrate buffer (pH 6.0). Section was blocked with 10% normal goat serum 30min at RT. Then primary antibody (1% BSA) was incubated at 4°C overnight. The primary is detected by a Goat anti-rabbit polymer IgG labeled by HRP and visualized using 0.05% DAB.
  • IHC image of CSB-RA249552A0HU diluted at 1:100 and staining in paraffin-embedded human liver cancer performed on a Leica BondTM system. After dewaxing and hydration, antigen retrieval was mediated by high pressure in a citrate buffer (pH 6.0). Section was blocked with 10% normal goat serum 30min at RT. Then primary antibody (1% BSA) was incubated at 4°C overnight. The primary is detected by a Goat anti-rabbit polymer IgG labeled by HRP and visualized using 0.05% DAB.
  • Immunofluorescence staining of NIH-3T3 cell with CSB-RA249552A0HU at 1:50 , counter-stained with DAPI. The cells were fixed in 4% formaldehyde, permeabilized using 0.2% Triton X-100 and blocked in 10% normal Goat Serum. The cells were then incubated with the antibody overnight at 4°C. The secondary antibody was Alexa Fluor 488-congugated AffiniPure Goat Anti-Rabbit IgG(H+L).
  • Overlay Peak curve showing 786-O cells stained with CSB-RA249552A0HU (red line) at 1:100. The cells were fixed in 4% formaldehyde and permeated by 0.2% TritonX-100 for 10min. Then 10% normal goat serum to block non-specific protein-protein interactions followed by the antibody (1ug/1*106cells) for 45min at 4℃. The secondary antibody used was FITC-conjugated goat anti-rabbit IgG (H+L) at 1/200 dilution for 35min at 4℃.Control antibody (green line) was Rabbit IgG (1ug/1*106cells) used under the same conditions. Acquisition of >10, 000 events was performed.
Have Questions? Leave a Message or Start an on-line Chat

Product Details

Uniprot No.
Target Names
EIF3B
Alternative Names
eIF-3-eta; eIF3 eta; eIF3 p110; eIF3 p116; EIF3-ETA; EIF3-P110; EIF3-P116; eIF3b; EIF3B_HUMAN; EIF3S9; EIF3S9; formerly; Eukaryotic translation initiation factor 3; subunit B; Eukaryotic translation initiation factor 3 subunit 9; eukaryotic translation initiation factor 3 subunit 9 eta; Eukaryotic translation initiation factor 3 subunit B; eukaryotic translation initiation factor 3; subunit 9 (eta; 116kD); eukaryotic translation initiation factor 3; subunit 9 eta; 116kDa; eukaryotic translation initiation factor 3; subunit 9; formerly; hPrt1; Protein synthesis defective at 36 degrees celsius 1; S. cerevisiae; homolog of; PRT1; Prt1 homolog
Species Reactivity
Human
Immunogen
A synthesized peptide from human EIF3B protein
Immunogen Species
Homo sapiens (Human)
Conjugate
Non-conjugated
Clonality
Monoclonal
Isotype
Rabbit IgG
Clone No.
7E3
Purification Method
Affinity-chromatography
Concentration
It differs from different batches. Please contact us to confirm it.
Buffer
Rabbit IgG in 10mM phosphate buffered saline , pH 7.4, 150mM sodium chloride, 0.05% BSA, 0.02% sodium azide and 50% glycerol.
Form
Liquid
Tested Applications
ELISA, WB, IHC, IF, FC
Recommended Dilution
Application Recommended Dilution
WB 1:500-1:5000
IHC 1:50-1:200
IF 1:50-1:200
FC 1:50-1:200
Troubleshooting and FAQs
Storage
Upon receipt, store at -20°C or -80°C. Avoid repeated freeze.
Lead Time
Basically, we can dispatch the products out in 1-3 working days after receiving your orders. Delivery time maybe differs from different purchasing way or location, please kindly consult your local distributors for specific delivery time.
Usage
For Research Use Only. Not for use in diagnostic or therapeutic procedures.

Customer Reviews and Q&A

 Customer Reviews

There are currently no reviews for this product.

Submit a Review here

Target Background

Function
RNA-binding component of the eukaryotic translation initiation factor 3 (eIF-3) complex, which is required for several steps in the initiation of protein synthesis. The eIF-3 complex associates with the 40S ribosome and facilitates the recruitment of eIF-1, eIF-1A, eIF-2:GTP:methionyl-tRNAi and eIF-5 to form the 43S pre-initiation complex (43S PIC). The eIF-3 complex stimulates mRNA recruitment to the 43S PIC and scanning of the mRNA for AUG recognition. The eIF-3 complex is also required for disassembly and recycling of post-termination ribosomal complexes and subsequently prevents premature joining of the 40S and 60S ribosomal subunits prior to initiation. The eIF-3 complex specifically targets and initiates translation of a subset of mRNAs involved in cell proliferation, including cell cycling, differentiation and apoptosis, and uses different modes of RNA stem-loop binding to exert either translational activation or repression.; (Microbial infection) In case of FCV infection, plays a role in the ribosomal termination-reinitiation event leading to the translation of VP2.
Gene References into Functions
  1. Study demonstrated that EIF3B expression was up-regulated in esophageal squamous cell carcinoma cells and negatively correlated with the prognosis of patients. PMID: 27270324
  2. Novel RNA-binding protein P311 binds eIF3b to promote translation of TGF-beta1, TGF-beta2, TGF-beta3. PMID: 25336651
  3. Report EIF3B binding within the IRES domain V of the coxsackie virus B3 mutant strain. PMID: 24063684
  4. eIF3b expression relates to human bladder and prostate cancer prognosis, is required for tumor growth, and thus a candidate therapeutic target. PMID: 23575475
  5. EIF3B promotes the proliferation of U87 human glioblastoma cells and may play an important role in human glioblastoma development. PMID: 22234522
  6. Yeast eIF3b exhibits RNA binding activity but huamn eIF3b doesn't. PMID: 20862284
  7. a conserved tryptophan residue in the human eIF3j N-terminal acidic motif (NTA) is held in the helix alpha1 and loop 5 hydrophobic pocket of the human eIF3b RNA recognition motif (RRM) PMID: 20060839
  8. structural analysis of the eIF3b RNA recognition motif and its interaction with eIF3j PMID: 17190833

Show More

Hide All

Subcellular Location
Cytoplasm.
Protein Families
EIF-3 subunit B family
Database Links

HGNC: 3280

OMIM: 603917

KEGG: hsa:8662

STRING: 9606.ENSP00000354125

UniGene: Hs.371001

icon of phone
Call us
301-363-4651 (Available 9 a.m. to 5 p.m. CST from Monday to Friday)
icon of address
Address
7505 Fannin St., Ste 610, Room 7 (CUBIO Innovation Center), Houston, TX 77054, USA
icon of social media
Join us with

Subscribe newsletter

Leave a message

* To protect against spam, please pass the CAPTCHA test below.
CAPTCHA verification
© 2007-2025 CUSABIO TECHNOLOGY LLC All rights reserved. 鄂ICP备15011166号-1
×
Place an order now

I. Product details

*
*
*
*

II. Contact details

*
*

III. Ship To

*
*
*
*
*
*
*

IV. Bill To

*
*
*
*
*
*
*
*