KRT14 Recombinant Monoclonal Antibody

Code CSB-RA090368A0HU
Size US$210
Order now
Image
  • IHC image of CSB-RA090368A0HU diluted at 1:100 and staining in paraffin-embedded human tonsil tissue performed on a Leica BondTM system. After dewaxing and hydration, antigen retrieval was mediated by high pressure in a citrate buffer (pH 6.0). Section was blocked with 10% normal goat serum 30min at RT. Then primary antibody (1% BSA) was incubated at 4°C overnight. The primary is detected by a Goat anti-rabbit polymer IgG labeled by HRP and visualized using 0.05% DAB.
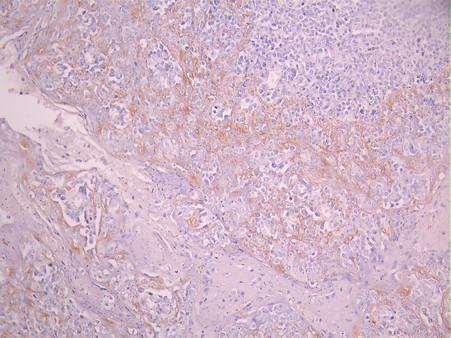
  • IHC image of CSB-RA090368A0HU diluted at 1:100 and staining in paraffin-embedded human cervical cancer performed on a Leica BondTM system. After dewaxing and hydration, antigen retrieval was mediated by high pressure in a citrate buffer (pH 6.0). Section was blocked with 10% normal goat serum 30min at RT. Then primary antibody (1% BSA) was incubated at 4°C overnight. The primary is detected by a Goat anti-rabbit polymer IgG labeled by HRP and visualized using 0.05% DAB.
  • Overlay Peak curve showing Hela cells stained with CSB-RA090368A0HU (red line) at 1:100. The cells were fixed in 4% formaldehyde and permeated by 0.2% TritonX-100 for 10min. Then 10% normal goat serum to block non-specific protein-protein interactions followed by the antibody (1ug/1*106cells) for 45min at 4℃. The secondary antibody used was FITC-conjugated goat anti-rabbit IgG (H+L) at 1/200 dilution for 35min at 4℃.Control antibody (green line) was Rabbit IgG (1ug/1*106cells) used under the same conditions. Acquisition of >10, 000 events was performed.
Have Questions? Leave a Message or Start an on-line Chat

Product Details

Uniprot No.
Target Names
Alternative Names
CK 14 antibody; CK-14 antibody; ck14 antibody; Cytokeratin 14 antibody; Cytokeratin-14 antibody; Cytokeratin14 antibody; Dowling Meara antibody; EBS3 antibody; EBS4 antibody; Epidermolysis bullosa simplex antibody; K14 antibody; K1C14_HUMAN antibody; Keratin 14 (epidermolysis bullosa simplex, Dowling-Meara, Koebner) antibody; Keratin 14 antibody; Keratin antibody; Keratin type I cytoskeletal 14 antibody; Keratin, type I cytoskeletal 14 antibody; Keratin-14 antibody; Keratin14 antibody; Koebner antibody; Krt 14 antibody; Krt14 antibody; NFJ antibody; OTTHUMP00000164624 antibody; type I cytoskeletal 14 antibody
Species Reactivity
Human
Immunogen
A synthesized peptide from human KRT14 protein
Immunogen Species
Homo sapiens (Human)
Conjugate
Non-conjugated
Clonality
Monoclonal
Isotype
Rabbit IgG
Clone No.
12B5
Purification Method
Affinity-chromatography
Concentration
It differs from different batches. Please contact us to confirm it.
Buffer
Rabbit IgG in 10mM phosphate buffered saline , pH 7.4, 150mM sodium chloride, 0.05% BSA, 0.02% sodium azide and 50% glycerol.
Form
Liquid
Tested Applications
ELISA, IHC, FC
Recommended Dilution
Application Recommended Dilution
IHC 1:50-1:200
FC 1:50-1:200
Troubleshooting and FAQs
Storage
Upon receipt, store at -20°C or -80°C. Avoid repeated freeze.
Lead Time
Basically, we can dispatch the products out in 1-3 working days after receiving your orders. Delivery time maybe differs from different purchasing way or location, please kindly consult your local distributors for specific delivery time.
Usage
For Research Use Only. Not for use in diagnostic or therapeutic procedures.

Customer Reviews and Q&A

 Customer Reviews

There are currently no reviews for this product.

Submit a Review here

Target Background

Function
The nonhelical tail domain is involved in promoting KRT5-KRT14 filaments to self-organize into large bundles and enhances the mechanical properties involved in resilience of keratin intermediate filaments in vitro.
Gene References into Functions
  1. High CK14 expression is associated with lymph node metastasis in oral squamous cell carcinoma. PMID: 30066921
  2. Efficient homology-directed repair of a dominant negative KRT14 mutation via CRISPR/Cas9 nickases in epidermolysis bullosa simplex patients' keratinocytes has been reported. PMID: 28888469
  3. Immunocytochemical staining using cocktail antibody targeting p63/CK14 was useful for the differential diagnosis of FA and DCIS in FNAC of the breast. PMID: 28685877
  4. the findings show that squamous and micropapillary bladder cancers have different expression patterns of CK14 and FOXA1 and suggest that they arise from distinct precursors. PMID: 28721490
  5. PADI4 contributes to gastric tumorigenesis by upregulating CXCR2, KRT14 and TNF-alpha expression. PMID: 27556695
  6. The novel c.1234A>G(p.Ile412Val) mutation of the KRT14 gene is probably responsible for the disease. PMID: 28777847
  7. Keratin14/p63-positive epithelial proliferations suggest benign breast disease. PMID: 28630050
  8. K14 was coexpressed with alphav-integrin in fetal and adult corneas and cultured corneolimbal epithelium, and colony-forming efficiency (an indicator of stem cell activity) was similar in cells from both sources. PMID: 26956898
  9. Loss of keratin 14 is associated with epidermolysis bullosa. PMID: 27798626
  10. contributes to collective invasion of salivary adenoid cystic carcinoma and may be a biomarker of worse prognosis PMID: 28152077
  11. vimentin regulates the differentiation switch via modulation of K5/K14 expression. Moreover, because there was a significant correlation between high vimentin-K14 expression and recurrence/poor survival in oral cancer patients, vimentin-K14 together may prove to be the novel markers for the prognostication of human oral cancer. PMID: 28225793
  12. We concluded that smoking habits were capable of inducing changes in global DNA methylation, miR-9-3 methylation status and K19 expression. PMID: 27543926
  13. data demonstrates that keratinocyte migration requires the interaction between vimentin and keratins at the -YRKLLEGEE- sequence at the helical 2B domain of viment PMID: 27072292
  14. findings reveal K14 as a key regulator of metastasis and establish the concept that K14(+) epithelial tumor cell clusters disseminate collectively to colonize distant organs PMID: 26831077
  15. all keratins tested, except for keratin 14, were evenly expressed in all trophoblast cells. Keratin 14 was expressed in a subset of CK7 positive cells PMID: 26430881
  16. report a family with a novel heterozygous missense mutation p.Leu418Gln in the KRT14 gene causing epidermolysis bullosa simplex with variable phenotype PMID: 24981776
  17. investigated a family in which 1 of 3 children was diagnosed with a localized form of epidermolysis bullosa simplex and there was no family history of blistering; results argue against parental somatic and germline mosaicism in the family and suggest the novel p.Val270Ala mutation in KRT14 also represents a de novo event which occurred in the proband PMID: 23774754
  18. KRT14 protein genetic mutation is a good indicator of disease progression in patient diagnosed with epidermolysis bullosa simplex. PMID: 25961909
  19. Analysis of K14 variants with single or multiple substitutions of cysteine residues points to a spatial and temporal hierarchy in how Cys-4/Cys-40 and Cys-367 regulate keratin assembly in vitro and filament dynamics in live keratinocytes PMID: 26216883
  20. BerEp4 alone is unreliable for differentiation between BCCm (basal cell carcinoma with squamous metaplasia) and bSCC (basaloid squamous cell carcinoma). The addition of either CK14 or CK17 will augment BCCm versus bSCC differential diagnosis. PMID: 24168496
  21. hypothesize a positive feedback model in which mutant (R125P) K14 triggers JNK signalling, leading to increased AP1-dependent expression of K14, which in turn amplifies JNK signalling further PMID: 23528216
  22. p53 acts as a co-repressor to down-regulate K14 expression by binding to SP1. PMID: 22911849
  23. p53 acts as a co-repressor to down-regulate K14 expression by binding to SP1 during epidermal cell differentiation. PMID: 22911849
  24. One isoform of p63, TAp63alpha, can activate an epidermal basal cell marker, keratin 14. PMID: 22577164
  25. Mutant K14-R125P filaments and/or networks in human keratinocytes are mechanically defective in their response to large-scale deformations. PMID: 22363617
  26. This study adds two more novel recessive mutations in this gene associated with epidermolysis bullosa simplex. This is the first occurence in a Mediterranean population. PMID: 21623745
  27. Fascin and CK14 are highly expressed in squamous cell carcinoma, compared with other histological types of carcinoma. PMID: 21223690
  28. keratin 14 functional knockout causes severe recessive epidermolysis bullosa simplex, and questions the haploinsufficiency model of Naegeli-Franceschetti-Jadassohn syndrome PMID: 21734713
  29. Mutation analysis of an epidermolysis bullosa simplex family revealed that affected individuals were heterozygous for a, to our knowledge, previously unreported mutation of c.1237G>C (p.Ala413Pro) in KRT14. PMID: 21593775
  30. heterozygous G to A transition was found at nucleotide postion 1231 in exon 6 of KRT14 in family with epidermolysis bullosa simplex, generalized PMID: 21413954
  31. autoantibodies in Scurfy mice and patients with IPEX target keratin 14 PMID: 20147963
  32. analysis of a keratin 14 hotspot mutation in the Dowling-Meara type of epidermolysis bullosa simplex PMID: 19854623
  33. new heterozygous amino acid substitution polymorphism in the variable keratin 14 N-terminal head domain (KRT14:c.88C>T, p.Arg30Cys) PMID: 19797037
  34. A spontaneous CD8 T cell-dependent autoimmune disease to an antigen expressed under the human keratin 14 promoter. PMID: 12165543
  35. Three novel KRT14 mutations identified in 9 Epidermolysis bullosa simplex patients. PMID: 12655565
  36. investigated novel KRT14 missense mutations in epidermolysis bullosa simplex in a cellular expression system in order to analyse their effects on the keratin cytoskeleton PMID: 12930305
  37. Keratin 14 has a role in binding to TNFalpha receptor-associated death domain (TRADD), and in susceptibility of keratinocytes to caspase-8-mediated apoptosis PMID: 14660619
  38. novel recessive missense mutation in epidermolysis bullosa simplex PMID: 15654986
  39. Novel mutations within KRT14 are associated with epidermolysis bullosa simplex. PMID: 16786515
  40. Heterozygous nonsense or frameshift mutations in KRT14 were found to segregate with Naegeli-Franceschetti-Jadassohn syndrome or dermatopathia pigmentosa reticularis trait in five families. PMID: 16960809
  41. These studies provide a potential mechanism by which deltaNp63 directly governs the expression of K14 in a keratinocyte-specific manner. PMID: 17159913
  42. study presents a missense mutation in exon 1 of K14, R125C, identified in the affected individuals of a Chinese family with epidermolysis bullosa simplex-Dowling-Meara (EBS-DM) PMID: 17659012
  43. Better basal gene expression was observed by co-cultured respiratory epithelial cells compared to dispase dissociated cells. PMID: 17891046
  44. K14 and K16 were detected in the tumour cells, suggesting differentiation towards the outer root sheath beneath the orifice of the sebaceous duct. PMID: 18005116
  45. Naegeli-Franceschetti-Jadassohn syndrome results from haploinsufficiency for K14 and increased susceptibility of keratinocytes to pro-apoptotic signals may be involved in the pathogenesis of this ectodermal dysplasia syndrome PMID: 18049449
  46. Transgenic mice were generated using the keratin-14 promoter/enhancer to direct expression of wild-type human CXCR2 (K14hCXCR2 WT) or mutant CXCR2. PMID: 18505935
  47. expression of human K14 initiates squamous differentiation program in the mouse lung, but fails to promote squamous maturation PMID: 18701433
  48. Including the present case, 8 of the 13 families have the R125C or R125H mutation; eight have mutations in KRT14, and five have mutations in KRT5 PMID: 18717745
  49. Cataracts in transgenic mice caused by a human papillomavirus type 18 E7 oncogene driven by KRT1-14 are reported. PMID: 18723014
  50. Infection by HPV may alter the differentiation status of the epidermis, leading to a major expression of cytokeratin 14 PMID: 19515043

Show More

Hide All

Involvement in disease
Epidermolysis bullosa simplex, Dowling-Meara type (DM-EBS); Epidermolysis bullosa simplex, Weber-Cockayne type (WC-EBS); Epidermolysis bullosa simplex, Koebner type (K-EBS); Epidermolysis bullosa simplex, autosomal recessive 1 (EBSB1); Naegeli-Franceschetti-Jadassohn syndrome (NFJS); Dermatopathia pigmentosa reticularis (DPR)
Subcellular Location
Cytoplasm. Nucleus. Note=Expressed in both as a filamentous pattern.
Protein Families
Intermediate filament family
Tissue Specificity
Expressed in the corneal epithelium (at protein level). Detected in the basal layer, lowered within the more apically located layers specifically in the stratum spinosum, stratum granulosum but is not detected in stratum corneum. Strongly expressed in the
Database Links

HGNC: 6416

OMIM: 125595

KEGG: hsa:3861

STRING: 9606.ENSP00000167586

UniGene: Hs.654380

icon of phone
Call us
301-363-4651 (Available 9 a.m. to 5 p.m. CST from Monday to Friday)
icon of address
Address
7505 Fannin St., Ste 610, Room 7 (CUBIO Innovation Center), Houston, TX 77054, USA
icon of social media
Join us with

Subscribe newsletter

Leave a message

* To protect against spam, please pass the CAPTCHA test below.
CAPTCHA verification
© 2007-2025 CUSABIO TECHNOLOGY LLC All rights reserved. 鄂ICP备15011166号-1
×
Place an order now

I. Product details

*
*
*
*

II. Contact details

*
*

III. Ship To

*
*
*
*
*
*
*

IV. Bill To

*
*
*
*
*
*
*
*