H3-3A Recombinant Monoclonal Antibody

Code CSB-RA448014A0HU
Size US$210
Order now
Image
  • Flow cytometric analysis of Phospho-Histone H3.3 (S31) expression in HepG2 cells using Phospho-Histone H3.3 (S31) antibody. Green, isotype control; red, Phospho-Histone H3.3 (S31).
  • Immunocytochemical staining of HepG2 cells with Phospho-Histone H3.3 (S31) antibody. Nuclei were stained blue with DAPI; Phospho-Histone H3.3 (S31) was stained magenta with Alexa Fluor® 647. Images were taken using Leica stellaris 5. Protein abundance based on laser Intensity and smart gain: Medium. Scale bar: 20 μm.
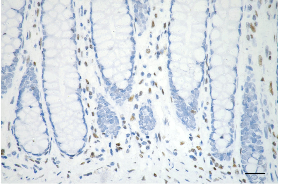
  • Immunohistochemistry was performed on paraffin-embedded human sigmoid colon carcinoma using phospho-histone H3.3 (S31) antibody. Antigen retrieval was done in sodium citrate buffer (pH 6.0). DAB was used for detection, with hematoxylin counterstaining. Images were acquired using a Nikon Ci-L Plus microscope (40× objective). Scale bar: 25 μm.
  • Western blotting analysis using Phospho-Histone H3.3 (S31) antibody. Total cell lysates (5 μg) from various cell lines were loaded and separated by SDS-PAGE. The blot was incubated with Phospho-Histone H3.3 (S31) antibody and HRP-conjugated goat anti-rabbit secondary antibody respectively.
Have Questions? Leave a Message or Start an on-line Chat

Product Details

Uniprot No.
Target Names
H3-3A
Alternative Names
H3-3A; H3.3 Histone A; H3.3A; H3F3A; H3F3; H3 Histone Family Member 3A; H3 Histone, Family 3A; Histone H3.3; BRYLIB1; H3-3B; H3.3B; H3F3B
Species Reactivity
Human, Mouse, Rat
Immunogen
Recombinant Human H3-3A protein
Immunogen Species
Homo sapiens (Human)
Conjugate
Non-conjugated
Clonality
Monoclonal
Isotype
Rabbit IgG
Clone No.
21A6
Purification Method
Affinity-chromatography
Concentration
It differs from different batches. Please contact us to confirm it.
Buffer
Rabbit IgG in PBS (pH 7.4) containing 50% glycerol, and 0.02% sodium azide.
Form
Liquid
Tested Applications
ELISA, WB, FC, ICC, IHC
Recommended Dilution
Application Recommended Dilution
WB 1:1000-1:5000
FC 1:200-1:2000
ICC 1:100-1:1000
IHC 1:100-1:200
Troubleshooting and FAQs
Storage
Upon receipt, store at -20°C or -80°C. Avoid repeated freeze.
Lead Time
Basically, we can dispatch the products out in 1-3 working days after receiving your orders. Delivery time maybe differs from different purchasing way or location, please kindly consult your local distributors for specific delivery time.
Usage
For Research Use Only. Not for use in diagnostic or therapeutic procedures.

Customer Reviews and Q&A

 Customer Reviews

There are currently no reviews for this product.

Submit a Review here

Target Background

Function
Variant histone H3 which replaces conventional H3 in a wide range of nucleosomes in active genes. Constitutes the predominant form of histone H3 in non-dividing cells and is incorporated into chromatin independently of DNA synthesis. Deposited at sites of nucleosomal displacement throughout transcribed genes, suggesting that it represents an epigenetic imprint of transcriptionally active chromatin. Nucleosomes wrap and compact DNA into chromatin, limiting DNA accessibility to the cellular machineries which require DNA as a template. Histones thereby play a central role in transcription regulation, DNA repair, DNA replication and chromosomal stability. DNA accessibility is regulated via a complex set of post-translational modifications of histones, also called histone code, and nucleosome remodeling.
Gene References into Functions
  1. We conclude that the Clival GCT is genetically defined by somatic mutation in the H3F3A gene, linking it to the GCT of long bones. PMID: 29609578
  2. overexpression of H3F3A, encoding H3.3, is associated with lung cancer progression and promotes lung cancer cell migration by activating metastasis-related genes PMID: 27694942
  3. we describe the presence of the mutation p.K27M of H3F3A (H3.3K27M) in two tumours of young patients with classical histopathology of ganglioglioma PMID: 27219822
  4. H3F3 mutations are sensitive and specific markers of giant cell tumors of the bone and chondroblastomas PMID: 28059095
  5. H3F3A is the most frequently mutated giant cell tumor of bone driver gene. H3F3A mutations are not present in atypical giant cell tumor of bone. PMID: 28545165
  6. H3F3A mutational testing may be a useful adjunct to differentiate giant cell tumor of bone from giant cell-rich sarcoma. PMID: 28899740
  7. Report H3F3A/B mutations in cell tumors of bone, chondroblastomas, and aneurysmal bone cysts. PMID: 28882701
  8. Data suggest that H3K9ac (histone 3 lysine 9 acetylation) serves as a substrate for direct binding of the SEC (super elongation complex) to chromatin; at select gene promoters, H3K9ac loss or SEC depletion appears to reduce gene expression. PMID: 28717009
  9. We determined the incidence of H3.3 G34 mutations in primary malignant bone tumors as assessed by genotype and H3.3 G34W immunostaining PMID: 28505000
  10. The kinase activity of Aurora B on serine 31 of histone H3.3 was biochemically confirmed with nucleosomal substrates in vitro. PMID: 28137420
  11. This study showed that heterozygous K27M mutations in H3F3A (n = 4) or HIST1H3B (n = 3) across all primary, contiguous, and metastatic tumor sites in all Diffuse intrinsic pontine glioma. PMID: 26727948
  12. Study examined the relationship of K27M mutations in the distinct histone H3 variants (i.e. HIST1H3B and H3F3A) with specific pontine glioma biology PMID: 26399631
  13. study found spinal high-grade gliomas in children and adults frequently harbor H3F3A (K27M) mutations PMID: 26231952
  14. H3F3A and H3F3B mutation analysis appears to be a highly specific, although less sensitive, diagnostic tool for the distinction of GCTB and chondroblastoma from other giant cell-containing tumors. PMID: 26457357
  15. we describe three interesting cases of paediatric glial and glioneuronal tumours harbouring both BRAF V600E and H3F3A K27M mutations. PMID: 25389051
  16. our observations further extend the knowledge of H3F3A mutation and its location in pediatric glioblastomas PMID: 25479829
  17. The CENP-A/histone H3.3 nucleosome forms an unexpectedly stable structure and allows the binding of the essential centromeric protein, CENP-C, which is ectopically mislocalized in the chromosomes of CENP-A overexpressing tumor cells. PMID: 25408271
  18. On the basis of our findings, H3F3A p.Gly34 Trp or p.Gly34 Leu mutations are not a frequent event in CGCL. PMID: 25442495
  19. These results suggest that immunohistochemical detection of H3.3 K27M is a sensitive and specific surrogate for the H3F3A K27M mutation and defines a prognostically poor subset of pediatric glioblastomas. PMID: 25200322
  20. this study identifies an H3.3K36me3-specific reader and a regulator of intron retention and reveals that BS69 connects histone H3.3K36me3 to regulated RNA splicing, providing significant, important insights into chromatin regulation of pre-mRNA processing. PMID: 25263594
  21. The mutually exclusive associations of HDAC1/p300, p300/histone, and HDAC1/histone on chromatin contribute to the dynamic regulation of histone acetylation. PMID: 24722339
  22. Loss of H3.3 from pericentromeric heterochromatin upon DAXX or PML depletion suggests that the targeting of H3.3 to PML-NBs is implicated in pericentromeric heterochromatin organization. PMID: 24200965
  23. These data suggest that adult brainstem gliomas differ from adult supratentorial gliomas. In particular, histone genes HIST1H3B (K27M) ) mutations are frequent in adult brainstem gliomas. PMID: 24242757
  24. H3F3A K27M mutation is associated with thalamic gliomas. PMID: 24285547
  25. The results of this study indicate that H3F3A K27M mutant GBMs show decreased H3K27me3 that may be of both diagnostic and biological relevance. PMID: 23414300
  26. H3F3A exon 2 mutation analyzed in solid tumors from 1351 South Korean patients PMID: 23758177
  27. A remarkable picture of tumor type specificity for histone H3.3 driver alterations emerges, indicating that histone H3.3 residues, mutations and genes have distinct functions. PMID: 24162739
  28. Reduced H3K27me3 and/or DNA hypomethylation are the major driving forces of activated gene expression in K27M mutant pediatric high-grade gliomas. PMID: 24183680
  29. All reported H3.3 mutations identified in human tumors have been in the H3F3A gene leading to single codon changes within the N-terminal tail of the H3.3 protein. [Review] PMID: 24229707
  30. This study suggested that none of H3.3 G34R mutated tumors presented primitive neuroectodermal tumors of central nervous system and pediatric glioblastomas. PMID: 23354654
  31. diffuse intrinsic pontine gliomas containing K27M mutation display lower overall amounts of H3 with trimethylated lysine 27(H3K27me3);H3K27M inhibits enzymatic activity of Polycomb repressive complex 2 through interaction with the EZH2 subunit; propose a model where aberrant epigenetic silencing through H3K27M-mediated inhibition of PRC2 activity promotes gliomagenesis PMID: 23539183
  32. Low frequency of H3.3 mutations in myelodysplastic syndromes patients. PMID: 23660862
  33. indicate that H3.3K27M mutation reprograms epigenetic landscape and gene expression, which may drive tumorigenesis PMID: 23603901
  34. H3F3A K27M mutations occur exclusively in pediatric diffuse high-grade astrocytomas PMID: 23429371
  35. Somatic mutation of H3F3A, a chromatin remodeling gene, is rare in acute leukemias and non-Hodgkin lymphoma. PMID: 23116151
  36. K27M mutation in H3.3 is universally associated with short survival in diffuse intrinsic pontine gliomas, while patients wild-type for H3.3 show improved survival. PMID: 22661320
  37. demonstrate that the two H3F3A mutations give rise to glioblastomas in separate anatomic compartments, with differential regulation of transcription factors OLIG1, OLIG2, and FOXG1, possibly reflecting different cellular origins PMID: 23079654
  38. recurrent mutations in a regulatory histone in humans; data suggest that defects of the chromatin architecture underlie paediatric and young adult GBM pathogenesis PMID: 22286061
  39. discussion of the importance of H3.3 deposition as a salvage pathway to maintain chromatin integrity PMID: 22195966
  40. Part of multiple H3.3-specific histone chaperone complexes PMID: 21047901
  41. Studies indicate that H3.3 accomplishes a surprising variety of cellular and developmental processes. PMID: 20153629
  42. Histone H3 lysine 4 methylation disrupts binding of nucleosome remodeling and deacetylase (NuRD) repressor complex PMID: 11850414
  43. analysis of histone posttranslational modifications on H3.1 and H3.3 PMID: 17052464
  44. Data reveal that TPA activates transcription of TBX2 through activating MSK1, which leads to an increase in phosphorylated histone H3 and the recruitment of Sp1 to the TBX2 gene. PMID: 19633291

Show More

Hide All

Involvement in disease
Glioma (GLM)
Subcellular Location
Nucleus. Chromosome.
Protein Families
Histone H3 family
Database Links

HGNC: 4764

OMIM: 137800

KEGG: hsa:3020

STRING: 9606.ENSP00000355778

UniGene: Hs.180877

icon of phone
Call us
301-363-4651 (Available 9 a.m. to 5 p.m. CST from Monday to Friday)
icon of address
Address
7505 Fannin St., Ste 610, Room 7 (CUBIO Innovation Center), Houston, TX 77054, USA
icon of social media
Join us with

Subscribe newsletter

Leave a message

* To protect against spam, please pass the CAPTCHA test below.
CAPTCHA verification
© 2007-2025 CUSABIO TECHNOLOGY LLC All rights reserved. 鄂ICP备15011166号-1
×
Place an order now

I. Product details

*
*
*
*

II. Contact details

*
*

III. Ship To

*
*
*
*
*
*
*

IV. Bill To

*
*
*
*
*
*
*
*