SMARCC1 Recombinant Monoclonal Antibody

Code CSB-RA252590A0HU
Size US$210
Order now
Image
  • Western Blot
    , Positive WB detected in: Jurkat whole cell lysate(30µg), SH-SY5Y whole cell lysate(30µg), colo205 whole cell lysate(30µg), A431 whole cell lysate(30µg)
    All lanes: SMARCC1 antibody at 1:1000
    Secondary
    Goat polyclonal to rabbit IgG at 1/40000 dilution
    Predicted band size: 123 kDa
    Observed band size: 155 kDa
    Exposure time:120s
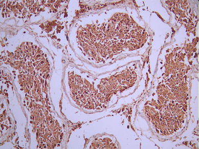
  • IHC image of CSB-RA252590A0HU diluted at 1:100 and staining in paraffin-embedded human testis tissue performed on a Leica BondTM system. After dewaxing and hydration, antigen retrieval was mediated by high pressure in a citrate buffer (pH 6.0). Section was blocked with 10% normal goat serum 30min at RT. Then primary antibody (1% BSA) was incubated at 4°C overnight. The primary is detected by a Goat anti-rabbit polymer IgG labeled by HRP and visualized using 0.05% DAB.
  • Immunofluorescence staining of Hela cell with CSB-RA252590A0HU at 1:50 , counter-stained with DAPI. The cells were fixed in 4% formaldehyde, permeabilized using 0.2% Triton X-100 and blocked in 10% normal Goat Serum. The cells were then incubated with the antibody overnight at 4°C. The secondary antibody was Alexa Fluor 488-congugated AffiniPure Goat Anti-Rabbit IgG(H+L).
  • Overlay Peak curve showing SH-SY5Y cells stained with CSB-RA252590A0HU (red line) at 1:100. The cells were fixed in 4% formaldehyde and permeated by 0.2% TritonX-100 for 10min. Then 10% normal goat serum to block non-specific protein-protein interactions followed by the antibody (1ug/1*106cells) for 45min at 4℃. The secondary antibody used was FITC-conjugated goat anti-rabbit IgG (H+L) at 1/200 dilution for 35min at 4℃.Control antibody (green line) was Rabbit IgG (1ug/1*106cells) used under the same conditions. Acquisition of >10, 000 events was performed.
Have Questions? Leave a Message or Start an on-line Chat

Product Details

Uniprot No.
Target Names
SMARCC1
Alternative Names
AI115498 antibody; BAF 155 antibody; BAF155 antibody; BRG 1 associated factor 155 antibody; BRG1 associated factor 155 antibody; BRG1-associated factor 155 antibody; Chromatin remodeling complex BAF155 subunit antibody; CRACC 1 antibody; CRACC1 antibody; Mammalian chromatin remodeling complex BRG 1 associated factor 155 antibody; Mammalian chromatin remodeling complex BRG1 associated factor 155 antibody; Rsc 8 antibody; Rsc8 antibody; SMARC C1 antibody; SMARCC 1 antibody; SMARCC1 antibody; SMRC1_HUMAN antibody; SRG 3 antibody; SRG3 antibody; SWI 3 antibody; SWI/SNF complex 155 kDa subunit antibody; SWI/SNF complex subunit SMARCC1 antibody; SWI/SNF related matrix associated actin dependent regulator of chromatin c1 antibody; SWI/SNF related matrix associated actin dependent regulator of chromatin subfamily c member 1 antibody; SWI/SNF-related matrix-associated actin-dependent regulator of chromatin subfamily C member 1 antibody; SWI3 antibody
Species Reactivity
Human
Immunogen
A synthesized peptide from human SMARCC1 protein
Immunogen Species
Homo sapiens (Human)
Conjugate
Non-conjugated
Clonality
Monoclonal
Isotype
Rabbit IgG
Clone No.
13D1
Purification Method
Affinity-chromatography
Concentration
It differs from different batches. Please contact us to confirm it.
Buffer
Rabbit IgG in 10mM phosphate buffered saline , pH 7.4, 150mM sodium chloride, 0.05% BSA, 0.02% sodium azide and 50% glycerol.
Form
Liquid
Tested Applications
ELISA, WB, IHC, IF, FC
Recommended Dilution
Application Recommended Dilution
WB 1:500-1:5000
IHC 1:50-1:200
IF 1:50-1:200
FC 1:50-1:200
Troubleshooting and FAQs
Storage
Upon receipt, store at -20°C or -80°C. Avoid repeated freeze.
Lead Time
Basically, we can dispatch the products out in 1-3 working days after receiving your orders. Delivery time maybe differs from different purchasing way or location, please kindly consult your local distributors for specific delivery time.
Usage
For Research Use Only. Not for use in diagnostic or therapeutic procedures.

Customer Reviews and Q&A

 Customer Reviews

There are currently no reviews for this product.

Submit a Review here

Target Background

Function
Involved in transcriptional activation and repression of select genes by chromatin remodeling (alteration of DNA-nucleosome topology). Component of SWI/SNF chromatin remodeling complexes that carry out key enzymatic activities, changing chromatin structure by altering DNA-histone contacts within a nucleosome in an ATP-dependent manner. May stimulate the ATPase activity of the catalytic subunit of the complex. Belongs to the neural progenitors-specific chromatin remodeling complex (npBAF complex) and the neuron-specific chromatin remodeling complex (nBAF complex). During neural development a switch from a stem/progenitor to a postmitotic chromatin remodeling mechanism occurs as neurons exit the cell cycle and become committed to their adult state. The transition from proliferating neural stem/progenitor cells to postmitotic neurons requires a switch in subunit composition of the npBAF and nBAF complexes. As neural progenitors exit mitosis and differentiate into neurons, npBAF complexes which contain ACTL6A/BAF53A and PHF10/BAF45A, are exchanged for homologous alternative ACTL6B/BAF53B and DPF1/BAF45B or DPF3/BAF45C subunits in neuron-specific complexes (nBAF). The npBAF complex is essential for the self-renewal/proliferative capacity of the multipotent neural stem cells. The nBAF complex along with CREST plays a role regulating the activity of genes essential for dendrite growth.
Gene References into Functions
  1. Study found SMARCC1 as a direct target of miR-202-5p and promoted the growth and metastasis of colorectal carcinoma (CRC) cells. Furthermore, SMARCC1 could reverse the inhibitory effect of miR-202-5p on growth and metastasis of CRC cells. PMID: 30144500
  2. our data showed that Swi3 strongly affects haem/oxygen-dependent activation of respiration gene promoters whereas Swi2 affects only the basal, haem-independent activities of these promoters. using computational analysis and RNAi knockdown, we showed that the mammalian Swi3 BAF155 and BAF170 regulate respiration in HeLa cells. PMID: 27190130
  3. Results show the secondary structure of SWIRM domain of BAF155 consists of five alpha-helices forming a typical histone fold for DNA interactions. PMID: 23996527
  4. we identify BAF155 as a substrate for arginine methyltransferase CARM1. PMID: 24434208
  5. Wwp2 acts as a ubiquitin ligase of SRG3. PMID: 24365151
  6. miR-320c regulates the resistance of pancreatic cancer cells to gemcitabine through SMARCC1. PMID: 23799850
  7. loss of BAF155 expression represents another mechanism for inactivation of SWI/SNF complex activity in the development in human cancer. PMID: 22139574
  8. Data show that the mechanism of BAF155-mediated stabilization of BAF57 involves blocking its ubiquitination by preventing interaction with TRIP12. PMID: 20829358
  9. protein levels of BAF155/170 dictate the maximum cellular amount of BAF57 PMID: 16199878
  10. Constitutive expression of SRG3 inhibits positive selection processes in T-cell receptor transgenic mice. PMID: 17513758
  11. An increased expression of SMARCC1 protein was found in prostate cancer positively correlated with tumour dedifferentiation, progression, metastasis and time to recurrence. PMID: 18581278
  12. patients with tumours displaying high levels of CBFB and SMARCC1 proteins had a significantly better overall survival rate than patients with low levels PMID: 19156145

Show More

Hide All

Subcellular Location
Nucleus. Cytoplasm.
Protein Families
SMARCC family
Tissue Specificity
Expressed in brain, heart, muscle, placenta, lung, liver, muscle, kidney and pancreas.
Database Links

HGNC: 11104

OMIM: 601732

KEGG: hsa:6599

STRING: 9606.ENSP00000254480

UniGene: Hs.476179

icon of phone
Call us
301-363-4651 (Available 9 a.m. to 5 p.m. CST from Monday to Friday)
icon of address
Address
7505 Fannin St., Ste 610, Room 7 (CUBIO Innovation Center), Houston, TX 77054, USA
icon of social media
Join us with

Subscribe newsletter

Leave a message

* To protect against spam, please pass the CAPTCHA test below.
CAPTCHA verification
© 2007-2025 CUSABIO TECHNOLOGY LLC All rights reserved. 鄂ICP备15011166号-1
×
Place an order now

I. Product details

*
*
*
*

II. Contact details

*
*

III. Ship To

*
*
*
*
*
*
*

IV. Bill To

*
*
*
*
*
*
*
*