MPO Recombinant Monoclonal Antibody

Code CSB-RA06899MA1HU
Size US$210
Order now
Image
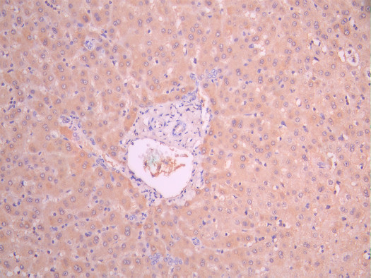
  • IHC image of CSB-RA06899MA1HU diluted at 1:50 and staining in paraffin-embedded human liver tissue performed on a Leica BondTM system. After dewaxing and hydration, antigen retrieval was mediated by high pressure in a citrate buffer (pH 6.0). Section was blocked with 10% normal goat serum 30min at RT. Then primary antibody (1% BSA) was incubated at 4°C overnight. The primary is detected by a Anti-Human lgG, Fcy Fragment Specific labeled by HRP and visualized using 0.05% DAB.
  • Overlay Peak curve showing HL60 cells stained with CSB-RA06899MA1HU (red line) at 1:100. The cells were fixed in 4% formaldehyde and permeated by 0.2% TritonX-100 for 10min. Then 10% normal goat serum to block non-specific protein-protein interactions followed by the antibody (1ug/1*106cells) for 45min at 4℃. The secondary antibody used was Fluorescein (FITC) AffiniPure Goat Anti-Human IgG, Fcγ fragment specific at 1:200 dilution for 35 min at 4℃.Control antibody (green line) was human IgG1 (1ug/1*106cells) used under the same conditions. Acquisition of >10,000 events was performed.
Have Questions? Leave a Message or Start an on-line Chat

Product Details

Uniprot No.
Target Names
Alternative Names
84 kDa myeloperoxidase antibody; 89 kDa myeloperoxidase antibody; EC 1.11.1.7 antibody; EC1.11.2.2 antibody; fj80f04 antibody; MPO antibody; mpx antibody; myeloid-specific peroxidase antibody; Myeloperoxidase antibody; Myeloperoxidase heavy chain antibody; Myeloperoxidase light chain antibody; PERM_HUMAN antibody; wu:fj80f04 antibody
Species Reactivity
Human
Immunogen
Recombinant Human MPO protein
Immunogen Species
Homo sapiens (Human)
Conjugate
Non-conjugated
Clonality
Monoclonal
Isotype
hIgG1
Clone No.
11C10
Purification Method
Affinity-chromatography
Concentration
It differs from different batches. Please contact us to confirm it.
Buffer
Preservative: 0.03% Proclin 300
Constituents: 50% Glycerol, 0.01M PBS, PH 7.4
Form
Liquid
Tested Applications
ELISA, IHC, FC
Recommended Dilution
Application Recommended Dilution
IHC 1:50-1:200
FC 1:50-1:200
Troubleshooting and FAQs
Storage
Upon receipt, store at -20°C or -80°C. Avoid repeated freeze.
Lead Time
Basically, we can dispatch the products out in 1-3 working days after receiving your orders. Delivery time maybe differs from different purchasing way or location, please kindly consult your local distributors for specific delivery time.
Usage
For Research Use Only. Not for use in diagnostic or therapeutic procedures.

Customer Reviews and Q&A

 Customer Reviews

There are currently no reviews for this product.

Submit a Review here

Target Background

Function
Part of the host defense system of polymorphonuclear leukocytes. It is responsible for microbicidal activity against a wide range of organisms. In the stimulated PMN, MPO catalyzes the production of hypohalous acids, primarily hypochlorous acid in physiologic situations, and other toxic intermediates that greatly enhance PMN microbicidal activity.
Gene References into Functions
  1. findings indicate that cyanide is a substrate for MPO and suggest an additional pathway for in vivo cyanate formation and protein carbamylation that involves MPO either directly or via its reaction products hypochlorous acid or chloramines. They also suggest that chronic cyanide exposure could promote the accumulation of carbamylated proteins in atherosclerotic plaques. PMID: 29496995
  2. These results indicate significant increases of MPO-immunoreactive cells in brain regions affected by neurodegeneration in Parkinson's disease and Alzheimer's Disease. PMID: 28466093
  3. Evidence has been presented for FN modification by inflammatory oxidants, and particularly myeloperoxidase (MPO)-derived species including hypochlorous acid (HOCl). Studies using primary human coronary artery smooth muscle cells show that exposure to HOCl-modified FN, results in decreased adherence, increased proliferation and altered expression of genes involved in extracellular matrix synthesis and remodelling. PMID: 30237127
  4. MPO -463G > A was not associated with chronic kidney disease (CKD) susceptibility in recessive model and homozygote comparison. Owing to insufficient data, the association between MPO -463G > A and CKD cannot be fully confirmed. [meta-analysis] PMID: 30278820
  5. data suggest that the decomposition of dimeric MPO into monomers can serve as a regulatory mechanism that controls MPO-dependent activation of neutrophils and reduces the proinflammatory effects of MPO. PMID: 29585927
  6. High MPO expression is associated with cardiometabolic risk factors, and distal sensorimotor polyneuropathy. PMID: 29577557
  7. Our results suggest that the presence of MPO polymorphism, -463 G>A in patients might offer them protection against cervical cancer. PMID: 29937309
  8. Results found that myeloperoxidase genes is up-regulated in both overweight and obese subjects and associated with BMI and markers of cardiovascular disease. PMID: 30056589
  9. Myeloperoxidase -463 G/A polymorphism is associated with lung cancer risk. PMID: 29970677
  10. MPO gene SNP (rs2107545) was associated with type 2 diabetes mellitus susceptibility in Chinese Han population. PMID: 29383971
  11. Myeloperoxidase serum level in stable coronary disease is predicitve of the risk of acute coronary syndrome. PMID: 29618370
  12. According to results, MPO G+ genotype and AG genotype were significantly increased in endometrial carcinoma patients as compared to controls. PMID: 29631687
  13. The level of myeloperoxidase in plasma of patients with acute myocardial infarction depends on the functional state of neutrophils. PMID: 29975476
  14. Glycosylation critically determines the enzymatic activity of MPO. Deglycosylation decreased oxidation activity of MPO and its binding with ceruloplasmin and decreased the microbicidal effect of MPO. Deglycosylated MPO presented less antigenicity to MPO-ANCA. PMID: 27643667
  15. Maternal myeloperoxidase activity was similar in both neural tube defect-affected pregnancies and healthy controls. PMID: 28397206
  16. Data show that pro-myeloperoxidase (pro-MPO) was more frequently detected in plasma from patients with myocardial infarction compared to plasma from control donors. PMID: 29590135
  17. Increased MPO indexed to HDL particle concentration (MPO/HDLp) at baseline is associated with increased risk of incident cardiovascular disease events. PMID: 28645072
  18. Evidence was sufficient to show the association between MPO-463G > A polymorphism and cancer risk.[meta-analysis] PMID: 28764808
  19. Aberrant glycosylated MPO exposed neo-epitopes and was recognized by half of the patients with anti-GBM disease. Their antibodies possessed pathogenic characteristics and may be associated with kidney injury. PMID: 28187981
  20. Data suggest that increased serum anti-MPO antibody levels are associated with retinal photoreceptor ellipsoid zone disruption and decreased visual acuity in diabetic retinopathy in patients with type 2 diabetes. This study was conducted in India. PMID: 28279572
  21. MPO concentrations showed positive correlations with sCD40L, ADMA, and sICAM-1 levels in overweight patients with newly diagnosed untreated hyperlipidaemia. PMID: 28602123
  22. This study revealed that epistatic interaction among the ALOX5, ALOX5AP and MPO genes played a significant role in vulnerability to ischemic stroke. PMID: 29041000
  23. Osteopontin, neopterin, and myeloperoxidase were independently associated with the risk of recurrent stroke and improved risk classification when added to a clinical risk algorithm PMID: 29114094
  24. peroxidase enzymes, like MPO and EPO, may play a fundamental role in inhibiting RANKL-induced osteoclast differentiation at inflammatory sites of bone fracture and injury. PMID: 27836774
  25. MPO complexed with HLA class II molecules is involved in the pathogenesis of MPA as a target for MPO-ANCA. PMID: 28575531
  26. PIC1 inhibits the peroxidase activity of myeloperoxidase in Cystic fibrosis sputum likely via an antioxidant mechanism. PMID: 28135312
  27. In absence of CALR, immature MPO protein precursors are degraded in the proteasome. PMID: 27013444
  28. Meta-analysis suggested an association between the MPO 463G/A polymorphism and the risk of coronary artery disease, but there is no significant association between the MPO 129G/A gene polymorphism and coronary artery disease risk. PMID: 28682877
  29. Both MPO and EPO are causatively involved in breast cancer progression and identified as potential therapeutic targets whereby specific novel inhibitors may reduce tumor growth and limit the occurrence of metastasis. PMID: 28260049
  30. Although IgA anti-MPO antibodies are detectable in some patients with eosinophilic granulomatosis with polyangiitis and may be detectable more frequently during active disease, their presence seems unlikely to provide information beyond what is obtained from conventional IgG anti-MPO. PMID: 28281453
  31. Clinical manifestations varied ANCA-associated vasculitis categories, and neither MPO-ANCA nor PR3-ANCA significantly affected relapse of AAV. PMID: 28339364
  32. MPO levels were higher in those patients infected with H. pylori irrespective of the virulence factors than those uninfected patients. PMID: 27048452
  33. The present study determined that ARE, CLP, CAT, and MPO levels are different between the pediatric patients with sepsis and healthy controls. ARE level can be a potent biomarker for sepsis in critical patients in intensive care units. PMID: 28167245
  34. Studies of the mutants C158A, C319A, and C158A/C319A demonstrated significant differences from the wild-type protein, including diminished enzymatic activity and prevention of export to the Golgi due to prolonged association with the chaperone calnexin. These structural and functional findings provide novel insights into MPO biosynthesis and processing. PMID: 28348079
  35. Consistent with these in vitro data, in diabetic rat aortas, both MPO expresion and NADPH oxidase activity were increased while the endothelial function was simultaneously impaired. The results suggested that vascular-bound MPO could amplify high glucose-induced vascular injury in diabetes. MPO-NADPH oxidase-HOCl may represent an important pathogenic pathway in diabetic vascular diseases. PMID: 28131839
  36. Patients with active disease demonstrated hypomethylation of myeloperoxidase and proteinase 3 and increased expression of the autoantigens; in remission, DNA methylation generally increased PMID: 27821628
  37. Myeloperoxidase-oxidized high density lipoprotein impairs atherosclerotic plaque stability by inhibiting smooth muscle cell migration. PMID: 28069011
  38. The roles of myeloperoxidase in coronary artery disease [review] PMID: 27884085
  39. Study shows that MPO and PRTN3 in neutrophils of Anti-neutrophil cytoplasmic autoantibody (ANCA)-associated vasculitis (AAV) patients with active disease have a distinct pattern of histone modifications, which implicates epigenetic mechanisms in regulating expression of autoantigen genes and suggests that the epigenome may be involved in AAV pathogenesis. PMID: 27752292
  40. Data suggest that the system of MPO/hydrogen peroxide/chloride ions exhibits activity able to oxidize dibromoacetonitrile, a by-product of water treatment/disinfection and potential carcinogen, to cyanide, a known poison. PMID: 25614581
  41. Compared with the commercial human MPO ELISA assay, the MPO-ISA can be used to detect the natural human MPO protein, but not recombinant MPO polypeptides. The generated mAbs and MPO-ISA test may be useful tools to assess risk for inflammation and cardiac events PMID: 26978734
  42. The MPO gene -463G/A polymorphism is associated with Coronary Artery Disease risk, especially within the Chinese population. PMID: 28328864
  43. Study demonstrated that the MPO -463G>A SNP may protect from cervical squamous cell carcinoma in women from Polish Caucasian populations. PMID: 27197583
  44. The collected data showed a correlation between the occurrence of superimposed thrombosis in respiratory infection patients, and the intensity of the inflammatory process, reflected by the increased MPO activity, and the dynamics of LpPLA2 and VEGF. PMID: 27928450
  45. results suggest that the acute inflammatory response induced by thermal injury involves activation of neutrophils and is accompanied by MPO release into the plasma. MPO-mediated modification of serum albumin induces its capacity to prime neutrophils and thus to enhance further inflammatory reaction. PMID: 27797335
  46. The difference in MPO between women with abnormal and normal menstrual cycles and the upregulation of MPO before ovulation suggest that neutrophils and MPO are closely related to ovulation. PMID: 28013526
  47. The results suggest that G allele of Myeloperoxidase -463G>A polymorphism is a potential genetic marker for Kawasaki disease risk in Taiwanese children. PMID: 26066543
  48. Genetic polymorphisms in eNOS, catalase and myeloperoxidase and their significance in a cohort of Turkish prostate cancer patients. PMID: 27706591
  49. ANCA affinity was associated with the in vivo formation of neutrophil extracellular traps, which might be involved in the pathophysiology of patients with MPO-ANCA-associated microscopic polyangiitis. PMID: 26833773
  50. Study demonstrated the possibility of biodegradation of fullerene molecule using the human neutrophil enzyme myeloperoxidase, which leads to the formation of non-aromatic compounds and to the loss of the fullerene molecule topology PMID: 28058679

Show More

Hide All

Involvement in disease
Myeloperoxidase deficiency (MPOD)
Subcellular Location
Lysosome.
Protein Families
Peroxidase family, XPO subfamily
Database Links

HGNC: 7218

OMIM: 254600

KEGG: hsa:4353

STRING: 9606.ENSP00000225275

UniGene: Hs.458272

CUSABIO guaranteed quality
icon of phone
Call us
301-363-4651 (Available 9 a.m. to 5 p.m. CST from Monday to Friday)
icon of address
Address
7505 Fannin St., Ste 610, Room 7 (CUBIO Innovation Center), Houston, TX 77054, USA
icon of social media
Join us with

Subscribe newsletter

Leave a message

* To protect against spam, please pass the CAPTCHA test below.
CAPTCHA verification
© 2007-2025 CUSABIO TECHNOLOGY LLC All rights reserved. 鄂ICP备15011166号-1
×
Place an order now

I. Product details

*
*
*
*

II. Contact details

*
*

III. Ship To

*
*
*
*
*
*
*

IV. Bill To

*
*
*
*
*
*
*
*