LGMN Recombinant Monoclonal Antibody

Code CSB-RA230782A0HU
Size US$210
Order now
Image
  • Immunocytochemical staining of Hela cells with Legumain antibody. Nuclei were stained blue with DAPI; Legumain was stained magenta with Alexa Fluor® 647. Images were taken using Leica stellaris 5. Protein abundance based on laser Intensity and smart gain: Medium. Scale bar, 20 μm.
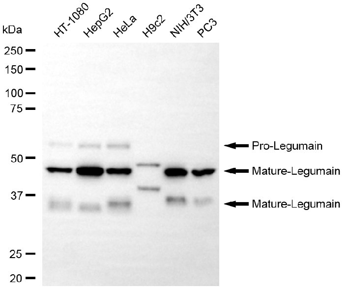
  • Western blotting analysis using legumain antibody. Total cell lysates (30 μg) from various cell lines were loaded and separated by SDS-PAGE. The blot was incubated with legumain antibody and HRP-conjugated goat anti-rabbit secondary antibody respectively.
Have Questions? Leave a Message or Start an on-line Chat

Product Details

Uniprot No.
Target Names
Alternative Names
LGMN; Legumain; LGMN1; PRSC1; Protease, Cysteine, 1 (Legumain); Asparaginyl Endopeptidase; Protease, Cysteine 1; EC 3.4.22.34; AEP; Cysteine Protease 1
Species Reactivity
Human, Mouse, Rat
Immunogen
Recombinant Human LGMN protein
Immunogen Species
Homo sapiens (Human)
Conjugate
Non-conjugated
Clonality
Monoclonal
Isotype
Rabbit IgG
Clone No.
12C11
Purification Method
Affinity-chromatography
Concentration
It differs from different batches. Please contact us to confirm it.
Buffer
Rabbit IgG in PBS (pH 7.4) containing 50% glycerol, and 0.02% sodium azide.
Form
Liquid
Tested Applications
ELISA, WB, ICC
Recommended Dilution
Application Recommended Dilution
WB 1:1000-1:5000
ICC 1:100-1:1000
Troubleshooting and FAQs
Storage
Upon receipt, store at -20°C or -80°C. Avoid repeated freeze.
Lead Time
Basically, we can dispatch the products out in 1-3 working days after receiving your orders. Delivery time maybe differs from different purchasing way or location, please kindly consult your local distributors for specific delivery time.
Usage
For Research Use Only. Not for use in diagnostic or therapeutic procedures.

Customer Reviews and Q&A

 Customer Reviews

There are currently no reviews for this product.

Submit a Review here

Target Background

Function
Has a strict specificity for hydrolysis of asparaginyl bonds. Can also cleave aspartyl bonds slowly, especially under acidic conditions. Required for normal lysosomal protein degradation in renal proximal tubules. Required for normal degradation of internalized EGFR. Plays a role in the regulation of cell proliferation via its role in EGFR degradation. May be involved in the processing of proteins for MHC class II antigen presentation in the lysosomal/endosomal system.
Gene References into Functions
  1. Studies identified Legumain (LGMN) as a new target which is highly expressed in the tumor microenvironment and in tumor cells. [review] PMID: 27993111
  2. our results suggest that M2 tumour-associated macrophages affect degradation of the extracellular matrix and angiogenesis via overexpression of legumain, and therefore play an active role in the progression of DLBCL. PMID: 27464733
  3. Legumain regulates oxLDL-induced macrophage apoptosis by enhancing the autophagy pathway. PMID: 29414692
  4. MiRNA-3978 regulates peritoneal gastric cancer metastasis by targeting legumain expression, promoting cell migration/neoplasm invasiveness. PMID: 27793040
  5. These results showed that Asparaginyl endopeptidase could promote invasion and metastasis by modulating epithelial-to-mesenchymal transition. PMID: 27102302
  6. Our data suggest that altered proteolytic activity of legumain in the bone microenvironment contributes to decreased bone mass in postmenopausal osteoporosis. PMID: 28162997
  7. Legumain is increased in both plasma and plaques of patients with carotid stenosis and might be a new and early biomarker of atherosclerosis. PMID: 27940038
  8. Data suggest that melanoma cells internalize/absorb cystatin C from culture media, leading to increased intracellular cystatin C levels; cystatin E/M is internalized as well but at modest rate due to down-regulation of cell migration; however, the effect of intracellular cystatin E/M on down-regulation of legumain activity is pronounced. PMID: 28630039
  9. AEP is activated and cleaves human alpha-synuclein at N103 in an age-dependent manner. PMID: 28671665
  10. AEP promotes activation of the PI3K-AKT signaling pathway in prostate cancer cells. PMID: 27590439
  11. upregulation of legumain is associated with malignant behavior of uveal melanoma. PMID: 26846877
  12. Studies indicate that legumain, usually in lysosomes, is also found extracellularly and even translocates to the cytosol and the nucleus. PMID: 26403494
  13. legumain might play an important role in cervical cancer cell migration and invasion. PMID: 26802645
  14. Legumain appears to be involved in tumor development and deterioration. PMID: 26607955
  15. AEP acts as a delta-secretase, cleaving APP at N373 and N585 residues, selectively influencing the amyloidogenic fragmentation of APP. AEP contributes to the age-dependent pathogenic mechanisms in Alzheimer disease. PMID: 26549211
  16. High legumain expression is associated with breast cancer. PMID: 25605174
  17. This unique feature was confirmed by the crystal structure of AEPpH4.5 (AEP was matured at pH 4.5 and crystallized at pH 8.5), in which the broken peptide bonds were religated and the structure was transformed back to its proenzyme form. PMID: 24407422
  18. High legumain activity is associated with breast cancer. PMID: 24742492
  19. AEP acts as a crucial mediator of tau-related clinical and neuropathological changes. PMID: 25326800
  20. Identified an alternative oncogenic pathway for TRAF6 that uses AEP as its substrate. AEP and TRAF6 protein levels may have prognostic implications in breast cancer patients. Thus, AEP may serve as a biomarker as well as new therapeutic target PMID: 24610907
  21. the relationship among Legumain expression, clinicopathologic, biological variables and patient prognosis in gastric carcinoma PMID: 24023813
  22. HCT116 cells were transfected with p53 siRNA and the effect of knockdown of p53 expression on legumain expression was examined. The results showed that expression levels of both legumain mRNA and protein were decreased in the siRNA-treated cells. PMID: 23942113
  23. Prostate cancer with a vesicular staining pattern of legumain had the potential of being highly invasive and aggressive in patients treated with radical prostatectomy. This suggests that legumain might contribute to the invasiveness and aggressiveness. PMID: 23124822
  24. The multibranched and context-dependent activation process of legumain illustrates how proteases can act not only as signal transducers but as decision makers. PMID: 23776206
  25. Involvement of brain acidosis in the etiopathogenesis of Alzheimer disease, and the asparaginyl endopeptidase-I2(PP2A)-protein phosphatase 2A-Tau hyperphosphorylation pathway. PMID: 23640887
  26. glycosaminoglycans accelerated the autocatalytic activation of prolegumain PMID: 23160071
  27. In the HCT116 and SW620 cell lines nuclear Data indicate that legumain was found to make up approximately 13% and 17% of the total legumain, respectively. PMID: 23326369
  28. Data show a regulatory role of cystatin E/M in controlling both intra- and extracellular legumain activity. PMID: 22902879
  29. TDP-43 is cleaved by AEP in brain. PMID: 22718532
  30. Increased legumain expression was validated by real-time PCR and Western blots, correlated positively with an increased malignancy of ovarian tumors. PMID: 22441772
  31. Accepting asparagines and, to lesser extent, aspartic acid in P1, super-activated legumain exhibits a marked pH dependence that is governed by the P1 residue of its substrate and conformationally stabilizing factors such as temperature or ligands PMID: 22232165
  32. GARP is a key receptor controlling FOXP3 in T(reg) cells following T-cell activation in a positive feedback loop assisted by LGALS3 and LGMN PMID: 19453521
  33. The Lgmn can serve as novel target in diabetes mellitus genetic therapy. PMID: 20536387
  34. the level of cystatin E/M regulates legumain activity and hence the invasive potential of human melanoma cells PMID: 20074384
  35. Legumain is expressed in both murine and human atherosclerotic lesions, may play a functional role in atherogenesis PMID: 18377911
  36. human monocyte-derived dendritic cells harbor inactive proforms of AEP (legumain) that become activated upon maturation of dendritic cells with lipopolysaccharide PMID: 12860980
  37. Freshly isolated human B lymphocytes lack significant asparagine-specific endoprotease (AEP/legumain) activity; cleavage by AEP is dispensable for proteolytic processing of myelin basic protein in this type of cell. PMID: 15100291
  38. Increased legumain expression is associated with primary colorectal cancer PMID: 15788679
  39. AEP may be a proteinases activated by acidosis triggering neuronal injury during neuroexcitotoxicity or ischemia. PMID: 18374643

Show More

Hide All

Subcellular Location
Lysosome.
Protein Families
Peptidase C13 family
Tissue Specificity
Ubiquitous. Particularly abundant in kidney, heart and placenta.
Database Links

HGNC: 9472

OMIM: 602620

KEGG: hsa:5641

STRING: 9606.ENSP00000334052

UniGene: Hs.18069

icon of phone
Call us
301-363-4651 (Available 9 a.m. to 5 p.m. CST from Monday to Friday)
icon of address
Address
7505 Fannin St., Ste 610, Room 7 (CUBIO Innovation Center), Houston, TX 77054, USA
icon of social media
Join us with

Subscribe newsletter

Leave a message

* To protect against spam, please pass the CAPTCHA test below.
CAPTCHA verification
© 2007-2025 CUSABIO TECHNOLOGY LLC All rights reserved. 鄂ICP备15011166号-1
×
Place an order now

I. Product details

*
*
*
*

II. Contact details

*
*

III. Ship To

*
*
*
*
*
*
*

IV. Bill To

*
*
*
*
*
*
*
*