PAX6 Recombinant Monoclonal Antibody

Code CSB-RA145991A0HU
Size US$210
Order now
Image
  • Flow cytometric analysis of Paired box 6 expression in HeLa cells using Paired box 6 antibody. Green, isotype control; red, Paired box 6.
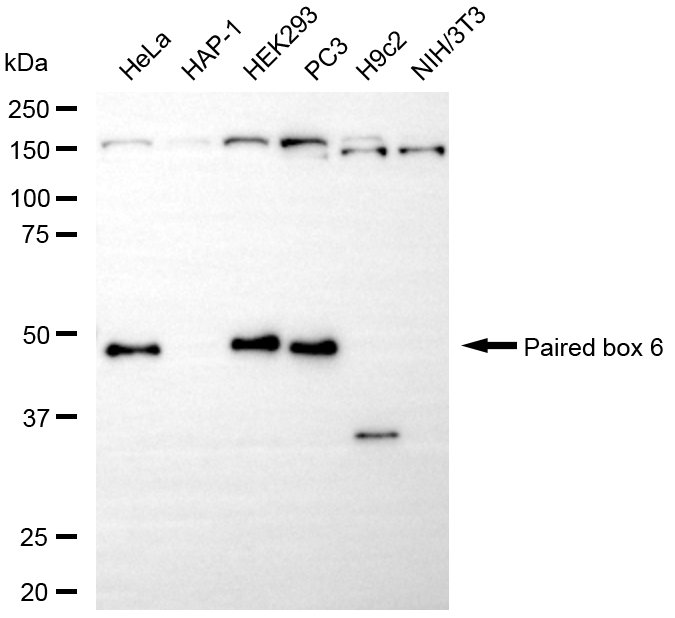
  • Western blotting analysis using paired box 6 antibody. Total cell lysates (30 μg) from various cell lines were loaded and separated by SDS-PAGE. The blot was incubated with paired box 6 antibody and HRP-conjugated goat anti-rabbit secondary antibody respectively.
Have Questions? Leave a Message or Start an on-line Chat

Product Details

Uniprot No.
Target Names
Alternative Names
Paired Box 6; D11S812E; WAGR; AN2; AN; Paired Box Protein Pax-6; Aniridia Type II Protein; Oculorhombin; Aniridia 1; Aniridia 2; AN1; Paired Box Gene 6 (Aniridia, Keratitis); Paired Box 6 PAX6A-ASdel6-AS7 Isoform; Paired Box 6 PAX6A-ASdel6 Isoform; Paired Box 6 PAX6B-ASdel6 Isoform; Paired Box 6 PAX6A-Del6 Isoform; Paired Box 6 PAX6-12a Isoform; Paired Box 6 PAX6D Isoform; Paired Box Homeotic Gene-6; Alternative Protein PAX6; Aniridia, Keratitis; ASGD5; FVH1; MGDA;
Species Reactivity
Human
Immunogen
Recombinant Human PAX6 protein
Immunogen Species
Homo sapiens (Human)
Conjugate
Non-conjugated
Clonality
Monoclonal
Isotype
Rabbit IgG
Clone No.
4E9
Purification Method
Affinity-chromatography
Concentration
It differs from different batches. Please contact us to confirm it.
Buffer
Rabbit IgG in PBS (pH 7.4) containing 50% glycerol, and 0.02% sodium azide.
Form
Liquid
Tested Applications
ELISA, WB, FC
Recommended Dilution
Application Recommended Dilution
WB 1:1000-1:5000
FC 1:200-1:2000
Troubleshooting and FAQs
Storage
Upon receipt, store at -20°C or -80°C. Avoid repeated freeze.
Lead Time
Basically, we can dispatch the products out in 1-3 working days after receiving your orders. Delivery time maybe differs from different purchasing way or location, please kindly consult your local distributors for specific delivery time.
Usage
For Research Use Only. Not for use in diagnostic or therapeutic procedures.

Customer Reviews and Q&A

 Customer Reviews

There are currently no reviews for this product.

Submit a Review here

Target Background

Function
Transcription factor with important functions in the development of the eye, nose, central nervous system and pancreas. Required for the differentiation of pancreatic islet alpha cells. Competes with PAX4 in binding to a common element in the glucagon, insulin and somatostatin promoters. Regulates specification of the ventral neuron subtypes by establishing the correct progenitor domains. Acts as a transcriptional repressor of NFATC1-mediated gene expression.
Gene References into Functions
  1. we have established that PAX6 influence the cell cycle distribution, and renders U251 cells more sensitive to oxidative stress. Importantly, we discovered differences in the sensitivity to established chemotherapeutic drugs between the PAX6 expressing (WT) cells and the PAX6 KO cells. PMID: 29716531
  2. Familial congenital cataract, coloboma, and nystagmus phenotype with variable expression caused by mutation in PAX6 in a South African family have been reported. PMID: 29930474
  3. PAX6 variants and deletions were identified in 94% of patients with aniridia from Australasia and Southeast Asia. PMID: 29618921
  4. High PAX6 expression is associated with retinoblastoma. PMID: 30015924
  5. Knock-in 2A-EGFP cassette into PAX6 exon of embryonic stem cells H1 with TALEN-based homology recombination could establish PAX6(WT/EGFP) H1 reporter cell line fast and efficiently. This reporter cell line could differentiate into PAX6 and EGFP double positive neural progenitor/stem cells (NPCs/NSCs) after neural induction. PMID: 29807013
  6. This study revealed an outstanding mutation pattern in non-coding PAX6 regions confirming that PAX6 remains the major gene for aniridia. PMID: 30291432
  7. This is the first report on the mutational spectrum of PAX6 in aniridia patients of Cypriot ancestry. PMID: 29901133
  8. Deletions of the 3 ' regulatory regions downstream of paired box protein (PAX6) abrogate its expression leading to aniridia due to PAX6 haploinsufficiency in a 44-year-old mother and her 13-year-old son. PMID: 29932076
  9. The results demonstrated that miR874 may serve tumor suppressive roles in pancreatic ductal adenocarcinoma (PDAC) by directly targeting PAX6. Therefore, miR874 may exhibit potential applications for treatment of patients with PDAC. PMID: 29845293
  10. PAX6 was upregulated in Colorectal cancer tissues and was negatively correlated with miR383 expression. PMID: 29512711
  11. PAX6 knockdown recapitulated effects similar to those observed following miR-655 overexpression regarding the proliferation, invasion and apoptosis of retinoblastoma (RB)cells. Rescue experiments demonstrated that restoration of PAX6 expression reversed the tumour-suppressing roles of miR-655 in RB cells PMID: 29436689
  12. excessive PAX6 expression in insulin-challenged endometrial epithelial cells may contribute to the uncontrollable endometrial epithelial proliferation in polycystic ovarian syndrome PMID: 29112933
  13. overexpression of CHD1L in embryonic cells upregulated the expression of ectoderm genes, especially PAX6 PMID: 28946814
  14. PAX6 mutations explained 96.7% of aniridia phenotypes in this study with only 3 of 91 probands lacking pathogenic variants in the gene. PMID: 28321846
  15. Mutation screening of PAX6 gene helped in identifying a novel heterozygous pathogenic variation g. 31801757dupG (c. 216-19dupG) that resulted in a frameshift mutation that extended into exon 7. PMID: 29380764
  16. it was suggested that miR-19, upregulated in osteosarcoma cells, negatively regulated the expression of Pax6, which can promote the malignant phenotypes of osteosarcoma cells via activation of the extracellular signal-regulated kinase signaling pathways PMID: 29345189
  17. Molecular genetic defects involving PAX6 were identified in 30 participants (91%), including 4 novel PAX6 mutations (Gly18Val; Ser65ProfsX14; Met337ArgfsX18; Ser321CysfsX34) and 4 novel chromosome 11p deletions inclusive of PAX6 or a known PAX6 regulatory region. PMID: 29217025
  18. findings shed new light on the miR-223/PAX6 pathway in glioma and this pathway might modulate the sensitivity of glioma to TMZ via regulating PI3K/Akt signaling pathway. PMID: 28332226
  19. Our study identified two novel PAX6 variants in two families with aniridia and revealed the pathogenicity of the variants; this would expand the variant spectrum of PAX6 and help us better understand the molecular basis of aniridia, thus facilitating genetic counseling. PMID: 28157223
  20. highly conserved Sox2/Pax6 bound site near the Sprouty2 locus was verified to promote cooperative dimerization designating Sprouty2 as a potential target reliant on Sox2/Pax6 cooperativity in several neural cell types. PMID: 29050852
  21. It is important to establish the molecular diagnosis early to avoid repeated and long-term screening for Wilms tumor. Our work further emphasizes that a wide range of ocular phenotypes are associated with loss of function PAX6 mutations. PMID: 26849621
  22. A novel mutation (c.1033-1_1033delinsCT) and a reported mutation (c.1183 + 1G > A) within PAX6 gene were identified in two families with aniridia. The PAX6 mutations caused aberrant patterns of RNA splicing. PMID: 28760551
  23. reduced expression of PAX6 in metabolically stressed beta cells may contribute to beta cell failure and alpha cell dysfunction in diabetes. PMID: 27941241
  24. variant aniridia, congenital iris ectropion associated with foveal hypoplasia in both a woman and her son with a mutation of PAX6 gene. To our knowledge, deletion c. 936delC in exon 8 of PAX6 gene has not been reported until now. PMID: 28300742
  25. epigenetic factor CTCF-mediated chromatin remodeling regulates interactions between eye-specific PAX6 and those genes that are induced/associated with cell differentiation to modulate corneal epithelial cell-specific differentiation PMID: 27583466
  26. PAX6-depleted CECs maintained the epithelial morphology, but became larger. Global analyses using microarray revealed that down-regulated genes were primarily CEC-specific PMID: 27818314
  27. photoinduced excess electron transfer assay can be used for analysing cooperativity of proteins in transcription complex using cooperative binding of Pax6 to Sox2 on the regulatory DNA element (DC5 enhancer) as an example. PMID: 27229137
  28. Data indicate paired box gene 6 (aniridia, keratitis) protein (PAX6) haploinsufficiency as causal for aniridia. PMID: 26661695
  29. Downregulation of PAX6 is associated with glioma progression. PMID: 28184912
  30. Overexpression of paired box 6 increased the inhibitory effect of temozolomide on GBM cell proliferation; on the other hand, knockdown of paired box 6 abolished the inhibitory effect of temozolomide on GBM cell proliferation. PMID: 28035389
  31. the present study identified a heterozygous deletion and a run-on mutation in PAX6 in two families with autosomal dominant aniridia. PMID: 27431685
  32. Fourteen of these mutations presented in the known aniridia genes; PAX6, FOXC1 and PITX2. PMID: 27124303
  33. we show that the two PAX6 isoforms differentially and cooperatively regulate the expression of genes specific to the structure and functions of the corneal epithelium, particularly keratin 3 (KRT3) and keratin 12 (KRT12). PAX6 isoform-a induced KRT3 expression by targeting its upstream region. KLF4 enhanced this induction. A combination of PAX6 isoform-b, KLF4, and OCT4 induced KRT12 expression PMID: 26899008
  34. We report the first association study of the transcription factor PAX6 with HSCR and that its low expression levels may result in an aberrant neurogenesis, which is directly related with manifestation of HSCR phenotype. PMID: 26879676
  35. Data suggest that promoter hypermethylation of PAX6 is a common event in hepatocellular carcinoma and the association of PAX6 methylation in clinicopathological features is divergent with different viral status. PMID: 27110298
  36. congenital primary aphakia is associated with PAX6 mutation. PMID: 26130484
  37. We found that PAX6 gene was specifically methylated in non small cell lung cancer PMID: 26617874
  38. findings suggest that PAX6+/- is associated with smaller pineal size, lower melatonin secretion and greater parental report of sleep disturbances in children; further studies are needed to explore the potential use of melatonin replacement for improving sleep quality in patients with PAX6+/- PMID: 26439359
  39. In post-mortem substantia nigra from Parkinson's disease patients, a reduced number of PAX6 expressing cells were found. PMID: 26295830
  40. We analyzed the PAX6 gene in a Bosma arrhinia microphthalmia syndrome patient but found no variation or mutation that could constitute or establish a causal association in our patient PMID: 26440771
  41. Variants in TRIM44 Cause Aniridia by Impairing PAX6 Expression PMID: 26394807
  42. MicroRNA-7 inhibits the malignant phenotypes of nonsmall cell lung cancer in vitro by targeting Pax6 PMID: 26135959
  43. ChIP experiments confirmed that Pdx1 activates the expression of the downstream transcription factors, Ngn3 and Pax6, by combined with the promoter regions of insulin (Insulin-P), Ngn3 (Ngn3-P), and Pax6 (Pax6-P). PMID: 26345820
  44. we reported the results of the clinical and molecular evaluation of a threegeneration Chinese family with aniridia and identified a rare heterozygous M1K mutation in PAX6. PMID: 26535646
  45. Trans-placental BPA exposure down-regulated gene expression of Sox2 and Pax6 potentially underlying the adverse effect on childhood neuronal development. [Meta-analysis] PMID: 25051057
  46. Molecular analysis identified two compound heterozygous TYR mutations known to cause OCAIA and cosegregate with oculocutaneous albinism. In addition, we identified a novel heterozygous PAX6 mutation confirming the atypical aniridia phenotype. PMID: 25687215
  47. SOX4, SOX11, and PAX6 were significant for tumor type. PMID: 25804118
  48. the case of a Korean family with novel splice site mutation in the PAX6 gene in isolated aniridia inherited in an autosomal dominant manner, is reported. PMID: 25696017
  49. loss of PAX6 converts LSCs to epidermal stem cells, as demonstrated by a switch in the keratin gene expression profile and by the appearance of congenital dermoid tissue PMID: 26045558
  50. Dkk3/REIC3 expression is regulated by PAX6 in several human cell lines. PMID: 25029272

Show More

Hide All

Involvement in disease
Aniridia 1 (AN1); Anterior segment dysgenesis 5 (ASGD5); Foveal hypoplasia 1 (FVH1); Keratitis hereditary (KERH); Coloboma, ocular, autosomal dominant (COAD); Coloboma of optic nerve (COLON); Bilateral optic nerve hypoplasia (BONH); Aniridia 2 (AN2)
Subcellular Location
Nucleus.; [Isoform 1]: Nucleus.; [Isoform 5a]: Nucleus.
Protein Families
Paired homeobox family
Tissue Specificity
[Isoform 1]: Expressed in lymphoblasts.; [Isoform 5a]: Weakly expressed in lymphoblasts.
Database Links

HGNC: 8620

OMIM: 106210

KEGG: hsa:5080

STRING: 9606.ENSP00000368401

UniGene: Hs.270303

icon of phone
Call us
301-363-4651 (Available 9 a.m. to 5 p.m. CST from Monday to Friday)
icon of address
Address
7505 Fannin St., Ste 610, Room 7 (CUBIO Innovation Center), Houston, TX 77054, USA
icon of social media
Join us with

Subscribe newsletter

Leave a message

* To protect against spam, please pass the CAPTCHA test below.
CAPTCHA verification
© 2007-2025 CUSABIO TECHNOLOGY LLC All rights reserved. 鄂ICP备15011166号-1
×
Place an order now

I. Product details

*
*
*
*

II. Contact details

*
*

III. Ship To

*
*
*
*
*
*
*

IV. Bill To

*
*
*
*
*
*
*
*