PEX19 Recombinant Monoclonal Antibody

Code CSB-RA188883A0HU
Size US$210
Order now
Image
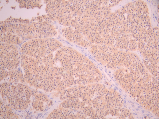
  • IHC image of CSB-RA188883A0HU diluted at 1:100 and staining in paraffin-embedded human liver cancer performed on a Leica BondTM system. After dewaxing and hydration, antigen retrieval was mediated by high pressure in a citrate buffer (pH 6.0). Section was blocked with 10% normal goat serum 30min at RT. Then primary antibody (1% BSA) was incubated at 4°C overnight. The primary is detected by a Goat anti-rabbit polymer IgG labeled by HRP and visualized using 0.05% DAB.
Have Questions? Leave a Message or Start an on-line Chat

Product Details

Uniprot No.
Target Names
Alternative Names
33 kDa housekeeping protein antibody; D1S2223E antibody; HK33 antibody; Housekeeping gene 33kD antibody; OK/SW-cl.22 antibody; PBD12A antibody; Peroxin 19 antibody; Peroxin-19 antibody; Peroxisomal biogenesis factor 19 antibody; Peroxisomal farnesylated protein antibody; PEX19 antibody; PEX19_HUMAN antibody; PMP1 antibody; PMPI antibody; PXF antibody; PXMP1 antibody
Species Reactivity
Human
Immunogen
A synthesized peptide from human PEX19 protein
Immunogen Species
Homo sapiens (Human)
Conjugate
Non-conjugated
Clonality
Monoclonal
Isotype
Rabbit IgG
Clone No.
8C2
Purification Method
Affinity-chromatography
Concentration
It differs from different batches. Please contact us to confirm it.
Buffer
Rabbit IgG in 10mM phosphate buffered saline , pH 7.4, 150mM sodium chloride, 0.05% BSA, 0.02% sodium azide and 50% glycerol.
Form
Liquid
Tested Applications
ELISA, IHC
Recommended Dilution
Application Recommended Dilution
IHC 1:50-1:200
Troubleshooting and FAQs
Storage
Upon receipt, store at -20°C or -80°C. Avoid repeated freeze.
Lead Time
Basically, we can dispatch the products out in 1-3 working days after receiving your orders. Delivery time maybe differs from different purchasing way or location, please kindly consult your local distributors for specific delivery time.
Usage
For Research Use Only. Not for use in diagnostic or therapeutic procedures.

Customer Reviews and Q&A

 Customer Reviews

There are currently no reviews for this product.

Submit a Review here

Target Background

Function
Necessary for early peroxisomal biogenesis. Acts both as a cytosolic chaperone and as an import receptor for peroxisomal membrane proteins (PMPs). Binds and stabilizes newly synthesized PMPs in the cytoplasm by interacting with their hydrophobic membrane-spanning domains, and targets them to the peroxisome membrane by binding to the integral membrane protein PEX3. Excludes CDKN2A from the nucleus and prevents its interaction with MDM2, which results in active degradation of TP53.
Gene References into Functions
  1. Thus, PEX19 and PEX3 peroxisome biogenesis factors provide an alternative posttranslational route for membrane insertion of the reticulon homology domain-containing proteins, implying that endoplasmic reticulum membrane shaping and peroxisome biogenesis may be coordinated. PMID: 29396426
  2. The results demonstrate an allosteric mechanism for the modulation of PEX19 function by farnesylation. PMID: 28281558
  3. that newly synthesized UBXD8 is post-translationally inserted into discrete ER subdomains by a mechanism requiring cytosolic PEX19 and membrane-integrated PEX3, proteins hitherto exclusively implicated in peroxisome biogenesis PMID: 27295553
  4. suggest a novel regulatory mechanism for peroxisome biogenesis through the interaction between Pex19p and PLA/AT-3 PMID: 26018079
  5. Thus within the cell, PEX3 is stabilized by PEX19 preventing PEX3 aggregation. PMID: 25062251
  6. PEX19 formed a complex with the peroxisomal tail anchored protein PEX26 in the cytosol and translocated it directly to peroxisomes by a TRC40-independent class I pathway. PMID: 23460677
  7. PEX3-PEX19 interaction is crucial for de novo formation of peroxisomes in peroxisome-deficient cells. PMID: 22624858
  8. The Pex19p peptide contains a characteristic motif, consisting of the leucine triad (Leu18, Leu21, Leu22), and Phe29, which are critical for the Pex3p binding and peroxisome biogenesis. PMID: 21102411
  9. The crystal structure of the cytosolic domain of PEX3 in complex with a PEX19-derived peptide. PEX3 adopts a novel fold that is best described as a large helical bundle. PMID: 20554521
  10. data indicate a divided N-terminal and C-terminal structural arrangement in Pex19p, which is reminiscent of a similar division in the Pex5p receptor, to allow separation of cargo-targeting signal recognition and additional functions. PMID: 20531392
  11. a considerable functional diversity of the proteins encoded by two PEX19 splice variants and thereby provide first experimental evidence for specific biological functions of the different predicted domains of the PEX19 protein. PMID: 11883941
  12. PEX19 binds and stabilizes newly synthesized PMPs in the cytosol, binds to multiple PMP targeting signals (mPTSs), interacts with the hydrophobic domains of PMP targeting signals, and is essential for PMP targeting and import. PMID: 14709540
  13. Interaction of PEX3 and PEX19 visualized by fluorescence resonance energy transfer (FRET). PMID: 14713233
  14. Pex19p has a role in assembly of PTS-receptor docking complexes PMID: 14715663
  15. Results suggest that PEX3 plays a selective, essential, and direct role in class I peroxisomal membrane protein import as a docking factor for PEX19. PMID: 15007061
  16. human Pex19p domain architecture and activity PMID: 15252024
  17. analysis of the PEX19-binding site of human adrenoleukodystrophy protein PMID: 15781447
  18. Pex19p translocates the membrane peroxins from the cytosol to peroxisomes in an ATP- and Pex3p-dependent manner and then shuttles back to the cytosol PMID: 16280322
  19. Pex19p binds to PMP70 co-translationally and keeps PMP70 in a proper conformation for the localization to peroxisome. PMID: 16344115
  20. Nonfarnesylated and farnesylated human Pex19p display a similar affinity towards a select set of peroxisomal membrane proteins. PMID: 16791427
  21. Data suggest that Pex19p probably functions as a chaperone for membrane proteins and transports them to peroxisomes by anchoring to Pex3p using residues 12-73 and 40-131. PMID: 16895967
  22. either one or two tryptophan residues of Pex3p (Trp-104 and Trp-224) are directly involved in binding to Pex19p. PMID: 18174172
  23. targeting of hFis1 to peroxisomes and mitochondria are independent events and support a direct, Pex19p-dependent targeting of peroxisomal tail-anchored proteins. PMID: 18782765
  24. N-terminal domain of Pex14, Pex14(N), adopts a three-helical fold. Pex5 and Pex19 ligand helices bind competitively to the same surface in Pex14(N) albeit with opposite directionality. PMID: 19197237
  25. ALDRP interacts with PEX19 splice variants PEX19-delta-E2 and PEX19-delta-E8. PMID: 11883941
  26. LDRP (ABCD2) interacts with both farnesylated wild-type and farnesylation-deficient mutant PEX19. This interaction is mediated by amino acids 1-218 of ALDRP. PMID: 10777694
  27. MP70 (ABCD3) interacts with both farnesylated wild-type and farnesylation-deficient mutant PEX19. PMID: 10777694
  28. MP70 interacts with PEX19 splice variants PEX19-delta-E2 and PEX19p-delta-E8. PMID: 11883941

Show More

Hide All

Involvement in disease
Peroxisome biogenesis disorder complementation group 14 (PBD-CG14); Peroxisome biogenesis disorder 12A (PBD12A)
Subcellular Location
Cytoplasm. Peroxisome membrane; Lipid-anchor; Cytoplasmic side.
Protein Families
Peroxin-19 family
Tissue Specificity
Ubiquitously expressed. Isoform 1 is strongly predominant in all tissues except in utero where isoform 2 is the main form.
Database Links

HGNC: 9713

OMIM: 600279

KEGG: hsa:5824

STRING: 9606.ENSP00000357051

UniGene: Hs.517232

icon of phone
Call us
301-363-4651 (Available 9 a.m. to 5 p.m. CST from Monday to Friday)
icon of address
Address
7505 Fannin St., Ste 610, Room 7 (CUBIO Innovation Center), Houston, TX 77054, USA
icon of social media
Join us with

Subscribe newsletter

Leave a message

* To protect against spam, please pass the CAPTCHA test below.
CAPTCHA verification
© 2007-2025 CUSABIO TECHNOLOGY LLC All rights reserved. 鄂ICP备15011166号-1
×
Place an order now

I. Product details

*
*
*
*

II. Contact details

*
*

III. Ship To

*
*
*
*
*
*
*

IV. Bill To

*
*
*
*
*
*
*
*