KAT2B Recombinant Monoclonal Antibody

Code CSB-RA096084A0HU
Size US$210
Order now
Image
  • Flow cytometric analysis of PCAF expression in HT-1080 cells using PCAF antibody. Green, isotype control; red, PCAF.
  • Immunocytochemical staining of HT-1080 cells with KAT2B antibody. Nuclei were stained blue with DAPI; KAT2B was stained magenta with Alexa Fluor® 647. Images were taken using Leica stellaris 5. Protein abundance based on laser Intensity and smart gain: Medium. Scale bar, 20 μm.
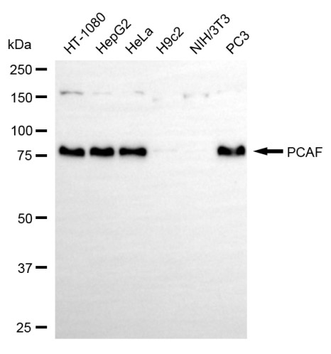
  • Western blotting analysis using PCAF antibody. Total cell lysates (30 μg) from various cell lines were loaded and separated by SDS-PAGE. The blot was incubated with PCAF antibody and HRP-conjugated goat anti-rabbit secondary antibody respectively.
Have Questions? Leave a Message or Start an on-line Chat

Product Details

Uniprot No.
Target Names
Alternative Names
Lysine Acetyltransferase 2B; P/CAF; P300/CBP-Associated Factor; PCAF; Spermidine Acetyltransferase KAT2B; Histone Acetyltransferase KAT2B; K(Lysine) Acetyltransferase 2B; Histone Acetyltransferase PCAF; Histone Acetylase PCAF; EC 2.3.1.48; GCN5L; GCN5; CREBBP-Associated Factor; EC 2.3.1.57; CAF
Species Reactivity
Human
Immunogen
Recombinant Human KAT2B protein
Immunogen Species
Homo sapiens (Human)
Conjugate
Non-conjugated
Clonality
Monoclonal
Isotype
Rabbit IgG
Clone No.
19H5
Purification Method
Affinity-chromatography
Concentration
It differs from different batches. Please contact us to confirm it.
Buffer
Rabbit IgG in PBS (pH 7.4) containing 50% glycerol, and 0.02% sodium azide.
Form
Liquid
Tested Applications
ELISA, WB, FC, ICC
Recommended Dilution
Application Recommended Dilution
WB 1:1000-1:5000
FC 1:200-1:2000
ICC 1:100-1:1000
Troubleshooting and FAQs
Storage
Upon receipt, store at -20°C or -80°C. Avoid repeated freeze.
Lead Time
Basically, we can dispatch the products out in 1-3 working days after receiving your orders. Delivery time maybe differs from different purchasing way or location, please kindly consult your local distributors for specific delivery time.
Usage
For Research Use Only. Not for use in diagnostic or therapeutic procedures.

Customer Reviews and Q&A

 Customer Reviews

There are currently no reviews for this product.

Submit a Review here

Target Background

Function
Functions as a histone acetyltransferase (HAT) to promote transcriptional activation. Has significant histone acetyltransferase activity with core histones (H3 and H4), and also with nucleosome core particles. Also acetylates non-histone proteins, such as ACLY, PLK4, RRP9/U3-55K and TBX5. Inhibits cell-cycle progression and counteracts the mitogenic activity of the adenoviral oncoprotein E1A. Acts as a circadian transcriptional coactivator which enhances the activity of the circadian transcriptional activators: NPAS2-ARNTL/BMAL1 and CLOCK-ARNTL/BMAL1 heterodimers. Involved in heart and limb development by mediating acetylation of TBX5, acetylation regulating nucleocytoplasmic shuttling of TBX5. Acts as a negative regulator of centrosome amplification by mediating acetylation of PLK4. Acetylates RRP9/U3-55K, a core subunit of the U3 snoRNP complex, impairing pre-rRNA processing. Also acetylates spermidine.; (Microbial infection) In case of HIV-1 infection, it is recruited by the viral protein Tat. Regulates Tat's transactivating activity and may help inducing chromatin remodeling of proviral genes.
Gene References into Functions
  1. KAT2A/2B acetylation of PLK4 prevents centrosome amplification PMID: 27796307
  2. The effects of acetylated Lin28B on let-7a-1 and let-7g are similar to that of stable knockdown of Lin28B in H1299 cells. The new role of PCAF in mediating Lin28B acetylation and the specific release of its target microRNAs in H1299 cells may shed light on the potential application of let-7 in the clinical treatment of lung cancer patients PMID: 29301498
  3. Data indicate lysine acetyltransferase 2B (KAT2B) as a susceptibility gene for kidney and heart disease in adducin 3 (gamma) protein (ADD3)-associated disorders. PMID: 29768408
  4. PCAF/GCN5-mediated lysine 163 acetylation of RPA1 is crucial for nucleotide excision repair. PMID: 28854354
  5. PCAF and ADA3 transcriptionally regulate PACS1 and PACS1 is a key regulator of BAX/BAK oligomerization and the intrinsic (mitochondrial) pathway to apoptosis. PMID: 28060382
  6. Knockdown of the acetyltransferase Kat2b erases H3K9ac signals, disrupts Sox2 binding, and fails the differentiation during human neuroectodermal commitment. PMID: 28475175
  7. GCN5 upregulation is especially common in UCCs. GCN5 knockdown impeded growth of specific UCCs, whereas PCAF knockdown elicited minor effects. PMID: 28678170
  8. histone H3K9 acetyltransferase PCAF plays a critical role in osteogenic differentiation of mesenchymal stem cells. PMID: 27300495
  9. cancer associated fibroblasts (CAFs) promoted hepatocellular cancer (HCC) growth via IL-6/STAT3/AKT pathway and TIMP-1 over-expression driven by IL-6/STAT3 pathway in HCC cells brought in more CAFs through activating liver fibroblasts. PMID: 27297362
  10. These results uncover p300 as a direct target of mTORC1 and suggest that the mTORC1-p300 pathway plays a pivotal role in cell metabolism by coordinately controlling cell anabolism and catabolism PMID: 29033323
  11. TNF-alpha and LPS promoted the interaction between MKL1 and PCAF. PMID: 28571745
  12. PCAF is a novel modulator of autophagy in hepatocellular carcinoma. PMID: 27711074
  13. a mechanism of transcriptional regulation mediated by p27, Pax5, and PCAF PMID: 28158851
  14. The studies identify a P/CAF-PAX3-FOXO1 signalling node that promotes oncogenesis and may contribute to MyoD dysfunction in Alveolar rhabdomyosarcoma (ARMS). PMID: 27453350
  15. results strongly support our hypothesis that PCAF is induced and activated by ATRA, and the subsequent acetylation of PCAF substrates promotes granulocytic differentiation in leukemia cells PMID: 28053092
  16. Our findings demonstrated a novel epigenetic mechanism of IL-10 dysregulation in inflammatory bowel disease. Down-regulation of KAT2B may disrupt the innate and adaptive inflammatory responses due to the suppression of this crucial anti-inflammatory cytokine. PMID: 26802082
  17. Acetyltransferase p300/CBP-associated factor (PCAF) interacts with and acetylates HOXB9 both in vivo and in vitro. PMID: 27613418
  18. Results suggest that increase in nuclear expression of p300, as well as the presence of cytoplasmic but loss of nuclear expression of p300/CBP-associated factor (PCAF), could play an important role in the development and progression of cutaneous squamous cell carcinomas (SCC). PMID: 27019369
  19. Loss of p300 reduced repair of mismatches in DNA mismatch repair-deficient cells, but did not have evident effects on Base Excision Repair (BER) mechanisms, including the long patch BER pathway. PMID: 27104361
  20. Kat2b is a crucial transcriptional regulator for adaptive betaeta cell function during metabolic stress by controlling Unfolded Protein Response and represents a promising target for type 2 diabetes prevention and treatment. PMID: 27117420
  21. data define an essential motif cNM in N-terminal E1A as an acetyl-CoA entry blocker that directly associates with the entrance of acetyl-CoA binding pocket to block the HAT domain access to its cofactor PMID: 27143356
  22. PCAF protein and mRNA were not expressed in normal brain, but were expressed in pediatric astrocytoma in levels decreasing with tumor grade. PMID: 23407894
  23. Notch signaling was altered in almost half of the clear-cell renal cell carcinoma patients and copy number variances in MAML1 and KAT2B were predominant changes. PMID: 26662507
  24. Results show that PCAF can induce cell apoptosis by modulating a GLI1/Bcl-2/BAX axis that in turn suppresses HCC progression. PMID: 25855960
  25. low expression of PCAF in hepatocellular carcinoma tissues facilitates tumor cells migration and invasion which is achieved via Gli1-driven epithelial-mesenchymal transition phenotypes. PMID: 26945969
  26. p300HAT activated by p38MAPK plays a pivotal role in regulating the expression of prosurvival molecules following photodynamic therapy. PMID: 26001729
  27. The Gcn5 is important for turning on genes in cancers that overexpress Myc. PMID: 26728851
  28. CBP and p300 as lysine acetyltransferases responsible for the regulation of MR PMID: 25707758
  29. PCAF, HIF-1alpha, and VEGF expression were not upregulated by hypoxic stimulation of KD-MSCs. These results suggest that the hypoxic response may be blunted in MSCs from ESKD patients PMID: 25025381
  30. These results illustrate the novel activity of the C5a-C5aR axis that promotes human NPC cell proliferation through PCAFmediated STAT3 acetylation. PMID: 25174320
  31. Gcn5 and PCAF repress IFN-beta production in an enzymatic activity-independent and non-transcriptional manner: by inhibiting the innate immune signaling kinase TBK1 in the cytoplasm. PMID: 25269644
  32. these results highlight an important role for p21 and p/CAF in promoting breast cancer cell migration and invasion at the transcriptional level and may open new avenues for breast cancer therapy. PMID: 22995475
  33. identified that PCAF interacts with and acetylates EZH2 mainly at lysine 348 PMID: 25800736
  34. PCAF-mediated Akt1 acetylation enhanced Akt1 phosphorylation. PMID: 25501279
  35. PCAF and ADA3 regulate Bid processing via PACS2, to modulate the mitochondrial cell death pathway in response to hGrzB. PMID: 24464226
  36. The mutually exclusive associations of HDAC1/p300, p300/histone, and HDAC1/histone on chromatin contribute to the dynamic regulation of histone acetylation. PMID: 24722339
  37. Reduced expression of p300/CBP associated factor plays an important role in the development of intestinal-type gastric carcinoma and correlates with a poor clinical outcome. PMID: 20026908
  38. KLF10, functions as a toggle to integrate antagonistic signals regulating FOXP3 via Sin3-HDAC/PCAF pathway and, thus, immune activation. PMID: 24944246
  39. PCAF participates in a regulatory mechanism in pancreatic neoplasm, binding to the BCL2 promoter and required for TGFbeta- and GLI1-stimulated gene expression. PMID: 24739390
  40. Study presents two dimeric structures of the PCAF acetyltransferase (HAT) domain; structural and biochemical studies indicate that PCAF appears to be a dimer in its functional Ada-Two-A containing complex complex. PMID: 24423233
  41. Our results suggest that truncated p300 proteins contribute to diffuse large B-cell lymphoma cell growth by affecting the expression of specific genes PMID: 24529102
  42. PCAF promotes cell apoptosis and functions as a hepatocellular carcinoma repressor through acetylating histone H4 and inactivating AKT signaling. PMID: 23981651
  43. These data unveil a p53/PCAF/Gli1 circuitry centered on PCAF that limits Gli1-enhanced mitogenic and prosurvival response. PMID: 24013724
  44. Decreased expression of nuclear p300 is associated with disease progression and worse prognosis of melanoma patients. PMID: 24098694
  45. polyQ-expanded ataxin-7 directly bound the Gcn5 catalytic core of SAGA while in association with its regulatory proteins, Ada2 and Ada3. PMID: 24129567
  46. HOXA10-PCAF association impairs embryo implantation by inhibiting ITGB3 protein expression in endometrial epithelial cells. PMID: 24037888
  47. Acetylation mediated by the p300/CBP-associated factor determines cellular energy metabolic pathways in cancer. PMID: 23591450
  48. CSB and PCAF play cooperative roles to establish the active state of rRNA genes by histone acetylation PMID: 23667505
  49. Data suggest that expression of p300 and interaction of p300/Sp1 (transcription factor Sp1) with HSD11B2 (hydroxysteroid [11-beta] dehydrogenase 2) promoter play crucial role in histone acetylation in syncytiotrophoblasts during placentation. PMID: 23714681
  50. TIP150-EB1 interaction governs kinetochore microtubule plus-end plasticity and establish that the temporal control of the TIP150-EB1 interaction by PCAF acetylation ensures chromosome stability in mitosis. PMID: 23595990

Show More

Hide All

Involvement in disease
Defects in KAT2B has been found in a patient with isolated coloboma, a defect of the eye characterized by the absence of ocular structures due to abnormal morphogenesis of the optic cup and stalk, and the fusion of the fetal fissure (optic fissure). Isolated colobomas may be associated with an abnormally small eye (microphthalmia) or small cornea.
Subcellular Location
Nucleus. Cytoplasm, cytoskeleton, microtubule organizing center, centrosome. Cytoplasm.
Protein Families
Acetyltransferase family, GCN5 subfamily
Tissue Specificity
Ubiquitously expressed but most abundant in heart and skeletal muscle. Also expressed in the skin, in keratinocytes (at protein level).
Database Links

HGNC: 8638

OMIM: 602303

KEGG: hsa:8850

STRING: 9606.ENSP00000263754

UniGene: Hs.533055

icon of phone
Call us
301-363-4651 (Available 9 a.m. to 5 p.m. CST from Monday to Friday)
icon of address
Address
7505 Fannin St., Ste 610, Room 7 (CUBIO Innovation Center), Houston, TX 77054, USA
icon of social media
Join us with

Subscribe newsletter

Leave a message

* To protect against spam, please pass the CAPTCHA test below.
CAPTCHA verification
© 2007-2025 CUSABIO TECHNOLOGY LLC All rights reserved. 鄂ICP备15011166号-1
×
Place an order now

I. Product details

*
*
*
*

II. Contact details

*
*

III. Ship To

*
*
*
*
*
*
*

IV. Bill To

*
*
*
*
*
*
*
*