RING1 Recombinant Monoclonal Antibody

Code CSB-RA679623A0HU
Size US$210
Order now
Image
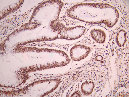
  • IHC image of CSB-RA679623A0HU diluted at 1:100 and staining in paraffin-embedded human gastric cancer performed on a Leica BondTM system. After dewaxing and hydration, antigen retrieval was mediated by high pressure in a citrate buffer (pH 6.0). Section was blocked with 10% normal goat serum 30min at RT. Then primary antibody (1% BSA) was incubated at 4°C overnight. The primary is detected by a Goat anti-rabbit polymer IgG labeled by HRP and visualized using 0.05% DAB.
Have Questions? Leave a Message or Start an on-line Chat

Product Details

Uniprot No.
Target Names
Alternative Names
Ring1A antibody; E3 ubiquitin-protein ligase RING1 antibody; Polycomb complex protein RING1 antibody; Really interesting new gene 1 protein antibody; RING finger protein 1 antibody; Ring1 antibody; RING1_HUMAN antibody; RING1A antibody; Rnf1 antibody; Transcription repressor Ring1A antibody
Species Reactivity
Human
Immunogen
A synthesized peptide from human RING1 protein
Immunogen Species
Homo sapiens (Human)
Conjugate
Non-conjugated
Clonality
Monoclonal
Isotype
Rabbit IgG
Clone No.
25C6
Purification Method
Affinity-chromatography
Concentration
It differs from different batches. Please contact us to confirm it.
Buffer
Rabbit IgG in 10mM phosphate buffered saline , pH 7.4, 150mM sodium chloride, 0.05% BSA, 0.02% sodium azide and 50% glycerol.
Form
Liquid
Tested Applications
ELISA, IHC
Recommended Dilution
Application Recommended Dilution
IHC 1:50-1:200
Troubleshooting and FAQs
Storage
Upon receipt, store at -20°C or -80°C. Avoid repeated freeze.
Lead Time
Basically, we can dispatch the products out in 1-3 working days after receiving your orders. Delivery time maybe differs from different purchasing way or location, please kindly consult your local distributors for specific delivery time.
Usage
For Research Use Only. Not for use in diagnostic or therapeutic procedures.

Customer Reviews and Q&A

 Customer Reviews

There are currently no reviews for this product.

Submit a Review here

Target Background

Function
Constitutes one of the E3 ubiquitin-protein ligases that mediate monoubiquitination of 'Lys-119' of histone H2A, thereby playing a central role in histone code and gene regulation. H2A 'Lys-119' ubiquitination gives a specific tag for epigenetic transcriptional repression and participates in X chromosome inactivation of female mammals. Essential component of a Polycomb group (PcG) multiprotein PRC1-like complex, a complex class required to maintain the transcriptionally repressive state of many genes, including Hox genes, throughout development. PcG PRC1 complex acts via chromatin remodeling and modification of histones, rendering chromatin heritably changed in its expressibility. Compared to RNF2/RING2, it does not have the main E3 ubiquitin ligase activity on histone H2A, and it may rather act as a modulator of RNF2/RING2 activity.
Gene References into Functions
  1. High RING1 expression is associated with hepatocellular carcinoma. PMID: 29187402
  2. Mutation of RING1 is associated with neurodevelopmental abnormalities PMID: 29386386
  3. study identified novel interactions between CD147 and RING1, recovered CD147 nuclear envelope distribution in melanoma cells, and suggested a new mechanism underlying how cytoplasmic CD147 promotes melanoma development PMID: 28832687
  4. The release of epigenetic repression by nitrosylation of RING1A is critical for effective cell transdifferentiation. PMID: 27623813
  5. The polycomb complex proteins BMI1 and RING1A regulate the ubiquitination of chromatin associated proteins bound to promoters. PMID: 26578590
  6. On the basis of these results, we proposed that the expression of Ring1 protein may be a novel indicator of hepatocellular carcinoma prognosis. PMID: 26141041
  7. High RING1 expression is associated with non-small cell lung cancer. PMID: 24414991
  8. HSCARG interacts with RING1 and inhibits RING1 ubiquitination. PMID: 24711370
  9. Overexpression of the EZH2, RING1, and BMI1 genes is common in MDS and indicate poor prognosis. The products of these genes might participate in epigenetic regulation of Myelodysplastic syndromes. PMID: 21125401
  10. USP7 was identified as a deubiquitinating enzyme that regulates the ubiquitination state of RING1B. PMID: 20800574
  11. PcG protein RING1 is associated with adverse pathological features and clinical PSA recurrence in prostate cancer. PMID: 17134822
  12. Studies in mammalian cells have found a multiplicity of protein complexes containing Ring1A and Ring1B, suggesting an expanded regulatory role for Ring1A, Ring1B proteins in the epigenetic regulation of gene expression. PMID: 19412891

Show More

Hide All

Subcellular Location
Nucleus. Nucleus speckle.
Database Links

HGNC: 10018

OMIM: 602045

KEGG: hsa:6015

STRING: 9606.ENSP00000363787

UniGene: Hs.631989

icon of phone
Call us
301-363-4651 (Available 9 a.m. to 5 p.m. CST from Monday to Friday)
icon of address
Address
7505 Fannin St., Ste 610, Room 7 (CUBIO Innovation Center), Houston, TX 77054, USA
icon of social media
Join us with

Subscribe newsletter

Leave a message

* To protect against spam, please pass the CAPTCHA test below.
CAPTCHA verification
© 2007-2025 CUSABIO TECHNOLOGY LLC All rights reserved. 鄂ICP备15011166号-1
×
Place an order now

I. Product details

*
*
*
*

II. Contact details

*
*

III. Ship To

*
*
*
*
*
*
*

IV. Bill To

*
*
*
*
*
*
*
*