NOLC1 Recombinant Monoclonal Antibody

Code CSB-RA027798A0HU
Size US$210
Order now
Image
  • Western Blot
    Positive WB detected in: HEK293 whole cell lysate(30µg), MCF-7 whole cell lysate(30µg), A549 whole cell lysate(30µg)
    All lanes: NOLC1 antibody at 1:1000
    Secondary
    Goat polyclonal to rabbit IgG at 1/40000 dilution
    Predicted band size: 74 kDa
    Observed band size: 110 kDa
    Exposure time:1min
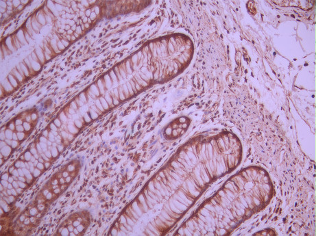
  • IHC image of CSB-RA027798A0HU diluted at 1:100 and staining in paraffin-embedded human colorectal cancer performed on a Leica BondTM system. After dewaxing and hydration, antigen retrieval was mediated by high pressure in a citrate buffer (pH 6.0). Section was blocked with 10% normal goat serum 30min at RT. Then primary antibody (1% BSA) was incubated at 4°C overnight. The primary is detected by a Goat anti-rabbit polymer IgG labeled by HRP and visualized using 0.05% DAB.
  • Immunofluorescence staining of Hela cell with CSB-RA027798A0HU at 1:50 , counter-stained with DAPI. The cells were fixed in 4% formaldehyde, permeabilized using 0.2% Triton X-100 and blocked in 10% normal Goat Serum. The cells were then incubated with the antibody overnight at 4°C. The secondary antibody was Alexa Fluor 488-congugated AffiniPure Goat Anti-Rabbit IgG(H+L).
  • Overlay Peak curve showing HepG2 cells stained with CSB-RA027798A0HU (red line) at 1:100. The cells were fixed in 4% formaldehyde and permeated by 0.2% TritonX-100 for 10min. Then 10% normal goat serum to block non-specific protein-protein interactions followed by the antibody (1ug/1*106cells) for 45min at 4℃. The secondary antibody used was FITC-conjugated goat anti-rabbit IgG (H+L) at 1/200 dilution for 35min at 4℃.Control antibody (green line) was Rabbit IgG (1ug/1*106cells) used under the same conditions. Acquisition of >10, 000 events was performed.
Have Questions? Leave a Message or Start an on-line Chat

Product Details

Uniprot No.
Target Names
NOLC1
Alternative Names
140 kDa nucleolar phosphoprotein antibody; HCV NS5A trans regulated protein 13 antibody; HCV NS5A transactivated protein 13 antibody; HCV NS5A-transactivated protein 13 antibody; Hepatitis C virus NS5A transactivated protein 13 antibody; Hepatitis C virus NS5A-transactivated protein 13 antibody; KIAA0035 antibody; NOLC 1 antibody; NOLC1 antibody; NOLC1_HUMAN antibody; NOPP 130 antibody; NOPP 140 antibody; NOPP130 antibody; Nopp140 antibody; NS5ATP13 antibody; Nucleolar 130 kDa protein antibody; Nucleolar and coiled body phosphoprotein 1 antibody; Nucleolar and coiled body phosphprotein 1 antibody; Nucleolar and coiled-body phosphoprotein 1 antibody; Nucleolar phosphoprotein p130 antibody; Nucleolar protein p130 antibody; P130 antibody
Species Reactivity
Human
Immunogen
A synthesized peptide from human NOLC1 protein
Immunogen Species
Homo sapiens (Human)
Conjugate
Non-conjugated
Clonality
Monoclonal
Isotype
Rabbit IgG
Clone No.
1D9
Purification Method
Affinity-chromatography
Concentration
It differs from different batches. Please contact us to confirm it.
Buffer
Rabbit IgG in 10mM phosphate buffered saline , pH 7.4, 150mM sodium chloride, 0.05% BSA, 0.02% sodium azide and 50% glycerol.
Form
Liquid
Tested Applications
ELISA, WB, IHC, IF, FC
Recommended Dilution
Application Recommended Dilution
WB 1:500-1:5000
IHC 1:50-1:200
IF 1:50-1:200
FC 1:50-1:200
Troubleshooting and FAQs
Storage
Upon receipt, store at -20°C or -80°C. Avoid repeated freeze.
Lead Time
Basically, we can dispatch the products out in 1-3 working days after receiving your orders. Delivery time maybe differs from different purchasing way or location, please kindly consult your local distributors for specific delivery time.
Usage
For Research Use Only. Not for use in diagnostic or therapeutic procedures.

Customer Reviews and Q&A

 Customer Reviews

There are currently no reviews for this product.

Submit a Review here

Target Background

Function
Nucleolar protein that acts as a regulator of RNA polymerase I by connecting RNA polymerase I with enzymes responsible for ribosomal processing and modification. Required for neural crest specification: following monoubiquitination by the BCR(KBTBD8) complex, associates with TCOF1 and acts as a platform to connect RNA polymerase I with enzymes responsible for ribosomal processing and modification, leading to remodel the translational program of differentiating cells in favor of neural crest specification. Involved in nucleologenesis, possibly by playing a role in the maintenance of the fundamental structure of the fibrillar center and dense fibrillar component in the nucleolus. It has intrinsic GTPase and ATPase activities.
Gene References into Functions
  1. In this study, the disordered feature of Nopp140 and the effect of CK2alpha on the structure of Nopp140 were examined using single-molecule fluorescence resonance energy transfer (smFRET) and electron paramagnetic resonance (EPR). PMID: 27297113
  2. D120 and R195 of H5N1 influenza virus NS1 were crucial for the binding to host NOLC1. PMID: 25645906
  3. pRb2/p130 cytoplasmic delocalization can lead to cell cycle deregulation PMID: 25205458
  4. our study demonstrated that DNA methylation is a key mechanism of silenced NOLC1 expression in human hepatocellular carcinoma cells, and NOLC1 gene hypermethylation of the four CpG dinucleotides is a potential biomarker for hepatocellular carcinoma. PMID: 23970161
  5. A Nopp140 fragment (residues 568-596) and inositol hexakisphosphate competitively bind to the catalytic subunit of CK2 (CK2alpha), and phospho-Ser574 of Nopp140 significantly enhances its interaction with CK2alpha. PMID: 24218616
  6. H5N1 viral NS1 interacts with host NOLC1 protein. PMID: 23188192
  7. Structural disorder and local order of hNopp140 PMID: 22906532
  8. The regulation of NOCL1 protein is a critical role for the transcription NF-kB and cAMP response element-bing protein PMID: 21266110
  9. NOPP140 is involved in a PKA signaling pathway that leads to agp activation PMID: 12167624
  10. These data show that Nopp140 reversibly associates with snoRNPs in a phosphorylation-dependent manner, but this association has no effect on pseudouridylation of rRNA. PMID: 12446766
  11. Hypoxia induces substantial p130 dephosphorylation and nuclear accumulation, leading to the formation of E2F4/p130 complexes and increased occupancy of E2F4 and p130 at the RAD51 and BRCA1 promoters. PMID: 17001309
  12. hNopp140 serves as a negative regulator of CK2 and InsP(6) stimulates the activity of CK2 by blocking the interaction between hNopp140 and CK2 PMID: 17038328
  13. Evolutionarily conserved multisubunit protein complex that contains p130 and E2F4 mediates the repression of cell cycle-dependent genes in quiescence. PMID: 17531812
  14. hNopp140, a scaffold protein, is involved in the nucleolar assembly, fusion, and maintenance PMID: 18253863
  15. InsP(6) specifically binds to CK2alpha and disrupts the interaction between CK2alpha and Nopp140 with an IC(50) value of 25 microM, thereby attenuating the Nopp140-mediated repression of CK2 activity. PMID: 18790693
  16. The functional deficiency in spinal muscular atrophy cells is associated with decreased localization of the snoRNP chaperone Nopp140 in Cajal bodies that correlates with disease severity. PMID: 19129172
  17. Nopp140 could be a component implicated in the early steps of pre-rRNA processing. PMID: 19381672
  18. both NOLC1 and tumor protein 53 work together synergistically to activate the MDM2 promoter in NPC cells. PMID: 19541936

Show More

Hide All

Subcellular Location
Nucleus, nucleolus. Cytoplasm.
Database Links

HGNC: 15608

OMIM: 602394

KEGG: hsa:9221

STRING: 9606.ENSP00000359024

UniGene: Hs.523238

icon of phone
Call us
301-363-4651 (Available 9 a.m. to 5 p.m. CST from Monday to Friday)
icon of address
Address
7505 Fannin St., Ste 610, Room 7 (CUBIO Innovation Center), Houston, TX 77054, USA
icon of social media
Join us with

Subscribe newsletter

Leave a message

* To protect against spam, please pass the CAPTCHA test below.
CAPTCHA verification
© 2007-2025 CUSABIO TECHNOLOGY LLC All rights reserved. 鄂ICP备15011166号-1
×
Place an order now

I. Product details

*
*
*
*

II. Contact details

*
*

III. Ship To

*
*
*
*
*
*
*

IV. Bill To

*
*
*
*
*
*
*
*