MYH11 Recombinant Monoclonal Antibody

Code CSB-RA246457A0HU
Size US$210
Order now
Image
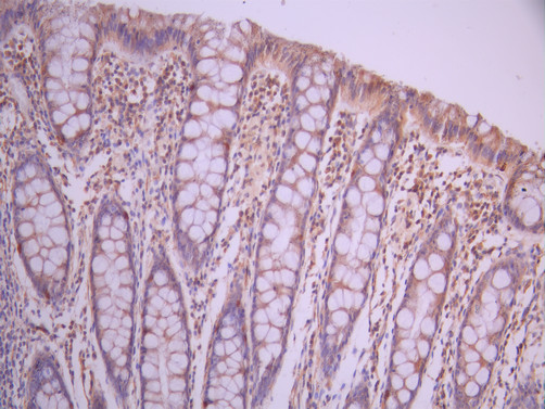
  • IHC image of CSB-RA246457A0HU diluted at 1:100 and staining in paraffin-embedded human small intestine tissue performed on a Leica BondTM system. After dewaxing and hydration, antigen retrieval was mediated by high pressure in a citrate buffer (pH 6.0). Section was blocked with 10% normal goat serum 30min at RT. Then primary antibody (1% BSA) was incubated at 4°C overnight. The primary is detected by a Goat anti-rabbit polymer IgG labeled by HRP and visualized using 0.05% DAB.
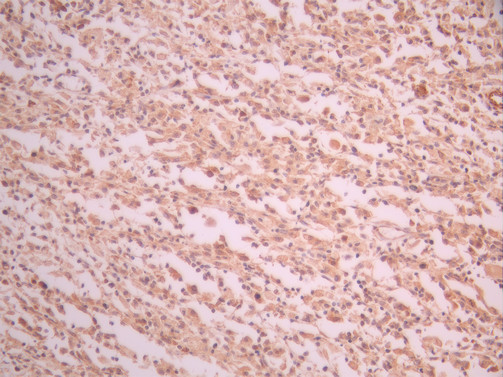
  • IHC image of CSB-RA246457A0HU diluted at 1:100 and staining in paraffin-embedded human cervical cancer performed on a Leica BondTM system. After dewaxing and hydration, antigen retrieval was mediated by high pressure in a citrate buffer (pH 6.0). Section was blocked with 10% normal goat serum 30min at RT. Then primary antibody (1% BSA) was incubated at 4°C overnight. The primary is detected by a Goat anti-rabbit polymer IgG labeled by HRP and visualized using 0.05% DAB.
Have Questions? Leave a Message or Start an on-line Chat

Product Details

Uniprot No.
Target Names
Alternative Names
AAT4 antibody; DKFZp686D10126 antibody; DKFZp686D19237 antibody; FAA4 antibody; FLJ35232 antibody; MGC126726 antibody; MGC32963 antibody; MYH 11 antibody; MYH11 antibody; MYH11_HUMAN antibody; Myosin 11 antibody; Myosin heavy chain 11 antibody; Myosin heavy chain 11 smooth muscle antibody; Myosin heavy chain antibody; Myosin heavy chain smooth muscle isoform antibody; Myosin heavy polypeptide 11 smooth muscle antibody; Myosin-11 antibody; SMHC antibody; SMMHC antibody; smooth muscle isoform antibody; Smooth muscle myosin heavy chain 11 isoform SM2 antibody; Smooth muscle myosin heavy chain isoform SM2 antibody
Species Reactivity
Human
Immunogen
A synthesized peptide from human MYH11 protein
Immunogen Species
Homo sapiens (Human)
Conjugate
Non-conjugated
Clonality
Monoclonal
Isotype
Rabbit IgG
Clone No.
22H10
Purification Method
Affinity-chromatography
Concentration
It differs from different batches. Please contact us to confirm it.
Buffer
Rabbit IgG in 10mM phosphate buffered saline , pH 7.4, 150mM sodium chloride, 0.05% BSA, 0.02% sodium azide and 50% glycerol.
Form
Liquid
Tested Applications
ELISA, IHC
Recommended Dilution
Application Recommended Dilution
IHC 1:50-1:200
Troubleshooting and FAQs
Storage
Upon receipt, store at -20°C or -80°C. Avoid repeated freeze.
Lead Time
Basically, we can dispatch the products out in 1-3 working days after receiving your orders. Delivery time maybe differs from different purchasing way or location, please kindly consult your local distributors for specific delivery time.
Usage
For Research Use Only. Not for use in diagnostic or therapeutic procedures.

Customer Reviews and Q&A

 Customer Reviews

There are currently no reviews for this product.

Submit a Review here

Target Background

Function
Muscle contraction.
Gene References into Functions
  1. the presented study demonstrates that CBFB-MYH11-based MRD status during the first 3 months after allo-HCT, but not KIT mutations, can be used to identify patients with a high risk of relapse. PMID: 27650511
  2. In patients with MYH11 or ACTA2 variants, the effect of intronic variants on splicing was demonstrated on the mRNA level in the induced smooth muscle cell (SMC), allowing classification into pathogenic or nonpathogenic variants. PMID: 28074631
  3. Deletion mutation in MYH11 gene causing familial Thoracic aortic dissection was identified in two independent Japanese pedigrees. PMID: 26056961
  4. Data suggest that expression of MYH11, myosin light chain, and MLCK (myosin-light-chain kinase), is up-regulated in uterine myoma as compared to adjacent smooth muscle cells; expression of MYH11 appears to be involved in cell proliferation. PMID: 25181625
  5. In familial AAA we found one pathogenic and segregating variant (COL3A1 p.Arg491X), one likely pathogenic and segregating (MYH11 p.Arg254Cys), and fifteen VUS. PMID: 26017485
  6. CBFB contributes to the transcriptional regulation of ribosomal gene expression and provide further understanding of the epigenetic role of CBFB-SMMHC in proliferation and maintenance of the leukemic phenotype. PMID: 25079347
  7. we report a novel hypomethylation pattern, specific to CBFB-MYH11 fusion resulting from inv(16) rearrangement in acute myeloid leukemia the expression of which correlated with PBX3 differential methylation PMID: 25266220
  8. overexpression of MYH11 can lead to increased ER stress and autophagy PMID: 24711452
  9. MYH11 gene mutation is associated with family history of thoracic aortic aneurysm dissection. PMID: 24921172
  10. Transcriptional analysis revealed that upon fusion protein knockdown, a small subset of the CBFbeta-MYH11 target genes show increased expression, confirming a role in transcriptional repression PMID: 24002588
  11. MYH11 mutations are rare and are identified in patients with thoracic aortic aneurysm/dissection. PMID: 21937134
  12. Incomplete segregation of MYH11 variants with thoracic aortic aneurysms and dissections and patent ductus arteriosus. PMID: 22968129
  13. We conclude that non-type A CBFB-MYH11 fusion types associate with distinct clinical and genetic features, including lack of KIT mutations, and a unique gene-expression profile in acute myeloid leukemia PMID: 23160462
  14. Our data indicate that the CBFbeta-SMMHC's C-terminus is essential to induce embryonic hematopoietic defects and leukemogenesis. PMID: 23152542
  15. A rare variant in MYH11, R247C, alters myosin contractile function and smooth muscle cell phenotype, leading to increased proliferation in vitro and in response to vascular injury. PMID: 22511748
  16. Data show that homozygous and compound heterozygous changes found in PLOD1 and SLC2A10 may confer autosomal recessive effects, and three MYH11, ACTA2 and COL3A1 heterozygous variants were considered as putative pathogenic gene alterations. PMID: 22001912
  17. increased MYH11 expression was found in aortic tissues from TAAD patients with 16p13.1 duplications compared with control aortas. PMID: 21698135
  18. Data show that the purified hMDCs cultured in SMIM for 4 weeks and expressed significant amount of smooth muscle myosin heavy chain and alpha-smooth muscle actin. PMID: 20132408
  19. Data suggest that that hASMCs contain a significant pool of functional SMM in the 10S conformation that can assemble into filaments upon changing cellular conditions. PMID: 21205888
  20. CBFB-MYH11 rearrangement is associated with acute myeloid leukemia. PMID: 20508610
  21. leukemogenic fusion gene (with Cbfb) plays a role in hematopoiesis PMID: 12239155
  22. Plag1 and Plagl2 are novel leukemia oncogenes that act by expanding hematopoietic progenitors expressing CbF beta-SMMHC. PMID: 15585652
  23. Human MYH11 gene mutations provide the first example of a direct change in a specific smooth muscle cell protein leading to an inherited arterial diseases PMID: 16444274
  24. Detection of acute myeloid leukemic cells that are characterized by a CBFB-MYH11 gene fusion. PMID: 16502584
  25. These observations suggest that when abdominal GS is diagnosed, an analysis of the CBFB/MYH11 fusion gene is necessary to make an appropriate decision regarding treatment options, even if no chromosomal abnormalities are found. PMID: 16504290
  26. Agents interacting with the outer surface of the CBFbeta-SMMHC ACD that prevent multimerization may be effective as novel therapeutics in AML PMID: 16767164
  27. Rare fusion transcripts were correlated with an atypical cytomorphology not primarily suggestive for the FAB subtype acute myelocytic leukemia. PMID: 17287858
  28. Examine consequences of expression of abnormal chimeric protein CBFbeta-MYH11 in acute myelomonocytic leukemia. PMID: 17571080
  29. MYH11 mutations are likely to be specific to the phenotype of thoracic aortic aneurysms and dissections associated with patent ductus arteriosus and result in a distinct aortic and occlusive vascular pathology potentially driven by IGF-1 and Ang II. PMID: 17666408
  30. MYH11 gene is involved in only rare instances when persistent patency of the arterial duct occurs in sporadic fashion. PMID: 17956658
  31. MYH11 mutations in patients with colorectal cancer, Peutz-Jeghers syndrome and juvenile polyposis . PMID: 18391202
  32. Little evidence for a role of somatic MYH11 mutations in the formation of breast or prostate cancers PMID: 18796164
  33. three novel amino acid substitutions in MYH11 in AML samples, located in the highly conserved myosin head and rod essential for motor function and regulation of MYH11 PMID: 18798114
  34. MYH11 mutation is not required for early hereditary nonpolyposis colorectal cancer adenoma formation, but it is selected for in the process of microsattelite instability positive cancer tumorigenesis. PMID: 18941465
  35. Selective overexpression of airway smooth muscle genes in asthmatic airways leads to increased Vmax, thus contributing to the airway hyperresponsiveness observed in asthma. PMID: 19011151
  36. sequence deletion in Pseudoxanthoma elasticum PMID: 11439001

Show More

Hide All

Involvement in disease
Aortic aneurysm, familial thoracic 4 (AAT4)
Subcellular Location
Melanosome. Note=Identified by mass spectrometry in melanosome fractions from stage I to stage IV. Thick filaments of the myofibrils.
Protein Families
TRAFAC class myosin-kinesin ATPase superfamily, Myosin family
Tissue Specificity
Smooth muscle; expressed in the umbilical artery, bladder, esophagus and trachea. Isoform 1 is mostly found in slowly contracting tonic muscles.
Database Links

HGNC: 7569

OMIM: 132900

KEGG: hsa:4629

STRING: 9606.ENSP00000379616

UniGene: Hs.460109

icon of phone
Call us
301-363-4651 (Available 9 a.m. to 5 p.m. CST from Monday to Friday)
icon of address
Address
7505 Fannin St., Ste 610, Room 7 (CUBIO Innovation Center), Houston, TX 77054, USA
icon of social media
Join us with

Subscribe newsletter

Leave a message

* To protect against spam, please pass the CAPTCHA test below.
CAPTCHA verification
© 2007-2025 CUSABIO TECHNOLOGY LLC All rights reserved. 鄂ICP备15011166号-1
×
Place an order now

I. Product details

*
*
*
*

II. Contact details

*
*

III. Ship To

*
*
*
*
*
*
*

IV. Bill To

*
*
*
*
*
*
*
*