INHBB Recombinant Monoclonal Antibody

Code CSB-RA096039A0HU
Size US$210
Order now
Image
  • Immunocytochemical staining of HT-1080 cells with Inhibin subunit beta B antibody. Nuclei were stained blue with DAPI; Inhibin subunit beta B was stained magenta with Alexa Fluor® 647. Images were taken using Leica stellaris 5. Protein abundance based on laser Intensity and smart gain: High. Scale bar, 20 μm.
  • Flow cytometric analysis of Inhibin subunit beta B expression in HT-1080 cells using Inhibin subunit beta B antibody. Green, isotype control; red, Inhibin subunit beta B.
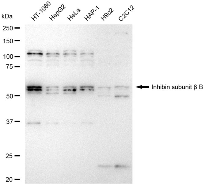
  • Western blotting analysis using Inhibin subunit beta B antibody. Total cell lysates (30 μg) from various cell lines were loaded and separated by SDS-PAGE. The blot was incubated with Inhibin subunit beta B antibody and HRP-conjugated goat anti-rabbit secondary antibody respectively.
Have Questions? Leave a Message or Start an on-line Chat

Product Details

Uniprot No.
Target Names
Alternative Names
INHBB; Inhibin Subunit Beta B; Inhibin Beta B Chain; Activin Beta-B Chain; Inhibin, Beta B (Activin AB Beta Polypeptide); Activin AB Beta Polypeptide; Inhibin Beta B Subunit; Inhibin, Beta B; Inhibin, Beta-2
Species Reactivity
Human, Mouse, Rat
Immunogen
Recombinant Human INHBB protein
Immunogen Species
Homo sapiens (Human)
Conjugate
Non-conjugated
Clonality
Monoclonal
Isotype
Rabbit IgG
Clone No.
8A7
Purification Method
Affinity-chromatography
Concentration
It differs from different batches. Please contact us to confirm it.
Buffer
Rabbit IgG in PBS (pH 7.4) containing 50% glycerol, and 0.02% sodium azide.
Form
Liquid
Tested Applications
ELISA, WB, FC, ICC
Recommended Dilution
Application Recommended Dilution
WB 1:1000-1:5000
FC 1:200-1:2000
ICC 1:100-1:1000
Troubleshooting and FAQs
Storage
Upon receipt, store at -20°C or -80°C. Avoid repeated freeze.
Lead Time
Basically, we can dispatch the products out in 1-3 working days after receiving your orders. Delivery time maybe differs from different purchasing way or location, please kindly consult your local distributors for specific delivery time.
Usage
For Research Use Only. Not for use in diagnostic or therapeutic procedures.

Customer Reviews and Q&A

 Customer Reviews

There are currently no reviews for this product.

Submit a Review here

Target Background

Function
Inhibins and activins inhibit and activate, respectively, the secretion of follitropin by the pituitary gland. Inhibins/activins are involved in regulating a number of diverse functions such as hypothalamic and pituitary hormone secretion, gonadal hormone secretion, germ cell development and maturation, erythroid differentiation, insulin secretion, nerve cell survival, embryonic axial development or bone growth, depending on their subunit composition. Inhibins appear to oppose the functions of activins.
Gene References into Functions
  1. Results found that INHBB expression was reduced in nasopharyngeal carcinoma (NPC) tissues, and associated with lymph node metastasis. Further data revealed that INHBB could suppress anoikis resistance and migration of NPC cells by the TGF-beta signaling pathway, decrease p53 overexpression, and could serve as a potential biomarker for NPC metastasis and prognosis . PMID: 30151927
  2. Presence of varicocele was associated with lower serum inhibin B. PMID: 27423503
  3. Elevated activin B levels together with normal activin A levels identified patients with the diagnostic symptoms of chronic fatigue syndrome/myalgic encephalomyelitis. PMID: 28302133
  4. Results identified Inhbb as one factor mediating the proliferative effect of Pdx-1 on islet cells. PMID: 27620967
  5. Low activin B level is associated with tubal ectopic pregnancy. PMID: 26968108
  6. Pregnant Han Chinese women carrying the rs7579169 CC genotype and G-G-C haplotype are significantly more likely to develop pre-eclampsia, especially late-onset and multiparous cases. PMID: 26313529
  7. We report here an original observation that activin-B is upregulated in the human idiopathic pulmonary fibrosis lung. PMID: 25361680
  8. reduction of RhoA signaling by Activin B together with persistent Rac1 activity is a prerequisite for inducing an invasive phenotype in clear cell renal cell carcinoma. PMID: 25343250
  9. inhibin B and anti-Mullerian hormone serum concentrations did not provide an additional diagnostic tool for male infertility PMID: 25581422
  10. inhibin B levels, but not FSH, are increased in primary hypothyroidism, which is consistent with a hypogonadotrophic hypogonadal state affecting the reproductive segment of the gonadotrophic axis PMID: 23692058
  11. There are significant differences in serum inhibin B levels in patients with diminished ovarian reserve before and after supplementation with dehydroepiandrosterone (DHEA). PMID: 23664458
  12. Inhibin B production was decreased following recombinant human chorionic gonadotropin administration in both control and polycystic ovary syndrome women. PMID: 24188875
  13. Inhibin B was measured in plasma samples obtained from 34 healthy male subjects selected on criteria typical for a phase I clinical trial across a wide age range. PMID: 23349064
  14. Data indicate that neither serum inhibin B nor follicle-stimulating hormone (FSH) is a suitable surrogate for determination of sperm concentration in a semen sample. PMID: 23423746
  15. The signaling pathway responsible for hepcidin up-regulation in the inflammatory context is still not understood completely. Activin B has an unexpected but crucial role in the induction of hepcidin by inflammation. PMID: 22611157
  16. A genome-wide association study for preeclampsia in unrelated Australian individuals of Caucasian ancestry was performed to genotype single nucleotide polymorphisms the Inhibin, beta B gene on 2q14.2, in preeclampsia and normal pregnancy controls. PMID: 22432041
  17. inhibin-betaB subunit appears not to be a useful prognostic marker regarding endometrioid adenocarcinomas. PMID: 21938679
  18. Compared with antimullerian hormone (AMH), stimulated serum inhBB is a more accurate predictor of ovarian response in patients undergoing in vitro fertilization. PMID: 21843890
  19. Inhibin B constitutes a reliable marker of Sertoli cell function as well as spermatogenesis, while the clinical significance of anti-Mullerian hormone in men with varicocele remains to be elucidated. PMID: 21285453
  20. High inhibin beta B is associated with cervical intraepithelial neoplasia grades 1 and 2 compared to cervix uteri. PMID: 21475087
  21. Inhibin B and antimullerian hormone have a role in gonadal function after treatment for medulloblastoma or posterior fossa ependymoma during childhood PMID: 21168856
  22. A variant in the fibrillin-3 gene is associated with TGF-beta and inhibin B levels in women with polycystic ovary syndrome. PMID: 20630504
  23. The aim of the present study is to investigate the effect of obesity on testicular function by evaluating reproductive hormones, inhibinB, insulin-like 3(INSL3), and leptin, in obese and non-obese adolescents according to pubertal Tanner stages. PMID: 20713036
  24. Serum inhibin-b levels decrease nonlinearly during the daytime, and are positively correlated with sperm counts, but the predictive power is best when inhibin-b is low. PMID: 20149358
  25. Antral follicle size influences serum inhibin B and FSH levels and alters their expected relationship with the number of antral follicles on day 3 PMID: 19061996
  26. Gonads in anorexia nervosa with weight gain have low level of activity. Inhibin B is early marker of gonadal activity, and with weight gain, awakening of the reproductive function is gradual. PMID: 15070953
  27. Inhibin B pubertal surge is prominent signal of gonadal maturation in females as well as in males. Significantly higher in boys than in girls. Review. PMID: 15319819
  28. The expression of inhibin betaB by Sertoli cells is dependent on the coexistence of spermatogenic activity within these seminiferous tubules and is low in patients with Sertoli cell only syndrome. PMID: 15551748
  29. Ovulatory cycles were characterized by higher FSH and lower inhibin B leveels in hypergonadotropic hypogonadism or premature ovarian failure. PMID: 15562017
  30. Regular increase of inhibin B(InhB) during puberty. In first phases of gonadal maturation, InhB and FSH correlate positively, while in mid-late stages relationship is inverse. In mid-puberty (G3-G4), serum InhB increases. PMID: 15757857
  31. Exposure of the cells of Sertoli to excessive amounts of lead results in inappropriate inhibin B overproduction that may be involved in the impairment of spermatogenesis. PMID: 15910540
  32. inhibin B may have a role in male fecundity PMID: 16024538
  33. INHBB expression was high in human adipocytes, reduced by weight loss and adipose tissue INHBB mRNA levels correlated to metabolic risk factors. PMID: 16650820
  34. A significant down-regulation of inhibin-beta (B) subunit in extravillous trophoblast cells in IUGR syncytiotrophoblast cells was demonstrated. PMID: 16670820
  35. Preoperative serum inhibin B concentration could not reliably predict a response to varicocelectomy, but the increase in inhibin B levels after treatment might suggest an improvement in testicular function. PMID: 16728349
  36. Follistatin was overexpressed while both activin subunits were downregulated in the majority of rat and human liver tumours PMID: 16935389
  37. The present findings showed that treatment with vaginal estroprogestinic decreases serum inhibin A and inhibin B levels, the follicular diameter PMID: 16989826
  38. Varicocele sclerotherapy improves inhibin B levels and seminal parameters. PMID: 17376219
  39. it is not clear that inhibin B does not seem to play any role in the mechanism of action of laparoscopic ovarian diathermy [letter] PMID: 17525068
  40. Granulosa cell production of inhibin B is reduced by pharmacologically induced increase in the intrafollicular androgen levels. PMID: 17628551
  41. decreased levels of inhibin b are associated with hot flushes, aches, joint pain, stiffness and depressed mood in the stages of menopausal transition. PMID: 17666595
  42. Activin B is a potent inducer of Pdx1 as well as Shh in differentiating embryonic stem cell derived embryoid bodies PMID: 17761145
  43. Activin and estrogen crosstalk regulates transcription in human breast cancer cells. PMID: 17914098
  44. Used monoclonal antibody to xenopus laevis Inhbb in ELISA for detection of human Inhbb. PMID: 17991484
  45. Expression of the beta-B subunit is related to decidualization and can be detected in the circulation as activin B. PMID: 18381568
  46. The degree of inhibin B increment during controlled ovarian stimulation provides a way for for predicting ovarian response to ovarian stimulation. PMID: 18555227
  47. There was no significant association of (log)inhibin B profiles with age at final menstrual period. PMID: 18593767
  48. Functional validation of activins and bone morphogenetic protein 11 as candidate novel muscle mass regulators. PMID: 18927237
  49. Serum inhibin B and estradiol concentrations obtained shortly after Gn therapy may offer an accurate and early prediction of ovarian response. PMID: 19198021
  50. Inhibin B is more potent than inhibin A in suppressing FSH in vitro and in vivo, and this difference in bioactivity is not explained by its affinity to betaglycan or activin type II receptors. PMID: 19589860

Show More

Hide All

Subcellular Location
Secreted.
Protein Families
TGF-beta family
Database Links

HGNC: 6067

OMIM: 147390

KEGG: hsa:3625

STRING: 9606.ENSP00000295228

UniGene: Hs.1735

icon of phone
Call us
301-363-4651 (Available 9 a.m. to 5 p.m. CST from Monday to Friday)
icon of address
Address
7505 Fannin St., Ste 610, Room 7 (CUBIO Innovation Center), Houston, TX 77054, USA
icon of social media
Join us with

Subscribe newsletter

Leave a message

* To protect against spam, please pass the CAPTCHA test below.
CAPTCHA verification
© 2007-2025 CUSABIO TECHNOLOGY LLC All rights reserved. 鄂ICP备15011166号-1
×
Place an order now

I. Product details

*
*
*
*

II. Contact details

*
*

III. Ship To

*
*
*
*
*
*
*

IV. Bill To

*
*
*
*
*
*
*
*