SERPINB3 Recombinant Monoclonal Antibody

Code CSB-RA181279A0HU
Size US$210
Order now
Image
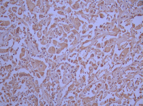
  • IHC image of CSB-RA181279A0HU diluted at 1:100 and staining in paraffin-embedded human cervical cancer performed on a Leica BondTM system. After dewaxing and hydration, antigen retrieval was mediated by high pressure in a citrate buffer (pH 6.0). Section was blocked with 10% normal goat serum 30min at RT. Then primary antibody (1% BSA) was incubated at 4°C overnight. The primary is detected by a Goat anti-rabbit polymer IgG labeled by HRP and visualized using 0.05% DAB.
  • Overlay Peak curve showing BxPC-3 cells stained with CSB-RA181279A0HU (red line) at 1:100. The cells were fixed in 4% formaldehyde and permeated by 0.2% TritonX-100 for 10min. Then 10% normal goat serum to block non-specific protein-protein interactions followed by the antibody (1ug/1*106cells) for 45min at 4℃. The secondary antibody used was FITC-conjugated goat anti-rabbit IgG (H+L) at 1/200 dilution for 35min at 4℃.Control antibody (green line) was Rabbit IgG (1ug/1*106cells) used under the same conditions. Acquisition of >10, 000 events was performed.
Have Questions? Leave a Message or Start an on-line Chat

Product Details

Uniprot No.
Target Names
SERPINB3
Alternative Names
HsT1196 antibody; Protein T4 A antibody; Protein T4-A antibody; SCC antibody; SCCA antibody; SCCA PD antibody; SCCA-1 antibody; SCCA-PD antibody; SCCA1 antibody; SCCAPD antibody; Serine (or cysteine) proteinase inhibitor clade B (ovalbumin) member 3 antibody; Serpin B3 antibody; Serpin peptidase inhibitor clade B (ovalbumin) member 3 antibody; serpin peptidase inhibitor; clade B (ovalbumin); member 3 antibody; SERPINB3 antibody; SPB3_HUMAN antibody; Squamous cell carcinoma antigen 1 antibody; T4 A antibody; T4-A antibody; T4A antibody
Species Reactivity
Human
Immunogen
A synthesized peptide from human SERPINB3 protein
Immunogen Species
Homo sapiens (Human)
Conjugate
Non-conjugated
Clonality
Monoclonal
Isotype
Rabbit IgG
Clone No.
5A1
Purification Method
Affinity-chromatography
Concentration
It differs from different batches. Please contact us to confirm it.
Buffer
Rabbit IgG in 10mM phosphate buffered saline , pH 7.4, 150mM sodium chloride, 0.05% BSA, 0.02% sodium azide and 50% glycerol.
Form
Liquid
Tested Applications
ELISA, IHC, FC
Recommended Dilution
Application Recommended Dilution
IHC 1:50-1:200
FC 1:50-1:200
Troubleshooting and FAQs
Storage
Upon receipt, store at -20°C or -80°C. Avoid repeated freeze.
Lead Time
Basically, we can dispatch the products out in 1-3 working days after receiving your orders. Delivery time maybe differs from different purchasing way or location, please kindly consult your local distributors for specific delivery time.
Usage
For Research Use Only. Not for use in diagnostic or therapeutic procedures.

Customer Reviews and Q&A

 Customer Reviews

There are currently no reviews for this product.

Submit a Review here

Target Background

Function
May act as a papain-like cysteine protease inhibitor to modulate the host immune response against tumor cells. Also functions as an inhibitor of UV-induced apoptosis via suppression of the activity of c-Jun NH(2)-terminal kinase (JNK1).
Gene References into Functions
  1. iron overload and was previously found capable of up-regulating SerpinB3 at the transcriptional level. PMID: 28935635
  2. the SCCA-IgM determination could be helpful in predicting the response to therapy in patients with hepatocellular carcinoma. PMID: 28609160
  3. Serum SCC-Ag, hs-CRP, and CA-125 were higher in recurrence cervical patients which could be potential biomarkers for predicting cervical cancer recurrence risk. PMID: 28901315
  4. A close connection between SerpinB3 and DPPPIV has been identified, but further studies are required to better understand the mechanism by which these proteins communicate and exert metabolic effects in hepatocellular carcinoma. PMID: 29524519
  5. Findings point to potential interest of squamous cell carcinoma antigen SERPINB3/B4 for the stratification of head and neck squamous cell carcinoma (HNSCC) patients in the therapeutic context. PMID: 29491058
  6. role of SERPINB3/B4 mutations in immunotherapy response PMID: 27668655
  7. Results showed no correlation between gestational age and vaginal fluid SCC levels. There was no significant difference in vaginal fluid SCC levels between patients with premature rupture of membranes and those with control pregnant women. PMID: 27095020
  8. Serum SCC-Ag level was an important predictor for the cervical squamous carcinoma recurrence and prognosis. PMID: 27435426
  9. Data indicate that serum tumor markers showed significant shorter 3-year progression-free survival (PFS) in higher levels compared to lower levels for S-CYFRA 21-1 (cytokeratin 19 fragment), S-SCCA and S-CEA. PMID: 26432331
  10. serum level is a reliable diagnostic marker to distinguish sinonasal inverted papilloma from inflammatory disease PMID: 26877539
  11. SerpinB3 indirectly increased the transcription of Myc through the induction of Yap pathway. PMID: 26634820
  12. Data show that serum neuron-specific enolase, cytokeratin 19 fragment 21-1, pro-gastrin-releasing peptide, squamous cell carcinoma antigen, tissue inhibitor of metalloproteinase-1, and human epididymis protein 4 are not associated with brain metastases. PMID: 26730601
  13. The diagnostic performance of SCCA-IgM immune complexes for hepatocellular carcinoma was found to be frequently superior to that of alpha-fetoprotein. (Review) PMID: 25840050
  14. High SCC serum levels are associated with Head and Neck Cancer. PMID: 26408719
  15. Data indicate that hypoxia-induced cysteine-proteases inhibitor SERPINB3 up-regulation is dependent on hypoxia-inducible factor-2alpha (HIF-2alpha). PMID: 25544768
  16. serum level significant risk factor for overall survival in cancers of the oral cavity, hypopharynx, and larynx PMID: 25622661
  17. High levels of neuron-specific enolase (NSE), carbohydrate antigen 125 (CA125) and squamous cell carcinoma antigen (SCC) were detected in 306 (63.6%), 89 (18.5%) and 125 (26.0%) non-small cell lung cancer patients, respectively. PMID: 23712355
  18. Serum SCCA levels were significantly elevated in hepatocellular carcinoma. PMID: 25129443
  19. It a promising serological marker for hepatocellular carcinoma. PMID: 24635038
  20. High serpinB3 protein content was found to be a biomarker of successful healing in diabetic patients. PMID: 24962668
  21. High serum SCCA levels are associated with squamous cell cervical cancer. PMID: 24905620
  22. Silencing of SERPINB3/B4 in human keratinocytes decreased S100A8 expression, supporting a role for SERPINB3/B4 in the initiation of the acute inflammatory response. PMID: 25111616
  23. High SERPINB3 expression is associated with drug resistance in hepatoma. PMID: 24810714
  24. we identified four proteins with different expression in paclitaxel resistant cells, i.e., serpin B3, serpin B4, heat shock protein 27 (all three upregulated) and cytokeratin 18 (downregulated). PMID: 24898082
  25. Studies show that urinary SB3 concentrations are higher in women then men and in hypertensive women affected by primary aldosteronism with adenoma,comparatively to those affected by bilateral hyperplasia. PMID: 24503858
  26. High SERPINB3 expression is associated with non-small-cell lung cancer. PMID: 24389432
  27. High expression of squamous cell carcinoma antigen is associated with metastasis in cervical cancer. PMID: 24737009
  28. SERPINB3 is overexpressed in a subset of the most aggressive hepatocellular carcinomas. PMID: 24809782
  29. Serpin serum level in cervical cancer correlates with phosphoglycerated dehydrogenase expression in tumors PMID: 24247658
  30. The serpinb3 protein induces a gain of about 15% of survival length in TG mice compared to WT controls and this effect was more remarkable in males than in females. PMID: 24162160
  31. SERPINB3 may enhance its oncogenic potential through inhibition of several tumor suppressive miRNAs. [Review] PMID: 24496037
  32. Pre-treatment levels of C-reactive protein and squamous cell carcinoma antigen are useful for predicting the aggressiveness of pharyngolaryngeal carcinoma. PMID: 23383155
  33. Our study indicates that serum SCC-ag level is a sensitive and reliable measure to evaluate cervical cancer response to chemotherapy. Using SCC-ag in combination with MRI findings further improves the predictive power. PMID: 23349993
  34. The preoperative serum level of Cyfra21-1 and SCC-Ag are independently significant predictors which negatively affected the survivals of patients with stage II esophageal squamous cell carcinoma. PMID: 22999061
  35. SERPINB3 may play an important role in ovarian carcinogenesis and be a novel biomarker for predicting platinum resistance and a poor prognosis for survival in patients with epithelial ovarian cancer PMID: 23185467
  36. investigation of circulating levels of squamous cell carcinoma-antigen, carcinoembryonic antigen, and carbohydrate antigen 19-9 as prognostic markers in women with early stage squamous cell carcinoma of uterine cervix PMID: 22563932
  37. serpin B3 is associated with the proliferation and growth of cholesteatoma, and these proteins may be influential factors in cholesteatoma growth. PMID: 23239141
  38. IgM-linked SCCA isoforms circulate in patients with chronic liver disease, compared to total SCCA-IgM levels. PMID: 22808225
  39. Surface localization of SERPINB3 was confirmed by confocal microscopy. SERPINB3 positivity was associated with CD27 reactivity (r = 0.98), but not to other activation molecules PMID: 22829702
  40. Toxoplasma gondii induces SERPIN B3/B4 expression via STAT6 activation to inhibit the apoptosis of infected cells for survival of the parasites. PMID: 22451727
  41. Serpin B3/B4, particularly Serpin B4, appears to play an important role in aberrant epithelial proliferation. PMID: 22406480
  42. SERPINB3 is over-expressed in hepatoblastoma and its expression is positively correlated with Myc expression and high tumour stage. PMID: 21737255
  43. The data strongly suggest that FTL and SCCA1 may serve as coreceptors in HBV cellular attachment and virus entry into hepatocytes. PMID: 22359459
  44. SCC, CEA, Cyfra 21-1 and NSE are valuable in the early diagnosis of lung cancer among suspicious nodules in the lung, especially when they were assayed together for one patient. PMID: 22088515
  45. This study shows that SCCA is associated with both advanced stage and high grade human breast carcinoma. PMID: 21526154
  46. In conclusion, the single amino acid substitution G351Ain the SERPINB3 reactive site loop improves the functional activity of the isoform. PMID: 21383048
  47. serum squamous cell carcinoma antigen is a relatively good method for the detection of disease recurrence in patients with cervical cancer who were treated by concurrent chemoradiotherapy. PMID: 20840788
  48. SCCA, EGFR and cyclin D1 may prove to be useful tumor markers in oral squamous cell carcinoma. PMID: 20586028
  49. carbonyl reductase binds to SCCA1 and SCCA2 and they are co-located in the same layer of the squamous epithelium PMID: 20428762
  50. Chronically damaged hepatocytes produce SERPINB3 and TGF-beta, and the anti-protease activity of the serpin might be implicated in TGF-beta1 induction. PMID: 20212457

Show More

Hide All

Subcellular Location
Cytoplasm. Note=Seems to also be secreted in plasma by cancerous cells but at a low level.
Protein Families
Serpin family, Ov-serpin subfamily
Tissue Specificity
Squamous cells. Expressed in some hepatocellular carcinoma (at protein level).
Database Links

HGNC: 10569

OMIM: 600517

KEGG: hsa:6317

STRING: 9606.ENSP00000283752

UniGene: Hs.227948

icon of phone
Call us
301-363-4651 (Available 9 a.m. to 5 p.m. CST from Monday to Friday)
icon of address
Address
7505 Fannin St., Ste 610, Room 7 (CUBIO Innovation Center), Houston, TX 77054, USA
icon of social media
Join us with

Subscribe newsletter

Leave a message

* To protect against spam, please pass the CAPTCHA test below.
CAPTCHA verification
© 2007-2025 CUSABIO TECHNOLOGY LLC All rights reserved. 鄂ICP备15011166号-1
×
Place an order now

I. Product details

*
*
*
*

II. Contact details

*
*

III. Ship To

*
*
*
*
*
*
*

IV. Bill To

*
*
*
*
*
*
*
*