ELMO1 Recombinant Monoclonal Antibody

Code CSB-RA185006A0HU
Size US$210
Order now
Image
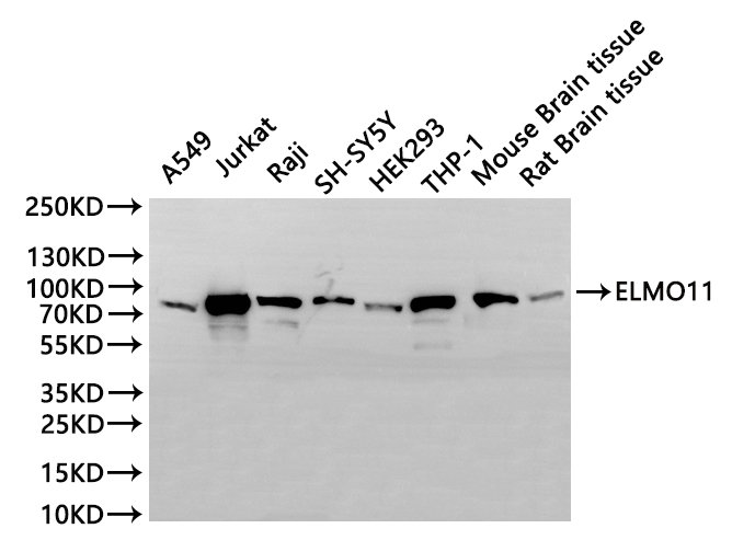
  • Western Blot
    , Positive WB detected in: A549 whole cell lysate(30µg), Jurkat whole cell lysate(30µg), Raji whole cell lysate(30µg), SH-SY5Y whole cell lysate(30µg), HEK293 whole cell lysate(30µg), THP-1 whole cell lysate(30µg), Mouse brain tissue lysate(30µg), Rat brain tissue lysate(30µg)
    All lanes: ELMO1 antibody at 1:1000
    Secondary
    Goat polyclonal to rabbit IgG at 1/40000 dilution
    Predicted band size: 84 kDa
    Observed band size: 84 kDa
    Exposure time:10s
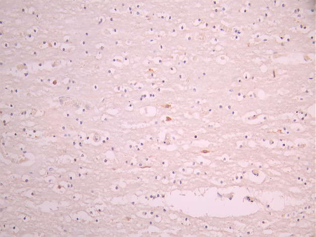
  • IHC image of CSB-RA185006A0HU diluted at 1:100 and staining in paraffin-embedded human brain tissue performed on a Leica BondTM system. After dewaxing and hydration, antigen retrieval was mediated by high pressure in a citrate buffer (pH 6.0). Section was blocked with 10% normal goat serum 30min at RT. Then primary antibody (1% BSA) was incubated at 4°C overnight. The primary is detected by a Goat anti-rabbit polymer IgG labeled by HRP and visualized using 0.05% DAB.
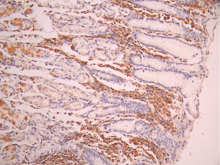
  • IHC image of CSB-RA185006A0HU diluted at 1:100 and staining in paraffin-embedded human stomach tissue performed on a Leica BondTM system. After dewaxing and hydration, antigen retrieval was mediated by high pressure in a citrate buffer (pH 6.0). Section was blocked with 10% normal goat serum 30min at RT. Then primary antibody (1% BSA) was incubated at 4°C overnight. The primary is detected by a Goat anti-rabbit polymer IgG labeled by HRP and visualized using 0.05% DAB.
Have Questions? Leave a Message or Start an on-line Chat

Product Details

Uniprot No.
Target Names
Alternative Names
CED 12 antibody; Ced 12 homolog 1 antibody; Ced 12 homolog antibody; CED-12 antibody; CED12 antibody; Ced12 homolog 1 antibody; Ced12 homolog antibody; ELMO 1 antibody; ELMO-1 antibody; Elmo1 antibody; ELMO1_HUMAN antibody; Engulfment and cell motility 1 antibody; Engulfment and cell motility protein 1 antibody; KIAA0281 antibody; MGC126406 antibody; Protein ced-12 homolog antibody
Species Reactivity
Human, Mouse, Rat
Immunogen
A synthesized peptide from human ELMO1 protein
Immunogen Species
Homo sapiens (Human)
Conjugate
Non-conjugated
Clonality
Monoclonal
Isotype
Rabbit IgG
Clone No.
8H7
Purification Method
Affinity-chromatography
Concentration
It differs from different batches. Please contact us to confirm it.
Buffer
Rabbit IgG in 10mM phosphate buffered saline , pH 7.4, 150mM sodium chloride, 0.05% BSA, 0.02% sodium azide and 50% glycerol.
Form
Liquid
Tested Applications
ELISA, WB, IHC
Recommended Dilution
Application Recommended Dilution
WB 1:500-1:5000
IHC 1:50-1:200
Troubleshooting and FAQs
Storage
Upon receipt, store at -20°C or -80°C. Avoid repeated freeze.
Lead Time
Basically, we can dispatch the products out in 1-3 working days after receiving your orders. Delivery time maybe differs from different purchasing way or location, please kindly consult your local distributors for specific delivery time.
Usage
For Research Use Only. Not for use in diagnostic or therapeutic procedures.

Customer Reviews and Q&A

 Customer Reviews

There are currently no reviews for this product.

Submit a Review here

Target Background

Function
Involved in cytoskeletal rearrangements required for phagocytosis of apoptotic cells and cell motility. Acts in association with DOCK1 and CRK. Was initially proposed to be required in complex with DOCK1 to activate Rac Rho small GTPases. May enhance the guanine nucleotide exchange factor (GEF) activity of DOCK1.
Gene References into Functions
  1. ELMO1 genetic variation is associated with with type 2 diabetes. PMID: 28752301
  2. This study revealed the association of the SNP rs1345365 of the ELMO1 gene in a Mexican population PMID: 29938964
  3. A significant association of the SLC12A3 rs11643718 and ELMO1 rs741301 (Single nucleotide Polymorphism) SNPs with diabetic nephropathy in south Indians. PMID: 27699784
  4. Cdc27 is a novel binding partner of Elmo1.Cdc27-Elmo1 has a cellular role independent from the Elmo-Dock1-Rac signal module. PMID: 26882976
  5. ELMO1 is expressed in rheumatoid arthritis synovium, promotes cell migration and invasion, and regulates Rac1 activity, thereby mediating rheumatoid arthritis pathogenicity. PMID: 25901943
  6. Src-mediated Y724 phosphorylation in ELMO1 plays a critical role for cell spreading via activation of Rac1, leading to promotion of cell migration. PMID: 26205662
  7. high ELMO1 expression is an independent negative prognostic factor in normal karyotype (NK) acute myeloid leukemia. PMID: 25360637
  8. For ELMO1 (+9170 G>A), the GG genotype frequency was higher in the diabetic versus control group, but there were no differences between diabetic patients with and without nephropathies. PMID: 24433479
  9. Thus, Elmo1 and Dock180 facilitate blood vessel formation by stabilization of the endothelium during angiogenesis. PMID: 25586182
  10. There is a low frequency rate of the ancestral genotype for the ELMO1 polymorphism rs1345365 in mestizos from the western and southeastern regions of Mexico. PMID: 25167351
  11. High ELMO1 expression is associated with serous ovarian cancer. PMID: 24819662
  12. the present study characterized a novel Nck-1-ELMO1 interaction and defined a new role for Nck-1 in regulating Rac1 activity. PMID: 24928514
  13. findings reveal a previously unknown, nonredundant role for Elmo1 in controlling Dock2 levels and Dock2-dependent T cell migration in primary lymphocytes. PMID: 24821968
  14. genetic association study in population in China: Data suggest that 2 SNPs in ELMO1 (rs741301; rs10951509) are associated with diabetic nephropathy in Chinese subjects with type 2 diabetes. PMID: 22842811
  15. ELMO1 mutations are associated with esophageal adenocarcinoma. PMID: 23525077
  16. Analysis of SNP databases of Japanese patuients with diabetic nephropathy revealed ELMO1 as a gene related to the above-cited diabetic complication. PMID: 23156397
  17. findings suggest that clearance of apoptotic cells in living vertebrates is accomplished by the combined actions of apoptotic cell migration and elmo1-dependent macrophage engulfment PMID: 22503503
  18. Over-expression of NELL1 is associated with alveolar rhabdomyosarcoma. PMID: 22415709
  19. The C-terminal Pro-rich tail of ELMO1 winds around the Src-homology 3 domain of DOCK2 to form an intermolecular 5-helix bundle. The entire regions of both DOCK2 a& ELMO1 assemble to create a rigid structure required for the DOCK2 & ELMO1 binding. PMID: 22331897
  20. We sequenced 17.4 kb of ELMO1 and identified 19 variants. PMID: 20826100
  21. The protein-protein interaction between ELMO1 and COX-2 increased the cyclooxygenase activity of COX-2 and, correspondingly, fibronectin expression.(ELMO1 protein, human) PMID: 20732417
  22. findings demonstrate an in vivo role for ELMO1-dependent clearance in the testes, with implications for spermatogenesis PMID: 20958313
  23. Dock180 ELMO complex functions as an unconventional two-part exchange factor for Rac. PMID: 12134158
  24. the association of DOCK2 with ELMO1 is critical for DOCK2-mediated Rac activation, thereby suggesting that their association might be a therapeutic target for immunologic disorders caused by lymphocyte infiltration PMID: 12829596
  25. Rac activation by the ELMO.Dock180 complex at discrete intracellular locations mediated by the N-terminal 330 amino acids of ELMO1 plays a role in cell migration PMID: 14638695
  26. Nef binds the DOCK2-ELMO1 complex to activate rac and inhibit lymphocyte chemotaxis PMID: 14737186
  27. while N-terminal SH3 of CrkII promotes assembly between CrkII and DOCK180, the C-terminal SH3 of CrkII regulates the stability and turnover of the DOCK180/ELMO complex PMID: 15700267
  28. ELMO binding to the SH3 domain of Dock180 disrupted the SH3:Docker interaction, facilitated Rac access to the Docker domain, and contributed to the GEF activity of the Dock180/ELMO complex. PMID: 15723800
  29. These results indicate that ELMO1 is a novel candidate gene that both confers susceptibility to diabetic nephropathy and plays an important role in the development and progression of this disease. PMID: 15793258
  30. Src family kinase mediated tyrosine phosphorylation of ELMO1 might represent an important regulatory mechanism that controls signaling through the ELMO1/Crk/Dock180 pathway. PMID: 15952790
  31. ARNO and ARF6 coordinate with the Dock180/Elmo complex to promote Rac activation at the leading edge of migrating cells. PMID: 16213822
  32. Using pulldown assays, we identified engulfment and cell motility (ELMO) protein as the IpgB1 binding partner. IpgB1 colocalized with ELMO and Dock180 in membrane ruffles induced by Shigella. PMID: 17173036
  33. Overexpression of ELMO1 and Dock180, a bipartite Rac1 guanine nucleotide exchange factor is associated with glioma cell invasion PMID: 17671188
  34. The DOCK180-ELMO1 interaction is mapped to the N-terminal 200 amino acids of DOCK180, and to the C-terminal 200 amino acids of ELMO1, comprising the ELMO1 PH domain. PMID: 18768751
  35. Variants in intron 13 of the ELMO1 gene appear to confer risk for diabetic nephropathy in African Americans. PMID: 19183347
  36. Report of genetic associations in ELMO1 with diabetic nephropathy, further establishing its role in the susceptibility of this disease. PMID: 19651817

Show More

Hide All

Subcellular Location
Cytoplasm. Cell membrane. Note=Translocation to plasma membrane seems to be mediated by DOCK1 and CRK.
Tissue Specificity
Widely expressed, with a higher expression in the spleen and placenta.
Database Links

HGNC: 16286

OMIM: 606420

KEGG: hsa:9844

STRING: 9606.ENSP00000312185

UniGene: Hs.434989

icon of phone
Call us
301-363-4651 (Available 9 a.m. to 5 p.m. CST from Monday to Friday)
icon of address
Address
7505 Fannin St., Ste 610, Room 7 (CUBIO Innovation Center), Houston, TX 77054, USA
icon of social media
Join us with

Subscribe newsletter

Leave a message

* To protect against spam, please pass the CAPTCHA test below.
CAPTCHA verification
© 2007-2025 CUSABIO TECHNOLOGY LLC All rights reserved. 鄂ICP备15011166号-1
×
Place an order now

I. Product details

*
*
*
*

II. Contact details

*
*

III. Ship To

*
*
*
*
*
*
*

IV. Bill To

*
*
*
*
*
*
*
*